SRC Antibody
-
中文名稱:SRC兔多克隆抗體
-
貨號:CSB-PA081645
-
規格:¥1100
-
圖片:
-
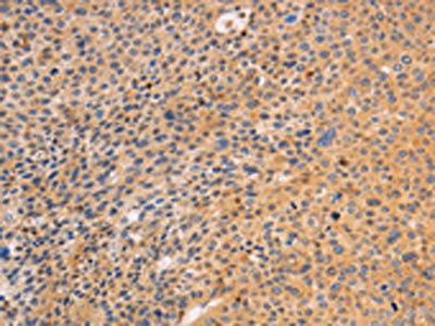
The image on the left is immunohistochemistry of paraffin-embedded Human liver cancer tissue using CSB-PA081645(SRC Antibody) at dilution 1/10, on the right is treated with fusion protein. (Original magnification: ×200)
-
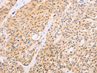
The image on the left is immunohistochemistry of paraffin-embedded Human esophagus cancer tissue using CSB-PA081645(SRC Antibody) at dilution 1/10, on the right is treated with fusion protein. (Original magnification: ×200)
-
Gel: 10%SDS-PAGE, Lysate: 40 μg, Lane: PC3 cells, Primary antibody: CSB-PA081645(SRC Antibody) at dilution 1/100, Secondary antibody: Goat anti rabbit IgG at 1/8000 dilution, Exposure time: 1 minute
-
-
其他:
產品詳情
-
Uniprot No.:
-
基因名:
-
別名:ASV antibody; Avian sarcoma virus antibody; AW259666 antibody; c SRC antibody; CDNA FLJ14219 fis clone NT2RP3003800 highly similar to Rattus norvegicus tyrosine protein kinase pp60 c src mRNA antibody; cSrc antibody; EC 2.7.10.2 antibody; Neuronal CSRC tyrosine specific protein kinase antibody; Neuronal proto-oncogene tyrosine-protein kinase Src antibody; Neuronal SRC antibody; Oncogene SRC antibody; OTTHUMP00000174476 antibody; OTTHUMP00000174477 antibody; p60 Src antibody; p60-Src antibody; p60c-src antibody; p60Src antibody; pp60c src antibody; pp60c-src antibody; pp60csrc antibody; Proto oncogene tyrosine protein kinase Src antibody; Proto-oncogene c-Src antibody; Proto-oncogene tyrosine-protein kinase Src antibody; Protooncogene SRC antibody; Protooncogene SRC Rous sarcoma antibody; Src antibody; SRC Oncogene antibody; SRC proto oncogene non receptor tyrosine kinase antibody; SRC_HUMAN antibody; SRC1 antibody; Tyrosine kinase pp60c src antibody; Tyrosine protein kinase SRC 1 antibody; Tyrosine protein kinase SRC1 antibody; v src avian sarcoma (Schmidt Ruppin A2) viral oncogene homolog antibody; V src sarcoma (Schmidt Ruppin A 2) viral oncogene homolog (avian) antibody; v src sarcoma (Schmidt Ruppin A 2) viral oncogene homolog avian antibody
-
宿主:Rabbit
-
反應種屬:Human,Mouse,Rat
-
免疫原:Fusion protein of Human SRC
-
免疫原種屬:Homo sapiens (Human)
-
標記方式:Non-conjugated
-
抗體亞型:IgG
-
純化方式:Antigen affinity purification
-
濃度:It differs from different batches. Please contact us to confirm it.
-
保存緩沖液:-20°C, pH7.4 PBS, 0.05% NaN3, 40% Glycerol
-
產品提供形式:Liquid
-
應用范圍:ELISA,WB,IHC
-
推薦稀釋比:
Application Recommended Dilution ELISA 1:1000-1:2000 WB 1:200-1:1000 IHC 1:15-1:50 -
Protocols:
-
儲存條件:Upon receipt, store at -20°C or -80°C. Avoid repeated freeze.
-
貨期:Basically, we can dispatch the products out in 1-3 working days after receiving your orders. Delivery time maybe differs from different purchasing way or location, please kindly consult your local distributors for specific delivery time.
-
用途:For Research Use Only. Not for use in diagnostic or therapeutic procedures.
相關產品
靶點詳情
-
功能:Non-receptor protein tyrosine kinase which is activated following engagement of many different classes of cellular receptors including immune response receptors, integrins and other adhesion receptors, receptor protein tyrosine kinases, G protein-coupled receptors as well as cytokine receptors. Participates in signaling pathways that control a diverse spectrum of biological activities including gene transcription, immune response, cell adhesion, cell cycle progression, apoptosis, migration, and transformation. Due to functional redundancy between members of the SRC kinase family, identification of the specific role of each SRC kinase is very difficult. SRC appears to be one of the primary kinases activated following engagement of receptors and plays a role in the activation of other protein tyrosine kinase (PTK) families. Receptor clustering or dimerization leads to recruitment of SRC to the receptor complexes where it phosphorylates the tyrosine residues within the receptor cytoplasmic domains. Plays an important role in the regulation of cytoskeletal organization through phosphorylation of specific substrates such as AFAP1. Phosphorylation of AFAP1 allows the SRC SH2 domain to bind AFAP1 and to localize to actin filaments. Cytoskeletal reorganization is also controlled through the phosphorylation of cortactin (CTTN) (Probable). When cells adhere via focal adhesions to the extracellular matrix, signals are transmitted by integrins into the cell resulting in tyrosine phosphorylation of a number of focal adhesion proteins, including PTK2/FAK1 and paxillin (PXN). In addition to phosphorylating focal adhesion proteins, SRC is also active at the sites of cell-cell contact adherens junctions and phosphorylates substrates such as beta-catenin (CTNNB1), delta-catenin (CTNND1), and plakoglobin (JUP). Another type of cell-cell junction, the gap junction, is also a target for SRC, which phosphorylates connexin-43 (GJA1). SRC is implicated in regulation of pre-mRNA-processing and phosphorylates RNA-binding proteins such as KHDRBS1 (Probable). Also plays a role in PDGF-mediated tyrosine phosphorylation of both STAT1 and STAT3, leading to increased DNA binding activity of these transcription factors. Involved in the RAS pathway through phosphorylation of RASA1 and RASGRF1. Plays a role in EGF-mediated calcium-activated chloride channel activation. Required for epidermal growth factor receptor (EGFR) internalization through phosphorylation of clathrin heavy chain (CLTC and CLTCL1) at 'Tyr-1477'. Involved in beta-arrestin (ARRB1 and ARRB2) desensitization through phosphorylation and activation of GRK2, leading to beta-arrestin phosphorylation and internalization. Has a critical role in the stimulation of the CDK20/MAPK3 mitogen-activated protein kinase cascade by epidermal growth factor (Probable). Might be involved not only in mediating the transduction of mitogenic signals at the level of the plasma membrane but also in controlling progression through the cell cycle via interaction with regulatory proteins in the nucleus. Plays an important role in osteoclastic bone resorption in conjunction with PTK2B/PYK2. Both the formation of a SRC-PTK2B/PYK2 complex and SRC kinase activity are necessary for this function. Recruited to activated integrins by PTK2B/PYK2, thereby phosphorylating CBL, which in turn induces the activation and recruitment of phosphatidylinositol 3-kinase to the cell membrane in a signaling pathway that is critical for osteoclast function. Promotes energy production in osteoclasts by activating mitochondrial cytochrome C oxidase. Phosphorylates DDR2 on tyrosine residues, thereby promoting its subsequent autophosphorylation. Phosphorylates RUNX3 and COX2 on tyrosine residues, TNK2 on 'Tyr-284' and CBL on 'Tyr-731'. Enhances DDX58/RIG-I-elicited antiviral signaling. Phosphorylates PDPK1 at 'Tyr-9', 'Tyr-373' and 'Tyr-376'. Phosphorylates BCAR1 at 'Tyr-128'. Phosphorylates CBLC at multiple tyrosine residues, phosphorylation at 'Tyr-341' activates CBLC E3 activity. Involved in anchorage-independent cell growth. Required for podosome formation. Mediates IL6 signaling by activating YAP1-NOTCH pathway to induce inflammation-induced epithelial regeneration.
-
基因功能參考文獻:
- Mutation in c-Src phosphorylation site of either HK1 or HK2 remarkably abrogates the stimulating effects of c-Src on glycolysis, cell proliferation, migration, invasion, tumorigenesis and metastasis PMID: 28054552
- results showed that CAV-1 could promote anchorage-independent growth and anoikis resistance in detached SGC-7901 cells, which was associated with the activation of Src-dependent epidermal growth factor receptor-integrin beta signaling as well as the phosphorylation of PI3K/Akt and MEK/ERK signaling pathways PMID: 30088837
- This study shows that Leu33Pro polymorphism of integrin beta 3 modulates platelet Src pY418 and focal adhesion kinase pY397 phosphorylation in response to abnormally high shear stress. Whereas physiological shear stress does not affect platelet signaling, abnormally high-shear stress considerably elevates Src and FAK phosphorylation in both Pro33 and Leu33 platelets. PMID: 29965811
- High SRC expression is associated with lung adenocarcinoma. PMID: 30015929
- While activation in c-Src is strictly controlled by ATP-binding and phosphorylation, the authors find that activating conformational transitions are spontaneously sampled in Hsp90-dependent Src mutants. PMID: 28290541
- High SRC expression is associated with gastric cancer cell migration. PMID: 30015970
- Src kinase mediates UV-induced TRPV1 trafficking into cell membrane in HaCaT keratinocytes. PMID: 29080357
- Src kinase activation by nitric oxide promotes resistance to anoikis in tumor cell lines. PMID: 29651879
- Src and Aurora-A interact upon Golgi ribbon fragmentation; Src phosphorylates Aurora-A at tyrosine 148 and this specific phosphorylation is required for Aurora-A localization at the centrosomes. PMID: 27242098
- Study demonstrated that c-Src contributed to hypoxic microenvironment-rendered paclitaxel resistance in human epithelial ovarian cancer cells by G2/M phase arrest deterioration, and through c-Src suppression, FV-429 was capable of reversing the resistance by blocking c-Src/Stat3/HIF-1alpha pathway. PMID: 29324735
- Data demonstrated that the Src/Fn14/NF-kappaB axis plays a critical role in NSCLC metastasis. PMID: 29500337
- Results suggest that Src promotes EGF-stimulated EMT and migration by upregulation of ZEB1 and ZEB2 through AKT signaling pathway in gastric cancer cells. PMID: 29052277
- Combined targeting of AKT and SRC resulted in a synergistic efficacy against human pancreatic cancer growth and metastasis. PMID: 29978609
- important roles for c-Src tyrosine kinase in phosphorylation and activation of SLC11A1 in macrophages PMID: 29723216
- Our data suggest that targeting Src signaling may be an effective approach to the treatment of ALK-non-small cell lung cancer (NSCLC) with acquired resistance to ALK inhibitors. PMID: 29048652
- Src kinase in chemo-naive human primary osteosarcoma cells is differentially activated. PMID: 28786551
- This study demonstrates that simultaneous inhibition of c-Met and Src signaling in MD-MSCs triggers apoptosis and reveals vulnerable pathways that could be exploited to develop NF2 therapies. PMID: 28775147
- Syntenin mediates SRC function in exosomal cell-to-cell communication. PMID: 29109268
- Endothelial cell-derived matrix promotes the metabolic functional maturation of hepatocyte via integrin-Src signaling. PMID: 28470937
- The expression of Src under the influence of nilotinib, dasatinib, erlotinib, gefitinib and afatinib was studied in HPV-positive head and neck squamous cell carcinomas. Src expression was significantly increased by all tested tyrosine kinase inhibitors. PMID: 29715092
- Multivariate Cox regression analysis suggested that PTPRA expression was an independent prognostic factor in SCC patients. In the cellular models, PTPRA promotes SCC cell proliferation through modulating Src activation as well as cell cycle progression. In conclusion, higher PTPRA level was associated with worse prognosis of SCC patients and PTPRA could promote the cell cycle progression PMID: 28656243
- c-Src/MAPK/NF-kB signaling pathway may contribute to the pathogenesis of pre-eclampsia PMID: 28544129
- Data indicate the role of tyrosine kinase c-Src (Src) in rescuing Taz (transcriptional coactivator with PDZ-binding motif) from E3 ligase SCF(beta-TrCP)-mediated degradation. PMID: 28154141
- Data suggest that response of bronchial epithelial cells to environmental carcinogen benzo[a]pyrene includes activation of AhR/Src/ERK signaling, CYP1A1 induction, and formation of stable DNA adducts. (AhR = aryl hydrocarbon receptor; Src = Src proto-oncogene kinase; ERK = extracellular signal-regulated kinases; CYP1A1 = cytochrome P450 family 1 subfamily A member 1) PMID: 29545172
- It is unclear if we may have seen greater clinical activity if we were able to fully inhibit Src in this study, but given the requirement that enrolling patients have documented disease progression on cetuximab, acquired resistant KRAS-mutant clones may have been present, limiting future strategies to reverse EGFR resistance PMID: 28280091
- this study shows that simultaneous deactivation of FAK and Src improves the pathology of hypertrophic scar PMID: 27181267
- mutations in the germline and somatic DNA of the TEK gene were identified and analyze the expression level of Src and phospho-Src (p-Src) in tumor and healthy tissues from patients with facial cutaneo-mucosal venous malformations. PMID: 28316284
- SOCS1 antagonizes epithelial-mesenchymal transition by suppressing Src activity, leading to thioredoxin expression and down-regulation of ROS levels in colon cancer cells PMID: 27613835
- These findings suggest that the integrin beta4-FAK/Src signaling axis may play a crucial role in clonorchiasis-associated cholangiocarcinoma metastasis during tumor progression. PMID: 28286026
- Estrogen receptor-Src signaling plays an important role in ER (+) breast cancer, which shows a high potential for bone metastasis. PMID: 28472954
- thrombin binding to PAR-1 receptor activated Gi-protein/c-Src/Pyk2/EGFR/PI3K/Akt/p42/p44 MAPK cascade, which in turn elicited AP-1 activation and ultimately evoked MMP-9 expression and cell migration in SK-N-SH cells. PMID: 27181591
- whereas Src activation under shear stress is dominantly ligand-dependent, FAK signaling seems to be mostly shear induced. PMID: 27467982
- We provide evidence here that Rab7 is a substrate of Src kinase, and is tyrosine-phosphorylated by Src, withY183 residue of Rab7 being the optimal phosphorylation site for Src. Further investigations demonstrated that the tyrosine phosphorylation of Rab7 depends on the guanine nucleotide binding activity of Rab7 and the activity of Src kinase. PMID: 28336235
- Expression of LINC00520 is regulated by oncogenic Src, PIK3CA and STAT3, and may contribute to the molecular etiology of breast cancer. PMID: 27626181
- Findings indicate the importance of Src-Stat3 signaling cascade in gallic acid (GA)-mediated tumor-suppression activity and a therapeutic insight of GA for acquired resistance to EGF receptor tyrosine kinase inhibitors in lung cancer. PMID: 27419630
- Memo facilitates ER-alpha and c-Src interaction, ER-alpha Y537 phosphorylation, and has the ability to control ER-alpha extra-nuclear localization in breast cancer cells. PMID: 27472465
- Data show that MLLT11/AF1q-induced PDGFR signaling enhanced STAT3 activity through Src kinase activation. PMID: 27259262
- Loss of myristoylation abolished the tumorigenic potential of Src and its synergy with androgen receptor in mediating tumor invasion. PMID: 29038344
- N-WASP positively regulates demarcation membrane system development and proplatelet formation, and the Src family kinases in association with CDC42 regulate proplatelet formation through N-WASP PMID: 27685868
- phosphorylation of mATG9 at Tyr8 by Src and at Ser14 by ULK1 functionally cooperate to promote interactions between mATG9 and the AP1/2 complex. PMID: 27934868
- Data suggest that myristoylation of Src kinase is essential to facilitate Src-induced and high-fat diet-accelerated prostatic tumor progression; targeting Src kinase myristoylation, which is required for Src kinase association at cellular membrane, blocks dietary fat-accelerated tumorigenesis. PMID: 28939770
- elevated levels of cellular Src in serum and phosphorylated Src in primary nasopharyngeal carcinoma tissue correlated with poor outcomes of these patients PMID: 27078847
- Results indicate that src-family kinase (Src) is a upstream kinase of T-LAK cell-originated protein kinase (TOPK). PMID: 27016416
- We suggest that the induction of SRC results in increased prostate cancer metastasis that is linked to the dysregulation of the AR signaling pathway through the inactivation of miR-203 PMID: 27028864
- Data show that afatinib resistant clones were selectively killed by knock down of ERBB3 + c-MET + c-KIT, but not by the individual or doublet knock down combinations, and the combination of afatinib with the SRC family inhibitor dasatinib killed afatinib resistant H1975 cells in a greater than additive fashion. PMID: 26934000
- These results suggest that stabilization of delta-catenin by Hakai is dependent on Src. PMID: 28069439
- The protein kinase activity of PI3K phosphorylates serine residue 70 on Src to enhance its activity and induce EGFR transactivation following betaAR stimulation. PMID: 27169346
- Data show that the solubilising factor UNC119 sequesters myristoylated Src family protein tyrosine kinases (SFKs) to maintain its enrichment at the plasma membrane to enable signal transduction. PMID: 28740133
- Data indicate a role for AXL receptor tyrosine kinase (AXL) in regulating the nuclear translocation of epidermal growth factor receptor (EGFR) and suggest that AXL-mediated SRC family kinases (SFKs) and neuregulin-1 (NRG1) expression promote this process. PMID: 28049763
- High Src expression is associated with breast cancer. PMID: 28754671
顯示更多
收起更多
-
相關疾病:Thrombocytopenia 6 (THC6)
-
亞細胞定位:Cell membrane; Lipid-anchor. Mitochondrion inner membrane. Nucleus. Cytoplasm, cytoskeleton. Cytoplasm, perinuclear region. Cell junction, focal adhesion.
-
蛋白家族:Protein kinase superfamily, Tyr protein kinase family, SRC subfamily
-
組織特異性:Expressed ubiquitously. Platelets, neurons and osteoclasts express 5-fold to 200-fold higher levels than most other tissues.
-
數據庫鏈接:
Most popular with customers
-
-
YWHAB Recombinant Monoclonal Antibody
Applications: ELISA, WB, IHC, IF, FC
Species Reactivity: Human, Mouse, Rat
-
-
-
-
-
-















