XRCC5 Antibody
-
中文名稱:XRCC5兔多克隆抗體
-
貨號:CSB-PA026233HA01HU
-
規格:¥440
-
圖片:
-
Western Blot
Positive WB detected in: LO2 whole cell lysate
All lanes: XRCC5 antibody at 3.5µg/ml
Secondary
Goat polyclonal to rabbit IgG at 1/50000 dilution
Predicted band size: 83 kDa
Observed band size: 83 kDa -
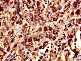
Immunohistochemistry of paraffin-embedded human melanoma using CSB-PA026233HA01HU at dilution of 1:100
-
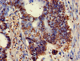
Immunohistochemistry of paraffin-embedded human colon cancer using CSB-PA026233HA01HU at dilution of 1:100
-
Immunoprecipitating XRCC5 in HepG2 whole cell lysate
Lane 1: Rabbit control IgG (1µg) instead of CSB-PA026233HA01HU in HepG2 whole cell lysate. For western blotting, a HRP-conjugated Protein G antibody was used as the secondary antibody (1/2000)
Lane 2: CSB-PA026233HA01HU (8µg) + HepG2 whole cell lysate (500µg)
Lane 3: HepG2 whole cell lysate (10µg)
-
-
其他:
產品詳情
-
產品名稱:Rabbit anti-Homo sapiens (Human) XRCC5 Polyclonal antibody
-
Uniprot No.:
-
基因名:
-
別名:86 kDa subunit of Ku antigen antibody; ATP dependent DNA helicase 2 subunit 2 antibody; ATP dependent DNA helicase II 80 kDa subunit antibody; ATP dependent DNA helicase II 86 Kd subunit antibody; ATP dependent DNA helicase II antibody; ATP-dependent DNA helicase 2 subunit 2 antibody; ATP-dependent DNA helicase II 80 kDa subunit antibody; CTC box binding factor 85 kDa antibody; CTC box-binding factor 85 kDa subunit antibody; CTC85 antibody; CTCBF antibody; DNA repair protein XRCC5 antibody; KARP 1 antibody; KARP1 antibody; Ku 80 antibody; Ku autoantigen 80kDa antibody; Ku80 antibody; Ku86 antibody; Ku86 autoantigen related protein 1 antibody; KUB 2 antibody; KUB2 antibody; Lupus Ku autoantigen protein p86 antibody; NFIV antibody; Nuclear factor IV antibody; Thyroid lupus autoantigen antibody; Thyroid-lupus autoantigen antibody; TLAA antibody; X ray repair complementing defective repair in Chinese hamster cells 5 (double strand break rejoining) antibody; X-ray repair complementing defective repair in Chinese hamster cells 5 (double-strand-break rejoining) antibody; X-ray repair cross-complementing protein 5 antibody; Xray repair complementing defective repair in Chinese hamster cells 5 antibody; XRCC 5 antibody; XRCC5 antibody; XRCC5_HUMAN antibody
-
宿主:Rabbit
-
反應種屬:Human
-
免疫原:Recombinant Human X-ray repair cross-complementing protein 5 protein (251-455AA)
-
免疫原種屬:Homo sapiens (Human)
-
標記方式:Non-conjugated
本頁面中的產品,XRCC5 Antibody (CSB-PA026233HA01HU),的標記方式是Non-conjugated。對于XRCC5 Antibody,我們還提供其他標記。見下表:
-
克隆類型:Polyclonal
-
抗體亞型:IgG
-
純化方式:>95%, Protein G purified
-
濃度:It differs from different batches. Please contact us to confirm it.
-
保存緩沖液:Preservative: 0.03% Proclin 300
Constituents: 50% Glycerol, 0.01M PBS, pH 7.4 -
產品提供形式:Liquid
-
應用范圍:ELISA, WB, IHC, IP
-
推薦稀釋比:
Application Recommended Dilution WB 1:500-1:5000 IHC 1:20-1:200 IP 1:200-1:2000 -
Protocols:
-
儲存條件:Upon receipt, store at -20°C or -80°C. Avoid repeated freeze.
-
貨期:Basically, we can dispatch the products out in 1-3 working days after receiving your orders. Delivery time maybe differs from different purchasing way or location, please kindly consult your local distributors for specific delivery time.
-
用途:For Research Use Only. Not for use in diagnostic or therapeutic procedures.
相關產品
靶點詳情
-
功能:Single-stranded DNA-dependent ATP-dependent helicase that plays a key role in DNA non-homologous end joining (NHEJ) by recruiting DNA-PK to DNA. Required for double-strand break repair and V(D)J recombination. Also has a role in chromosome translocation. The DNA helicase II complex binds preferentially to fork-like ends of double-stranded DNA in a cell cycle-dependent manner. It works in the 3'-5' direction. During NHEJ, the XRCC5-XRRC6 dimer performs the recognition step: it recognizes and binds to the broken ends of the DNA and protects them from further resection. Binding to DNA may be mediated by XRCC6. The XRCC5-XRRC6 dimer acts as regulatory subunit of the DNA-dependent protein kinase complex DNA-PK by increasing the affinity of the catalytic subunit PRKDC to DNA by 100-fold. The XRCC5-XRRC6 dimer is probably involved in stabilizing broken DNA ends and bringing them together. The assembly of the DNA-PK complex to DNA ends is required for the NHEJ ligation step. The XRCC5-XRRC6 dimer probably also acts as a 5'-deoxyribose-5-phosphate lyase (5'-dRP lyase), by catalyzing the beta-elimination of the 5' deoxyribose-5-phosphate at an abasic site near double-strand breaks. XRCC5 probably acts as the catalytic subunit of 5'-dRP activity, and allows to 'clean' the termini of abasic sites, a class of nucleotide damage commonly associated with strand breaks, before such broken ends can be joined. The XRCC5-XRRC6 dimer together with APEX1 acts as a negative regulator of transcription. In association with NAA15, the XRCC5-XRRC6 dimer binds to the osteocalcin promoter and activates osteocalcin expression. As part of the DNA-PK complex, involved in the early steps of ribosome assembly by promoting the processing of precursor rRNA into mature 18S rRNA in the small-subunit processome. Binding to U3 small nucleolar RNA, recruits PRKDC and XRCC5/Ku86 to the small-subunit processome. Plays a role in the regulation of DNA virus-mediated innate immune response by assembling into the HDP-RNP complex, a complex that serves as a platform for IRF3 phosphorylation and subsequent innate immune response activation through the cGAS-STING pathway.
-
基因功能參考文獻:
- ATM-dependent phosphorylation of CtIP and the epistatic and coordinated actions of MRE11 and CtIP nuclease activities are required to limit the stable loading of Ku on single-ended DNA double-strand breaks. PMID: 27641979
- these results suggest that polymorphisms of XRCC5 play an important role in astrocytoma prognosis in the Chinese Han population which could be used in the determination of astrocytoma prognosis in clinical researches PMID: 27852033
- SAF-A, in concert with Ku, temporally regulates base damage repair in irradiated cell genome. PMID: 27303920
- High XRCC5 expresiion is associated with medullary thyroid carcinoma. PMID: 26870890
- Ku80 can be cleaved by caspases-2 at D726 upon a transient etoposide treatment. Caspase-2-mediated Ku80 cleavage promotes Ku80/DNA-PKcs interaction as the D726A mutation diminished Ku80 interaction with DNA-PKcs PMID: 29065392
- m-calpain translocated as the result of calcium influx was involved in DNA double-strand breaks repair, especially in the non-homologous end-joining pathway through proteolysis of nuclear Ku80. Cleaved Ku80 was still able to form a heterodimer with Ku70 and enhance DNA repair activity. PMID: 27121057
- Ku80 CTR (C-terminal region) is required for interaction with DNA-PKcs on short segments of blunt ended 25bp dsDNA or 25bp dsDNA with a 15-base poly dA ssDNA extension, but this requirement is less stringent on longer dsDNA molecules (35bp blunt ended dsDNA) or 25bp duplex DNA with either a 15-base poly dT or poly dC ssDNA extension. Moreover, DNA-PKcs-Ku complex forms on 25 bp DNA with poly-pyrimidine ssDNA extension. PMID: 28641126
- Ku80 could predict the probability of resistance to neoadjuvant chemotherapy in lung adenocarcinoma, and reduced cisplatin and pemetrexed-induced apoptosis in A549 cells PMID: 28399858
- results demonstrated that XRCC5 promoted colon cancer growth by cooperating with p300 to regulate COX-2 expression, and suggested that the XRCC5/p300/COX-2 signaling pathway was a potential target in the treatment of colon cancers PMID: 29049411
- Ku antigen displays the AP lyase activity on a certain type of double-stranded DNA. PMID: 27129632
- Results show that DDB2 is critical for chromatin association of XRCC5/6 in the absence of DNA damage and provide evidence that XRCC5/6 are functional partners of DDB2 in its transcriptional stimulatory activity. PMID: 28035050
- RNF126 is a novel regulator of NHEJ that promotes completion of DNA repair by ubiquitylating Ku80 and releasing Ku70/80 from damaged DNA. PMID: 27895153
- XRCC5 (rs1051685, rs6941) and AQP2 (10875989, rs3759125) polymorphisms were associated with hematologic toxicity of platinum-based chemotherapy in lung cancer patients PMID: 26358256
- Ku80 and PDGFR-alpha might be effective predictive indicators for the prognosis of nasal type NK/T cell lymphoma PMID: 26778387
- DNA methylation modification plays an important role to regulate the gene expression of XRCC5 and XRCC7, from the results that the gene methylation level of the glioma group is higher than that of the normal group PMID: 26464705
- Data suggest that heat shock factor 1 (HSF1) interacts with both Ku autoantigens Ku70 and Ku86 to induce defective non-homologous end joining (NHEJ) repair activity and genomic instability. PMID: 26359349
- The present study showed that the XRCC5 locus might be a contributor to COPD susceptibility in the Chinese Han population. PMID: 24615081
- Depletion of Ku80 in the lens through acute change or a consequence of aging is likely to increase levels of DNA strand breaks, which could negatively influence physiological function and promote lens opacity PMID: 26658510
- Data show that ubiquitin E3 ligase RNF138 regulates Ku80 antigen ubiquitylation in response to DNA damage. PMID: 26502055
- Polymorphisms in the Variable Number of Tandem Repeats at the promoter region of the XRCC5 is associated with gastric cancer. PMID: 25527410
- retinoblastoma tumor suppressor protein variants disabled for the interaction with XRCC5 and XRCC6, including a cancer-associated variant, are unable to support canonical non-homologous end-joining despite being able to confer cell-cycle control PMID: 25818292
- Genome-wide gene-set-based analysis and follow-up studies in Drosophila and humans generated independent evidence for the involvement of XRCC5 (Ku80) in alcohol dependence PMID: 25035082
- Our data indicated that Ku80 expression level associates with key clinicopathological features and is an independent predictor of the OS and the DFS in pT2N0M0 ESCC patients. PMID: 25758053
- Polymorphism in XRCC5 gene is associated with Systemic Lupus Erythematosus. PMID: 25756210
- both the CG carriers/G allele carriers of rs2267437 (XRCC6) and the haplotype AT/CC established by the SNPs of XRCC5 are associated with ESCC (Esophageal Squamous Cell Carcinoma) susceptibility. PMID: 25702660
- the downregulation of Ku80 and an impairment of repair activity in squamous cells, which are mediated by miR-31. PMID: 25082302
- RECQL4 stimulates higher order DNA binding of Ku70/Ku80 to a blunt end DNA substrate. Taken together, these results implicate that RECQL4 participates in the NHEJ pathway of DSB repair via a functional interaction with the Ku70/Ku80 complex. PMID: 24942867
- High KU86 expression is associated with hepatocellular carcinoma. PMID: 24811221
- the VNTR polymorphism at the promoter region of XRCC5, but not XRCC6, may have a role in breast cancer risk or age at diagnosis of breast cancer PMID: 24615008
- down-regulation of Ku80 can sensitize ALT cells U2OS to radiation, and this radiosensitization is related to telomere length shortening. PMID: 23621240
- the VNTR polymorphism in the promoter region of XRCC5 gene could serve as an important prognostic marker in CML development. PMID: 23982877
- Ku86 staining in hepatocellular carcinoma was much stronger than in para-tumor and normal tissues. Expression of Ku86 was related to the tumor size, TNM stage, and tumor differentiation. Long-term survival of patients with low Ku86 expression was longer. PMID: 24271118
- Enhanced DNA-PKcs and Ku 70/80 expression may be closely associated with gastric carcinoma. PMID: 24187467
- The observations plead in favor of the hypothesis that Ku has an impact on HIV-1 expression and latency at early- and mid-time after integration. PMID: 23922776
- For XRCC4P and XRCC5P, only XRCC4P modified liver cancer risk. PMID: 23788213
- Processivity factor 8 (PF-8) of Kaposi's sarcoma-associated herpesvirus was identified as interacting with Ku70 and Ku86, and the interaction was dependent on DNA double-strand breaks and DNA. PMID: 23677788
- In systemic lupus spectrum diseases, anti-Ku are found associated with other autoantibodies; in systemic sclerosis anti-Ku are frequently associated with myositis and interstitial lung disease. PMID: 23910615
- This model highlights the importance of Ku70/80 oxidation which leads to increased Ku70/80 dissociation rates from DNA damage foci and shifts repair in favour of the less efficient Back-up-Non-Homologous End Joining system. PMID: 23457464
- The 3R allele of the VNTR polymorphism in the XRCC5 promoter region dramatically decreases the gene expression. PMID: 23220236
- Two (XRCC5 and TOP2A) of seven DNA repair and replication proteins studied were prognostic for melanoma. PMID: 23020778
- BRCA1-Ku80 protein interaction enhances end-joining fidelity of chromosomal double-strand breaks in the G1 phase of the cell cycle PMID: 23344954
- Ku80 expression level could predict the outcome and the sensitivity to cisplatin-based chemotherapy in patients with lung adenocarcinoma PMID: 23181744
- Results show the N-terminal region mediates the interaction between DNA-PKcs and the Ku70/Ku80-DNA complex and is required for its DNA double-stranded breaks (DSBs)-induced enzymatic activity. PMID: 23322783
- XRCC5 gene polymorphism is associated with breast cancer. PMID: 23098447
- It is suggested that the prevalence of the XRCC5 novel allele (3R allele) among European populations may be higher than its prevalence among Iranians. PMID: 23022196
- APLF promotes the assembly and activity of multi-protein Ku-DNA complexes containing all of the Non-homologous end joining (NHEJ) factors required for DNA ligation. PMID: 23178593
- Data indicate a significant positive association was found between female patients with anti-Ku p70 and joint/bone features, and a significant negative association was found between female patients with anti-Ku p80 only and joint/bone features. PMID: 22226402
- Data indicate that dynamic remodeling of the Ku complex coincided with exit of Ku and other DNA repair proteins from the nucleolus. PMID: 22535209
- study found Ku80 was downregulated in hepatocellular carcinoma(HCC) and Ku80 downregulation was correlated with elevated HBV-DNA load and liver cirrhosis; suggested an underlying mechanism in which Ku80 functions as a tumor suppressor in HCC by inducing S-phase arrest through a p53-dependent pathway PMID: 22226916
- Ku70/80 binds to DNA double strand breaks (DSB) in all cell cycle stages and is likely actively displaced from DSB ends to free the DNA ends for DNA end resection and thus homologous recombination to occur. PMID: 22265216
顯示更多
收起更多
-
亞細胞定位:Nucleus. Nucleus, nucleolus. Chromosome.
-
蛋白家族:Ku80 family
-
數據庫鏈接:
Most popular with customers
-
-
YWHAB Recombinant Monoclonal Antibody
Applications: ELISA, WB, IHC, IF, FC
Species Reactivity: Human, Mouse, Rat
-
Phospho-YAP1 (S127) Recombinant Monoclonal Antibody
Applications: ELISA, WB, IHC
Species Reactivity: Human
-
-
-
-
-















