STX10 Antibody
-
中文名稱:STX10兔多克隆抗體
-
貨號:CSB-PA022888LA01HU
-
規格:¥440
-
圖片:
-
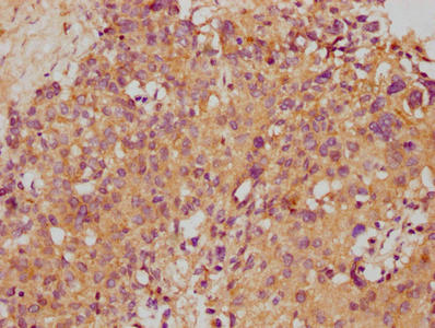
IHC image of CSB-PA022888LA01HU diluted at 1:500 and staining in paraffin-embedded human ovarian cancer performed on a Leica BondTM system. After dewaxing and hydration, antigen retrieval was mediated by high pressure in a citrate buffer (pH 6.0). Section was blocked with 10% normal goat serum 30min at RT. Then primary antibody (1% BSA) was incubated at 4°C overnight. The primary is detected by a biotinylated secondary antibody and visualized using an HRP conjugated SP system.
-
-
其他:
產品詳情
-
產品名稱:Rabbit anti-Homo sapiens (Human) STX10 Polyclonal antibody
-
Uniprot No.:
-
基因名:STX10
-
別名:STX10 antibody; SYN10 antibody; Syntaxin-10 antibody; Syn10 antibody
-
宿主:Rabbit
-
反應種屬:Human
-
免疫原:Recombinant Human Syntaxin-10 protein (1-179AA)
-
免疫原種屬:Homo sapiens (Human)
-
標記方式:Non-conjugated
本頁面中的產品,STX10 Antibody (CSB-PA022888LA01HU),的標記方式是Non-conjugated。對于STX10 Antibody,我們還提供其他標記。見下表:
-
克隆類型:Polyclonal
-
抗體亞型:IgG
-
純化方式:>95%, Protein G purified
-
濃度:It differs from different batches. Please contact us to confirm it.
-
保存緩沖液:Preservative: 0.03% Proclin 300
Constituents: 50% Glycerol, 0.01M PBS, PH 7.4 -
產品提供形式:Liquid
-
應用范圍:ELISA, IHC
-
推薦稀釋比:
Application Recommended Dilution IHC 1:500-1:1000 -
Protocols:
-
儲存條件:Upon receipt, store at -20°C or -80°C. Avoid repeated freeze.
-
貨期:Basically, we can dispatch the products out in 1-3 working days after receiving your orders. Delivery time maybe differs from different purchasing way or location, please kindly consult your local distributors for specific delivery time.
-
用途:For Research Use Only. Not for use in diagnostic or therapeutic procedures.
相關產品
靶點詳情
-
功能:SNARE involved in vesicular transport from the late endosomes to the trans-Golgi network.
-
基因功能參考文獻:
- Loss of syntaxin 10 leads to defects in normal chlamydial maturation including: variable inclusion size with fewer chlamydial organisms per inclusion, fewer infectious progeny, and delayed or halted reticulate body-elementary body differentiation. PMID: 26442221
- May have a hitherto unrecognized function in the trans-Golgi network-endosome boundary. PMID: 16154903
-
亞細胞定位:Golgi apparatus membrane; Single-pass type IV membrane protein.
-
蛋白家族:Syntaxin family
-
組織特異性:Expressed at high levels in heart, skeletal muscle and pancreas.
-
數據庫鏈接:
Most popular with customers
-
-
Phospho-YAP1 (S127) Recombinant Monoclonal Antibody
Applications: ELISA, WB, IHC
Species Reactivity: Human
-
-
-
-
-
-















