SMAD5 Antibody
-
中文名稱:SMAD5兔多克隆抗體
-
貨號:CSB-PA859108LA01HU
-
規格:¥440
-
圖片:
-
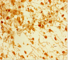
Immunohistochemistry of paraffin-embedded human melanoma using CSB-PA859108LA01HU at dilution of 1:100
-
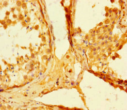
Immunohistochemistry of paraffin-embedded human testis tissue using CSB-PA859108LA01HU at dilution of 1:100
-
Immunofluorescent analysis of MCF-7 cells using CSB-PA859108LA01HU at dilution of 1:100 and Alexa Fluor 488-congugated AffiniPure Goat Anti-Rabbit IgG(H+L)
-
Western Blot
Positive WB detected in: Mouse heart tissue, Mouse lung tissue, Mouse kidney tissue
All lanes: SMAD5 antibody at 3μg/ml
Secondary
Goat polyclonal to rabbit IgG at 1/50000 dilution
Predicted band size: 53 kDa
Observed band size: 53 kDa
-
-
其他:
產品詳情
-
產品名稱:Rabbit anti-Homo sapiens (Human) SMAD5 Polyclonal antibody
-
Uniprot No.:
-
基因名:
-
別名:DKFZp781C1895 antibody; DKFZp781O1323 antibody; Dwfc antibody; hSmad5 antibody; JV5 1 antibody; JV5-1 antibody; MAD homolog 5 antibody; MAD, mothers against decapentaplegic homolog 5 antibody; MADH 5 antibody; MADH5 antibody; Mothers against decapentaplegic homolog 5 antibody; mothers against decapentaplegic, drosophila, homolog of, 5 antibody; Mothers against DPP homolog 5 antibody; MusMLP antibody; SMA and MAD related protein 5 antibody; SMAD 5 antibody; SMAD family member 5 antibody; SMAD, mothers against DPP homolog 5 antibody; Smad5 antibody; SMAD5_HUMAN antibody
-
宿主:Rabbit
-
反應種屬:Human, Mouse
-
免疫原:Recombinant Human Mothers against decapentaplegic homolog 5 protein (1-209AA)
-
免疫原種屬:Homo sapiens (Human)
-
標記方式:Non-conjugated
本頁面中的產品,SMAD5 Antibody (CSB-PA859108LA01HU),的標記方式是Non-conjugated。對于SMAD5 Antibody,我們還提供其他標記。見下表:
-
克隆類型:Polyclonal
-
抗體亞型:IgG
-
純化方式:>95%, Protein G purified
-
濃度:It differs from different batches. Please contact us to confirm it.
-
保存緩沖液:Preservative: 0.03% Proclin 300
Constituents: 50% Glycerol, 0.01M PBS, PH 7.4 -
產品提供形式:Liquid
-
應用范圍:ELISA, WB, IHC, IF
-
推薦稀釋比:
Application Recommended Dilution WB 1:500-1:5000 IHC 1:20-1:200 IF 1:50-1:200 -
Protocols:
-
儲存條件:Upon receipt, store at -20°C or -80°C. Avoid repeated freeze.
-
貨期:Basically, we can dispatch the products out in 1-3 working days after receiving your orders. Delivery time maybe differs from different purchasing way or location, please kindly consult your local distributors for specific delivery time.
-
用途:For Research Use Only. Not for use in diagnostic or therapeutic procedures.
相關產品
靶點詳情
-
功能:Transcriptional modulator activated by BMP (bone morphogenetic proteins) type 1 receptor kinase. SMAD5 is a receptor-regulated SMAD (R-SMAD).
-
基因功能參考文獻:
- We demonstrated high expression of miR-145 associated with late stage and unfavorable prognosis of esophageal cancer. We identified SMAD5 as direct target of miR-145, the suppressed expression of which consequently led to increased cell proliferation and migration/invasion. PMID: 29852786
- Smad5 acts as a intracellular pH messenger and maintains the bioenergetic homeostasis of cells by regulating cytoplasmic metabolic machinery. PMID: 28675158
- Data suggest that differences in expression levels in granulosa-like tumor cells and granulosa cells (GCs) from patients with polycystic ovary syndrome (PCOS) are due to increased expression of microRNA-27a-3p in GCs caused by insulin resistance in PCOS; microRNA-27a-3 expression is up-regulated in GCs in PCOS; overexpression of miR-27a-3p inhibits SMAD5 expression and promotes apoptosis. (SMAD5 = SMAD family member 5) PMID: 29029022
- Here the involvement of the pathway in adult brain function is suggested. This exploratory study establishes a strategy to better identify neuronal molecular signatures that are potentially associated with mental illness and cognitive deficits. We propose that the SMAD pathway may be a novel target in addressing cognitive deficit of SZ in future studies. PMID: 27727244
- miR-23a and miR-27a target SMAD5 and regulate apoptosis in human granulosa cells via the FasL-Fas pathway PMID: 26400397
- Our findings suggest that suppression of miR-222-3p activity promoted osteogenic differentiation hBMSCs through regulating Smad5-RUNX2 signaling axis. PMID: 26809090
- The polycomb group protein L3MBTL1 represses a SMAD5-mediated hematopoietic transcriptional program in human pluripotent stem cells. PMID: 25754204
- among the 15 SNPs, rs3206634 was significantly associated with KD in a recessive model (odds ratio = 2.31, p = 0.019), whereas there was no association between any of the 15 SNPs and CALs. PMID: 24163009
- Specific gene siRNAs knock-down further confirmed the osteogenic effects of Genistein on BMP2, SMAD5 and RUNX2 protein expression PMID: 24339730
- ATP production by NaF promotes hypertrophy-like changes via activation of phospho-Smad5 PMID: 23384547
- found that restoration of SMAD5, in addition to the TGF-beta type II receptor, which was epigenetically silenced by the latent viral protein latency-associated nuclear antigen, sensitized BC3 cells to the cytostatic effect of TGF-beta signaling PMID: 22013049
- Studies indicate SMAD5beta isoform plays role in hematopoietic stem cell homeostasis. PMID: 20148926
- regulatory signals are active at transcriptionally subnuclear sites PMID: 12060751
- Smad5 activation by BMP4 in human hematopoietic cells results in significantly increased proliferation of erythroid progenitors and formation of glycophorin-A+ cells. PMID: 12064918
- up-regulated Smad5 mediates apoptosis of gastric epithelial cells induced by Helicobacter pylori infection PMID: 12473652
- Results demonstrate a mitochondrial distribution of Smad5 in non-stimulated chondroprogenitor cells. PMID: 12849988
- SMAD5 undergoes copy number gain and increased expression, rather than loss of expression, and therefore does not act as a tumor-suppressor gene in hepatocellular carcinoma PMID: 14670176
- In mature human B cells, BMP-6 inhibited cell growth, and rapidly induced phosphorylation of Smad5. PMID: 15877825
- We used homology-modeling techniques to generate a reliable molecular model of the Smad5 MH1 domain based on the crystal structure of Smad3 MH1 domain PMID: 16243555
- SMAD5 gene was found to be associated with schizophrenia. PMID: 18298822
顯示更多
收起更多
-
亞細胞定位:Cytoplasm. Nucleus. Note=Cytoplasmic in the absence of ligand. Migrates to the nucleus when complexed with SMAD4.
-
蛋白家族:Dwarfin/SMAD family
-
組織特異性:Ubiquitous.
-
數據庫鏈接:
Most popular with customers
-
-
YWHAB Recombinant Monoclonal Antibody
Applications: ELISA, WB, IHC, IF, FC
Species Reactivity: Human, Mouse, Rat
-
Phospho-YAP1 (S127) Recombinant Monoclonal Antibody
Applications: ELISA, WB, IHC
Species Reactivity: Human
-
-
-
-
-















