SUV39H1 Antibody
-
中文名稱:SUV39H1兔多克隆抗體
-
貨號:CSB-PA022972LA01HU
-
規格:¥440
-
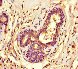
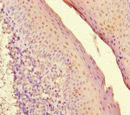
圖片:
-
其他:
產品詳情
-
產品名稱:Rabbit anti-Homo sapiens (Human) SUV39H1 Polyclonal antibody
-
Uniprot No.:
-
基因名:
-
別名:H3 K9 HMTase1 antibody; H3-K9-HMTase 1 antibody; Histone H3-K9 methyltransferase 1 antibody; Histone H3-K9 methyltransferase1 antibody; Histone lysine N methyltransferase, H3 lysine 9 specific 1 antibody; Histone-lysine N-methyltransferase SUV39H1 antibody; KMT1 A antibody; KMT1A antibody; Lysine N methyltransferase 1A antibody; Lysine N-methyltransferase 1A antibody; MG44 antibody; mIS6 antibody; Position-effect variegation 3-9 homolog antibody; Su(var)3 9 homolog 1 antibody; Su(var)3-9 homolog 1 antibody; Suppressor of variegation 3 9 homolog 1 (Drosophila) antibody; Suppressor of variegation 3-9 homolog 1 antibody; SUV39 H1 antibody; SUV39H antibody; SUV39H1 antibody; SUV91_HUMAN antibody
-
宿主:Rabbit
-
反應種屬:Human
-
免疫原:Recombinant Human Histone-lysine N-methyltransferase SUV39H1 protein (179-412AA)
-
免疫原種屬:Homo sapiens (Human)
-
標記方式:Non-conjugated
本頁面中的產品,SUV39H1 Antibody (CSB-PA022972LA01HU),的標記方式是Non-conjugated。對于SUV39H1 Antibody,我們還提供其他標記。見下表:
-
克隆類型:Polyclonal
-
抗體亞型:IgG
-
純化方式:>95%, Protein G purified
-
濃度:It differs from different batches. Please contact us to confirm it.
-
保存緩沖液:Preservative: 0.03% Proclin 300
Constituents: 50% Glycerol, 0.01M PBS, PH 7.4 -
產品提供形式:Liquid
-
應用范圍:ELISA, IHC
-
推薦稀釋比:
Application Recommended Dilution IHC 1:20-1:200 -
Protocols:
-
儲存條件:Upon receipt, store at -20°C or -80°C. Avoid repeated freeze.
-
貨期:Basically, we can dispatch the products out in 1-3 working days after receiving your orders. Delivery time maybe differs from different purchasing way or location, please kindly consult your local distributors for specific delivery time.
-
用途:For Research Use Only. Not for use in diagnostic or therapeutic procedures.
相關產品
靶點詳情
-
功能:Histone methyltransferase that specifically trimethylates 'Lys-9' of histone H3 using monomethylated H3 'Lys-9' as substrate. Also weakly methylates histone H1 (in vitro). H3 'Lys-9' trimethylation represents a specific tag for epigenetic transcriptional repression by recruiting HP1 (CBX1, CBX3 and/or CBX5) proteins to methylated histones. Mainly functions in heterochromatin regions, thereby playing a central role in the establishment of constitutive heterochromatin at pericentric and telomere regions. H3 'Lys-9' trimethylation is also required to direct DNA methylation at pericentric repeats. SUV39H1 is targeted to histone H3 via its interaction with RB1 and is involved in many processes, such as repression of MYOD1-stimulated differentiation, regulation of the control switch for exiting the cell cycle and entering differentiation, repression by the PML-RARA fusion protein, BMP-induced repression, repression of switch recombination to IgA and regulation of telomere length. Component of the eNoSC (energy-dependent nucleolar silencing) complex, a complex that mediates silencing of rDNA in response to intracellular energy status and acts by recruiting histone-modifying enzymes. The eNoSC complex is able to sense the energy status of cell: upon glucose starvation, elevation of NAD(+)/NADP(+) ratio activates SIRT1, leading to histone H3 deacetylation followed by dimethylation of H3 at 'Lys-9' (H3K9me2) by SUV39H1 and the formation of silent chromatin in the rDNA locus. Recruited by the large PER complex to the E-box elements of the circadian target genes such as PER2 itself or PER1, contributes to the conversion of local chromatin to a heterochromatin-like repressive state through H3 'Lys-9' trimethylation.
-
基因功能參考文獻:
- unveil E4BP4 as a critical transcriptional modulator repressing RASSF8 expression through histone methyltransferases, G9a and SUV39H1. PMID: 29467226
- E-cadherin silencing relies on the formation of a complex between the paRNA and microRNA-guided Argonaute 1 that, together, recruit SUV39H1 and induce repressive chromatin modifications in the gene promoter PMID: 28555645
- SUV39H1 dysregulation may be involved in diabetic nephropathy progression, affecting inflammation and apoptosis. PMID: 28852907
- KMT1A positively regulated the self-renewal and tumorigenicity of human Bladder cancer stem cells via KMT1A-GATA3-STAT3 circuit, in which KMT1A could be a promising target for bladder cancer therapy. PMID: 28765327
- Here, the authors demonstrate that chromatin-associated RNA contributes to the stable association of SUV39H1 with constitutive heterochromatin in human cells. PMID: 28760200
- Here the authors show that Suv39h1 chromodomain binds nucleic acids, and this binding is important for its function in heterochromatin assembly. PMID: 28760201
- SirT6 promotes cysteine ubiquitination in the PRE-SET domain of Suv39h1. PMID: 29317652
- Our data show that the differential expression of SUV39H1 and SUV39H2 is associated with genomic instability and that the modulation of these HMTases can be an attractive approach to prevent CLL evolution PMID: 28833505
- Overexpression of miR-125b and inhibition of its target, SUV39H1, in aging individuals reduces hematopoietic stem cells capacity of B cells generation. PMID: 27304919
- KAT7-containing acetyltransferases associating with the Mis18 complex provides competence for histone turnover/exchange activity on alphoid DNA and prevents Suv39h1-mediated heterochromatin invasion into centromeres. PMID: 27270040
- Suv39h1 deficiency abrogates stress-dependent upregulation of HP1alpha and gamma, and enhances HP1beta levels. PMID: 28059589
- Lysine methyltransferases (KMTs) that mediate methylation marks on histone and non-histone proteins are now recognized as important regulators of gene expression in cycling and non-cycling cells. Among these, the SUV39 sub-family of KMTs. PMID: 28106510
- we describe the synthesis of multidomain 'designer chromatin' templates and their application to dissecting the regulation of human Suv39h1 PMID: 26807716
- These results suggest a model in which SUV39H1 downregulation promotes the establishment of cellular senescence. PMID: 25063769
- CRL4B promotes tumorigenesis by coordinating with SUV39H1/HP1/DNMT3A in DNA methylation-based epigenetic silencing PMID: 24292684
- PHF2 is likely to repress rDNA transcription by competing with PHF8 for binding of ribosomal DNA promoter and by recruiting H3K9me2/3 methyltransferase SUV39H1. PMID: 25204660
- High SUV39H1 expression is associated with hepatocellular carcinoma. PMID: 24844570
- Suv39H1 induced apoptosis and inhibited cell proliferation in the gastric cancer MGC803 cell line, while decreasing BCL-2, pro-caspase-9, pro-caspase-3 and C-myc. Suv39H1 may be a potential gene target for anti-gastric carcinoma therapy. PMID: 24737085
- SUV39H1 expression was upregulated in glioma cell lines and in glioma tissues compared to normal brain, being positively correlated with grade and histological malignancy. PMID: 23943221
- Short-chain fatty acids from periodontal pathogens suppress EZH2, and SUV39H1 to promote Kaposi's sarcoma-associated herpesvirus replication. PMID: 24501407
- results suggest that Suv39 h1-H3K9me3 epigenetic repression is involved in BZLF1 transcriptional silencing, providing a molecular basis for understanding the mechanism by which EBV latency is maintained PMID: 24588869
- Results suggest that by regulating JMJD2b and SUV39H1 expression, p53 not only controls transcription but also promotes HC relaxation to accelerate a rate-limiting step in the repair of complex genomes. PMID: 23376847
- The SUV39H1 chromodomain was shown to recognize histone H3K9me2/3 specifically. PMID: 23285239
- SUV39H1 generates a gradient of methylation marks at the kinetochore that provides spatiotemporal information essential for accurate chromosome segregation in mitosis. PMID: 22831836
- Methylation of SUV39H1 by SET7/9 results in heterochromatin relaxation and genome instability. PMID: 23509280
- Snail interacted with Suv39H1 and recruited it to the E-cadherin promoter for transcriptional repression. PMID: 22562246
- Our study demonstrated that SUV39H1 up-regulation contributed to hepatocellular carcinoma development and metastasis. The tumor-suppressive miR-125b served as a negative regulator of SUV39H1. PMID: 22991213
- The methylation of Sp1 increased the recruitment of Su(var) 3-9 homologue 1(Suv39H1)to the cyclin B1 promoter, resulting in deacetylation and methylation of histone H3 and subsequent downregulation of cyclin B1. PMID: 22036763
- genetic association studies in a Finnish population with type I diabetes: No associations were found between SNPs in SUV39H1 and the diabetic complications studied. PMID: 21896933
- findings suggest that Suv39H1 and Suv39H2 are key hypoxia-induced methyltransferases; their decline in fetal lung during late gestation is critical for epigenetic changes resulting in the developmental induction of SP-A PMID: 21402781
- RFX1 recruits SUV39H1 to the promoter regions of the CD11a and CD70 genes in CD4(+) T cells, thereby regulating local H3K9 tri-methylation levels. PMID: 21192791
- SirT1 preserves heterochromatin structure: it modulates Suv39h1 protein levels in stress conditions by preventing MDM2-mediated polyubiquitination at K87. PMID: 21504832
- MDM2 mediates formation of p53-SUV39H1/EHMT1 complex capable of methylating H3-K9 in vitro and on p53 target promoters in vivo. PMID: 20588255
- The human SUV39H1 gene is able to partially rescue Su(var)3-9 silencing defects in Drosophila. PMID: 11867540
- Suv39h1 enhanced MBD1-mediated transcriptional repression via MBD, not the C-terminal transcriptional repression domain of MBD1. MBD1 links to histone deacetylases through Suv39h1, causing methylation and deacetylation of histones for gene inactivation PMID: 12711603
- We investigated occupancy of ER-alpha promoter by pRb2/p130-E2F4/5-HDAC1-SUV39 H1-p300 and pRb2/p130-E2F4/5-HDAC1-SUV39H1-DNMT1 complexes, and provided a link between pRb2/p130 and chromatin-modifying enzymes in the regulation of ER-alpha transcription PMID: 12789259
- SUV39H interacts with Smads and cooperates in BMP-induced repression. PMID: 15107829
- Kaposi's Sarcoma-Associated Herpesvirus (KSHV)LANA (Latency-associated nuclear antigen)interacts with SUV39H1 histone methyltransferase, a key component of heterochromatin formation, in KSHV-infected cells PMID: 15220403
- The recruitment of SUV39H1 to heterochromatin is at least partly independent from that of HP1 and that HP1 transiently interacts with SUV39H1 at heterochromatin. PMID: 16103223
- Interaction between HTLV-1Tax and human SUV39H1 and tethering of SUV39H1 by Tax to the HTLV-1 long terminal repeat PMID: 16409643
- permanent transcriptional silencing is mediated by the association of PML-RAR with chromatin-modifying enzymes and by recruitment of the histone methyltransferase SUV39H1, responsible for trimethylation of lysine 9 of histone H3 PMID: 16449642
- The association between RUNX1, histone deacetylases and SUV39H1 provides a molecular mechanism for repression and possibly gene silencing mediated by RUNX1. PMID: 16652147
- Cabin1 recruits chromatin-modifying enzymes, both histone deacetylases and a histone methyltransferase, to repress myocyte enhancer factor 2 transcriptional activity PMID: 17172641
- Suv39H1, HP1gamma and histone H3Lys9 trimethylation play a major role in chromatin-mediated repression of integrated HIV-1 gene expression. PMID: 17245432
- SUV39H1 is significantly associated with DNMT1, but not with euchromatic promoter methylation in colorectal cancer PMID: 17657744
- Presence of SUV39H1 enhances Evi1 transcriptional repression in a dose dependent manner. PMID: 18619962
- Results identify DBC1 as a novel cellular inhibitor of SUV39H1 activity, and suggest that DBC1 may be an important regulator of heterochromatin formation and genomic stability by disrupting the SUV39H1-SirT1 complex and inactivating both enzymes. PMID: 19218236
- CTIP2 is a constitutive p21 gene suppressor that cooperates with SUV39H1 and histone methylation to silence the p21 gene transcription. PMID: 19581932
顯示更多
收起更多
-
亞細胞定位:Nucleus. Nucleus lamina. Nucleus, nucleoplasm. Chromosome, centromere. Note=Associates with centromeric constitutive heterochromatin.
-
蛋白家族:Class V-like SAM-binding methyltransferase superfamily, Histone-lysine methyltransferase family, Suvar3-9 subfamily
-
數據庫鏈接:
Most popular with customers
-
-
YWHAB Recombinant Monoclonal Antibody
Applications: ELISA, WB, IHC, IF, FC
Species Reactivity: Human, Mouse, Rat
-
Phospho-YAP1 (S127) Recombinant Monoclonal Antibody
Applications: ELISA, WB, IHC
Species Reactivity: Human
-
-
-
-
-















