TRAF7 Antibody
-
中文名稱:TRAF7兔多克隆抗體
-
貨號:CSB-PA798721
-
規格:¥1100
-
圖片:
-
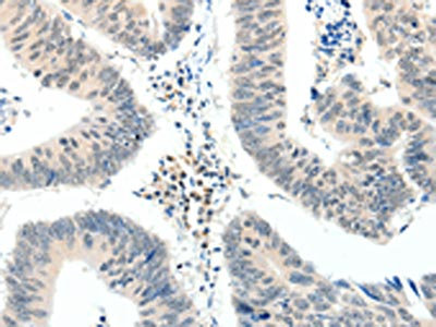
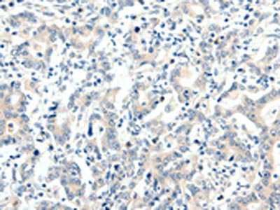
The image on the left is immunohistochemistry of paraffin-embedded Human colon cancer tissue using CSB-PA798721(TRAF7 Antibody) at dilution 1/20, on the right is treated with synthetic peptide. (Original magnification: ×200)
-
The image on the left is immunohistochemistry of paraffin-embedded Human gastric cancer tissue using CSB-PA798721(TRAF7 Antibody) at dilution 1/20, on the right is treated with synthetic peptide. (Original magnification: ×200)
-
Gel: 8%SDS-PAGE, Lysate: 40 μg, Lane: Jurkat cells, Primary antibody: CSB-PA798721(TRAF7 Antibody) at dilution 1/300, Secondary antibody: Goat anti rabbit IgG at 1/8000 dilution, Exposure time: 2 minutes
-
-
其他:
產品詳情
-
Uniprot No.:
-
基因名:TRAF7
-
別名:E3 ubiquitin protein ligase TRAF7 antibody; E3 ubiquitin-protein ligase TRAF7 antibody; RFWD1 antibody; Ring finger and WD repeat domain 1 antibody; RING finger and WD repeat-containing protein 1 antibody; RING finger protein 119 antibody; RNF119 antibody; TNF receptor associated factor 7 antibody; TNF receptor-associated factor 7 antibody; TRAF7 antibody; TRAF7_HUMAN antibody
-
宿主:Rabbit
-
反應種屬:Human
-
免疫原:Synthetic peptide of Human TRAF7
-
免疫原種屬:Homo sapiens (Human)
-
標記方式:Non-conjugated
-
抗體亞型:IgG
-
純化方式:Antigen affinity purification
-
濃度:It differs from different batches. Please contact us to confirm it.
-
保存緩沖液:-20°C, pH7.4 PBS, 0.05% NaN3, 40% Glycerol
-
產品提供形式:Liquid
-
應用范圍:ELISA,WB,IHC
-
推薦稀釋比:
Application Recommended Dilution ELISA 1:1000-1:5000 WB 1:200-1:1000 IHC 1:15-1:50 -
Protocols:
-
儲存條件:Upon receipt, store at -20°C or -80°C. Avoid repeated freeze.
-
貨期:Basically, we can dispatch the products out in 1-3 working days after receiving your orders. Delivery time maybe differs from different purchasing way or location, please kindly consult your local distributors for specific delivery time.
-
用途:For Research Use Only. Not for use in diagnostic or therapeutic procedures.
相關產品
靶點詳情
-
功能:E3 ubiquitin ligase capable of auto-ubiquitination, following phosphorylation by MAP3K3. Potentiates MAP3K3-mediated activation of the NF-kappa-B, JUN/AP1 and DDIT3 transcriptional regulators. Induces apoptosis when overexpressed. Plays a role in the phosphorylation of MAPK1 and/or MAPK3, probably via its interaction with MAP3K3.
-
基因功能參考文獻:
- TRAF7 mutations icause intraneural perineuriomas. PMID: 28019650
- TRAF7 is a direct target of miR-126 in human umbilical cord vascular endothelial cells. PMID: 25318608
- Downregulation of ubiquitin E3 ligase TNF receptor-associated factor 7 leads to stabilization of p53 in breast cancer. PMID: 23128672
- The findings of this study suggested an essential contribution of combined KLF4 K409Q and TRAF7 mutations in the genesis of secretory meningioma and demonstrate a role for TRAF7 alterations in other non-NF2 meningiomas. PMID: 23404370
- Nearly one-fourth of all meningiomas have mutations in TRAF7. PMID: 23348505
- TRAF7 is involved in signal transduction pathways that lead either to activation or repression of NF-kappaB transcription factor. PMID: 22105767
- an important role for TRAF7 in the activation of JNK following TNFalpha stimulation and involvement of this protein in regulating the turnover of c-FLIP PMID: 22219201
- this study identifies TRAF7 as a NEMO- and p65-interacting molecule and brings important information on the ubiquitination events that control NF-kappaB transcriptional activity. PMID: 21518757
- TRAF7 potentiates MEKK3-induced AP1 and CHOP activation and induces apoptosis PMID: 15001576
顯示更多
收起更多
-
亞細胞定位:Cytoplasmic vesicle. Note=Colocalizes with MAP3K3 to vesicle-like structures throughout the cytoplasm.
-
蛋白家族:WD repeat TRAF7 family
-
組織特異性:Ubiquitously expressed with high levels in skeletal muscle, heart, colon, spleen, kidney, liver and placenta.
-
數據庫鏈接:
Most popular with customers
-
-
YWHAB Recombinant Monoclonal Antibody
Applications: ELISA, WB, IHC, IF, FC
Species Reactivity: Human, Mouse, Rat
-
Phospho-YAP1 (S127) Recombinant Monoclonal Antibody
Applications: ELISA, WB, IHC
Species Reactivity: Human
-
-
-
-
-















