SPA17 Antibody
-
中文名稱:SPA17兔多克隆抗體
-
貨號:CSB-PA12124A0Rb
-
規格:¥440
-
圖片:
-
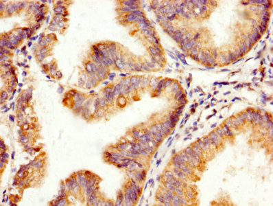
IHC image of CSB-PA12124A0Rb diluted at 1:200 and staining in paraffin-embedded human endometrial cancer performed on a Leica BondTM system. After dewaxing and hydration, antigen retrieval was mediated by high pressure in a citrate buffer (pH 6.0). Section was blocked with 10% normal goat serum 30min at RT. Then primary antibody (1% BSA) was incubated at 4°C overnight. The primary is detected by a biotinylated secondary antibody and visualized using an HRP conjugated SP system.
-
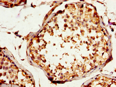
IHC image of CSB-PA12124A0Rb diluted at 1:200 and staining in paraffin-embedded human testis tissue performed on a Leica BondTM system. After dewaxing and hydration, antigen retrieval was mediated by high pressure in a citrate buffer (pH 6.0). Section was blocked with 10% normal goat serum 30min at RT. Then primary antibody (1% BSA) was incubated at 4°C overnight. The primary is detected by a biotinylated secondary antibody and visualized using an HRP conjugated SP system.
-
-
其他:
產品詳情
-
產品名稱:Rabbit anti-Homo sapiens (Human) SPA17 Polyclonal antibody
-
Uniprot No.:
-
基因名:
-
別名:Band 34 antibody; Cancer/testis antigen 22 antibody; CT22 antibody; SP17 1 antibody; Sp17-1 antibody; SP17_HUMAN antibody; SPA17 antibody; Sperm autoantigenic protein 17 antibody; Sperm protein 17 antibody; Sperm surface protein Sp17 antibody
-
宿主:Rabbit
-
反應種屬:Human
-
免疫原:Recombinant Human Sperm surface protein Sp17 protein (1-146AA)
-
免疫原種屬:Homo sapiens (Human)
-
標記方式:Non-conjugated
本頁面中的產品,SPA17 Antibody (CSB-PA12124A0Rb),的標記方式是Non-conjugated。對于SPA17 Antibody,我們還提供其他標記。見下表:
-
克隆類型:Polyclonal
-
抗體亞型:IgG
-
純化方式:>95%, Protein G purified
-
濃度:It differs from different batches. Please contact us to confirm it.
-
保存緩沖液:Preservative: 0.03% Proclin 300
Constituents: 50% Glycerol, 0.01M PBS, PH 7.4 -
產品提供形式:Liquid
-
應用范圍:ELISA, IHC
-
推薦稀釋比:
Application Recommended Dilution IHC 1:200-1:500 -
Protocols:
-
儲存條件:Upon receipt, store at -20°C or -80°C. Avoid repeated freeze.
-
貨期:Basically, we can dispatch the products out in 1-3 working days after receiving your orders. Delivery time maybe differs from different purchasing way or location, please kindly consult your local distributors for specific delivery time.
-
用途:For Research Use Only. Not for use in diagnostic or therapeutic procedures.
相關產品
靶點詳情
-
功能:Sperm surface zona pellucida binding protein. Helps to bind spermatozoa to the zona pellucida with high affinity. Might function in binding zona pellucida and carbohydrates.
-
基因功能參考文獻:
- Sp17 and ASP cancer/testis antigens were found in ciliated cells of four ciliated hepatic foregut cysts (CHFCs). Further characterization of Sp17 and ASP in patients with CHFCs may provide significant clues for understanding the molecular mechanisms underlying their predisposition to develop squamous cell carcinomas. PMID: 25600306
- dendritic cells from human umbilical cord blood modulated for SP17 expression induced antigen-specific anti-tumor immunity against SP17(+) non-small cell lung cancer. PMID: 26300426
- SP17/AKAP4/PTTG1 are expressed in both human NSCLC cell lines and primary tumors and can elicit an immunogenic response in lung cancer patients. PMID: 25739119
- NY-ESO-1 and SP17 was not significantly associated with a specific histotype, but high-level GAGE expression was more frequent in squamous cell carcinoma. GAGE expression was demonstrated to be significantly higher in stage II-IIIa than stage I NSCLC. PMID: 24103781
- Sp17 is highly expressed in hepatocellular carcinoma cells PMID: 23923079
- SP17 was expressed in many cancer types with an overall frequency of 12%. SP17 was most frequently expressed in a different set of cancer types than MAGE-A and GAGE antigens and rarely overlapped with these proteins. PMID: 23137323
- Sperm protein 17 is highly expressed in endometrial and cervical cancers. PMID: 20712874
- Data show that cisplatin induced decrease in Sp17 levels was due to transcriptional inhibition and cisplatin-resistant cell lines did not show this decrease in Sp17 levels in response to cisplatin treatment. PMID: 19685492
- Sp17 has different expression patterns in cancer cell lines as compared to normal non-testes tissues and a potential pathogenic role in diseased cells PMID: 12213290
- focuses on the characterization of the genomic organization of an intron-containing gene and establishes a new transcription model PMID: 12393185
- expression of Sp17, a thought to be gamete-specific protein, in the synoviocytes of 8/8 female rheumatoid arthritis patients PMID: 12739786
- identification of a nonapeptide sequence within the Sp17 protein that is predicted to have a high binding affinity for HLA-A1 molecules PMID: 14566839
- Sp17 is expressed in the cell nucleus of ovarian neoplasms PMID: 14712480
- Sp17 gene expression in myeloma cells is regulated by promoter methylation PMID: 15381930
- Overexpression of sperm protein 17 is associated with esophageal cancer PMID: 17230514
- in vitro cultured, monoclonal, cytotoxic T lymphocytes (derived either from advanced OC patients or from healthy donors), specific for sperm protein 17, can eradicate human metastatic OC cells. PMID: 18779750
- Results suggest a possible role of Sp17 in regulating sperm maturation, capacitation, acrosomal reaction and interactions with the oocyte zona pellucida during the fertilization process. PMID: 19604394
- HSp17 plays a role in metastatic disease and resistance of epithelial ovarian carcinoma to chemotherapy PMID: 19744347
顯示更多
收起更多
-
亞細胞定位:Membrane; Peripheral membrane protein.
-
組織特異性:Testis and sperm specific.
-
數據庫鏈接:
Most popular with customers
-
-
Phospho-YAP1 (S127) Recombinant Monoclonal Antibody
Applications: ELISA, WB, IHC
Species Reactivity: Human
-
-
-
-
-
-















