USP45 Antibody
-
中文名稱:USP45兔多克隆抗體
-
貨號:CSB-PA693911
-
規格:¥1100
-
圖片:
-
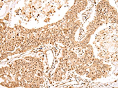
The image on the left is immunohistochemistry of paraffin-embedded Human prostate cancer tissue using CSB-PA693911(USP45 Antibody) at dilution 1/25, on the right is treated with fusion protein. (Original magnification: ×200)
-
The image on the left is immunohistochemistry of paraffin-embedded Human colorectal cancer tissue using CSB-PA693911(USP45 Antibody) at dilution 1/25, on the right is treated with fusion protein. (Original magnification: ×200)
-
-
其他:
產品詳情
-
Uniprot No.:
-
基因名:USP45
-
別名:USP45 antibody; Ubiquitin carboxyl-terminal hydrolase 45 antibody; EC 3.4.19.12 antibody; Deubiquitinating enzyme 45 antibody; Ubiquitin thioesterase 45 antibody; Ubiquitin-specific-processing protease 45 antibody
-
宿主:Rabbit
-
反應種屬:Human,Mouse
-
免疫原:Full length fusion protein
-
免疫原種屬:Homo sapiens (Human)
-
標記方式:Non-conjugated
-
抗體亞型:IgG
-
純化方式:Antigen affinity purification
-
濃度:It differs from different batches. Please contact us to confirm it.
-
保存緩沖液:-20°C, pH7.4 PBS, 0.05% NaN3, 40% Glycerol
-
產品提供形式:Liquid
-
應用范圍:ELISA,IHC
-
推薦稀釋比:
Application Recommended Dilution ELISA 1:2000-1:5000 IHC 1:25-1:100 -
Protocols:
-
儲存條件:Upon receipt, store at -20°C or -80°C. Avoid repeated freeze.
-
貨期:Basically, we can dispatch the products out in 1-3 working days after receiving your orders. Delivery time maybe differs from different purchasing way or location, please kindly consult your local distributors for specific delivery time.
-
用途:For Research Use Only. Not for use in diagnostic or therapeutic procedures.
相關產品
靶點詳情
-
功能:Catalyzes the deubiquitination of SPDL1. Plays a role in the repair of UV-induced DNA damage via deubiquitination of ERCC1, promoting its recruitment to DNA damage sites. May be involved in the maintenance of photoreceptor function. May play a role in normal retinal development. Plays a role in cell migration.
-
基因功能參考文獻:
- these results establish USP45 as a new regulator of XPF-ERCC1 crucial for efficient DNA repair PMID: 25538220
-
亞細胞定位:Photoreceptor inner segment. Cytoplasm. Nucleus.
-
蛋白家族:Peptidase C19 family
-
組織特異性:Widely expressed. High expression is detected in the cerebellum. In the eye, it is expressed at high levels in the optic nerve, sclera and retina, with relatively low levels in the choroid, lens and retinal pigment epithelium.
-
數據庫鏈接:
Most popular with customers
-
-
YWHAB Recombinant Monoclonal Antibody
Applications: ELISA, WB, IHC, IF, FC
Species Reactivity: Human, Mouse, Rat
-
Phospho-YAP1 (S127) Recombinant Monoclonal Antibody
Applications: ELISA, WB, IHC
Species Reactivity: Human
-
-
-
-
-















