TMEM27 Antibody
-
中文名稱:TMEM27兔多克隆抗體
-
貨號:CSB-PA881018EA01HU
-
規格:¥440
-
圖片:
-
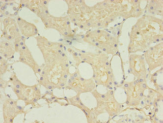
Immunohistochemistry of paraffin-embedded human kidney tissue using CSB-PA881018EA01HU at dilution of 1:100
-
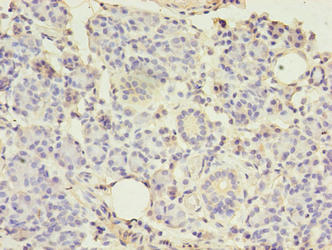
Immunohistochemistry of paraffin-embedded human pancreatic tissue using CSB-PA881018EA01HU at dilution of 1:100
-
Immunofluorescent analysis of MCF-7 cells using CSB-PA881018EA01HU at dilution of 1:100 and Alexa Fluor 488-congugated AffiniPure Goat Anti-Rabbit IgG(H+L)
-
-
其他:
產品詳情
-
產品名稱:Rabbit anti-Homo sapiens (Human) TMEM27 Polyclonal antibody
-
Uniprot No.:
-
基因名:TMEM27
-
別名:UNQ679 antibody; Collectrin antibody; kidney-specific membrane protein antibody; NX-17 antibody; NX17 antibody; PRO1312 antibody; Tmem27 antibody; TMM27_HUMAN antibody; Transmembrane protein 27 antibody; UNQ679/PRO1312 antibody
-
宿主:Rabbit
-
反應種屬:Human
-
免疫原:Recombinant Human Collectrin protein (15-141AA)
-
免疫原種屬:Homo sapiens (Human)
-
標記方式:Non-conjugated
本頁面中的產品,TMEM27 Antibody (CSB-PA881018EA01HU),的標記方式是Non-conjugated。對于TMEM27 Antibody,我們還提供其他標記。見下表:
-
克隆類型:Polyclonal
-
抗體亞型:IgG
-
純化方式:>95%, Protein G purified
-
濃度:It differs from different batches. Please contact us to confirm it.
-
保存緩沖液:Preservative: 0.03% Proclin 300
Constituents: 50% Glycerol, 0.01M PBS, PH 7.4 -
產品提供形式:Liquid
-
應用范圍:ELISA, IHC, IF
-
推薦稀釋比:
Application Recommended Dilution IHC 1:20-1:200 IF 1:50-1:200 -
Protocols:
-
儲存條件:Upon receipt, store at -20°C or -80°C. Avoid repeated freeze.
-
貨期:Basically, we can dispatch the products out in 1-3 working days after receiving your orders. Delivery time maybe differs from different purchasing way or location, please kindly consult your local distributors for specific delivery time.
-
用途:For Research Use Only. Not for use in diagnostic or therapeutic procedures.
相關產品
靶點詳情
-
功能:Plays an important role in amino acid transport by acting as binding partner of amino acid transporters SLC6A18 and SLC6A19, regulating their trafficking on the cell surface and their amino acid transporter activity. May also play a role in trafficking of amino acid transporters SLC3A1 and SLC7A9 to the renal cortical cell membrane. Regulator of SNARE complex function. Stimulator of beta cell replication.
-
基因功能參考文獻:
- Maternal serum collectrin levels are significantly lower in patients with preeclampsia than in the control group. There is an inverse correlation between serum collectrin levels and blood pressure. PMID: 28764560
- Lack of expression of the TMEM27 in conventional renal cell carcinoma defines a group of patients at high risk for cancer-related death. PMID: 27417314
- Tmem27 is present in human serum and its levels are significantly lower in subjects with autoimmune diabetes as compared to healthy individuals. PMID: 24693993
- Bace2 specifically targets Tmem27 and cleaves its extracellular domain, which is then shed from the plasma membrane of pancreatic beta cells. PMID: 21907142
- Tmem27 dimerization is a dynamic process involving Bace2 PMID: 22628310
- Collectrin and ACE2 in renal and intestinal amino acid transport. PMID: 21814048
- Data support a role for TMEM27 in glucose-induced insulin secretion but not in cell proliferation. The finding that its cleavage is not specific to beta cells challenges the current support for its use as a potential beta cell mass biomarker. PMID: 20386877
- Collectrin has a role in amino acid transpor in the kidney [review] PMID: 17693757
- the first human study of the gene TMEM27 and an attempt to shine a light on genotype-phenotype correlation in Turner syndrome patients. PMID: 19417552
- No TMEM27 gene mutations were discovered among 26 patients showing a phenotype resembling Dent's disease PMID: 19582483
顯示更多
收起更多
-
亞細胞定位:Cell membrane; Single-pass type I membrane protein.
-
蛋白家族:TMEM27 family
-
組織特異性:Kidney; collecting ducts. Pancreas; beta cells of islets.
-
數據庫鏈接:
Most popular with customers
-
-
YWHAB Recombinant Monoclonal Antibody
Applications: ELISA, WB, IHC, IF, FC
Species Reactivity: Human, Mouse, Rat
-
Phospho-YAP1 (S127) Recombinant Monoclonal Antibody
Applications: ELISA, WB, IHC
Species Reactivity: Human
-
-
-
-
-















