SPINT1 Antibody
-
中文名稱:SPINT1兔多克隆抗體
-
貨號:CSB-PA573580
-
規格:¥1100
-
圖片:
-
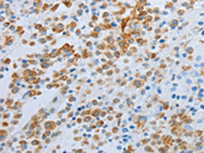
The image on the left is immunohistochemistry of paraffin-embedded Human esophagus cancer tissue using CSB-PA573580(SPINT1 Antibody) at dilution 1/25, on the right is treated with fusion protein. (Original magnification: ×200)
-
The image on the left is immunohistochemistry of paraffin-embedded Human ovarian cancer tissue using CSB-PA573580(SPINT1 Antibody) at dilution 1/25, on the right is treated with fusion protein. (Original magnification: ×200)
-
-
其他:
產品詳情
-
Uniprot No.:
-
基因名:
-
別名:HAI 1 antibody; HAI antibody; HAI-1 antibody; HAI1 antibody; Hepatocyte growth factor activator inhibitor type 1 antibody; Kunitz type protease inhibitor 1 antibody; Kunitz-type protease inhibitor 1 antibody; MANSC2 antibody; Serine peptidase inhibitor Kunitz type 1 antibody; SPINT1 antibody; SPIT1_HUMAN antibody
-
宿主:Rabbit
-
反應種屬:Human,Mouse
-
免疫原:Fusion protein of Human SPINT1
-
免疫原種屬:Homo sapiens (Human)
-
標記方式:Non-conjugated
-
抗體亞型:IgG
-
純化方式:Antigen affinity purification
-
濃度:It differs from different batches. Please contact us to confirm it.
-
保存緩沖液:-20°C, pH7.4 PBS, 0.05% NaN3, 40% Glycerol
-
產品提供形式:Liquid
-
應用范圍:ELISA,IHC
-
推薦稀釋比:
Application Recommended Dilution ELISA 1:2000-1:5000 IHC 1:25-1:100 -
Protocols:
-
儲存條件:Upon receipt, store at -20°C or -80°C. Avoid repeated freeze.
-
貨期:Basically, we can dispatch the products out in 1-3 working days after receiving your orders. Delivery time maybe differs from different purchasing way or location, please kindly consult your local distributors for specific delivery time.
-
用途:For Research Use Only. Not for use in diagnostic or therapeutic procedures.
相關產品
靶點詳情
-
功能:Inhibitor of HGF activator. Also acts as an inhibitor of matriptase (ST14).
-
基因功能參考文獻:
- The SPINT1 expression was associated with extrathyroidal invasion, lymphovascular invasion, lymph node metastasis, advanced TNM stage, and a higher risk of recurrence in differentiated thyroid cancer. PMID: 29532159
- HAI-1 is upregulated in pancreatic intraepithelial neoplasia and broadly expressed in pancreatic ductal adenocarcinoma (PDAC) cells. However, PDAC cases having areas of reduced HAI-1 immunoreactivity may show shorter disease-free survival. PMID: 29202869
- In this work, KLK14 binding to either hepatocyte growth factor activator inhibitor type-1 (HAI-1) or type-2 (HAI-2) was essayed using homology modeling, molecular dynamic simulations and free-energy calculations through MM/PBSA and MM/GBSA. KLK14 was successfully modeled. PMID: 28817220
- the cell surface expression of HAI-1 in all viable epidermal layers renders it an effective regulator for matriptase and prostasin PMID: 29438412
- Data suggest that HAI1, a protease on the surface of colon carcinoma cells, is an MMP7 substrate; proteolysis by MMP7 releases extracellular region as soluble HAI1 (sHAI1); sHAI1 induces cancer cell aggregation; cholesterol sulfate is required for MMP-7--catalyzed generation of sHAI1. (HAI1 = hepatocyte growth factor activator inhibitor type 1; MMP7 = matrix metalloproteinase-7) PMID: 29046355
- Concomitant presence of TMPRSS13 with HAI-1 mediates phosphorylation of residues in the intracellular domain of the protease, and it coincides with efficient transport of the protease to the cell surface and its subsequent shedding. PMID: 28710277
- our data illustrated a novel pathway comprising miR-221and miR-222 and hepatocyte growth factor activator inhibitor type 1 in gastric cancer, which is a potential target for future clinical use PMID: 28618968
- DNA methylation levels in the COASY and SPINT1 promoter regions were considered to potentially be a convenient and useful biomarker for diagnosis of Alzheimer's Disease and Amnestic Mild Cognitive Impairment. PMID: 27992572
- The structural insights gained here improve our understanding of the regulation of HAI-1 inhibitory activities and point to new approaches for better controlling these activities. PMID: 28348076
- The present study demonstrated that ovarian cancer cell metastasis and invasion were more dependent on upregulation of matriptase levels than downregulation of HAI1. Matriptase may be a potential adjuvant therapeutic target for inhibiting ovarian cancer invasion and metastasis. PMID: 27356668
- provide new insight into the interplay between tertiary structure and the inhibitory activity of a multidomain protease inhibitor PMID: 27226587
- The findings suggest that the oncogenic activity of hepsin arises not only from elevated expression level but also from depletion of HAI-1, events which together trigger gain-of-function activity impacting HGF/MET signalling and epithelial cohesion PMID: 26165838
- it was found that the recombinant fusion protein uPA17-34-KPI (kunitz-type protease inhibitor ) inhibited the invasion and metastasis of ovarian tumors PMID: 26166362
- HAI-1 may have a critical role in maintaining normal keratinocyte morphology through regulation of PAR-2-dependent p38 mitogen-activated protein kinase signaling. PMID: 25842366
- the anti-migratory effects seen via gamma-catenin were driven by the expression of hepatocyte growth factor activator inhibitor Type I (HAI-1 or SPINT-1), an upstream inhibitor of the c-MET signaling pathway. PMID: 25925948
- Data suggest HAI1 exhibits structural features consistent with classification in MANEC subclass of PAN/apple domain family with unifying features such as two additional disulfide bonds, two extended loop regions, and additional alpha-helical elements. PMID: 25510835
- Matriptase activity was suppressed by the expression of HAI-1. PMID: 24147538
- The results of the present study identified HAI-1 as a favorable prognostic marker for prostate cancer and may indicate that HAI-1 could be a therapeutic target for the treatment of this malignancy. PMID: 24659667
- HAI-1 expression correlates with the differentiation status of colorectal epithelia and could serve as a differentiation marker. PMID: 23979832
- HAI-1 and HAI-2 influence proliferation and cell fate of NPCs and their expression levels are linked to BMP sign PMID: 23409135
- Crystal structures of matriptase in complex with its inhibitor hepatocyte growth factor activator inhibitor-1 PMID: 23443661
- It is suggested that HAI-1 may play an important role in the pathogenesis of castration-resistant prostate cancer PMID: 23393351
- These results suggest that HAI-1 functions as a physiological regulator of HAT by inhibiting its protease activity and proteolytic activation in airway epithelium.(HAI-1) PMID: 22023801
- we showed for the first time that MT1-MMP activates matriptase through the cleavage of HAI-1 PMID: 22118498
- These data suggest that matriptase activity can be rapidly inhibited by HAI-1 and other HAI-1-like protease inhibitors and "locked" in an inactive autoactivation intermediate, all of which places matriptase under very tight control. PMID: 22031598
- HAI-1 and -2 are overexpressed in the liver in cholangiopathies with ductular reactions and are possibly involved in liver fibrosis and hepatic differentiation. PMID: 21898507
- The data suggested that normal epithelial cells use a dual mechanism involving hepatocyte growth factor activator inhibitor-1 and antithrombin to control matriptase and that the antithrombin-based mechanism is lost in the majority of carcinomas. PMID: 21795523
- Low HAI-1 is associated with endometrial cancer. PMID: 20715109
- High-level expression of HAI-1 is retained in the epidermal granular layer. This pattern of expression is retained in most skin disorders. PMID: 21123732
- Expression of HAI-1 in hepatocellular carcinoma is associated with poor prognosis. HAI-1 may be important in neoplasm progression and a new prognostic factor for hepatocellular carcinoma. PMID: 20213201
- HAI-1 regulates pulmonary metastasis of the human pancreatic carcinoma cell line SUIT-2 PMID: 21166957
- results suggest that TMPRSS13 functions as an HGF-converting protease, the activity of which may be regulated by HAI-1 PMID: 20977675
- the matriptase-prostasin proteolytic cascade is tightly regulated by two mechanisms: 1) prostasin activation temporally coupled to matriptase autoactivation and 2) HAI-1 rapidly inhibiting not only active matriptase but also active prostasin PMID: 20696767
- Data suggest that over-expression of HAI-1 in SW620 cells has weak effect on cell growth in vitro, but can significantly inhibit cell migration/motility. PMID: 16044910
- hepatocyte growth factor activator inhibitor-1B (new isoform) has roles in various physiological and pathological processes PMID: 12815039
- 1 serine protease inhibitor genotype is a significant risk factor for chronic obstructive pulmonary disease. PMID: 15994391
- HAI-1B is a potential physiological regulator of prostasin function PMID: 16103126
- The expressions of SNC19/matriptase and its inhibitor HAI-1 are decreased in gastrointestinal cancer tissues PMID: 16273651
- results show that dysregulation of the matriptase/HAI-1 mRNA ratio occurs early during colorectal cancer carcinogenesis PMID: 16820046
- Addition of HAI1 blocked the proteolytic activation of STP14 at the cell surface of peritoneal macrophages. PMID: 17389401
- Prostate cancer cells, after loss of HAI-1, had a significantly increased in vitro invasiveness together with an increase in cellular motility. PMID: 17786295
- analysis of the regulation of matriptase and HAI-1 with an emphasis on the molecular mechanisms governing its zymogen activation, inhibition by HAI-1, and ectodomain shedding [review] PMID: 17981575
- Unlike HAI-1 and matriptase, HAI-2 expression is detected in non-epithelial cells of brain and lymph nodes, suggesting that HAI-2 may also be involved in inhibition of serine proteases other than matriptase PMID: 18713750
- tissue microenvironment regulates the cell surface expression of HAI-1, and thereby may regulate proteolysis and processing of bioactive molecules on the cellular surface PMID: 18769935
- HAI-1 expression levels were significantly higher in all proliferative prostate diseases and seems to be a marker of prostate epithelial cell proliferation PMID: 18813126
- HAI-1 and HAI-2 may possibly be therapeutic target for treatment approaches in ovarian cancer. PMID: 19148468
- Expression of hepatocyte growth factor activator inhibitor type 1 in bronchial epithelial cells are altered by tissue injury to bronchi. PMID: 19222607
- interactions between HAI-1/SPINT1 and membrane-bound serine proteinases contribute to transcriptional and functional changes involved in EMT in certain carcinoma cells. PMID: 19223533
- Data suggest that the cellular location of matriptase activation and inhibition, and the secretory route for matriptase-HAI-1 complex may vary along with the functional divergence of different epithelial cells. PMID: 19535514
- The disease-free and overall survival rates of patients exhibiting high HAI-1 expression were significantly higher than those of patients exhibiting low HAI-1 expression in cervix cancer. PMID: 19578736
顯示更多
收起更多
-
亞細胞定位:Secreted.
-
數據庫鏈接:
Most popular with customers
-
-
YWHAB Recombinant Monoclonal Antibody
Applications: ELISA, WB, IHC, IF, FC
Species Reactivity: Human, Mouse, Rat
-
Phospho-YAP1 (S127) Recombinant Monoclonal Antibody
Applications: ELISA, WB, IHC
Species Reactivity: Human
-
-
-
-
-















