SIVA1 Antibody
-
中文名稱:SIVA1兔多克隆抗體
-
貨號:CSB-PA021347ESR1HU
-
規格:¥440
-
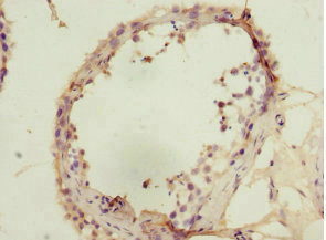
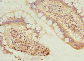
圖片:
-
其他:
產品詳情
-
產品名稱:Rabbit anti-Homo sapiens (Human) SIVA1 Polyclonal antibody
-
Uniprot No.:
-
基因名:SIVA1
-
別名:Apoptosis regulatory protein Siva antibody; CD27 binding (Siva) protein antibody; CD27-binding protein antibody; CD27BP antibody; Siva 1 antibody; Siva 2 antibody; SIVA_HUMAN antibody; Siva1 antibody
-
宿主:Rabbit
-
反應種屬:Human
-
免疫原:Recombinant Human Apoptosis regulatory protein Siva protein (1-110AA)
-
免疫原種屬:Homo sapiens (Human)
-
標記方式:Non-conjugated
-
克隆類型:Polyclonal
-
抗體亞型:IgG
-
純化方式:Antigen Affinity Purified
-
濃度:It differs from different batches. Please contact us to confirm it.
-
保存緩沖液:PBS with 0.02% sodium azide, 50% glycerol, pH7.3.
-
產品提供形式:Liquid
-
應用范圍:ELISA, IHC
-
推薦稀釋比:
Application Recommended Dilution IHC 1:20-1:200 -
Protocols:
-
儲存條件:Upon receipt, store at -20°C or -80°C. Avoid repeated freeze.
-
貨期:Basically, we can dispatch the products out in 1-3 working days after receiving your orders. Delivery time maybe differs from different purchasing way or location, please kindly consult your local distributors for specific delivery time.
-
用途:For Research Use Only. Not for use in diagnostic or therapeutic procedures.
相關產品
靶點詳情
-
功能:Induces CD27-mediated apoptosis. Inhibits BCL2L1 isoform Bcl-x(L) anti-apoptotic activity. Inhibits activation of NF-kappa-B and promotes T-cell receptor-mediated apoptosis.
-
基因功能參考文獻:
- Loss of SIVA1 expression is associated with nasopharyngeal carcinoma. PMID: 26406409
- These findings collectively reveal a novel role for the p53 target gene SIVA both in regulating metabolism and in enabling tumorigenesis, independently of p53. PMID: 25813352
- Functional test demonstrated that Siva1 significantly inhibited the invasion and migration of HCT116 cells. PMID: 25374190
- electrical stimulation -inducible SIVA1 modulates p53 activities in proliferating keratinocytes, and exogenous electrical stimulation affects p53/HDM2/SIVA1 axis leading to increased proliferation during re-epithelialization PMID: 25431847
- SIVA1 interacts with RAD18 and serves as a molecular bridge between RAD18 and PCNA, thus targeting the E3 ligase activity of RAD18 onto PCNA. PMID: 24958773
- Siva1 promotes the ubiquitination and degradation of ARF, which in turn affects the stability of p53. PMID: 23462994
- Upon stimulation of thromboxane A2, degradation of Siva1 is impeded, resulting in an accumulation of the protein, which translocates from the nucleus to the cytosol. PMID: 22343716
- negative regulator of IL-2 gene expression in Treg cells PMID: 21955384
- Data show that low levels of Siva1 and Ser16-phosphorylated stathmin correlate with high metastatic states of breast cancer cells. PMID: 21768358
- These findings suggest that the caspase-dependent pathway for induction of apoptosis is involved in Siva-1-mediated influenza A virus replication. PMID: 21048035
- These results suggest that Siva-mediated unprovoked apoptosis is not likely to be involved in the pathogenesis of Familial Mediterranean fever. PMID: 20934406
- Siva-1 forms a functional complex with Tyk2 and participates in the transduction of signals that inhibit B lymphocyte growth. PMID: 20727854
- Siva-1 putative amphipathic helical region (SAH) binds BCL-XL and sensitizes cells to UV radiation induced apoptosis PMID: 14739602
- Overexpression of Siva-1 in T lymphocytes triggers the activation of a caspase-dependent death pathway including a pivotal mitochondrial step. Both N- and C-terminal domains of Siva proteins display the ability to induce a cell death process in T cells. PMID: 15034012
- Siva-1 has a role, through its inhibitory effect on NF-kappaB activity, in TCR-mediated AICD with implications in peripheral tolerance, T-cell homeostasis and cancer PMID: 16491128
- determined the N-terminal part of Siva as the binding region for CD27; the peroxisomal membrane protein PMP22 is a new interaction partner of Siva and may be involved in the host response against CVB3. PMID: 16683188
- Confirming the anti-apoptotic role of HPV-16 E7 in the HaCaT cellular model, evaluated by nuclear morphology, it was also found that Siva-1 expression produced a significant increase of the apoptotic rate in UV radiation-exposed HaCaT cells. PMID: 17348035
- Results suggest that Siva-1 might participate in the CD4-initiated signaling apoptotic pathway induced by the HIV-1 envelope in T-lymphoid cells. PMID: 17653867
- lysophosphatidic acid 2 receptor mediates down-regulation of Siva-1 to promote cell survival PMID: 17965021
- Data show that Siva and pyrin are co-expressed, and that pyrin modulates the apoptotic response to oxidative stress mediated by Siva. PMID: 18330885
- Telethonin might be involved in CVB3-mediated cell damage and in the resulting cardiac dysfunction due to the interaction with Siva. PMID: 18849585
- Siva-1 has a role in negatively regulating NF-kappaB activation by targeting TRAF2. PMID: 19392652
- Siva1 is an important mediator for the Hdm2-p53 interaction and is an integral component of the negative feedback mechanism for p53 inhibition. PMID: 19590512
顯示更多
收起更多
-
亞細胞定位:Cytoplasm. Nucleus. Note=In the nucleus, accumulates in dot-like structures.
-
組織特異性:Ubiquitous. Mostly expressed in thymus, testis, ovary, prostate, small intestine and spleen and less in colon.
-
數據庫鏈接:
Most popular with customers
-
-
YWHAB Recombinant Monoclonal Antibody
Applications: ELISA, WB, IHC, IF, FC
Species Reactivity: Human, Mouse, Rat
-
Phospho-YAP1 (S127) Recombinant Monoclonal Antibody
Applications: ELISA, WB, IHC
Species Reactivity: Human
-
-
-
-
-















