SNAP29 Antibody
-
中文名稱:SNAP29兔多克隆抗體
-
貨號:CSB-PA021874ESR1HU
-
規格:¥440
-
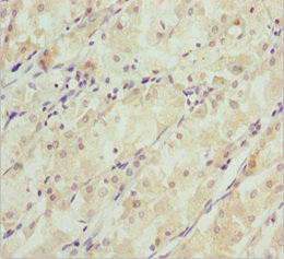
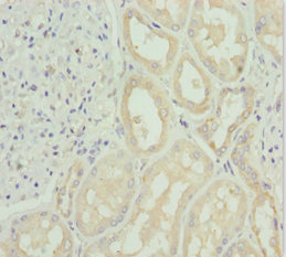
圖片:
-
其他:
產品詳情
-
產品名稱:Rabbit anti-Homo sapiens (Human) SNAP29 Polyclonal antibody
-
Uniprot No.:
-
基因名:
-
別名:CEDNIK antibody; FLJ21051 antibody; SNAP 29 antibody; SNAP-29 antibody; SNAP29 antibody; SNP29_HUMAN antibody; Soluble 29 kDa NSF attachment protein antibody; Synaptosomal associated protein 29 antibody; Synaptosomal associated protein 29kDa antibody; Synaptosomal-associated protein 29 antibody; Vesicle membrane fusion protein SNAP 29 antibody; Vesicle membrane fusion protein SNAP29 antibody; Vesicle-membrane fusion protein SNAP-29 antibody
-
宿主:Rabbit
-
反應種屬:Human
-
免疫原:Recombinant Human Synaptosomal-associated protein 29 protein (1-258AA)
-
免疫原種屬:Homo sapiens (Human)
-
標記方式:Non-conjugated
-
克隆類型:Polyclonal
-
抗體亞型:IgG
-
純化方式:Antigen Affinity Purified
-
濃度:It differs from different batches. Please contact us to confirm it.
-
保存緩沖液:PBS with 0.02% sodium azide, 50% glycerol, pH7.3.
-
產品提供形式:Liquid
-
應用范圍:ELISA, IHC
-
推薦稀釋比:
Application Recommended Dilution IHC 1:20-1:200 -
Protocols:
-
儲存條件:Upon receipt, store at -20°C or -80°C. Avoid repeated freeze.
-
貨期:Basically, we can dispatch the products out in 1-3 working days after receiving your orders. Delivery time maybe differs from different purchasing way or location, please kindly consult your local distributors for specific delivery time.
-
用途:For Research Use Only. Not for use in diagnostic or therapeutic procedures.
相關產品
靶點詳情
-
功能:SNAREs, soluble N-ethylmaleimide-sensitive factor-attachment protein receptors, are essential proteins for fusion of cellular membranes. SNAREs localized on opposing membranes assemble to form a trans-SNARE complex, an extended, parallel four alpha-helical bundle that drives membrane fusion. SNAP29 is a SNARE involved in autophagy through the direct control of autophagosome membrane fusion with the lysososome membrane. Plays also a role in ciliogenesis by regulating membrane fusions.
-
基因功能參考文獻:
- NEK3 kinase phosphorylates SNAP29 on its serine 105. NEK3-mediated phosphorylation determines membrane localization of SNAP29. Membrane-associated SNAP29 regulates Golgi and focal adhesion structures. PMID: 29454964
- Here, we identify a novel role for Snap29, an unconventional SNARE, in promoting kinetochore assembly during mitosis in Drosophila and human cells. Snap29 localizes to the outer kinetochore and prevents chromosome mis-segregation and the formation of cells with fragmented nuclei. PMID: 27647876
- phenotypic variability in Arab families with c.223delG mutation affected by cerebral dysgenesis, neuropathy, ichthyosis and keratoderma syndrome PMID: 25958742
- support a role of Snap29 at key steps of membrane trafficking, and predict that signaling defects may contribute to the pathogenesis of cerebral dysgenesis PMID: 25551675
- In mammalian cells, mutating the O-GlcNAc sites in SNAP-29, promotes the formation of a SNAP-29-containing SNARE complex, increases fusion between autophagosomes and endosomes/lysosomes, and promotes autophagic flux. PMID: 25419848
- This work implicates SNAP29 as a major modifier of variable expressivity in 22q11.2 DS patients. PMID: 23231787
- a causal relationship between defective function of SNAP29 and the pleiotropic manifestations of CEDNIK syndrome PMID: 21073448
- SNAP29 mediated membrane fusion has an important role in endocytic recycling and consequently, in cell motility PMID: 20305790
- SNAP-29 acts as a negative modulator for neurotransmitter release, probably by slowing recycling of the SNARE-based fusion machinery and synaptic vesicle turnover PMID: 15890653
- a SNAP29 mutation codes for a SNARE protein involved in intracellular trafficking and causes a novel neurocutaneous syndrome characterized by cerebral dysgenesis, neuropathy, ichthyosis, and palmoplantar keratoderma PMID: 15968592
顯示更多
收起更多
-
相關疾病:Cerebral dysgenesis, neuropathy, ichthyosis, and palmoplantar keratoderma syndrome (CEDNIK)
-
亞細胞定位:Cytoplasm. Golgi apparatus membrane; Peripheral membrane protein. Cytoplasmic vesicle, autophagosome membrane; Peripheral membrane protein. Cell projection, cilium membrane; Peripheral membrane protein.
-
蛋白家族:SNAP-25 family
-
組織特異性:Found in brain, heart, kidney, liver, lung, placenta, skeletal muscle, spleen and pancreas.
-
數據庫鏈接:
Most popular with customers
-
-
YWHAB Recombinant Monoclonal Antibody
Applications: ELISA, WB, IHC, IF, FC
Species Reactivity: Human, Mouse, Rat
-
Phospho-YAP1 (S127) Recombinant Monoclonal Antibody
Applications: ELISA, WB, IHC
Species Reactivity: Human
-
-
-
-
-















