SLC38A9 Antibody
-
中文名稱:SLC38A9兔多克隆抗體
-
貨號:CSB-PA836713LA01HU
-
規格:¥440
-
圖片:
-
Western Blot
Positive WB detected in: Jurkat whole cell lysate
All lanes: SLC38A9 antibody at 3.5μg/ml
Secondary
Goat polyclonal to rabbit IgG at 1/50000 dilution
Predicted band size: 64, 53, 57 kDa
Observed band size: 64 kDa -
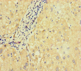
Immunohistochemistry of paraffin-embedded human liver tissue using CSB-PA836713LA01HU at dilution of 1:100
-
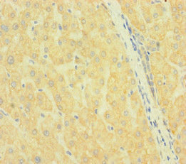
Immunohistochemistry of paraffin-embedded human liver cancer using CSB-PA836713LA01HU at dilution of 1:100
-
Immunofluorescent analysis of U251 cells using CSB-PA836713LA01HU at dilution of 1:100 and Alexa Fluor 488-congugated AffiniPure Goat Anti-Rabbit IgG(H+L)
-
-
其他:
產品詳情
-
產品名稱:Rabbit anti-Homo sapiens (Human) SLC38A9 Polyclonal antibody
-
Uniprot No.:
-
基因名:
-
別名:FLJ46104 antibody; FLJ90709 antibody; Homo sapiens solute carrier family 38; member 9 antibody; MGC120544 antibody; OTTHUMP00000161835 antibody; Putative sodium coupled neutral amino acid transporter 9 antibody; Putative sodium-coupled neutral amino acid transporter 9 antibody; Putative uncharacterized protein FLJ90709 antibody; S38A9_HUMAN antibody; SLC38A9 antibody
-
宿主:Rabbit
-
反應種屬:Human
-
免疫原:Recombinant Human Sodium-coupled neutral amino acid transporter 9 protein (1-119AA)
-
免疫原種屬:Homo sapiens (Human)
-
標記方式:Non-conjugated
本頁面中的產品,SLC38A9 Antibody (CSB-PA836713LA01HU),的標記方式是Non-conjugated。對于SLC38A9 Antibody,我們還提供其他標記。見下表:
-
克隆類型:Polyclonal
-
抗體亞型:IgG
-
純化方式:>95%, Protein G purified
-
濃度:It differs from different batches. Please contact us to confirm it.
-
保存緩沖液:Preservative: 0.03% Proclin 300
Constituents: 50% Glycerol, 0.01M PBS, PH 7.4 -
產品提供形式:Liquid
-
應用范圍:ELISA, WB, IHC, IF
-
推薦稀釋比:
Application Recommended Dilution WB 1:500-1:5000 IHC 1:20-1:200 IF 1:50-1:200 -
Protocols:
-
儲存條件:Upon receipt, store at -20°C or -80°C. Avoid repeated freeze.
-
貨期:Basically, we can dispatch the products out in 1-3 working days after receiving your orders. Delivery time maybe differs from different purchasing way or location, please kindly consult your local distributors for specific delivery time.
-
用途:For Research Use Only. Not for use in diagnostic or therapeutic procedures.
相關產品
靶點詳情
-
功能:Lysosomal amino acid transporter involved in the activation of mTORC1 in response to amino acid levels. Probably acts as an amino acid sensor of the Rag GTPases and Ragulator complexes, 2 complexes involved in amino acid sensing and activation of mTORC1, a signaling complex promoting cell growth in response to growth factors, energy levels, and amino acids. Following activation by amino acids, the Ragulator and Rag GTPases function as a scaffold recruiting mTORC1 to lysosomes where it is in turn activated. SLC38A9 mediates transport of amino acids with low capacity and specificity with a slight preference for polar amino acids. Acts as an arginine sensor. Following activation by arginine binding, mediates transport of leucine, tyrosine and phenylalanine with high efficiency, and is required for the efficient utilization of these amino acids after lysosomal protein degradation.
-
基因功能參考文獻:
- Ragulator and SLC38A9 act on the Rag GTPases to activate the mTORC1 pathway in response to nutrient sufficiency. PMID: 30181260
- Study validates that SLC38A9 is an arginine sensor for the mTORC1 pathway, and we uncover an unexpectedly central role for SLC38A9 in amino acid homeostasis. SLC38A9 mediates the transport, in an arginine-regulated fashion, of many essential amino acids out of lysosomes, including leucine, which mTORC1 senses through the cytosolic Sestrin proteins. PMID: 29053970
- Data suggest that amino acid transporter SLC38A9 controls mTORC1 activity through binding to the Rag-Ragulator complex at the lysosome upon amino acid availability. PMID: 25963655
- SLC38A9 is a physical and functional component of the amino acid sensing machinery that controls the activation of mTOR PMID: 25561175
- SLC38A9 functions upstream of the Rag GTPases and is an excellent candidate for being an arginine sensor for the mTORC1 pathway. PMID: 25567906
- SNPs within SLC38A9 are correlated with inflammatory bowel disease patients' 6-thioguanine nucleotide blood concentrations. PMID: 24762746
顯示更多
收起更多
-
亞細胞定位:Lysosome membrane; Multi-pass membrane protein. Late endosome membrane; Multi-pass membrane protein.
-
蛋白家族:Amino acid/polyamine transporter 2 family, SLC38A9 subfamily
-
數據庫鏈接:
Most popular with customers
-
-
YWHAB Recombinant Monoclonal Antibody
Applications: ELISA, WB, IHC, IF, FC
Species Reactivity: Human, Mouse, Rat
-
Phospho-YAP1 (S127) Recombinant Monoclonal Antibody
Applications: ELISA, WB, IHC
Species Reactivity: Human
-
-
-
-
-















