SOX2 Antibody
-
中文名稱:SOX2兔多克隆抗體
-
貨號:CSB-PA698932
-
規格:¥1100
-
圖片:
-
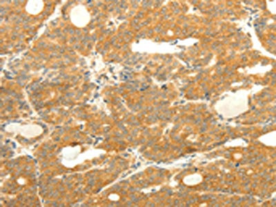
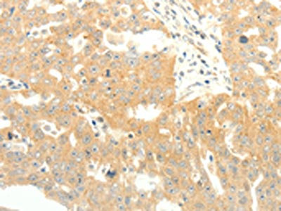
The image on the left is immunohistochemistry of paraffin-embedded Human thyroid cancer tissue using CSB-PA698932(SOX2 Antibody) at dilution 1/25, on the right is treated with fusion protein. (Original magnification: ×200)
-
The image on the left is immunohistochemistry of paraffin-embedded Human ovarian cancer tissue using CSB-PA698932(SOX2 Antibody) at dilution 1/25, on the right is treated with fusion protein. (Original magnification: ×200)
-
-
其他:
產品詳情
-
Uniprot No.:
-
基因名:
-
別名:ANOP3 antibody; cb236 antibody; Delta EF2a antibody; lcc antibody; MCOPS3 antibody; MGC148683 antibody; MGC2413 antibody; RGD1565646 antibody; Sex determining region Y box 2 antibody; SOX 2 antibody; Sox2 antibody; SOX2_HUMAN antibody; SRY (sex determining region Y) box 2 antibody; SRY box containing gene 2 antibody; SRY related HMG box 2 antibody; SRY related HMG box gene 2 antibody; SRY-box 2 antibody; Transcription factor SOX 2 antibody; Transcription factor SOX-2 antibody; ysb antibody
-
宿主:Rabbit
-
反應種屬:Human,Mouse
-
免疫原:Fusion protein of Human SOX2
-
免疫原種屬:Homo sapiens (Human)
-
標記方式:Non-conjugated
-
抗體亞型:IgG
-
純化方式:Antigen affinity purification
-
濃度:It differs from different batches. Please contact us to confirm it.
-
保存緩沖液:-20°C, pH7.4 PBS, 0.05% NaN3, 40% Glycerol
-
產品提供形式:Liquid
-
應用范圍:ELISA,IHC
-
推薦稀釋比:
Application Recommended Dilution ELISA 1:2000-1:5000 IHC 1:25-1:100 -
Protocols:
-
儲存條件:Upon receipt, store at -20°C or -80°C. Avoid repeated freeze.
-
貨期:Basically, we can dispatch the products out in 1-3 working days after receiving your orders. Delivery time maybe differs from different purchasing way or location, please kindly consult your local distributors for specific delivery time.
-
用途:For Research Use Only. Not for use in diagnostic or therapeutic procedures.
相關產品
靶點詳情
-
功能:Transcription factor that forms a trimeric complex with OCT4 on DNA and controls the expression of a number of genes involved in embryonic development such as YES1, FGF4, UTF1 and ZFP206. Binds to the proximal enhancer region of NANOG. Critical for early embryogenesis and for embryonic stem cell pluripotency. Downstream SRRT target that mediates the promotion of neural stem cell self-renewal. Keeps neural cells undifferentiated by counteracting the activity of proneural proteins and suppresses neuronal differentiation. May function as a switch in neuronal development.
-
基因功能參考文獻:
- SOX2 role in the squamous cancer progression.CCAT1 is a key target co-regulated by TP63 and SOX2 through a super-enhancer in squamous cancer cells. PMID: 30190462
- Results demonstrated that SOX2 is a target of miR200c in MCF7/Tax cells. Knockdown of SOX2 expression increased chemosensitivity to paclitaxel and upregulated miR200c expression in MCF7/Tax cells. PMID: 30272330
- BCL11A is integral to lung squamous cell carcinoma pathology and highlights the disruption of the BCL11A-SOX2 transcriptional programme as a novel candidate for drug development. PMID: 30127402
- Hedgehog signaling (HH) and SOX2 function are inclined to developmental cues and arbitrating malignant growth in prostate cancer. SOX2 inhibition reduces cell proliferation and induces apoptosis. Conjoint inhibition of SOX2 and HH pathway induce apoptosis, reduce proliferation and migration. PMID: 27816521
- The results remind us that clinical anophthalmia may be accompanied by sensorineural hearing loss and may be associated with SOX2 mutation, and it will contribute to improving diagnosis and patient care. PMID: 30262714
- Metastatic double primary endometrioid endometrial and ovarian carcinoma sections expressed a higher level of SOX2 compared to the corresponding DPEEOC tissues. PMID: 29569698
- The invasion and migration of osteosarcoma cells were down-regulated significantly through the inhibition of Sox2 by inactivating Wnt/beta-catenin signaling pathway related proteins PMID: 29619662
- SOX2 is a critical oncogene linked to cancer stemness properties in urothelial carcinoma of the bladder. PMID: 29180467
- Six SOX2 positive synovial sarcoma cases were analyzed by FISH using a SOX2/CEN3 dual color FISH probe PMID: 29773426
- Tumor tissue Sox2 expression was not positively correlated with histologic grade, pathological tumor size and prognosis in surgical patients with triple-negative breast cancer. PMID: 29536377
- Study in glioma stem-like cells (GSCs) identified SOX2 as one of downstream METTL3 targets and further recruitment of HuR onto m6A-modified sites in SOX2 is essential for SOX2 mRNA stabilization. METTL3 alters the DNA repair efficiency and radiation sensitivity partially via SOX2 in GSCs. PMID: 28991227
- Myeloid Zinc Finger 1 and GA Binding Protein Co-Operate with Sox2 in Regulating the Expression of Yes-Associated Protein 1 in Cancer Cells PMID: 28905448
- Human cytomegalovirus IE1 causes SOX2 downregulation by promoting the nuclear accumulation and inhibiting the phosphorylation of STAT3, a transcriptional activator of SOX2 expression. PMID: 29950413
- hypopharyngeal squamous cell carcinomas characteristically almost completely lacking SOX2 expression appeared to be aggressive neoplasms with high recurrence rates. Promoter hypermethylation was determined to be a major mechanism underlying epigenetic SOX2 silencing PMID: 29143365
- this study shows that basaloid squamous cell carcinoma and basal cell carcinoma of the head and neck can be readily distinguished by a limited panel consisting primarily of EMA, and supported by SOX2 and p16 PMID: 27438511
- Results show that the levels of small nucleolar RNA host gene 5 (SNHG5) and SRY (sex determining region Y)-box 2 protein (SOX2) were significantly downregulated in osteoarthritis (OA) tissues, while the level of miR-26a was upregulated. PMID: 29409014
- SOX2 copy number increases are detectable in a substantial proportion of high-grade HPV-positive vulvar carcinomas with basaloid differentiation. PMID: 28700423
- The staining patterns did not reliably distinguish cervical intraepithelial neoplasia, grade 3 (CIN 3) from CIN 3-like Squamous cell carcinoma (SCC). Small infiltrative tumor nests around the margins of CIN 3 or deeply invasive CIN 3-like SCC often showed a localized reduction in SOX2 expression suggesting SOX2 downregulation during the transition to invasive growth. PMID: 28319578
- Low SOX2 expression marks a distinct subset of adenoid cystic carcinoma of the head and neck and is associated with an advanced tumor stage PMID: 29596469
- SOX2 overexpression in DPSCs promoted the regulation of odontoblast differentiation of DPSCs PMID: 29039570
- SOX2 expression is dependent on contact with enhancers 700 kb downstream via CTCFdependent chromatin looping. PMID: 29091765
- LncRNA SOX2-OT is a novel prognostic biomarker for osteosarcoma patients, it regulates osteosarcoma cells proliferation and motility through SOX2 modulation, and is correlated with patients' survival. PMID: 28960757
- SOX2 overexpression is associated with cancer. PMID: 29587142
- Histone acetyltransferase EP300 is necessary for the transcription factor SOX2 activity in basal cells, including for induction of the squamous fate. EP300 copy number gains are common in squamous cell carcinoma SQCCs, including lung cancer SQCC cell lines. PMID: 28794006
- NFATc2 enhances tumor-initiating phenotypes through the NFATc2/SOX2/ ALDH1A1 axis in lung adenocarcinoma. PMID: 28737489
- Block the activation of the VRK1 promoter by Sox2. PMID: 27334688
- Heterozygous loss-of-function mutations in SOX2 are the commonest cause of severe microphthalmia and anophthalmia. PMID: 28635421
- This data demonstrated immunogenicity of SOX2, which is specifically overexpressed on pediatric glial tumor cells. PMID: 28620836
- OCT4 and SOX2 work as transcriptional activators in reprogramming human fibroblasts. PMID: 28813671
- Sox2-expressing cells mark a subpopulation of tumor cells that fuel the growth of established BCa. SOX2-positive cells also expressed other previously reported BCa CSC markers, including Keratin14 (KRT14) and CD44v6. Ablation of Sox2-expressing cells within primary invasive BCa led to enhanced tumor regression PMID: 28793245
- studies on the role of SOX2 in breast cancer may provide effective biomarkers and potential therapeutic targets for the diagnosis and treatment of breast cancer PMID: 28674712
- In conclusion, targeted sequencing for SOX2 and VSX2 identified the etiology in two patients (7.4%) and this is the first report of SOX2 mutation from Egypt. PMID: 28121235
- Kat2b are essential to the differentiation through enhancing recruitment neuroectodermal factors Sox2 and Pax6 to their target sites. PMID: 28475175
- combined administration of small-interfering RNA (siRNA) transfection with PPARgamma ligands induced downregulation of SOX2 and MMP2 activity together with inhibition of sphere-forming activity regardless of poly(ADP-ribose) polymerase (PARP) cleavage. Taken together, our findings suggest that a combination therapy using PPARgamma ligands and its inhibitor could be a potential therapeutic strategy targeting glioblastom... PMID: 28642874
- DDX53 directly regulates the SOX-2 expression in drug-resistant melanoma cells. PMID: 28535666
- Rectal tumor tissue OCT4 (p<0.001), SOX2 (p=0.003), and NANOG (p<0.001) expressions were higher than those in adjacent tissue. PMID: 29214774
- Thus, SOX2 is a master regulator of the acinar cell lineage essential to the establishment of a functional organ. PMID: 28623666
- Results provide evidence that SOX2 expression is regulated by the transcription factor HSF1. PMID: 29316077
- SOX2 overexpression and the loss of Rb1 protein expression might have a pivotal role in the divergent differentiation of pluripotent embryonic-like epithelial cells and the development of esophageal small-cell carcinoma. PMID: 28106103
- In SOX2-deficient cells, BMP signaling is inhibited, but NODAL signaling is not activated. Thus, SOX2 appears to be downstream of BMP signaling but upstream of NODAL activation. PMID: 27283990
- Results show lower SOX2 in the lymph node metastases from head and neck squamous cell carcinomas (HNSCCs) and in cervical cancer of unknown primary patients compared with the primary tumor. Tumors from N1 to N3 stage exhibit decreasing SOX2 expression in the lymphatic metastases. Its expression is showed to be involved in the proliferation and migration of HNSCC cell lines. PMID: 28002801
- SOX2 overexpression could be used as a positive prognostic factor in patients with stage III lung squamous cell carcinoma receiving adjuvant radiotherapy PMID: 26323639
- The survival rate was increased by 11.1% in Oct4/Sox2-hAT-MSC-injected mice. PMID: 28438862
- hypoxia-NOTCH1-SOX2 signaling axis is important for activation of ovarian cancer stem cells. PMID: 27489349
- This severe movement disorder appears to be a feature of some types of SOX2-anophthalmia syndrome thus expanding the phenotype. We strongly recommend that all newborns with bilateral anophthalmia/microphthalmia be screened for mutations in SOX2 PMID: 27427475
- Findings indicate that long-term exposure to IM results in dysregulation of stem cell renewal-regulatory Hippo (MST1/2)/YAP signaling, and that inhibition of miR-181a using a microRNA sponge inhibitor resulted in decreased transcription of SOX2 and SALL4. PMID: 28103766
- The authors found that high/positive SOX2 alterations, either DNA amplification or protein expression, were favorable for overall survival (OS) in non-small cell lung cancer. On the contrary, high/positive Nestin protein expression was poor for OS. PMID: 27150062
- Data show that tunicamycin reduces the expression of self-renewal regulator Sox2 at translation level. PMID: 27119230
- Increasing SOX2 reduces growth inhibition mediated by MEK and AKT inhibitors; whereas knockdown of SOX2 further reduces growth when Pancreatic ductal adenocarcinoma cells are treated with these inhibitors. Thus, targeting SOX2, or its mode of action, could improve the treatment of Pancreatic ductal adenocarcinoma. PMID: 27145457
- This study discloses novel SOX2 target genes driving neuroendocrine differentiation and spread of PC and proposes SOX2 as a functional biomarker of LN metastasization for prostate cancer. PMID: 26540632
顯示更多
收起更多
-
相關疾病:Microphthalmia, syndromic, 3 (MCOPS3)
-
亞細胞定位:Nucleus.
-
數據庫鏈接:
Most popular with customers
-
-
Phospho-YAP1 (S127) Recombinant Monoclonal Antibody
Applications: ELISA, WB, IHC
Species Reactivity: Human
-
-
-
-
-
-















