CD36 Recombinant Monoclonal Antibody
-
中文名稱:CD36重組抗體
-
貨號:CSB-RA097934A0HU
-
規格:¥1320
-
圖片:
-
IHC image of CSB-RA097934A0HU diluted at 1:100 and staining in paraffin-embedded human spleen tissue performed on a Leica BondTM system. After dewaxing and hydration, antigen retrieval was mediated by high pressure in a citrate buffer (pH 6.0). Section was blocked with 10% normal goat serum 30min at RT. Then primary antibody (1% BSA) was incubated at 4°C overnight. The primary is detected by a Goat anti-rabbit polymer IgG labeled by HRP and visualized using 0.25% DAB.
-
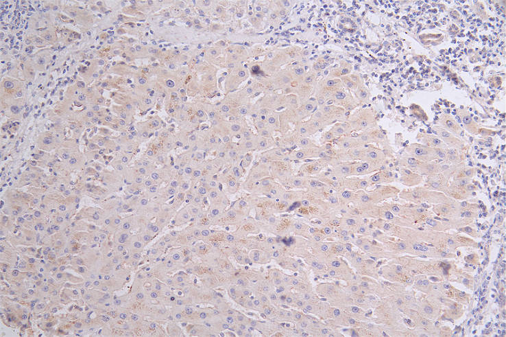
IHC image of CSB-RA097934A0HU diluted at 1:100 and staining in paraffin-embedded human liver cancer performed on a Leica BondTM system. After dewaxing and hydration, antigen retrieval was mediated by high pressure in a citrate buffer (pH 6.0). Section was blocked with 10% normal goat serum 30min at RT. Then primary antibody (1% BSA) was incubated at 4°C overnight. The primary is detected by a Goat anti-rabbit polymer IgG labeled by HRP and visualized using 0.25% DAB.
-
-
其他:
產品詳情
-
產品描述:CD36 Recombinant Monoclonal Antibody(Code: CSB-RA097934A0HU)是針對CD36靶點開發的高特異性科研試劑。CD36作為跨膜糖蛋白,廣泛參與脂肪酸代謝、炎癥調節及血管生成等生物學過程,在代謝性疾病、心血管疾病及腫瘤微環境研究中具有重要價值。本抗體經ELISA和免疫組化(IHC)雙重驗證,在石蠟包埋組織切片中展現清晰的膜定位信號,與脂肪組織、巨噬細胞等CD36高表達樣本的已知分布特征高度吻合,推薦使用稀釋度為IHC 1:50-1:200。其重組單克隆特性確保了優異的批間穩定性和抗原識別一致性,適用于病理機制研究中CD36蛋白表達水平的定性分析,例如心血管疾病模型中脂肪酸代謝調控研究、腫瘤相關巨噬細胞功能分析或代謝綜合征相關組織病理學檢測。該產品經過嚴格質控,可滿足復雜樣本的精準檢測需求,為探索CD36在脂質轉運、炎癥應答及疾病微環境調控中的功能提供可靠工具。
-
Uniprot No.:
-
基因名:
-
別名:Platelet glycoprotein 4 (Fatty acid translocase) (FAT) (Glycoprotein IIIb) (GPIIIB) (Leukocyte differentiation antigen CD36) (PAS IV) (PAS-4) (Platelet collagen receptor) (Platelet glycoprotein IV) (GPIV) (Thrombospondin receptor) (CD antigen CD36), CD36, GP3B GP4
-
反應種屬:Human
-
免疫原:A synthesized peptide derived from Human CD36
-
免疫原種屬:Homo sapiens (Human)
-
標記方式:Non-conjugated
-
克隆類型:Monoclonal
-
抗體亞型:Rabbit IgG
-
純化方式:Affinity-chromatography
-
克隆號:13B12
-
濃度:It differs from different batches. Please contact us to confirm it.
-
保存緩沖液:Rabbit IgG in 10mM phosphate buffered saline , pH 7.4, 150mM sodium chloride, 0.05% BSA, 0.02% sodium azide and 50% glycerol.
-
產品提供形式:Liquid
-
應用范圍:ELISA, IHC
-
推薦稀釋比:
Application Recommended Dilution IHC 1:50-1:200 -
Protocols:
-
儲存條件:Upon receipt, store at -20°C or -80°C. Avoid repeated freeze.
-
貨期:Basically, we can dispatch the products out in 1-3 working days after receiving your orders. Delivery time maybe differs from different purchasing way or location, please kindly consult your local distributors for specific delivery time.
-
用途:For Research Use Only. Not for use in diagnostic or therapeutic procedures.
相關產品
靶點詳情
-
功能:Multifunctional glycoprotein that acts as receptor for a broad range of ligands. Ligands can be of proteinaceous nature like thrombospondin, fibronectin, collagen or amyloid-beta as well as of lipidic nature such as oxidized low-density lipoprotein (oxLDL), anionic phospholipids, long-chain fatty acids and bacterial diacylated lipopeptides. They are generally multivalent and can therefore engage multiple receptors simultaneously, the resulting formation of CD36 clusters initiates signal transduction and internalization of receptor-ligand complexes. The dependency on coreceptor signaling is strongly ligand specific. Cellular responses to these ligands are involved in angiogenesis, inflammatory response, fatty acid metabolism, taste and dietary fat processing in the intestine. Binds long-chain fatty acids and facilitates their transport into cells, thus participating in muscle lipid utilization, adipose energy storage, and gut fat absorption. In the small intestine, plays a role in proximal absorption of dietary fatty acid and cholesterol for optimal chylomicron formation, possibly through the activation of MAPK1/3 (ERK1/2) signaling pathway. Involved in oral fat perception and preferences. Detection into the tongue of long-chain fatty acids leads to a rapid and sustained rise in flux and protein content of pancreatobiliary secretions. In taste receptor cells, mediates the induction of an increase in intracellular calcium levels by long-chain fatty acids, leading to the activation of the gustatory neurons in the nucleus of the solitary tract. Important factor in both ventromedial hypothalamus neuronal sensing of long-chain fatty acid and the regulation of energy and glucose homeostasis. Receptor for thombospondins, THBS1 and THBS2, mediating their antiangiogenic effects. As a coreceptor for TLR4:TLR6 heterodimer, promotes inflammation in monocytes/macrophages. Upon ligand binding, such as oxLDL or amyloid-beta 42, interacts with the heterodimer TLR4:TLR6, the complex is internalized and triggers inflammatory response, leading to NF-kappa-B-dependent production of CXCL1, CXCL2 and CCL9 cytokines, via MYD88 signaling pathway, and CCL5 cytokine, via TICAM1 signaling pathway, as well as IL1B secretion, through the priming and activation of the NLRP3 inflammasome. Selective and nonredundant sensor of microbial diacylated lipopeptide that signal via TLR2:TLR6 heterodimer, this cluster triggers signaling from the cell surface, leading to the NF-kappa-B-dependent production of TNF, via MYD88 signaling pathway and subsequently is targeted to the Golgi in a lipid-raft dependent pathway.; (Microbial infection) Directly mediates cytoadherence of Plasmodium falciparum parasitized erythrocytes and the internalization of particles independently of TLR signaling.
-
基因功能參考文獻:
- normal and defective embryos lacking SR-B1 have divergent expression profiles PMID: 30290792
- CD36 plays an important role in the preabsorptive hormone and Bile acids responses that coordinate brain and gut regulation of energy metabolism. PMID: 29546316
- We identified CD36 as one of the most significantly upregulated lipid-related genes in senescent cells. We showed that overexpression of CD36 in proliferating cells resulted in a senescence-like phenotype. We hypothesize that CD36 overexpression leads to changes in membrane remodeling and plausibly mediate SASP release. PMID: 29974107
- Our findings indicated that hepatic stellate cells-derived COMP collaborated with CD36 and subsequently played an essential role in MEK/ERK and PI3K/AKT-mediated hepatocellular carcinoma (HCC) progression. COMP might act as a promising target for the diagnosis and treatment of aggressive HCC. PMID: 30231922
- Study shows the CD36 expression level downregulated in the lung cancer. Further, results found that the high methylation of CD36 corresponding to its low expression in lung cancer played an important role in the procession of lung cancer. PMID: 29969695
- The rs7755 and rs3211956 loci polymorphisms of CD36 gene and genotype E2/E3, E3/E4, E4/E4 of ApoE gene, and E2 and E4 alleles were statistically related with Alzheimer disease. PMID: 30235742
- This study suggests that T2D patients with different genotypes at CD36, NOS3 and PPARG respond differentially to intervention of omega-3 supplements in blood lipid profiles. PMID: 29703528
- Gene expressions of YKL-40 and CD36 were significantly higher in patients with T2DM (>5 yr) with hypertension compared to healthy controls (P=0.006). In addition, a significant increase in serum levels of sCD36, PPAR-gamma and YKL-40 was observed in patients with T2DM (>5 yr) with hypertension compared to healthy controls PMID: 29806605
- genetic association studies in population of preschool-aged children in Guelph, Ontario: Data suggest that SNPs in CD36 (rs1761667), TAS1R2 (rs35874116), and TAS2R38 (rs713598) are associated with snacking behavior in the population studied. [PILOT PROJECTS] PMID: 29385734
- CD36 is important for muscle glucose metabolism and optimal insulin responsiveness. PMID: 29748289
- Significant up-regulation of PBMCs CAP1, CD36 mRNA and plasma resistin found in significant coronary artery disease, as well as in nonsignificant coronary artery disease compared to control group, indicates that resistin could be able to exert its effects stronger on cells with up-regulated CAP1 mRNA thus contributing atherosclerosis development. PMID: 28707728
- CD36, also known as FA translocase (FAT), that functions as a transmembrane protein and mediates the uptake of FAs, is observed to be highly expressed in breast cancer tissues. Furthermore, the anti-proliferation effect caused by the SCD1 inhibitor can not be reversed by exogenous oleic acid supplementation in CD36 knockdown breast cancer cells PMID: 28765876
- Results showed that CD36 genotypes were not associated with the progression to T2DM independently. however, the study suggested a positive interaction between the CD36 variants and obesity on T2DM susceptibility, which might be through a cardiometabolic disorder. PMID: 29572193
- Taken together, these findings indicate that rs1194182 polymorphism in the CD36 gene was associated with intracerebral hemorrhage, and genotype GG could be an independent predictor. PMID: 28804718
- Three polymorphisms were found to be associated with increases in IOP: rs1049673 (p = 0.006), rs3211931 (p = 0.01), and rs1761667 (p = 0.043) at the time of the third injection only. PMID: 28557591
- CD36 marks adipocyte progenitor cells with pronounced adipogenic potential, most probably by facilitating lipid uptake. PMID: 28470788
- sCD36 levels increased with the level of intrahepatic lipid, insulin resistance and dyslipidemia; association with markers of obesity and the association with hepatic CD36 mRNA expression suggest that excess sCD36 in NAFLD patients is derived from the hepatocytes, which may support that CD36 is involved in NAFLD development; an unhealthy CD36 expression in adipose and hepatic tissue may shift the fatty-acid load to liver PMID: 27916988
- In conclusion, oxLDL induced MALAT1 transcription and MALAT1 recruits beta-catenin to binding sites on the CD36 promoter to induce CD36 expression, which enhances lipid uptake in macrophages. PMID: 29258822
- Based on these findings, we conclude that an acetylation-deacetylation signaling step might regulate CD36 functional activity and subsequent lipid accumulation and caspase 3 activation in pancreatic beta cells exposed to GLT conditions. PMID: 29274335
- These results indicated that AKT-PPARgamma signaling pathway mediated HG-induced lipid deposition by upregulating CD36 expression in HK-2 cells and that inhibition of AKT-PPARgamma signaling pathway had the potential beneficial effects of reducing lipid deposition in diabetic kidney. PMID: 28497039
- CD36/STAT3 SNPs linked to cardiovascular disease may modulate the effects of different diets on biochemical and inflammatory markers among these subjects. PMID: 27596284
- These data show the potential pleiotropic influence of CD36 SNP rs1984112 on lipoprotein accumulation in a young healthy cohort. PMID: 27460265
- S100A12 binds to CD36 in the low nanomolar range at the CD36 thrombospondin-1 binding site. PMID: 27734162
- The inhibition of Rac1 by NSC23766 inhibited NADPH oxidase activity and ROS generation induced by high glucose concentrations in INS-1 & human 1.1b4 beta cells. Inhibition of Rac1-NOX complex activation by NSC23766 significantly reduced CD36 expression in INS-1 and human 1.1b4 beta cell membrane fractions. PMID: 27912197
- Review of the regulation and post-translational modification of CD36 and its role in renal pathophysiology and chronic kidney disease. PMID: 28919632
- The A allele of the rs1761667 single nucleotide polymorphism in CD36 is associated with decreased fat and sugar intake in obese children and adolescents. PMID: 28237985
- The present study concluded that miR-758-5p decreases lipid accumulation of foam cell via regulating CD36-mediated cholesterol uptake. PMID: 28965954
- Data show that all the six inflammation-related CpG-SNPs genotypes including IL1B rs16944, IL1R2 rs2071008, PLA2G7 rs9395208, FAM5C rs12732361, CD40 rs1800686, and CD36 rs2065666 were associated with coronary heart disease (CHD), suggesting an important role of inflammation in the risk of CHD. PMID: 27461004
- CD36 single nucleotide polymorphisms rs1194182 and rs10499859 reduce risk to pulmonary tuberculosis in a Chinese Han population. PMID: 28693442
- CD36 and MARCO are associated with the susceptibility of Chinese Han females to carotid atherosclerosis. Menopausal status may affect the association between gene polymorphisms and carotid atherosclerosis in the female Chinese Han population. PMID: 28866086
- this study shows that diet-induced obesity links to estrogen receptor-positive breast cancer progression via LPA/PKD-1-CD36 signaling-mediated microvascular remodeling PMID: 28186980
- These findings suggest that atherogenic conditions critically regulate platelet CD36 signaling by increasing superoxide radical anion and hydrogen peroxide through a mechanism that promotes activation of MAPK ERK5. PMID: 28336528
- High CD36 expression is associated with Acute Monocytic Leukemia. PMID: 28108519
- Common CD36 SNPs reduce adipose and heart CD36 levels to higher chylomicron remnants and LDL in humans. PMID: 27729386
- this studies provide evidence that CD36 mediates surfactant lipid uptake by human macrophages and that Mycobacterium tuberculosis exploits this function for growth PMID: 27913648
- a substantial fraction of unligated CD36 exists in nanoclusters, which not only promote TSP-1 binding but are also enriched with the downstream effector Fyn. PMID: 27694211
- Influence of a common genetic variant in CD36 on susceptibility to endothelial dysfunction and its response to sildenafil treatment. PMID: 27144937
- This study supports the notion that CD36 - specifically rs1527483, plays a role in oral fat perception, but not in influencing obesity in Malaysian subjects. PMID: 27847178
- Lysophosphatidic acid/PKD-1 signaling leads to nuclear accumulation of histone deacetylase 7, where it interacts with forkhead box protein O1 to suppress endothelial CD36 transcription and mediates silencing of antiangiogenic switch, resulting in proangiogenic and proarteriogenic reprogramming. PMID: 27013613
- Individuals >/=30 years old with abdominal obesity presented lower CD36 levels, and lower subexpression of CD36 mRNA compared to individuals <30 years old with abdominal obesity. PMID: 27525284
- molecular dynamics (MD) simulation studies demonstrated that CD36 TM1 exhibited a switching dimerization with two right-handed packing modes driven by the (12)GXXXGXXXA(20) and (20)AXXG(23) motifs, and the mutational effect of G16I and G23I revealed these representative conformations of CD36 TM1. PMID: 28336533
- study demonstrates that tamoxifen inhibits CD36 expression and cellular oxLDL accumulation by inactivating the PPARgamma signaling pathway, and the inhibition of macrophage CD36 expression can be attributed to the anti-atherogenic properties of tamoxifen. PMID: 27358406
- This review focuses on recent advances on the role of these signaling pathways and transcription factors involved in the regulation of CD36 and GLUT4. PMID: 27403883
- Chromatin immunoprecipitation analysis revealed that Rspo2 manipulation led to regulation of the direct binding between PPARgamma and CD36. PMID: 27571704
- description of a subpopulation of CD44(bright) cells in human oral carcinomas that do not overexpress mesenchymal genes, are slow-cycling, express high levels of the fatty acid receptor CD36 and lipid metabolism genes, and are unique in their ability to initiate metastasis PMID: 27974793
- Our results are similar to those found in Portuguese population which reported the role of rs1984112_G in increasing reticulocyte level among SCD patients. Consequently, the rs1984112_G of CD36 could be considered as a reliable biomarker for predicting patients at high risk for vascular occlusions and thus, allows earlier and more effective therapeutic management. PMID: 27869039
- The SNP rs3211892 has previously been associated with heart disease and other conditions but the present study is the first to identify a significant association between variations in CD36 gene and the risk of Alzheimer's disease. PMID: 28111291
- the results demonstrate that a novel CD36-ERK/MAPK-dependent mechanism is involved in macrophage lipid accumulation by piHDL, there by revealing the importance of functional deficiency in HDL and its potential link to atherogenesis. PMID: 27995417
- The findings reveal previously unknown pro-thrombotic activities of oxidized plasma albumin via a CD36 dependent pathway in end-stage kidney disease patients. PMID: 26905525
- no association between placental expression and maternal body mass index PMID: 27016784
顯示更多
收起更多
-
相關疾病:Platelet glycoprotein IV deficiency (PG4D); Coronary heart disease 7 (CHDS7)
-
亞細胞定位:Cell membrane; Multi-pass membrane protein. Membrane raft. Golgi apparatus. Apical cell membrane.
-
蛋白家族:CD36 family
-
數據庫鏈接:
Most popular with customers
-
YWHAB Recombinant Monoclonal Antibody
Applications: ELISA, WB, IHC, IF, FC
Species Reactivity: Human, Mouse, Rat
-
Phospho-YAP1 (S127) Recombinant Monoclonal Antibody
Applications: ELISA, WB, IHC
Species Reactivity: Human
-
-
-
-
-
-















