TRPM2 Antibody
-
中文名稱:TRPM2兔多克隆抗體
-
貨號:CSB-PA007779LA01HU
-
規格:¥440
-
圖片:
-
Western blot
All lanes: TRPM2 antibody at 3µg/ml
Lane 1: HepG2 whole cell lysate
Lane 2: Mouse brain tissue
Lane 3: A549 whole cell lysate
Lane 4: K562 whole cell lysate
Lane 5: Mouse kidney tissue
Lane 6: Human placenta tissue
Lane 7: Mouse spleen tissue
Secondary
Goat polyclonal to rabbit IgG at 1/10000 dilution
Predicted band size: 172, 166, 96 kDa
Observed band size: 70 kDa -
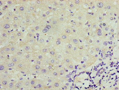
Immunohistochemistry of paraffin-embedded human liver cancer using CSB-PA007779LA01HU at dilution of 1:100
-
Immunofluorescent analysis of HepG2 cells using CSB-PA007779LA01HU at dilution of 1:100 and Alexa Fluor 488-congugated AffiniPure Goat Anti-Rabbit IgG(H+L)
-
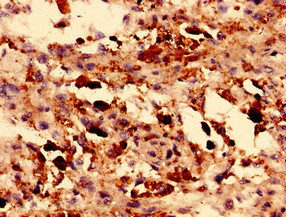
Immunohistochemistry analysis of human melanoma using CSB-PA007779LA01HU at dilution of 1:100
-
Immunofluorescent analysis of Hela cells using CSB-PA007779LA01HU at dilution of 1:100 and Alexa Fluor 488-congugated AffiniPure Goat Anti-Rabbit IgG(H+L)
-
Immunofluorescent analysis of A549 cells using CSB-PA007779LA01HU at dilution of 1:100 and Alexa Fluor 488-congugated AffiniPure Goat Anti-Rabbit IgG(H+L)
-
-
其他:
產品詳情
-
產品名稱:Rabbit anti-Homo sapiens (Human) TRPM2 Polyclonal antibody
-
Uniprot No.:
-
基因名:
-
別名:EREG 1 antibody; EREG1 antibody; Estrogen responsive element associated gene 1 antibody; Estrogen responsive element associated gene 1 protein antibody; Estrogen-responsive element-associated gene 1 protein antibody; KNP 3 antibody; KNP3 antibody; Long transient receptor potential channel 2 antibody; LTRPC 2 antibody; LTrpC-2 antibody; LTrpC2 antibody; MGC133383 antibody; NUDT9H antibody; NUDT9L1 antibody; putative Ca2+ channel protein antibody; putative Ca2+ channel protein antibody; Transient receptor potential cation channel subfamily M member 2 antibody; Transient receptor potential channel 7 antibody; TRPC 7 antibody; TrpC7 antibody; TRPM 2 antibody; Trpm2 antibody; TRPM2_HUMAN antibody
-
宿主:Rabbit
-
反應種屬:Human, Mouse
-
免疫原:Recombinant Human Transient receptor potential cation channel subfamily M member 2 protein (60-119AA)
-
免疫原種屬:Homo sapiens (Human)
-
標記方式:Non-conjugated
本頁面中的產品,TRPM2 Antibody (CSB-PA007779LA01HU),的標記方式是Non-conjugated。對于TRPM2 Antibody,我們還提供其他標記。見下表:
-
克隆類型:Polyclonal
-
抗體亞型:IgG
-
純化方式:>95%, Protein G purified
-
濃度:It differs from different batches. Please contact us to confirm it.
-
保存緩沖液:Preservative: 0.03% Proclin 300
Constituents: 50% Glycerol, 0.01M PBS, PH 7.4 -
產品提供形式:Liquid
-
應用范圍:ELISA, WB, IHC, IF
-
推薦稀釋比:
Application Recommended Dilution WB 1:500-1:5000 IHC 1:20-1:200 IF 1:50-1:200 -
Protocols:
-
儲存條件:Upon receipt, store at -20°C or -80°C. Avoid repeated freeze.
-
貨期:Basically, we can dispatch the products out in 1-3 working days after receiving your orders. Delivery time maybe differs from different purchasing way or location, please kindly consult your local distributors for specific delivery time.
-
用途:For Research Use Only. Not for use in diagnostic or therapeutic procedures.
相關產品
靶點詳情
-
功能:Nonselective, voltage-independent cation channel that mediates Na(+) and Ca(2+) influx, leading to increased cytoplasmic Ca(2+) levels. Functions as ligand-gated ion channel. Binding of ADP-ribose to the cytoplasmic Nudix domain causes a conformation change; the channel is primed but still requires Ca(2+) binding to trigger channel opening. Extracellular calcium passes through the channel and increases channel activity. Contributes to Ca(2+) release from intracellular stores in response to ADP-ribose. Plays a role in numerous processes that involve signaling via intracellular Ca(2+) levels. Besides, mediates the release of lysosomal Zn(2+) stores in response to reactive oxygen species, leading to increased cytosolic Zn(2+) levels. Activated by moderate heat (35 to 40 degrees Celsius). Activated by intracellular ADP-ribose, beta-NAD (NAD(+)) and similar compounds, and by oxidative stress caused by reactive oxygen or nitrogen species. The precise physiological activators are under debate; the true, physiological activators may be ADP-ribose and ADP-ribose-2'-phosphate. Activation by ADP-ribose and beta-NAD is strongly increased by moderate heat (35 to 40 degrees Celsius). Likewise, reactive oxygen species lower the threshold for activation by moderate heat (37 degrees Celsius). Plays a role in mediating behavorial and physiological responses to moderate heat and thereby contributes to body temperature homeostasis. Plays a role in insulin secretion, a process that requires increased cytoplasmic Ca(2+) levels. Required for normal IFNG and cytokine secretion and normal innate immune immunity in response to bacterial infection. Required for normal phagocytosis and cytokine release by macrophages exposed to zymosan (in vitro). Plays a role in dendritic cell differentiation and maturation, and in dendritic cell chemotaxis via its role in regulating cytoplasmic Ca(2+) levels. Plays a role in the regulation of the reorganization of the actin cytoskeleton and filopodia formation in response to reactive oxygen species via its role in increasing cytoplasmic Ca(2+) and Zn(2+) levels. Confers susceptibility to cell death following oxidative stress.; Lacks cation channel activity. Does not mediate cation transport in response to oxidative stress or ADP-ribose.; Lacks cation channel activity and negatively regulates the channel activity of isoform 1. Negatively regulates susceptibility to cell death in reposponse to oxidative stress.
-
基因功能參考文獻:
- TRPM2 overexpression in a PDAC cell line (PANC1) promoted cell proliferation, invasion and metastatic ability. TRPM2 represents a potential therapeutic target and prognostic marker for patients with PDAC. PMID: 29620272
- The expression of TRPM2-AS was higher in most HCC tissues and was significantly correlated with tumor size, AJCC stage, tumor differentiation, and the prognosis of HCC patients. Interfering TRPM2-AS expression using siRNA significantly inhibited cell proliferation and promoted cell apoptosis in two HCC cell lines. PMID: 29081064
- Results reveal a novel, potentially druggable signalling pathway for FFA-induced beta-cell death. The cascade involves NOX-2-dependent production of ROS, activation of TRPM2 channels, rise in mitochondrial Zn(2+), Drp-1 recruitment and abnormal mitochondrial fission. PMID: 28753206
- TRPM2 is essential for the survival and migration of squamous cell cancer cells. PMID: 28008929
- Results provide compelling evidence to support a role for nitrosative stress in linking the TRPM2 turnover with the disturbance of autophagy in brain pericyte injury. PMID: 28292196
- oxidative stress activates the TRPM2-Ca(2+)-CAMK2 cascade to phosphorylate BECN1 resulting in autophagy inhibition PMID: 27245989
- We conclude from these studies that inhibition of ROS production, and the subsequent abrogation of TRPM2-mediated Ca(2+) influx, is the primary mechanism underlying RE-1's inhibitory effect on LNs-induced inflammasome activation. PMID: 27632706
- oxidative stress activated the TRPM2-CaMKII cascade to further induce intracellular ROS production, which led to mitochondria fragmentation and loss of mitochondrial membrane potential PMID: 28007458
- The work summarized here shows that TRPM2 channels protect cardiac myocytes from ischaemia-reperfusion injury and tumour cells from doxorubicin toxicity, and demonstrates that the mechanisms involve preservation of mitochondrial bioenergetics and modulation of ROS PMID: 26420388
- Activation of TRPM2 channels, however, caused intracellular release of not only Ca(2+) but also of Zn(2+) Intriguingly, elevation of intracellular Zn(2+) faithfully reproduced all of the effects of H2O2, whereas Ca(2+) showed opposite effects. Interestingly, H2O2 caused increased trafficking of Zn(2+)-enriched lysosomes to the leading edge of migrating cells, presumably to impart polarisation of Zn(2+) location. PMID: 27068538
- neutrophils sense reactive oxygen species via the TRPM2 channel to arrest migration at their target site. PMID: 27623379
- The inhibitory function of oxidant sensing by TRPM2 requires the oxidation of Cys549, which then induces TRMP2 binding to formyl peptide receptor 1 (FPR1) and subsequent FPR1 internalization and signaling inhibition PMID: 27569419
- findings demonstrate the important function of TRPM2 in modulation of cell survival through mitochondrial ROS, and the potential of targeted inhibition of TRPM2 as a therapeutic approach to reduce cellular bioenergetics, tumor growth, and enhance susceptibility to chemotherapeutic agents. PMID: 27694440
- Study demonstrate that PRL is necessary for the survival of (retinal pigment epithelium) RPE under normal and advancing age conditions and, identified SIRT2 and TRPM2 as molecular targets for the antioxidant and antiapoptotic actions of PRL in the RPE. PMID: 27322457
- TRPM2 has a role in the DNA damage response of T cell leukemia cells in a BCL-2 dependent manner PMID: 26839633
- Data show that HEK293 cells expressing low levels of receptor potential melastatin 2 (TRPM2) channel were more susceptible to silica nanoparticles (NPs) than those expressing high levels of TRPM2. PMID: 26656285
- This is expected to provide a basis for inhibiting TRPM2 for the improved treatment of breast cancer, which potentially includes treating breast tumors that are resistant to chemotherapy due to their evasion of apoptosis. PMID: 26178079
- In a transgenic mouse model of Alzheimer's disease, TRPM2 was involved in neuronal toxicity and memory impairment. PMID: 26558786
- These findings shed new light on the evolution of TRPM2 and establish nvTRPM2 as a promising tool to decipher its complex gating mechanisms. PMID: 25620041
- we report here a novel effect promoted by TRPM2, where it functions to minimize DNA damage and thus may have a role in the protection of genomic DNA in breast cancer cells. PMID: 25760245
- The HDACi-elicited upregulation of TRPM2 expression. PMID: 25760728
- TRPM2 actively regulates the phosphorylation of GSK-3 in the brain. PMID: 26311765
- The degradation of zonula occludens-1 (ZO-1), and claudin-2 exhibited a great dependence on the activation of the transient receptor potential melastatin (TRPM) 2 channel, phospholipase Cgamma1 (PLCgamma1) and the protein kinase Calpha (PKCalpha) signaling cascade. PMID: 23629676
- Although further analyses are needed to clarify the mechanism underlying TRPM2-mediated insulin secretion, TRPM2 could be a key player in the regulation of insulin secretion and could represent a new target for diabetes therapy PMID: 25084624
- TRPM2-AS knockdown led to prostate cancer apoptosis, with a transcriptional profile indicating an increase in cellular stress, which was coupled to cell cycle arrest, an increase in intracellular hydrogen peroxide and activation of the sense TRPM2 gene. PMID: 24931166
- VEGF-induced angiogenesis required reactive oxygen species generation in endothelial cells and resultant TRPM2 activation. PMID: 25675998
- Ca2+ entry via Trpm2 channels was essential for maintenance of mitochondrial function in the heart. PMID: 25576627
- TRPM2-L function may be a novel approach to reduce tumor growth through modulation of HIF-1/2a, mitochondrial function, and mitophagy. PMID: 25391657
- Recent scientific advance on the mechanistic study of gout-associated inflammation is discussed and the potential of targeting the transient receptor potential melastatin 2 is highlighted as a novel therapeutic approach for the treatment of gout PMID: 24004350
- Preventing the uncoupling of short variant TRPM2-S from TRPM2 and subsequent calcium gating during oxidative stress mitigates endothelial apoptosis and its consequences in mediating vascular injury and inflammation. PMID: 24337049
- the crucial role of a positively charged amino acid residue at position 1110 for TRPM2 channel activity PMID: 23957292
- TRPM7 plays a critical role in breast cancer cell migration through its kinase domain. PMID: 23910495
- The association with bipolar disorder of the iPLA2beta (PLA2G6) its genetic interaction with type 2 transient receptor potential channel gene TRPM2, was examined. PMID: 23277130
- the activation of TRPM2 channel, which mediates ATP release, and TRPV1 channel plays significant roles in the cellular responses to DNA damage induced by gamma-irradiation and UVB irradiation. PMID: 23458684
- TRPM2 mRNA expression in endometrial stromal cells increased after 17beta-estradiol exposure. PMID: 23142700
- TRPM2 is activated by irradiation, via PARP1 activation, and contributes to irreversible loss of salivary gland function. PMID: 23443543
- In conclusion, the N-x-x-D motif plays specific roles in TRPM8 and TRPM2, reflecting different requirements for voltage-dependent and voltage-independent channel gating. PMID: 23185472
- overexpression of TRPM2-S results in increased proliferation through phosphatidylinositol 3-kinase/Akt and ERK pathways, while overexpression of TRPM2-L confers protection against oxidative stress-induced cell death through FOXO3a and SOD PMID: 23302782
- Particulate matter induces marked increases in vascular permeability via ROS-mediated calcium leakage via activated TRPM2, and via ZO-1 degradation by activated calpain. PMID: 22931549
- Cu2+ is a potent TRPM2 channel blocker. The sensitivity of TRPM2 channel to heavy metal ions could be a new mechanism for the pathogenesis of some metal ion-related diseases. PMID: 22750002
- the changes of Ca(2+) homeostasis induced by NAD(+) precursors are mediated by CD38 and the consequent ADPR-mediated TRPM2 gating. PMID: 22547068
- findings suggest that redox signals sensitize TRPM2 downstream of NADPH oxidase activity and make TRPM2 active at physiological body temperature, leading to increased cytosolic Ca(2+) concentrations PMID: 22493272
- The juvenile myoclonic epilepsy-related protein EFHC1 interacts with the redox-sensitive TRPM2 channel linked to cell death. PMID: 22226147
- functional TRPM2 channels mediate H(2)O(2)-induced Ca(2+) entry in beta-cells, a process potently inhibited by N-(p-amylcinnamoyl)anthranilic acid PMID: 19382906
- Results suggest a crucial role of residue His(995)/Gln(992) in the outer pore of TRPM2 channels in determining species-dependent effects of extracellular acidic pH. PMID: 21505784
- Zn(2+) inactivates the TRPM2 channels and that residues in the outer pore are critical determinants of the inactivation. PMID: 21602277
- Our findings suggest that the elevation of [Na(+)](in) and [Ca(2+)](in) induced ONP apoptosis and altered the expression of TRPM2. Lithium pretreatment attenuated the apoptosis induced by ionic stress. PMID: 20799912
- TRP channels in the beta-cell may integrate a variety of stimuli to modulate glucose-stimulated electrical and calcium responsiveness. PMID: 21193737
- found no evidence for an association of the TRPM2 variants tested with type 2 diabetes mellitus, although HOMA-%B was negatively associated with three TRPM2 variants PMID: 20515676
- acidic pH acts as a negative feedback mechanism where protons bind to the outer vestibule of the TRPM2 channel pore and inhibit the TRPM2 channels in a state-dependent manner. PMID: 20660597
顯示更多
收起更多
-
亞細胞定位:Cell membrane; Multi-pass membrane protein. Perikaryon. Cell projection. Cytoplasmic vesicle. Lysosome.; [Isoform 1]: Cell membrane; Multi-pass membrane protein.; [Isoform 2]: Cell membrane; Multi-pass membrane protein.; [Isoform 3]: Cell membrane; Multi-pass membrane protein.
-
蛋白家族:Transient receptor (TC 1.A.4) family, LTrpC subfamily, TRPM2 sub-subfamily
-
組織特異性:Highly expressed in brain and peripheral blood cells, such as neutrophils. Also detected in bone marrow, spleen, heart, liver and lung. Isoform 2 is found in neutrophil granulocytes.
-
數據庫鏈接:
Most popular with customers
-
-
-
-
-
-
-
VDAC1 Recombinant Monoclonal Antibody
Applications: ELISA, WB, IHC
Species Reactivity: Human, Mouse, Rat
-
VCP Recombinant Monoclonal Antibody
Applications: ELISA, WB, IHC, IF, IP
Species Reactivity: Human, Rat















