SPRN Antibody
-
中文名稱:SPRN兔多克隆抗體
-
貨號:CSB-PA058370
-
規格:¥1100
-
圖片:
-
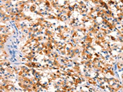
The image on the left is immunohistochemistry of paraffin-embedded Human thyroid cancer tissue using CSB-PA058370(SPRN Antibody) at dilution 1/15, on the right is treated with synthetic peptide. (Original magnification: ×200)
-
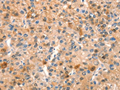
The image on the left is immunohistochemistry of paraffin-embedded Human liver cancer tissue using CSB-PA058370(SPRN Antibody) at dilution 1/15, on the right is treated with synthetic peptide. (Original magnification: ×200)
-
-
其他:
產品詳情
-
Uniprot No.:
-
基因名:SPRN
-
別名:SPRN antibody; SHO antibody; Shadow of prion protein antibody; Protein shadoo antibody
-
宿主:Rabbit
-
反應種屬:Human
-
免疫原:Synthetic peptide of Human SPRN
-
免疫原種屬:Homo sapiens (Human)
-
標記方式:Non-conjugated
-
抗體亞型:IgG
-
純化方式:Antigen affinity purification
-
濃度:It differs from different batches. Please contact us to confirm it.
-
保存緩沖液:-20°C, pH7.4 PBS, 0.05% NaN3, 40% Glycerol
-
產品提供形式:Liquid
-
應用范圍:ELISA,IHC
-
推薦稀釋比:
Application Recommended Dilution ELISA 1:1000-1:2000 IHC 1:25-1:100 -
Protocols:
-
儲存條件:Upon receipt, store at -20°C or -80°C. Avoid repeated freeze.
-
貨期:Basically, we can dispatch the products out in 1-3 working days after receiving your orders. Delivery time maybe differs from different purchasing way or location, please kindly consult your local distributors for specific delivery time.
-
用途:For Research Use Only. Not for use in diagnostic or therapeutic procedures.
相關產品
靶點詳情
-
功能:Prion-like protein that has PrP(C)-like neuroprotective activity. May act as a modulator for the biological actions of normal and abnormal PrP.
-
基因功能參考文獻:
- Shadoo is degraded in Scrapie-infected rodents and cultured cells mediated by proteasome degradation after modification by ubiquitination. PMID: 24390475
- a conserved physiological activity between PrP(C) and Sho to protect cells from stress-induced toxicity and suggests that Sho and PrP(C) might act on similar signaling pathways. PMID: 21257747
- Observational study of gene-disease association. (HuGE Navigator) PMID: 19913121
- Observational study of gene-disease association, gene-environment interaction, and pharmacogenomic / toxicogenomic. (HuGE Navigator) PMID: 20628086
- Clinical trial of gene-disease association and gene-environment interaction. (HuGE Navigator) PMID: 20379614
- A novel solid phase technology for high- throughput synthesis of the SPRN gene is reported. PMID: 18778261
- Association of a null allele of SPRN with variant Creutzfeldt-Jakob disease PMID: 18805828
- Observational study of gene-disease association. (HuGE Navigator) PMID: 18805828
顯示更多
收起更多
-
亞細胞定位:Cell membrane; Lipid-anchor, GPI-anchor.
-
蛋白家族:SPRN family
-
組織特異性:Mainly expressed in brain. In brain, it is expressed in hippocampus.
-
數據庫鏈接:
Most popular with customers
-
-
YWHAB Recombinant Monoclonal Antibody
Applications: ELISA, WB, IHC, IF, FC
Species Reactivity: Human, Mouse, Rat
-
Phospho-YAP1 (S127) Recombinant Monoclonal Antibody
Applications: ELISA, WB, IHC
Species Reactivity: Human
-
-
-
-
-















