WFIKKN1 Antibody
-
中文名稱:WFIKKN1兔多克隆抗體
-
貨號:CSB-PA842729OA01HU
-
規格:¥440
-
圖片:
-
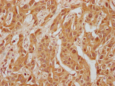
IHC image of CSB-PA842729OA01HU diluted at 1:300 and staining in paraffin-embedded human liver cancer performed on a Leica BondTM system. After dewaxing and hydration, antigen retrieval was mediated by high pressure in a citrate buffer (pH 6.0). Section was blocked with 10% normal goat serum 30min at RT. Then primary antibody (1% BSA) was incubated at 4°C overnight. The primary is detected by a biotinylated secondary antibody and visualized using an HRP conjugated SP system.
-
-
其他:
產品詳情
-
產品名稱:Rabbit anti-Homo sapiens (Human) WFIKKN1 Polyclonal antibody
-
Uniprot No.:
-
基因名:WFIKKN1
-
別名:WFIKKN1 antibody; C16orf12 antibody; GASP2 antibody; WFIKKN antibody; PSEC0040 antibody; WAP antibody; Kazal antibody; immunoglobulin antibody; Kunitz and NTR domain-containing protein 1 antibody; Growth and differentiation factor-associated serum protein 2 antibody; GASP-2 antibody; hGASP-2 antibody; WAP antibody; follistatin antibody; immunoglobulin antibody; Kunitz and NTR domain-containing protein antibody
-
宿主:Rabbit
-
反應種屬:Human
-
免疫原:Peptide sequence from Human WAP, Kazal, immunoglobulin, Kunitz and NTR domain-containing protein 1 protein (187-207AA)
-
免疫原種屬:Homo sapiens (Human)
-
標記方式:Non-conjugated
本頁面中的產品,WFIKKN1 Antibody (CSB-PA842729OA01HU),的標記方式是Non-conjugated。對于WFIKKN1 Antibody,我們還提供其他標記。見下表:
-
克隆類型:Polyclonal
-
抗體亞型:IgG
-
純化方式:>95%, Protein G purified
-
濃度:It differs from different batches. Please contact us to confirm it.
-
保存緩沖液:Preservative: 0.03% Proclin 300
Constituents: 50% Glycerol, 0.01M PBS, pH 7.4 -
產品提供形式:Liquid
-
應用范圍:ELISA, IHC
-
推薦稀釋比:
Application Recommended Dilution IHC 1:200-1:500 -
Protocols:
-
儲存條件:Upon receipt, store at -20°C or -80°C. Avoid repeated freeze.
-
貨期:Basically, we can dispatch the products out in 1-3 working days after receiving your orders. Delivery time maybe differs from different purchasing way or location, please kindly consult your local distributors for specific delivery time.
-
用途:For Research Use Only. Not for use in diagnostic or therapeutic procedures.
相關產品
靶點詳情
-
功能:Protease-inhibitor that contains multiple distinct protease inhibitor domains. Probably has serine protease- and metalloprotease-inhibitor activity.
-
基因功能參考文獻:
- In this review, we summarize current knowledge about the WFIKKN proteins and propose that they are "companion" proteins for various growth factors by providing localized and sustained presentation of TGFB proteins to their respective receptors, thus regulating the balance between the activation of Smad and non-Smad pathways by TGFB. PMID: 27325460
- Data show that the KKN1 fragment generated by BMP1-cleavage of WFIKKN1 protein contributes most significantly to the observed enhancer activity. PMID: 27782377
- Data suggest that myostatin binding to its receptor (activin receptors type II) can be blocked by WFIKKN1 but not WFIKKN2; various forms of myostatin (promyostatin, myostatin pro-domain, and latent/processed myostatin) bind WFIKKN1 but not WFIKKN2. PMID: 23829672
- data indicate that WFIKKN proteins are antagonists of GDF8 and GDF11, but in the case of TGFbeta1, BMP2 and BMP4 they function as growth factor binding proteins PMID: 21054789
- Newly discovered WFIKKNPR gene structure and tissue distribution of gene expression is commpared with that of the WFIKKN gene in adult and fetal tissues and organs. PMID: 11928817
- Data suggest that the physiological target of WFIKKN protein may be trypsin. PMID: 12709070
- three-dimensional structure of a Kunitz domain with a tryptophan residue at the P02 site of the protease-recognition loop PMID: 16791741
- Both WFIKKN1 and WFIKKN2 have high affinity for growth and differentiation factors 8 and 11. PMID: 18596030
顯示更多
收起更多
-
亞細胞定位:Secreted.
-
蛋白家族:WFIKKN family
-
組織特異性:Expressed in pancreas, kidney, liver, placenta, and lung.
-
數據庫鏈接:
Most popular with customers
-
YWHAB Recombinant Monoclonal Antibody
Applications: ELISA, WB, IHC, IF, FC
Species Reactivity: Human, Mouse, Rat
-
-
-
-
-
-
-
VDAC1 Recombinant Monoclonal Antibody
Applications: ELISA, WB, IHC
Species Reactivity: Human, Mouse, Rat















