TPST1 Antibody
-
中文名稱:TPST1兔多克隆抗體
-
貨號:CSB-PA778095
-
規格:¥1100
-
圖片:
-
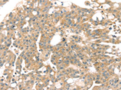
The image on the left is immunohistochemistry of paraffin-embedded Human esophagus cancer tissue using CSB-PA778095(TPST1 Antibody) at dilution 1/20, on the right is treated with synthetic peptide. (Original magnification: ×200)
-
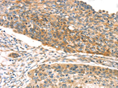
The image on the left is immunohistochemistry of paraffin-embedded Human breast cancer tissue using CSB-PA778095(TPST1 Antibody) at dilution 1/20, on the right is treated with synthetic peptide. (Original magnification: ×200)
-
-
其他:
產品詳情
-
Uniprot No.:
-
基因名:TPST1
-
別名:TPST1; Protein-tyrosine sulfotransferase 1; Tyrosylprotein sulfotransferase 1; TPST-1
-
宿主:Rabbit
-
反應種屬:Human,Mouse,Rat
-
免疫原:Synthetic peptide of Human TPST1
-
免疫原種屬:Homo sapiens (Human)
-
標記方式:Non-conjugated
-
抗體亞型:IgG
-
純化方式:Antigen affinity purification
-
濃度:It differs from different batches. Please contact us to confirm it.
-
保存緩沖液:-20°C, pH7.4 PBS, 0.05% NaN3, 40% Glycerol
-
產品提供形式:Liquid
-
應用范圍:ELISA,IHC
-
推薦稀釋比:
Application Recommended Dilution ELISA 1:2000-1:5000 IHC 1:20-1:100 -
Protocols:
-
儲存條件:Upon receipt, store at -20°C or -80°C. Avoid repeated freeze.
-
貨期:Basically, we can dispatch the products out in 1-3 working days after receiving your orders. Delivery time maybe differs from different purchasing way or location, please kindly consult your local distributors for specific delivery time.
-
用途:For Research Use Only. Not for use in diagnostic or therapeutic procedures.
相關產品
靶點詳情
-
功能:Catalyzes the O-sulfation of tyrosine residues within acidic motifs of polypeptides, using 3'-phosphoadenylyl sulfate (PAPS) as cosubstrate.
-
基因功能參考文獻:
- TPST1 was significantly negatively correlated with the expression of cMet in lung cancer and may be a negative prognostic biomarker of lung cancer. PMID: 26238632
- TPST1 rs3757417T>G polymorphisms are associated with colorectal cancer. PMID: 25079514
- Affinity purified salivary TPST showed a single band of 50-54 kDa and is the first report characterizing a tyrosylprotein sulfotransferase in secretory fluid from the parotid gland PMID: 16244708
- results exclude TPST1 as the causative gene for Shwachman-Diamond syndrome PMID: 12032733
- Shear stress-dependent downregulation of TPST1 in human endothelium involves protein kinase C PMID: 12056800
- Human tyrosylprotein sulfotransferase may be functional as homodimer/oligomer in the trans-Golgi compartment. PMID: 16859706
顯示更多
收起更多
-
亞細胞定位:Golgi apparatus membrane; Single-pass type II membrane protein.
-
蛋白家族:Protein sulfotransferase family
-
組織特異性:Ubiquitous. Detected in heart, brain, placenta, lung, liver, skeletal muscle, kidney and pancreas.
-
數據庫鏈接:
Most popular with customers
-
-
YWHAB Recombinant Monoclonal Antibody
Applications: ELISA, WB, IHC, IF, FC
Species Reactivity: Human, Mouse, Rat
-
Phospho-YAP1 (S127) Recombinant Monoclonal Antibody
Applications: ELISA, WB, IHC
Species Reactivity: Human
-
-
-
-
-















