SNCA Antibody
-
中文名稱:SNCA兔多克隆抗體
-
貨號:CSB-PA592134
-
規格:¥1100
-
圖片:
-
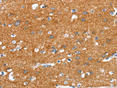
The image on the left is immunohistochemistry of paraffin-embedded Human brain tissue using CSB-PA592134(SNCA Antibody) at dilution 1/30, on the right is treated with synthetic peptide. (Original magnification: ×200)
-
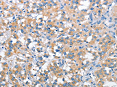
The image on the left is immunohistochemistry of paraffin-embedded Human thyroid cancer tissue using CSB-PA592134(SNCA Antibody) at dilution 1/30, on the right is treated with synthetic peptide. (Original magnification: ×200)
-
-
其他:
產品詳情
-
Uniprot No.:
-
基因名:
-
別名:Alpha synuclein antibody; Alpha-synuclein antibody; Alpha-synuclein; isoform NACP140 antibody; alphaSYN antibody; MGC105443 antibody; MGC110988 antibody; MGC127560 antibody; MGC64356 antibody; NACP antibody; Non A beta component of AD amyloid antibody; Non A4 component of amyloid antibody; Non A4 component of amyloid precursor antibody; Non-A beta component of AD amyloid antibody; Non-A-beta component of alzheimers disease amyloid ; precursor of antibody; Non-A4 component of amyloid precursor antibody; Non-A4 component of amyloid; precursor of antibody; OTTHUMP00000218549 antibody; OTTHUMP00000218551 antibody; OTTHUMP00000218552 antibody; OTTHUMP00000218553 antibody; OTTHUMP00000218554 antibody; PARK 1 antibody; PARK 4 antibody; PARK1 antibody; PARK4 antibody; Parkinson disease (autosomal dominant; Lewy body) 4 antibody; Parkinson disease familial 1 antibody; SNCA antibody; Snca synuclein antibody; Snca synuclein; alpha (non A4 component of amyloid precursor) antibody; SYN antibody; Synuclein alpha antibody; Synuclein alpha 140 antibody; Synuclein; alpha (non A4 component of amyloid precursor) antibody; SYUA_HUMAN antibody
-
宿主:Rabbit
-
反應種屬:Human,Mouse,Rat
-
免疫原:Synthetic peptide of Human SNCA
-
免疫原種屬:Homo sapiens (Human)
-
標記方式:Non-conjugated
-
抗體亞型:IgG
-
純化方式:Antigen affinity purification
-
濃度:It differs from different batches. Please contact us to confirm it.
-
保存緩沖液:-20°C, pH7.4 PBS, 0.05% NaN3, 40% Glycerol
-
產品提供形式:Liquid
-
應用范圍:ELISA,IHC
-
推薦稀釋比:
Application Recommended Dilution ELISA 1:1000-1:2000 IHC 1:25-1:100 -
Protocols:
-
儲存條件:Upon receipt, store at -20°C or -80°C. Avoid repeated freeze.
-
貨期:Basically, we can dispatch the products out in 1-3 working days after receiving your orders. Delivery time maybe differs from different purchasing way or location, please kindly consult your local distributors for specific delivery time.
-
用途:For Research Use Only. Not for use in diagnostic or therapeutic procedures.
相關產品
靶點詳情
-
功能:Neuronal protein that plays several roles in synaptic activity such as regulation of synaptic vesicle trafficking and subsequent neurotransmitter release. Participates as a monomer in synaptic vesicle exocytosis by enhancing vesicle priming, fusion and dilation of exocytotic fusion pores. Mechanistically, acts by increasing local Ca(2+) release from microdomains which is essential for the enhancement of ATP-induced exocytosis. Acts also as a molecular chaperone in its multimeric membrane-bound state, assisting in the folding of synaptic fusion components called SNAREs (Soluble NSF Attachment Protein REceptors) at presynaptic plasma membrane in conjunction with cysteine string protein-alpha/DNAJC5. This chaperone activity is important to sustain normal SNARE-complex assembly during aging. Plays also a role in the regulation of the dopamine neurotransmission by associating with the dopamine transporter (DAT1) and thereby modulating its activity.
-
基因功能參考文獻:
- Results provide evidence of the role of SNCA in opiate dependence PMID: 21309955
- The molecular basis and clinical relevance of statistically decreased alphaSyn pathology in schizophrenic brain versus aged controls is unknown and needs further elucidation as will be necessary for its incidence and relevance in chronic affective disorders. PMID: 19198857
- Elevated levels of insoluble alpha-Syn seen in brains of patients with Parkinson's and dementia are higher than that of Parkinson brains, for insoluble and insoluble/soluble alpha-Syn, respectively, with a highly significant difference between the two groups. PMID: 20599975
- Data suggest that the key molecular scaffold most effective in inhibiting and destabilizing self-assembly by alphaS requires: (i) aromatic elements for binding to the alphaS monomer/oligomer and (ii) vicinal hydroxyl groups present on a single phenyl ring. PMID: 21443877
- [review] The role of alpha-syn is summarized in synaptic vesicle recycling, neurotransmitter synthesis and release and synaptic plasticity, as well as the possible relevance between the loss of normal alpha-syn functions in disease conditions. PMID: 21167933
- Age-related accumulation of neuromelanin might induce alpha-synuclein over-expression and thereby make dopamine neurons more vulnerable to injuries. PMID: 21461961
- alpha-Synuclein function in promoting cell proliferation is associated with its microtubule assembly activity with the functional domain localized in its carboxyl-terminal part. PMID: 21331461
- Association ofalpha-synuclein with Rab attachment receptor protein and soluble sensitive factor attachment receptors (SNAREs) highlights a key role for membrane transport defects in alpha-synuclein-mediated pathology. PMID: 21439320
- Our result strongly indicates that Parkinson's disease, induced by alpha-SYN mutation, is evoked by deregulation of the AKT-signaling cascade. PMID: 21474915
- Genetic mutations in the alpha-synuclein gene can lead to Parkinson's disease, but even in these patients, age-dependent physiological changes or environmental exposures appear to be involved in disease presentation. PMID: 21238487
- Our results imply that CSF alpha-synuclein is currently unsuitable as biomarker to differentiate between PD and AP. PMID: 21236518
- [review] Presynaptic function is implicated in the function/dysfunction of alpha-synuclein, the first gene shown to contribute to Parkinson's disease (PD), in this review of genetic models of PD. PMID: 20969957
- In the Caucasian patient-control series examined, risk for Parkinson disease is influenced by variation in SNCA and tau proteins but not glycogen synthase kinase (GSK)beta3. PMID: 21159074
- Overexpression of alpha-Syn transgene alters dopamine efflux and dopamine D2 receptor modulation of corticostriatal glutamate release at a young age in mice. PMID: 21488084
- An artificial microRNA-embedded human SNCA silencing vector is expressed lacks toxicity in rat PC12 cells in which rat SNCA is not silenced and has reduced toxicity in human SH-SY5Y cells in which hSNCA is silenced. PMID: 21338582
- Patients with multiple system atrophy may have a cerebrospinal fluid environment particularly favorable for alpha-synuclein fibril formation. PMID: 21215793
- Iron up-regulates alpha-synuclein and induces aggregation through the predicted iron responsive element (IRE) in the 5'-untranslated region (UTR) of human alpha-synuclein mRNA. PMID: 20383623
- an association of the two SNPs in 4q22/SNCA with the age of onset of Parkinson's disease PMID: 21044948
- Findings suggest that alpha-synuclein pathology is associated with Tar DNA-binding protein-43 accumulation in Lewy body disease. PMID: 20669025
- Attenuation of nigral SNCA pathology and dopaminergic neurodegeneration by inhibition of NADPH oxidase and iNOS supports a causative relation between inflammation-mediated SNCA pathologic alterations and chronic dopaminergic neurodegeneration. PMID: 21245015
- Data describe spontaneous accumulation of hyperphosphorylated tau in striata of a mouse model of Parkinsonism, which overexpresses human a-Synuclein under the PDGF promoter. PMID: 21453448
- Direct replication of single nucleotide polymorphisms (SNPs) within SNCA and BST1 confirmed these two genes to be associated with the Parkinson's Disease in the Netherlands. PMID: 21248740
- Transgenic alpha-synuclein localizes to the mitochondrial membranes under conditions of proteasomal inhibitory stress; this localization coincides with selective age-related mitochondrial complex I inhibition. PMID: 20887775
- Synphilin-1 inhibits alpha-synuclein degradation by the proteasome. PMID: 21103907
- From crystal structures of fusions between maltose-binding protein and four segments of alpha-synuclein, the study traces a virtual model of the first 72 residues of alpha -synuclein. PMID: 21462277
- In transgenic mice, the norepinephrine systems may be more vulnerable than dopamine systems to toxic effects of aberrant alpha-synuclein; this is in line with the major damage to the noradrenaline system that occurs in patients with Parkinson's disease. PMID: 19152986
- In patients diagnosed with dementia with Lewy bodies, lower cerebrospinal fluid alpha-synuclein levels may perhaps be associated with lower cognitive performance, in comparison to patients who are diagnosed with Alzheimer's disease. PMID: 20847452
- A novel function for BAG5 as a modulator of CHIP E3 ubiquitin ligase activity with implications for CHIP-mediated regulation of alpha-syn oligomerization. PMID: 21358815
- Single-nucleotide polymorphisms in SNCA (rs356219; P = 5.5 x 10(-4) ) is significantly associated with Parkinson's disease PMID: 21425343
- alpha-Synuclein thus exerts a primary and direct effect on the morphology of an organelle long implicated in the pathogenesis of Parkinson disease. PMID: 21489994
- evidence that alpha-synuclein is a cellular ferrireductase, responsible for reducing iron (III) to bio available iron (II) PMID: 21249223
- study found a significant association between the NACP-Rep1 length polymorphism and Beck Depression Inventory (BDI) score; analysis revealed no further association between the In4 polymorphism or between the mRNA expression of SNCA and the BDI score PMID: 21271299
- mechanistic insights on the role alpha-synuclein in modulating neurodegenerative phenotypes by regulation of Akt-mediated cell survival signaling in vivo PMID: 21304957
- overexpression of alpha-syn may cause mitochondrial defects in dopaminergic neurons of the substantia nigra through an association with adenylate translocator and activation of mitochondria-dependent cell death pathways PMID: 21310263
- data demonstrate an elevated state of tauopathy in striata of the A53T alpha-Syn mutant mice, suggesting that tauopathy is a common feature of synucleinopathies PMID: 21445308
- REVIEW: alpha-Synuclein in Parkinson disease and other neurodegenerative disorders PMID: 21342025
- Data suggest that membrane lipid modification in oligodendroglial cells containing SUMO-1 promotes the formation of alpha-synuclein inclusion bodies resembling protein aggregates in neurodegenerative disease. PMID: 20725866
- Data suggest that low SMN levels are associated with significantly lower alpha-synuclein expression, and that alpha-synuclein may be a genetic modifier or biomarker of spinal muscular atrophy. PMID: 20640532
- SNCA locus duplication carriers: from genetics to Parkinson disease phenotypes PMID: 21412942
- Ubiquitin ligase parkin promotes Mdm2-arrestin interaction but inhibits arrestin ubiquitination PMID: 21466165
- analysis of the mechanism of membrane permeabilization by oligomeric alpha-synuclein PMID: 21179192
- the relation between membrane physical properties and AS binding affinity and dynamics that presumably define protein localization in vivo and, thereby, the role of AS in the physiopathology of Parkinson disease. PMID: 21330368
- MMP3 digestion of alpha-synuclein in DA neurons plays a pivotal role in the progression of Parkinson disease through modulation of alpha-synuclein in aggregation, Lewy body formation, and neurotoxicity PMID: 21330369
- Coordination features and affinity of the Cu(2)+ site in the alpha-synuclein protein of Parkinson's disease PMID: 21319811
- This study confirms the association between PD and both SNCA SNPs and the H1 MAPT haplotype. PMID: 21391235
- In this work Cu(ii) coordination to peptide fragments encompassing residues 45-55 of synuclein alpha has been exhaustively characterized, including systems containing the inherited mutations E46K and A53T, as model peptides of the His-50 site. PMID: 21212878
- results support the hypothesis that WT and A53T alpha-synuclein has an important role in the initiation and maintenance of inflammation in Parkinson's disease PMID: 21255620
- The combined data indicate that the A30P mutation does not cause changes in the number, location and overall arrangement of beta-strands in amyloid fibrils of alpha-synuclein. PMID: 21280130
- Data suggest that mutations in alpha-synuclein may impair specific functional domains, leaving others intact. PMID: 21272100
- Single locus analysis showed that G/G SNCA and H1/H1 MAPT risk genotypes were over-represented in patients with Parkinson disease compared with controls PMID: 21054681
顯示更多
收起更多
-
相關疾?。?/div>Parkinson disease 1, autosomal dominant (PARK1); Parkinson disease 4, autosomal dominant (PARK4); Dementia Lewy body (DLB)亞細胞定位:Cytoplasm. Membrane. Nucleus. Cell junction, synapse. Secreted.蛋白家族:Synuclein family組織特異性:Highly expressed in presynaptic terminals in the central nervous system. Expressed principally in brain.數據庫鏈接:
Most popular with customers
-
-
YWHAB Recombinant Monoclonal Antibody
Applications: ELISA, WB, IHC, IF, FC
Species Reactivity: Human, Mouse, Rat
-
Phospho-YAP1 (S127) Recombinant Monoclonal Antibody
Applications: ELISA, WB, IHC
Species Reactivity: Human
-
-
-
-
-















