SIGLEC9 Antibody
-
中文名稱:SIGLEC9兔多克隆抗體
-
貨號:CSB-PA923782
-
規格:¥1100
-
圖片:
-
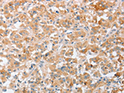
The image on the left is immunohistochemistry of paraffin-embedded Human thyroid cancer tissue using CSB-PA923782(SIGLEC9 Antibody) at dilution 1/40, on the right is treated with fusion protein. (Original magnification: ×200)
-
The image on the left is immunohistochemistry of paraffin-embedded Human brain tissue using CSB-PA923782(SIGLEC9 Antibody) at dilution 1/40, on the right is treated with fusion protein. (Original magnification: ×200)
-
-
其他:
產品詳情
-
Uniprot No.:
-
基因名:
-
別名:CD329 antibody; CDw329 antibody; FOAP 9 antibody; OB binding protein like antibody; OBBP LIKE antibody; Protein FOAP 9 antibody; Protein FOAP-9 antibody; sialic acid binding Ig like lectin 9 antibody; Sialic acid-binding Ig-like lectin 9 antibody; Sialic acid-binding immunoglobulin like lectin 9 antibody; SIGL9_HUMAN antibody; Siglec 9 antibody; Siglec-9 antibody; SIGLEC9 antibody
-
宿主:Rabbit
-
反應種屬:Human
-
免疫原:Fusion protein of Human SIGLEC9
-
免疫原種屬:Homo sapiens (Human)
-
標記方式:Non-conjugated
-
抗體亞型:IgG
-
純化方式:Antigen affinity purification
-
濃度:It differs from different batches. Please contact us to confirm it.
-
保存緩沖液:-20°C, pH7.4 PBS, 0.05% NaN3, 40% Glycerol
-
產品提供形式:Liquid
-
應用范圍:ELISA,IHC
-
推薦稀釋比:
Application Recommended Dilution ELISA 1:2000-1:5000 IHC 1:50-1:200 -
Protocols:
-
儲存條件:Upon receipt, store at -20°C or -80°C. Avoid repeated freeze.
-
貨期:Basically, we can dispatch the products out in 1-3 working days after receiving your orders. Delivery time maybe differs from different purchasing way or location, please kindly consult your local distributors for specific delivery time.
-
用途:For Research Use Only. Not for use in diagnostic or therapeutic procedures.
相關產品
靶點詳情
-
功能:Putative adhesion molecule that mediates sialic-acid dependent binding to cells. Preferentially binds to alpha-2,3- or alpha-2,6-linked sialic acid. The sialic acid recognition site may be masked by cis interactions with sialic acids on the same cell surface.
-
基因功能參考文獻:
- The SIGLEC9 rs2075803 G/rs2258983 A haplotype, which corresponds to a Siglec-9 variant that is less effective at suppressing inflammatory response, may be a risk factor for the development of emphysema. PMID: 27878892
- Glycophorin A, the most abundant sialoglycoprotein on erythrocytes, engaged neutrophil Siglec-9, a sialic acid-recognizing receptor known to dampen innate immune cell activation. These studies demonstrate a previously unsuspected role for erythrocytes in suppressing neutrophils ex vivo and in vitro and help explain why neutrophils become easily activated after separation from whole blood. PMID: 28416510
- Data suggest that sialic acid-binding Ig-like lectin-9 (Siglec-9)may serve as a potential diagnostic and therapeutic target for rheumatoid arthritis (RA). PMID: 28273363
- The mechanism of the Siglec-9 and AOC3 interaction is mediated both by protein-sugar interactions via the V domain and by the protein-protein interactions via the C22 Siglec9 domain. PMID: 27893774
- This work defines a critical role for aberrantly glycosylated MUC1 and identifies an activating pathway that follows engagement of Siglec-9. PMID: 27595232
- Constitutively expressed Siglec-9 inhibits LPS-induced CCR7, but enhances IL-4-induced CD200R expression in human macrophages. PMID: 26923638
- Ligands for Siglec-8 and Siglec-9 may regulate the function of eosinophils, mast cells, neutrophils, and other cells in sinus mucosa. PMID: 26694037
- Inflammation results in up-regulation of immuneinhibitory Siglec-8 and Siglec-9 sialoglycan ligands on human airways. PMID: 25747723
- a polymorphism that reduced Siglec-9 binding to carcinomas was associated with improved early survival in non-small-cell lung cancer patients PMID: 25225409
- Dasatinib enhances migration of monocyte-derived dendritic cells by reducing phosphorylation of inhibitory immune receptors Siglec-9 and Siglec-3. PMID: 24882272
- Protein degradation of focal adhesion kinase and related molecules was induced by Siglec-9 binding to its counterreceptors via sialylglycoconjugates, leading to the modulation of adhesion kinetics of cancer cells. PMID: 24145038
- Siglec-9 expressed on immune cells may play a role as a potential counterreceptor for MUC1 and that this signaling may be another MUC1-mediated pathway and function in parallel with a growth factor-dependent pathway. PMID: 24045940
- The Siglec-9 peptide binding to the enzymatic groove of VAP-1 can be used for imaging conditions, such as inflammation and cancer. PMID: 21821708
- Siglec-9 A391C was the only polymorphism related to TCR-mediated signaling in human Siglec-9, resulting in less inhibition compared to the wild type. PMID: 20733319
- These results suggest that Siglec-9 expressed on DCs is involved in immunoregulation through ligation with mucins in an epithelial cancer patient. PMID: 20971061
- MUC16-Siglec-9 binding likely mediates inhibition of anti-tumor immune responses. PMID: 20497550
- Septic shock patients exhibit different ex vivo death responses of blood neutrophils after Siglec-9 ligation early in shock. PMID: 19295491
- Binding studies on recombinant human Siglec-9 show recognition of both Neu5Ac and Neu5Gc; in striking contrast, chimpanzee and gorilla Siglec-9 strongly prefer binding Neu5Gc. PMID: 14693915
- Siglec-9 can inhibit Fc epsilon receptor I-mediated serotonin release from rat basophilic leukemia cells and recruit the tyrosine phosphatases SHP-1 and SHP-2. PMID: 15557178
- data suggest that apoptotic (ROS- and caspase-dependent) and nonapoptotic (ROS-dependent) death pathways are initiated in neutrophils via Siglec-9 PMID: 15827126
- Siglecs-9 did not interact with sulfate derivatives of LacNAc and sulfated oligosaccharides containing sialic acid. PMID: 16732727
- The Siglec-9 provides not only a useful marker for certain subsets of AML, but also a potential therapeutic target. PMID: 16828866
- These results demonstrate that Siglec-9 enhances the production of the anti-inflammatory cytokine IL-10 in macrophages. PMID: 18325328
- A review of the cytotoxic effects of natural anti-Siglec9 autoantibodies on both neutrophils and eosinophils. PMID: 18558361
- Increased bacterial survival are also facilitated by group b Streptococcus sialylated capsular polysaccharide interactions with Siglec-9. PMID: 19196661
- Data suggest that age-specific interactions between Siglec-9 and SHP-1 may influence the altered inflammatory responsiveness and longevity of neonatal polymorphonuclear neutrophils. PMID: 19542910
顯示更多
收起更多
-
亞細胞定位:Membrane; Single-pass type I membrane protein.
-
蛋白家族:Immunoglobulin superfamily, SIGLEC (sialic acid binding Ig-like lectin) family
-
組織特異性:Expressed by peripheral blood leukocytes (neutrophils and monocytes but not eosinophils). Found in liver, fetal liver, bone marrow, placenta, spleen and in lower levels in skeletal muscle, fetal brain, stomach, lung, thymus, prostate, brain, mammary, adre
-
數據庫鏈接:
Most popular with customers
-
-
YWHAB Recombinant Monoclonal Antibody
Applications: ELISA, WB, IHC, IF, FC
Species Reactivity: Human, Mouse, Rat
-
Phospho-YAP1 (S127) Recombinant Monoclonal Antibody
Applications: ELISA, WB, IHC
Species Reactivity: Human
-
-
-
-
-















