USP6 Antibody
-
中文名稱:USP6兔多克隆抗體
-
貨號:CSB-PA025747LA01HU
-
規格:¥440
-
圖片:
-
Western Blot
Positive WB detected in: Rat kidney tissue
All lanes: USP6 antibody at 4μg/ml
Secondary
Goat polyclonal to rabbit IgG at 1/50000 dilution
Predicted band size: 159, 122, 90 kDa
Observed band size: 159 kDa -
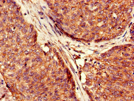
Immunohistochemistry of paraffin-embedded human ovarian cancer using CSB-PA025747LA01HU at dilution of 1:100
-
Immunofluorescent analysis of HepG2 cells using CSB-PA025747LA01HU at dilution of 1:100 and Alexa Fluor 488-congugated AffiniPure Goat Anti-Rabbit IgG(H+L)
-
-
其他:
產品詳情
-
產品描述:
The USP6 antibody CSB-PA025747LA01HU was synthesized in the rabbit immunized by using the recombinant human USP6 protein (1122-1359aa) as the immunogen. This rabbit anti-human USP6 polyclonal antibody was quality verified in the ELISA, WB, IHC, and IF applications. The non-conjugated IgG got purified by protein G and reached up to 95% in purity. It reacts with the USP6 proteins from human and rat samples.
The target protein USP6, also known as TRE17, acts as a deubiquitinating enzyme that removes ubiquitin molecules from target proteins. USP6 has been implicated in various cellular processes, including cell proliferation, differentiation, and signaling. It is also involved in the development and progression of some types of bone tumors.
-
產品名稱:Rabbit anti-Homo sapiens (Human) USP6 Polyclonal antibody
-
Uniprot No.:
-
基因名:USP6
-
別名:Deubiquitinating enzyme 6 antibody; HRP1 antibody; Proto-oncogene TRE-2 antibody; TRE17 antibody; TRE2 antibody; Ubiquitin carboxyl-terminal hydrolase 6 antibody; Ubiquitin specific protease 6 antibody; Ubiquitin thiolesterase 6 antibody; Ubiquitin-specific-processing protease 6 antibody; UBP6_HUMAN antibody; USP6 antibody
-
宿主:Rabbit
-
反應種屬:Human, Rat
-
免疫原:Recombinant Human Ubiquitin carboxyl-terminal hydrolase 6 protein (1122-1359AA)
-
免疫原種屬:Homo sapiens (Human)
-
標記方式:Non-conjugated
本頁面中的產品,USP6 Antibody (CSB-PA025747LA01HU),的標記方式是Non-conjugated。對于USP6 Antibody,我們還提供其他標記。見下表:
-
克隆類型:Polyclonal
-
抗體亞型:IgG
-
純化方式:>95%, Protein G purified
-
濃度:It differs from different batches. Please contact us to confirm it.
-
保存緩沖液:Preservative: 0.03% Proclin 300
Constituents: 50% Glycerol, 0.01M PBS, pH 7.4 -
產品提供形式:Liquid
-
應用范圍:ELISA, WB, IHC, IF
-
推薦稀釋比:
Application Recommended Dilution WB 1:500-1:5000 IHC 1:20-1:200 IF 1:50-1:200 -
Protocols:
-
儲存條件:Upon receipt, store at -20°C or -80°C. Avoid repeated freeze.
-
貨期:Basically, we can dispatch the products out in 1-3 working days after receiving your orders. Delivery time maybe differs from different purchasing way or location, please kindly consult your local distributors for specific delivery time.
-
用途:For Research Use Only. Not for use in diagnostic or therapeutic procedures.
相關產品
靶點詳情
-
功能:Deubiquitinase with an ATP-independent isopeptidase activity, cleaving at the C-terminus of the ubiquitin moiety. Catalyzes its own deubiquitination. In vitro, isoform 2, but not isoform 3, shows deubiquitinating activity. Promotes plasma membrane localization of ARF6 and selectively regulates ARF6-dependent endocytic protein trafficking. Is able to initiate tumorigenesis by inducing the production of matrix metalloproteinases following NF-kappa-B activation.
-
基因功能參考文獻:
- None of the genitourinary pseudosarcomatous myofibroblastic proliferations was found to harbour USP6 (0/12), ROS1 (0/8) or ETV6 (0/7) rearrangements PMID: 29617048
- we identified seven novel fusion partners for USP6 in nodular fasciitis, highlighting the importance of USP6 expression and promoter-swapping fusions in the etiology of this neoplasm PMID: 28752842
- Report the presence of USP6 rearrangements in a subset of cellular fibroma of tendon sheath. PMID: 27125357
- our studies highlight Jak1 as the first identified substrate for USP6, and they offer a mechanistic rationale for the clinical investigation of Jak and STAT3 inhibitors as therapeutics for the treatment of bone and soft tissue tumors along with other neoplasms driven by USP6 overexpression PMID: 27440725
- Molecular analyses revealed the presence and amplification of the novel PPPR6-USP6 gene fusion, which resulted in USP6 mRNA transcriptional upregulation. These findings further support the oncogenic role of the USP6 protease in mesenchymal neoplasia and expand the biologic potential of Nodular fasciitis PMID: 27113271
- It was shown that TRE17 activates the classical NF-kappa B pathway through an atypical mechanism that does not involve IkappaB degradation. Optimal activation of NF-kappa B by TRE17 required both catalytic subunits of IkappaB kinase. PMID: 22081069
- USP6 fluorescence in-situ hybridization is a useful ancillary test in cases where nodular fasciitis is a potential diagnostic consideration. PMID: 27271298
- the deubiquitylase ubiquitin-specific protease 6 (USP6) as a potent activator of Wnt signaling. USP6 enhances Wnt signaling by deubiquitylating Fzds, thereby increasing their cell-surface abundance. PMID: 27162353
- TRE17/USP6 regulates ubiquitylation and trafficking of cargo proteins that enter cells by clathrin-independent endocytosis PMID: 25179595
- 8 of the 9 giant cell reparative granulomas from hands and feet showed rearrangements of the USP6 gene compared with none of 8 gnathic lesions PMID: 24742829
- we discuss the clinicopathologic features, molecular pathology, and pathogenesis of ABC and nodular fasciitis in relation to USP6 PMID: 23769422
- identification of a USP6 gene rearrangement is helpful in making a diagnosis of nodular fasciitis. PMID: 23748914
- manipulating USP6 expression levels alters the ability of cells to migrate and to divide. Cell proliferation and progression through cytokinesis depend on USP6 expression PMID: 22188517
- TRE17 is sufficient to initiate tumorigenesis, identify MMPs as novel TRE17 effectors that likely contribute to aneurysmal bone cyst pathogenesis. PMID: 20418905
- TRE17 coprecipitated specifically with the active forms of Cdc42 and Rac1 in vivo. TRE17 is part of a novel effector complex for Cdc42 and Rac1, potentially contributing to their effects on actin remodeling. PMID: 12612085
- Complementation tests in yeasts indicate that Tre2 codes for a nonfunctional RabGAP. PMID: 14521938
- Deregulated USP6 transcription is associated with aneurysmal bone cyst PMID: 15026324
- primary aneurysmal bone cysts are mesenchymal neoplasms exhibiting USP6 and/or CDH11 oncogenic rearrangements PMID: 15509545
- TRE17 associates directly with Arf6 in its GDP- but not GTP-bound state. PMID: 15509780
- Tre2 oncogene seems to encode a nonfunctional Rab GAP. As regions flanking the TBC domain may be crucial for catalytic activity PMID: 16099424
- Ca2+/CaM has a role in regulating ubiquitination through direct interaction with TRE17 PMID: 16127172
- The lack of secondary structure of the region flanking the TBC domain in TRE2 may explain why this region plays a role in the lack of GAP activity, even when a potentially functional TBC domain is present. PMID: 17701273
- No USP6 rearrangements were found in cherubism or brown tumors. USP6 rearrangements were identified in 2 patients with myositis ossificans. PMID: 18265974
顯示更多
收起更多
-
相關疾病:A chromosomal aberration involving USP6 is a common genetic feature of aneurysmal bone cyst, a benign osseous neoplasm. Translocation t(16;17)(q22;p13) with CDH11. The translocation generates a fusion gene in which the strong CDH11 promoter is fused to the entire USP6 coding sequence, resulting in USP6 transcriptional up-regulation (PubMed:15026324).
-
亞細胞定位:Cell membrane. Cytoplasm. Endosome. Note=Localizes to the plasma membrane and to filamentous structures within the cell corresponding to ARF6 regulated tubular endosomes. Activation of RAC1 and CDC42 can direct the relocalization of USP6 to the plasma membrane in a manner that depends on the integrity of the actin cytoskeleton.
-
蛋白家族:Peptidase C19 family
-
組織特異性:Testis specific. Expressed in various cancer cell lines.
-
數據庫鏈接:
Most popular with customers
-
-
YWHAB Recombinant Monoclonal Antibody
Applications: ELISA, WB, IHC, IF, FC
Species Reactivity: Human, Mouse, Rat
-
Phospho-YAP1 (S127) Recombinant Monoclonal Antibody
Applications: ELISA, WB, IHC
Species Reactivity: Human
-
-
-
-
-















