TPH2 Antibody
-
中文名稱:TPH2兔多克隆抗體
-
貨號:CSB-PA809000LA01HU
-
規格:¥440
-
圖片:
-
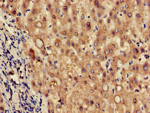
Immunohistochemistry of paraffin-embedded human liver tissue using CSB-PA809000LA01HU at dilution of 1:100
-
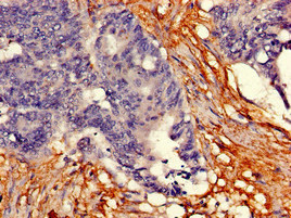
Immunohistochemistry of paraffin-embedded human colon cancer using CSB-PA809000LA01HU at dilution of 1:100
-
Immunofluorescent analysis of HepG2 cells using CSB-PA809000LA01HU at dilution of 1:100 and Alexa Fluor 488-congugated AffiniPure Goat Anti-Rabbit IgG(H+L)
-
Western Blot
Positive WB detected in: Rat heart tissue, Mouse stomach tissue
All lanes: TPH2 antibody at 3μg/ml
Secondary
Goat polyclonal to rabbit IgG at 1/50000 dilution
Predicted band size: 57 kDa
Observed band size: 57 kDa
-
-
其他:
產品詳情
-
產品名稱:Rabbit anti-Homo sapiens (Human) TPH2 Polyclonal antibody
-
Uniprot No.:
-
基因名:TPH2
-
別名:TPH2; NTPH; Tryptophan 5-hydroxylase 2; Neuronal tryptophan hydroxylase; Tryptophan 5-monooxygenase 2
-
宿主:Rabbit
-
反應種屬:Human, Mouse, Rat
-
免疫原:Recombinant Human Tryptophan 5-hydroxylase 2 protein (44-225AA)
-
免疫原種屬:Homo sapiens (Human)
-
標記方式:Non-conjugated
本頁面中的產品,TPH2 Antibody (CSB-PA809000LA01HU),的標記方式是Non-conjugated。對于TPH2 Antibody,我們還提供其他標記。見下表:
-
克隆類型:Polyclonal
-
抗體亞型:IgG
-
純化方式:>95%, Protein G purified
-
濃度:It differs from different batches. Please contact us to confirm it.
-
保存緩沖液:Preservative: 0.03% Proclin 300
Constituents: 50% Glycerol, 0.01M PBS, pH 7.4 -
產品提供形式:Liquid
-
應用范圍:ELISA, WB, IHC, IF
-
推薦稀釋比:
Application Recommended Dilution WB 1:200-1:5000 IHC 1:20-1:200 IF 1:50-1:200 -
Protocols:
-
儲存條件:Upon receipt, store at -20°C or -80°C. Avoid repeated freeze.
-
貨期:Basically, we can dispatch the products out in 1-3 working days after receiving your orders. Delivery time maybe differs from different purchasing way or location, please kindly consult your local distributors for specific delivery time.
-
用途:For Research Use Only. Not for use in diagnostic or therapeutic procedures.
相關產品
靶點詳情
-
基因功能參考文獻:
- These findings indicate that TPH1, TPH2, and SLC6A4 variants moderate the subjective effects of cocaine in non-treatment-seeking cocaine-dependent participants. PMID: 28590957
- results provide new evidence for the role of regulatory genetic variants that could modulate human TPH2 expression in the antidepressant response to fluoxetine. PMID: 28456685
- This study firstly demonstrated evidence for an association between aberrant cortical folding in the PFC and ACC and TPH2 polymorphism gene related to the pathophysiology of major depressive disorder. PMID: 27807918
- This study shown that theTPH2 genotype is likely to modulate the risk for addictive behaviors in PD on dopaminergic therapy. PMID: 27237108
- social anxiety disorder entails an overactive presynaptic serotonergic system that, in turn, seems functionally influenced by the TPH2 G-703T polymorphism in emotionally relevant brain regions PMID: 27189957
- nine ADHD candidate single nucleotide polymorphisms (SNPs) in seven genes were tested for association with PD in 5333 cases and 12,019 healthy controls. No significant association was observed. PMID: 28176268
- Tryptophan hydroxylase synthesizes Serotonin and is over-expressed in Suicides.TPH2 mRNA was greater in Suicide Nonsmokers than Suicide Smokers.The absence of altered TPH2 expression in non-suicide smokers suggests no pharmacological effect of Smoking. PMID: 26954509
- This study shown the significant results were found with TPH2 rs4570625 involved with fast visual processing as assessed by metacontrast. PMID: 27926628
- Genetic variation in TPH2 is associated with antidepressant response and may also interact with childhood trauma to influence outcome of antidepressant treatment. PMID: 27521242
- 2-way interaction between TPH2 rs4290270 and general traumas revealed that TT homozygotes with history of general traumas had an increased risk for suicide attempt. 3-way interaction of general traumas, TPH2 rs4290270 and ADARB1 rs4819035 indicated that highest predisposition to suicide attempt was observed in individuals who experienced general traumas and were TT homozygote for rs4290270 and TT homozygote for rs4819035. PMID: 28084537
- The catalytic domain of TPH1 shares a sequence identity of 81% with TPH2. Despite the high sequence identity, differences in the kinetic parameters of the isoforms have been identified; i.e., only TPH1 displays substrate tryptophan inhibition. PMID: 29035515
- results confirm the role of TPH1, TPH2, 5HT2A, CRHR1 and ACP1 variants in the risk of suicidal behavior. PMID: 27479537
- There was no association between rs11179000, rs136494 and rs4570625 polymorphisms of the tryptophan hydroxylase 2 gene and major depressive disorder in a sample of the Colombian population PMID: 28193370
- This study demonstrates that both TPH1 and TPH2 are expressed in human and mouse placenta throughout pregnancy and helps to better understand the placental serotonin system, which is crucial for healthy pregnancy and fetal development. PMID: 28751217
- This study provides the first evidence that, at least among Han Chinese patients with PD, AC genotype at rs78162420 in the TPH2 gene increase risk of depression. PMID: 28320136
- interaction between SNP rs4570625 and BDNF Val66Met predicts a high-Risk emotional phenotype PMID: 27695066
- Subjects with the TPH2 rs4570625 TT genotype, especially males, exhibit less aggression and a favourable impulsivity profile, and develop anxiety disorders by young adulthood less often PMID: 28342337
- Study reports an association between functional variation on the TPH2 promotor region and rich club-a densely mutually connected set of hub regions in the brain, thought to serve as a processing and integration core-organization PMID: 26975194
- Altered TPH2 expression in colonic serotonergic nerves of patients with Hirschsprung's disease complicated by enterocolitis may contribute to intestinal secretory and motor disturbances, including recurrent HAEC. PMID: 27217698
- The purposes of this study were to investigate the potential association of TPH-2 polymorphisms with susceptibility to ODD in a Han Chinese school population. In single marker analyses,there was a significant difference in the genotype (chi (2) = 4.163, P = 0.041) and allele frequency (chi (2) = 3.930, P = 0.047) of rs1386494 between ODD and control groups. PMID: 27871272
- the association studies between TPH2 and Bipolar disorder was investigated. PMID: 26365518
- Carriers of the TPH-2 allele may be at increased risk for PTSD. COMT rs4633C and TPH-2 rs11178997T alleles jointly explained 7% of the variance in PTSD severity scores. These findings provide biological support for dividing DSM-IV category C symptoms into DSM-5 categories C and D. PMID: 25451452
- Study demonstrated that 5-HTTLPR, VNTR In2, and TPH2 rs1386497 polymorphisms mediate working memory performance and that their effects on working memory depend on cocaine use of participants PMID: 26013962
- We also found that early family structure directly influences the levels of dysregulation problems in early adolescence, both alone and in interaction with TPH2. PMID: 26583347
- Chinese Han individuals with at least oners11178997T allele or rs120074175A allele are susceptible to MD even in the relative absence of high-negative life events. PMID: 26386440
- loss of function mutation in Tph2 results in greater motivation for ethanol consumption under aversive conditions and may confer enhanced sensitivity to alcohol use disorder PMID: 26497913
- TPH2 expression is regulated by DNA methylation of the TPH2 promoter region in patients with major depressive disorder. PMID: 25955598
- results provide evidence for an association between the rs7305115 polymorphism of the TPH-2 gene and suicidal behavior in a Mexican population. PMID: 26028568
- mood disorders and HTR1A G allele variation, the C-1019G polymorphism of the transcriptional control region of the 5-HT1A receptor, independently predicted the incidence of IFN-induced depression in HCV patients PMID: 26001668
- A potential role of TPH2 in alcohol dependencies suggested. TPH2 genetic variability may be also associated with anxiety and aggression traits in alcohol dependent subjects. PMID: 26232682
- 1,25-Dihydroxyvitamin D regulates expression of the tryptophan hydroxylase 2 and leptin genes: implication for behavioral influences of vitamin D. PMID: 26071405
- Case-control genetic association study in multi-ethnic Malaysian population. Strong linkage disequilibrium was detected between rs1386495 and rs1386494 in pooled subjects; however, no significant association was found in the haplotype analysis. PMID: 24376086
- TPH2 polymorphism may be associated with cognitive function in late onset depression patients. PMID: 26057341
- With regard to G-703 T/A-473 T/G19918A TPH-2 variants, this up-to-date meta-analysis could not detect any significant association between those genetic variants and suicidal behavior .[review and meta-analysis] PMID: 25005534
- genetic contribution to phenotypic facets related to obsessive-compulsive symptoms and perfectionism in healthy subjects; association of TPH2 s4570625 and DRD2 TaqIA SNPs with the subscales scrupulousness and perseverance of the BFQ factor conscientiousness were found PMID: 25283578
- results provide evidence on the possible role of genetic variations in 5-HT neurotransmission on development of personality traits, and suggest a functional interaction between two key proteins in the serotonergic system. PMID: 25455586
- The results of this study indicated that in the Han Chinese population TPH2 may be a potential susceptibility gene for bipolar disorder. Further studies are needed to validate this association. PMID: 25152196
- findings support that TPH2 may play an important functional role in the development of PTSD and contribute to the limited literature regarding the genetic basis and the sex-specific expression of PTSD's symptoms PMID: 25014617
- This study showed that an interaction among childhood abuse and genetic variants of TPH2. PMID: 25214390
- Data show that a marginal association between TPH2 rs11179023 and symptom improvement was observed in only the group of major depressive disorder patients treated with interpersonal counseling. PMID: 24958631
- Tryptophan hydroxylase 2 gene allele variants might be risk factors for psychiatric conditions in TLE [temporal lobe epilepsy ]. PMID: 24491795
- findings suggest that greater TPH2 gene expression is the basis for more TPH2 protein in the Dorsal Raphe Nucleus and Median Raphe Nucleus in alcoholics. PMID: 24942188
- TPH2 variant and maternal stress and depression are associated with difficulty disengaging attention from fearful facial expressions. PMID: 24304270
- Results show that a single nucleotide loss of function polymorphism in tph2 is sufficient to induce gene-dose-dependent cognitive deficits in mice PMID: 24196946
- The main finding was that carriers homozygous for the G allele(TPH2 -703 G/T) showed increased target-related induced gamma-band synchronization when combined with the A/A genotype of the (NE) transporter variation. PMID: 23258345
- Our findings suggest that common genetic variations of TPH2 are likely to contribute to genetic susceptibility to paranoid schizophrenia in Han Chinese. PMID: 24668623
- polymorphic tph2 enzyme has increased activity, but decreased enzyme stability and serotonin production PMID: 24899127
- None of the genetic markers within SLC6A4, MAOA, TPH1 and TPH2 were significantly associated with completed suicide or suicide method in the basic association tests. PMID: 23313272
- The results of this study showed no association between tryptophan TPH2 gene polymorphisms and the complication of medication overuse headaches in patients with migraines. PMID: 24458851
- None of the three gene variants, 5-HTTLPR, COMTval158met and TPH2 G-703T, was associated with long-term response to CBT for SAD. PMID: 24260145
顯示更多
收起更多
-
相關疾?。?/div>Major depressive disorder (MDD); Attention deficit-hyperactivity disorder 7 (ADHD7)蛋白家族:Biopterin-dependent aromatic amino acid hydroxylase family組織特異性:Brain specific.數據庫鏈接:
Most popular with customers
-
-
YWHAB Recombinant Monoclonal Antibody
Applications: ELISA, WB, IHC, IF, FC
Species Reactivity: Human, Mouse, Rat
-
Phospho-YAP1 (S127) Recombinant Monoclonal Antibody
Applications: ELISA, WB, IHC
Species Reactivity: Human
-
-
-
-
-















