STATH Antibody
-
中文名稱:STATH兔多克隆抗體
-
貨號:CSB-PA022817LA01HU
-
規格:¥440
-
圖片:
-
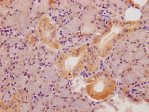
IHC image of CSB-PA022817LA01HU diluted at 1:100 and staining in paraffin-embedded human salivary gland tissue performed on a Leica BondTM system. After dewaxing and hydration, antigen retrieval was mediated by high pressure in a citrate buffer (pH 6.0). Section was blocked with 10% normal goat serum 30min at RT. Then primary antibody (1% BSA) was incubated at 4°C overnight. The primary is detected by a Goat anti-rabbit polymer IgG labeled by HRP and visualized using 0.05% DAB.
-
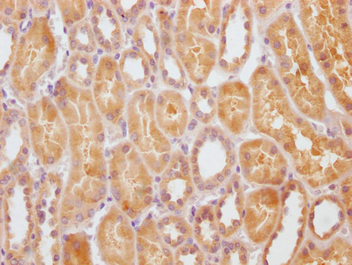
IHC image of CSB-PA022817LA01HU diluted at 1:100 and staining in paraffin-embedded human kidney tissue performed on a Leica BondTM system. After dewaxing and hydration, antigen retrieval was mediated by high pressure in a citrate buffer (pH 6.0). Section was blocked with 10% normal goat serum 30min at RT. Then primary antibody (1% BSA) was incubated at 4°C overnight. The primary is detected by a Goat anti-rabbit polymer IgG labeled by HRP and visualized using 0.05% DAB.
-
-
其他:
產品詳情
-
產品名稱:Rabbit anti-Homo sapiens (Human) STATH Polyclonal antibody
-
Uniprot No.:
-
基因名:STATH
-
別名:Statherin, STATH
-
宿主:Rabbit
-
反應種屬:Human
-
免疫原:Recombinant Human Statherin protein (20-62aa)
-
免疫原種屬:Homo sapiens (Human)
-
標記方式:Non-conjugated
本頁面中的產品,STATH Antibody (CSB-PA022817LA01HU),的標記方式是Non-conjugated。對于STATH Antibody,我們還提供其他標記。見下表:
-
克隆類型:Polyclonal
-
抗體亞型:IgG
-
純化方式:>95%, Protein G purified
-
濃度:It differs from different batches. Please contact us to confirm it.
-
保存緩沖液:Preservative: 0.03% Proclin 300
Constituents: 50% Glycerol, 0.01M PBS, pH 7.4 -
產品提供形式:Liquid
-
應用范圍:ELISA, IHC
-
推薦稀釋比:
Application Recommended Dilution IHC 1:100-1:500 -
Protocols:
-
儲存條件:Upon receipt, store at -20°C or -80°C. Avoid repeated freeze.
-
貨期:Basically, we can dispatch the products out in 1-3 working days after receiving your orders. Delivery time maybe differs from different purchasing way or location, please kindly consult your local distributors for specific delivery time.
-
用途:For Research Use Only. Not for use in diagnostic or therapeutic procedures.
相關產品
靶點詳情
-
功能:Salivary protein that stabilizes saliva supersaturated with calcium salts by inhibiting the precipitation of calcium phosphate salts. It also modulates hydroxyapatite crystal formation on the tooth surface.
-
基因功能參考文獻:
- The total protein and statherin in the in-vivo AEP were different between eroded and non-eroded tooth surfaces of the same patient PMID: 28837608
- effects of statherin on intracellular calcium level and its subsequent related molecular alterations would give us new pathogenic aspect in oral carcinogenesis PMID: 25128293
- phenylalanine orientations in statherin bound to hydroxyapatite surfaces PMID: 22563672
- Data show that the full characterization of the statherin peptides generated facilitates the elucidation of their novel functional roles in the oral and gastro-intestinal environment. PMID: 20731414
- insight into the molecular interactions of statherin with hydroxyapatite surfaces PMID: 19678690
- inhibits calcium phosphate precipitation PMID: 12060866
- results suggest that a layer rich in statherin forms at the interface of saliva and air, and that the surface rheology developed is dependent upon protein interactions mediated by calcium PMID: 15769251
- In conclusion, statherin induces transition to yeast of Candida albicans hyphae and may thus contribute to the oral defense against candidiasis. PMID: 19799638
顯示更多
收起更多
-
亞細胞定位:Secreted.
-
蛋白家族:Histatin/statherin family
-
組織特異性:Secreted by parotid and submandibular glands.
-
數據庫鏈接:
Most popular with customers
-
-
YWHAB Recombinant Monoclonal Antibody
Applications: ELISA, WB, IHC, IF, FC
Species Reactivity: Human, Mouse, Rat
-
Phospho-YAP1 (S127) Recombinant Monoclonal Antibody
Applications: ELISA, WB, IHC
Species Reactivity: Human
-
-
-
-
-















