TNFSF4 Antibody
-
中文名稱:TNFSF4兔多克隆抗體
-
貨號:CSB-PA920694
-
規格:¥1100
-
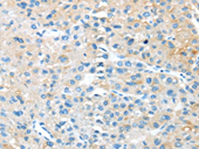
圖片:
-
The image on the left is immunohistochemistry of paraffin-embedded Human liver cancer tissue using CSB-PA920694(TNFSF4 Antibody) at dilution 1/20, on the right is treated with synthetic peptide. (Original magnification: ×200)
-
The image on the left is immunohistochemistry of paraffin-embedded Human brain tissue using CSB-PA920694(TNFSF4 Antibody) at dilution 1/20, on the right is treated with synthetic peptide. (Original magnification: ×200)
-
-
其他:
產品詳情
-
Uniprot No.:
-
基因名:
-
別名:TNFSF4; TXGP1; Tumor necrosis factor ligand superfamily member 4; Glycoprotein Gp34; OX40 ligand; OX40L; TAX transcriptionally-activated glycoprotein 1; CD antigen CD252
-
宿主:Rabbit
-
反應種屬:Human
-
免疫原:Synthetic peptide of Human TNFSF4
-
免疫原種屬:Homo sapiens (Human)
-
標記方式:Non-conjugated
-
抗體亞型:IgG
-
純化方式:Antigen affinity purification
-
濃度:It differs from different batches. Please contact us to confirm it.
-
保存緩沖液:-20°C, pH7.4 PBS, 0.05% NaN3, 40% Glycerol
-
產品提供形式:Liquid
-
應用范圍:ELISA,IHC
-
推薦稀釋比:
Application Recommended Dilution ELISA 1:1000-1:2000 IHC 1:10-1:50 -
Protocols:
-
儲存條件:Upon receipt, store at -20°C or -80°C. Avoid repeated freeze.
-
貨期:Basically, we can dispatch the products out in 1-3 working days after receiving your orders. Delivery time maybe differs from different purchasing way or location, please kindly consult your local distributors for specific delivery time.
-
用途:For Research Use Only. Not for use in diagnostic or therapeutic procedures.
相關產品
靶點詳情
-
功能:Cytokine that binds to TNFRSF4. Co-stimulates T-cell proliferation and cytokine production.
-
基因功能參考文獻:
- It is concluded that the rs3850641 SNP is significantly associated with the breast cancer susceptibility in Iranian population. PMID: 29949525
- TNFSF4 SNPs rs844648, rs844648 and rs704840 were associated with an increased risk of neuromyelitis optica spectrum disorders in Chinese population. PMID: 29032462
- The study suggests that the TNFSF4 gene may be involved in the susceptibility to Vogt-Koyanagi-Harada disease and Behcet's Disease in Han Chinese PMID: 27872495
- present study suggests a novel association between specific TNFSF4 and BLK gene polymorphisms and allergic rhinitis risk. PMID: 28713926
- Data suggest that tumour necrosis factor superfamily 4 (TNFSF4) rs704840 could be the potential systemic lupus erythematosus (SLE) risk factors in the Malaysian population. PMID: 27519474
- House dust mite sublingual immunotherapy downregulated Th2-type immune responses mediated by the TSLP-OX40L signaling pathway in patients with persistent moderate to severe allergic rhinitis. PMID: 27012942
- OX40 and OX40L formed a functional complex, which may facilitate signal transduction from OX40L to OX40 and contribute to the pathogenesis of Grave's disease. PMID: 27107937
- The polymorphisms of the TNFSF4 gene may contribute to the susceptibility to pathogenesis of early-Onset Autoimmune Thyroid Diseases and Hypothyroidism of Hashimoto's Thyroiditis. PMID: 27556446
- the SNPs in TNFSF4 and FAM167A-BLK may be involved in asthma and allergic rhinitis gene risk in the Han Chinese cohort. PMID: 27088737
- Given the discovery cohort, functional data, and importance of TNFSF4 in infection clearance, TNFSF4C may associate with outcomes and warrants future studies. PMID: 26348892
- Review/Meta-analysis: TNFSF4 (rs3850641) polymorphisms is not associated with coronary heart disease risk. PMID: 27008001
- Study showed that the A allele of the rs7518045 and haplotype rs3861950C-rs17346501C-rs7518045A-rs1234313G in the TNFSF4 gene were associated with decreased risk for myocardial infarction in a Chinese Han population. PMID: 26125814
- higher expression in patients with nasal polyposis compared with patients with chronic rhinosinusitis without nasal polyps PMID: 24583911
- contributes to the aberrant T Follicular Helper response in systemic lupus erythematosus PMID: 26070486
- Data indicate that soluble OX40 and sOX40L plasma levels are increased in early rheumatoid arthritis patients. PMID: 25359291
- Report role of TNFSF4 genetic variants in confering risk of systemic lupus erythematosus in Chinese population. PMID: 24091983
- There were no significant associations between rs1234313, rs1234314 and rs17568 and atherosclerotic cerebral infarction risk in a Han Chinese population. PMID: 24595151
- Blocking of the interaction between OX40 and OX40L in vitro inhibited production of Thl and Th2 type cytokines in acute renal allograft rejection. PMID: 23953582
- TNFSF4 gene polymorphism rs3861950, but not rs3850641, is associated with the risk of atherosclerosis CI in a Chinese population. PMID: 23184501
- The results of a meta-analysis suggest that the TNFSF4 rs2205960 polymorphism may confer susceptibility to systemic lupus erythematosus (SLE) in different populations and that the TNFSF4 rs1234315 polymorphism is associated with susceptibility to SLE in Asians. PMID: 22850862
- Our data firstly replicated the association of TNFSF4 with renal disorder in SLE patients in the Chinese population, which supported that TNFSF4 may act as a marker of lupus nephritis PMID: 23936824
- Our data confirm a global signal at TNFSF4 and a role for the expressed product at multiple stages of lymphocyte dysregulation during SLE pathogenesis PMID: 23874208
- The expression levels of OX40 and OX40L were higher in pSS patients. PMID: 23948416
- TNFSF4 may have little significance as a common genetic component of Sjogren's syndrome and primary biliary cirrhosis in the Chinese Han population. PMID: 23622253
- OX40L expression can be used as a marker to evaluate antiviral treatment efficacy and extend the notion that enhancement of OX40L expression could be a good way for immunotherapy in chronic hepatitis C patients. PMID: 23589118
- results suggest that the rs3850641 and rs17568 polymorphisms in the OX40L and OX40 genes are associated with some of the lipid and lipoprotein variations in subjects with endogenous HTG PMID: 23216302
- findings provide evidence for the involvement of OX40 and OX40L in the pathogenesis of AD though they are not specific to AD and in vitro results suggest complex interaction PMID: 22646697
- The simultaneous expression of both OX40 and its ligand OX40L in idiopathic inflammatory myopathies suggests that they might participate in disease pathogenesis PMID: 23469620
- data primarily indicates that rs3850641 of OX40L gene contributes to sporadic breast carcinogenesis in a northeast Chinese Han population. PMID: 22870213
- This meta-analysis confirms that TNFSF4 polymorphisms are associated with susceptibility to systemic lupus erythematosus in Asians and Europeans PMID: 22820624
- We confirm TNFSF4 as an systemic sclerosis susceptibility gene and rs2205960 as a putative causal variant with preferential association in the ACA+ subphenotype. PMID: 22422496
- Concentrations of sOX40L were found to be high in adult asthmatic patients and were associated with the severity of the disease. Therefore, sOX40L could be a potential infl ammatory mediator in the pathogenesis of asthma. PMID: 22760717
- Augmentation of OX40-OX40L signals in interferon type I receptor (IFNalphaR)-deficient transgenic mice can substantially enhance CD4+ T cell, but not CD8+ T cell primary responses. PMID: 22156349
- High OX40L is associated with acute coronary syndrome and stable angina. PMID: 21986129
- Up-regulation of OX40L may play a critical role in development of childhood atopic asthma and correlates with asthma severity. PMID: 21781408
- OX40 gene polymorphism may be associated with a risk of ACS in the Han Chinese population, although the association between OX40L polymorphisms and ACS requires further investigation PMID: 21476935
- data indicate that the TNFSF4 rs45454293T-allele is associated with lower TNFSF4 expression and increased risk of myocardial infarction PMID: 21445270
- Both OX40 upregulation and sOX40L increase were closely associated with Henoch-Schonlein purpura (HSP), especially HSP with nephritis. PMID: 21143648
- These results demonstrate for the first time that HDAC11 plays an essential role in regulating OX40L expression. PMID: 21239696
- Our study not only suggested that the TNFSF4 gene was associated with systemic lupus erythematosus in the Chinese Han population, but also implied that the TNFSF4 gene might also predispose multiple populations to systemic lupus erythematosus. PMID: 20012871
- Data show that MMP-2-conditioned dendritic cells primed naive CD4(+) T cells to differentiate into an inflammatory T(H)2 phenotype through OX40L expression and inhibition of IL-12p70 production. PMID: 21397857
- TNFSF4 is a susceptibility gene of coronary heart disease in Chinese Han population PMID: 21402531
- The data confirm the influence of TNFSF4 polymorphisms in systemic sclerosis genetic susceptibility, especially in subsets of patients positive for lcSSc and anti-centromere antibodies. PMID: 21187296
- our data provide an in vivo role for the OX40/OX40L system in the innate immune response during polymicrobial sepsis PMID: 20844189
- Polymorphisms in the TNFSF4 gene region are associated with susceptibility to systemic sclerosis and its clinical and autoantibody subsets. PMID: 19778912
- OX40/OX40L expression is increased in the bronchial submucosa in mild asthma, but not in moderate-to-severe disease, and is related to the degree of tissue eosinophilia and IL-4 expression. PMID: 20139223
- Expression of CD134 and CD134 ligand in lesional and nonlesional psoriatic skin. PMID: 12624783
- combined use of a vector driving the expression of OX40L with three other costimulatory molecules (B7-1, ICAM-1, and LFA-3) both enhances initial activation and then further potentiates sustained activation of nai;ve and effector T cells. PMID: 12798307
- An OX40L-dependent mechanism is demonstrated in plasmacytoid dendritic cell-mediated T helper cell responses; OX40L selectively induces Th2-type immune responses by promoting CD4+ T cells to secrete IL-4, IL-5, and IL-13. PMID: 15034038
- Elucidation of cross-talk between OX40 and OX40L could be very important in understanding interaction of cells present in inflamed airways of asthma. PMID: 15100674
顯示更多
收起更多
-
相關疾病:Systemic lupus erythematosus (SLE)
-
亞細胞定位:Membrane; Single-pass type II membrane protein.
-
蛋白家族:Tumor necrosis factor family
-
數據庫鏈接:
Most popular with customers
-
-
YWHAB Recombinant Monoclonal Antibody
Applications: ELISA, WB, IHC, IF, FC
Species Reactivity: Human, Mouse, Rat
-
Phospho-YAP1 (S127) Recombinant Monoclonal Antibody
Applications: ELISA, WB, IHC
Species Reactivity: Human
-
-
-
-
-















