TK1 Antibody
-
中文名稱:TK1兔多克隆抗體
-
貨號:CSB-PA023577ESR2HU
-
規格:¥440
-
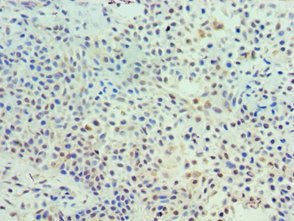
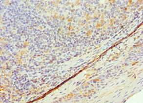
圖片:
-
其他:
產品詳情
-
產品名稱:Rabbit anti-Homo sapiens (Human) TK1 Polyclonal antibody
-
Uniprot No.:
-
基因名:TK1
-
別名:cytosolic antibody; KITH_HUMAN antibody; Thymidine kinase 1 antibody; Thymidine kinase 1 soluble antibody; Thymidine kinase 1 soluble isoform antibody; Thymidine kinase antibody; Thymidine kinase cytosolic antibody; TK 1 antibody; TK 2 antibody; TK1 antibody; Tk1a antibody; Tk1b antibody; TK2 antibody
-
宿主:Rabbit
-
反應種屬:Human
-
免疫原:Recombinant Human Thymidine kinase, cytosolic protein (1-234AA)
-
免疫原種屬:Homo sapiens (Human)
-
標記方式:Non-conjugated
-
克隆類型:Polyclonal
-
抗體亞型:IgG
-
純化方式:Antigen Affinity Purified
-
濃度:It differs from different batches. Please contact us to confirm it.
-
保存緩沖液:PBS with 0.02% sodium azide, 50% glycerol, pH7.3.
-
產品提供形式:Liquid
-
應用范圍:ELISA, IHC
-
推薦稀釋比:
Application Recommended Dilution IHC 1:20-1:200 -
Protocols:
-
儲存條件:Upon receipt, store at -20°C or -80°C. Avoid repeated freeze.
-
貨期:Basically, we can dispatch the products out in 1-3 working days after receiving your orders. Delivery time maybe differs from different purchasing way or location, please kindly consult your local distributors for specific delivery time.
-
用途:For Research Use Only. Not for use in diagnostic or therapeutic procedures.
相關產品
靶點詳情
-
基因功能參考文獻:
- STK1p is a potential proliferating biomarker for early discover of persons in the risk to develop or already have pre-malignancies or diseases associated with the risk process of malignancy. PMID: 29689706
- Data suggest that serum thymidine kinase 1 (S-TK) activity may be a useful parameter for monitoring neoadjuvant therapy (nTx) efficacy. PMID: 29189449
- Our study provides the first evidence that serum TK1 activity as early as 2 weeks following CDK4/6 inhibitors is highly correlated with tumor cell proliferation response in patients with early-stage HR+ breast cancer. PMID: 29162134
- TK1 might be involved in the development and progression of PDAC by regulating cell proliferation. PMID: 29266545
- The detection of TK1 combined with that cytokeratin-19 fragment (CYFRA21-1), CEA or NSE increased the diagnostic value of TK1 for lung squamous cell carcinoma, adenocarcinoma and small cell lung cancer, respectively. PMID: 29247745
- The results have implications for the mechanism by which Fhit regulates TK1 mRNA, and more broadly, for its modulation of multiple functions as tumor suppressor/genome caretaker. PMID: 28093273
- Results suggest that positive expression of CK19 mRNA and TK1 protein is closely correlated with poor prognosis in advanced gastrointestinal cancer. PMID: 27625087
- though TK1 expression was an independent prognostic factor for relapse, but not for survival, TK1 is a more informative expression than Ki-67 for LI, relapse and overall survival rates. Thus, when TK1 is combined with MDACC grading, pTNM staging and lymph node metastasis, IHC determination of TK1 expression may improve the overall prediction of prognosis in patients with ovarian cancer. PMID: 28651488
- Data show that the median thymidine kinase (TK1) levels found in sera from breast cancer patients with T1 to T4 stage disease were 0.31, 0.46, 0.47, and 0.55 ng/ml, and these levels significantly differed from healthy controls. PMID: 27079872
- STK1 is a reliable biomarker for discovering people with malignant tumors in cancer screening. PMID: 27002755
- Serum Thymidine Kinase 1 Activity Following Nephrectomy for Renal Cell Carcinoma and Radiofrequency Ablation of Metastases to Lung and Liver PMID: 27069161
- TK1 expression is significantly different in invasive urothelial carcinoma and benign urothelium, which underlines its potential as a diagnostic marker PMID: 26231311
- Protein expression of BIRC5, TK1, and TOP2A in malignant peripheral nerve sheath tumours--A prognostic test after surgical resection. PMID: 25769404
- High Thymidine Kinase expression is associated with adenocarcinoma in Non-small Cell Lung Cancer. PMID: 25921119
- These results demonstrate that there are differences in the specific activities and the subunit compositions of STK1 in hematological malignancies compared with breast and prostate cancer. PMID: 25881026
- A regression analysis showed that only TK1 levels were significant (relative risk (RR)=1.03 for each unit, confidence interval (CI)=1-1.05; p=0.015) for diagnosing a true transformation PMID: 25964590
- We suggest that a chip including DPYD, TYMS, TYMP, TK1, and TK2 genes is a potential tool to predict response in LARC following fluoropyrimidine-based CCRT. PMID: 24455740
- Nuclear TK1 expression in early grade cervical intraepithelial neoplasia predicts risk for progression to malignancy PMID: 23693054
- 3'-deoxy-3'-[18F]-fluorothymidine (18F-FLT) kinetics correlates with thymidine kinase-1 expression and cell proliferation in newly diagnosed gliomas PMID: 23229746
- The magnitude of maximum fluorodeoxyglucose uptake in primary tumors and the serum TK1 level in patients with metastatic NSCLC were found to be independent prognostic predictors of overall survival. PMID: 23116493
- Increased serum level of thymidine kinase 1 correlates with metastatic site in patients with malignant melanoma. PMID: 23179401
- results suggest that the serum TK1 protein differs from cellular or recombinant forms, is more active in high molecular weight complexes, and is sensitive to reducing agents PMID: 22741536
- Data suggest that serum thymidine kinase 1 (TK1) levels may help to refine risk assessment in the modern immunotherapy era. PMID: 22263569
- The crystal structure of the T163S-mutated HuTK1 reveals a less ordered conformation of the ligand thymidine triphosphate compared with the wild-type structure PMID: 22385435
- TK1 may be involved in poor survival in patients with pT1 of lung adenocarcinoma PMID: 22143937
- frequencies of polymorphic mutations in HIV-1 (subtype B) were compared between patients detected with the 69 insertion (n = 17), Q151M (n = 29), >/=2 thymidine analogue mutations (TAM) 1 (n = 400) or >/=2 TAM 2 (n = 249). PMID: 22027876
- data demonstrate that the Flt3L/TK gene therapeutic approach can induce systemic immunological memory capable of recognizing a brain tumor neoantigen in a model of recurrent GBM PMID: 21505426
- (18)F-FLT uptake and retention within cells may be complicated by a variety of still undetermined factors in addition to TK1 enzymatic activity PMID: 21764789
- Elevated serum thymidine kinase 1 is associated with pre/early cancerous progression. PMID: 21545220
- High levels of HER2 and Ki-67 or TK1 expression correlate with the increase of tumor grades and tumor recurrence in meningiomas. PMID: 20450760
- Serological thymidine kinase 1 is a useful marker for prognosis in patients with esophageal, cardial and lung carcinomas. PMID: 20479645
- Serum TK1 correlates to clinical stages and clinical reactions and monitors the effect of tumor therapies, not only in controlled clinical trials, but also in routine clinical settings. PMID: 20354751
- direct involvement of the G-quadruplex motif in transcription of TK1 PMID: 20849417
- nucleoside recognition mechanisms for TK1 and TK2 are very different. nonpolar nucleosides are likely to be active in the nucleotide salvage pathway in human cells. PMID: 20560637
- Results suggest that higher thymidine levels in the TK- cells caused by defect thymidine salvage to dTTP protects against UV irradiation. PMID: 20544518
- The expression of TK1 in tumor tissues correlated to pathological stages and clinical grades of carcinomas (ca) of esophagus, lung and in premalignancy of breast ductal ca. STK1p could monitor the out-come of tumor therapy. PMID: 20544519
- more dTTP synthesis via TK1 take place after genotoxic insults in tumor cells, improving DNA repair during G(2) arrest. PMID: 20554529
- cell cycle regulation of TK1 in normal tubule cells differ from that in other type of normal and malignant renal cells. PMID: 19957115
- Thymidine kinase-1 and thymidylate synthase expression was markedly different between cancer types, suggesting that response to TAS-102 may differ. PMID: 20372850
- thymidine kinase has a role in progression of lung cancer PMID: 20592392
- TK1 in serum may possess a reference value in the evaluation of treatment and prognosis of non-Hodgkin's lymphoma following chemotherapy. PMID: 20140744
- The TK1 model presented supports both K and k positive cooperativity. Three-parameter mass action models can and should replace the 3-parameter Hill model. PMID: 20003201
- TK1 gene expression together with TS, TP and DPD gene expression may play important roles in influencing the malignant behavior of epithelial ovarian cancer. PMID: 11992400
- Mutation analysis in the coding sequence of thymidine kinase 1 in breast and colorectal cancer PMID: 12699056
- Long-term treatment of H9 human lymphoid cells in the presence of dideoxycytidine down-regulated TK1 gene expression and reduced the expression and activity of TK in resistant cells. PMID: 14659972
- the enzymatic function at the G2/M phase of TK1 depends on its quaternary structure PMID: 14697231
- activation of the APC/C-Cdh1 complex during mitotic exit controls timing of TK1 destruction PMID: 14701726
- Activity of thymidine kinase, thymidine phosphorylase and thymidilate synthase in human cancer xenografts to investigate the contribution of these enzymes to the sensitivity of TAS-102. PMID: 14719072
- The importance of valine 106 for the structure and function of TK1. PMID: 15153115
- activation of TK1 may be critical to modulate the radiation-induced cell death and cell cycle progression in irradiated K562 cells. PMID: 15353126
顯示更多
收起更多
-
亞細胞定位:Cytoplasm.
-
蛋白家族:Thymidine kinase family
-
數據庫鏈接:
Most popular with customers
-
-
YWHAB Recombinant Monoclonal Antibody
Applications: ELISA, WB, IHC, IF, FC
Species Reactivity: Human, Mouse, Rat
-
Phospho-YAP1 (S127) Recombinant Monoclonal Antibody
Applications: ELISA, WB, IHC
Species Reactivity: Human
-
-
-
-
-















