SFRP5 Antibody
-
中文名稱:SFRP5兔多克隆抗體
-
貨號:CSB-PA830021
-
規格:¥1100
-
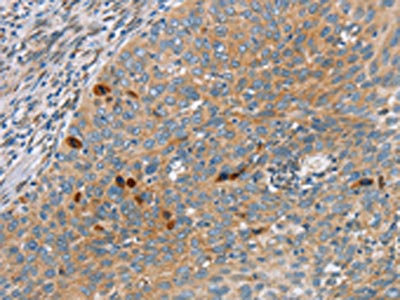
圖片:
-
The image on the left is immunohistochemistry of paraffin-embedded Human thyroid cancer tissue using CSB-PA830021(SFRP5 Antibody) at dilution 1/20, on the right is treated with synthetic peptide. (Original magnification: ×200)
-
The image on the left is immunohistochemistry of paraffin-embedded Human cervical cancer tissue using CSB-PA830021(SFRP5 Antibody) at dilution 1/20, on the right is treated with synthetic peptide. (Original magnification: ×200)
-
-
其他:
產品詳情
-
Uniprot No.:
-
基因名:
-
別名:SFRP5 antibody; FRP1B antibody; SARP3 antibody; Secreted frizzled-related protein 5 antibody; sFRP-5 antibody; Frizzled-related protein 1b antibody; FRP-1b antibody; Secreted apoptosis-related protein 3 antibody; SARP-3 antibody
-
宿主:Rabbit
-
反應種屬:Human,Mouse
-
免疫原:Synthetic peptide of Human SFRP5
-
免疫原種屬:Homo sapiens (Human)
-
標記方式:Non-conjugated
-
抗體亞型:IgG
-
純化方式:Antigen affinity purification
-
濃度:It differs from different batches. Please contact us to confirm it.
-
保存緩沖液:-20°C, pH7.4 PBS, 0.05% NaN3, 40% Glycerol
-
產品提供形式:Liquid
-
應用范圍:ELISA,IHC
-
推薦稀釋比:
Application Recommended Dilution ELISA 1:1000-1:2000 IHC 1:25-1:100 -
Protocols:
-
儲存條件:Upon receipt, store at -20°C or -80°C. Avoid repeated freeze.
-
貨期:Basically, we can dispatch the products out in 1-3 working days after receiving your orders. Delivery time maybe differs from different purchasing way or location, please kindly consult your local distributors for specific delivery time.
-
用途:For Research Use Only. Not for use in diagnostic or therapeutic procedures.
相關產品
靶點詳情
-
功能:Soluble frizzled-related proteins (sFRPS) function as modulators of Wnt signaling through direct interaction with Wnts. They have a role in regulating cell growth and differentiation in specific cell types. SFRP5 may be involved in determining the polarity of photoreceptor, and perhaps, other cells in the retina.
-
基因功能參考文獻:
- results revealed the epigenetic silencing of SFRP5 by promoter methylation plays pivotal roles in chondrosarcoma development and metastasis through SFRP5/Wnt/beta-catenin signaling axis; modulation of their levels may serve as potential targets and diagnostic tools for novel therapeutic strategies of chondrosarcoma PMID: 30125549
- Sfrp5 may be an adipokine that is associated with the pathogenesis of Metabolic Syndrome in humans. PMID: 28303637
- Higher serum SFRP5 was inversely associated with multiple risk factors for type 2 diabetes and cardiovascular disease. PMID: 28851362
- This review article focuses on the effects of SFRP5 on the major systems of the body and on its association with the Wnt signaling pathways--{review} PMID: 25003224
- SFRP5 confers protection against oxidative stress-induced apoptosis through inhibition of beta-catenin activation and downregulation of Bax. PMID: 28834606
- serum concentration correlated with blood pressure in obese children and increased in response to lifestyle intervention PMID: 27882931
- The inverse association of serum Sfrp5 with beta-cell function suggests a detrimental role of Sfrp5 for insulin secretion also in humans. The severity of NAFLD does not appear to affect this relationship. The weak association between serum Sfrp5 and insulin sensitivity was partially explained by body mass. PMID: 27019073
- Results identify several coding and non-coding variants in the sFRP5 gene region, the majority of which resulted in a non-synonymous amino acid change in the protein. One of the variants (c.-3G[A) shows a trend towards association between the variant frequency and the obese phenotype. PMID: 27497818
- Results indicate that miR-125b can regulate SFRP5 expression and thus influence the growth and activation of cardiac fibroblasts. PMID: 27592695
- Decreased first trimester serum Sfrp-5 levels are significantly associated with the increased risk of gestational diabetes mellitus. PMID: 26100762
- Report reduced hepatic SFRP5 expression in morbidly women with NAFLD. PMID: 26256895
- Data suggest that serum SFRP5 levels are up-regulated in subjects with newly diagnosed type 2 diabetes as compared to prediabetic or control subjects; subjects were matched for obesity/overweight/body mass index. PMID: 25139699
- Sfrp5 represents a candidate for a mature adipocyte marker gene. PMID: 25324487
- The wnt5a/sFRP5 system is altered in human sepsis and might therefore be of interest for future studies on molecular pathophysiology of this common human disease. PMID: 25382802
- Serum SFRP5 is regulated by weight status and seems to be correlated with metabolic disorders in children. PMID: 24330025
- We were able to show a significant association of sFRP5 with both total abdominal and subcutaneous fat. The association signal was only seen in obese males in which the minor allele of rs7072751 explains 1.8 % of variance in total abdominal fat. PMID: 24287795
- SFRP5 and WNT5A comprise a balanced duo that may regulate metabolic homeostasis in prepubertal children. PMID: 24603290
- Secreted frizzled-related protein 5 suppresses inflammatory response in rheumatoid arthritis fibroblast-like synoviocytes through down-regulation of c-Jun N-terminal kinase. PMID: 24764263
- Serum SFRP5 levels significantly correlated with body mass index, the homeostasis model of assessment of insulin resistance, adiponectin levels, and CAD severity. Low SFRP5 levels may contribute to CAD. PMID: 24530778
- Therefore, cytokine release and insulin signaling were analyzed to investigate the impact of Sfrp5 on inflammation and insulin signaling in primary human adipocytes and skeletal muscle cells (hSkMC). PMID: 24465779
- SFRP5 gene methylation in leukemia cells activates Wnt/ss-catenin signaling to upregulate mdr1/P-gp expression and cause multidrug resistance. PMID: 24434572
- Wnt5a overproduction and SFRP5 deficiency in gastric mucosa may together play an important role in gastric inflammation and carcinogenesis. PMID: 24416340
- Epigenetic silencing of SFRP5 by hepatitis B virus X protein enhances hepatoma cell tumorigenicity through Wnt signaling pathway PMID: 24374650
- Sfrp5 may play a role in the pathogenesis of T2 Diabetes mellitus. PMID: 23653377
- Plasma levels of SFRP5 were decreased in Chinese obese and T2DM subjects. SFRP5 was an independent factor affecting glucolipid metabolism, inflammation and insulin resistance. PMID: 23290274
- Patients with unmethylated SFRP5 are more likely to benefit from EGFR-TKI therapy. PMID: 23009178
- Circulating Sfrp5 is likely to play a major role in insulin resistance in humans. PMID: 23185036
- findings suggest that epithelium-derived SFRP5 may play a probable defensive role in impeding gastric cancer progression, characteristically by inhibiting GEC migration induced by macrophage-derived Wnt5a via JNK signaling activation PMID: 23054609
- Pro-inflammatory wnt5a and anti-inflammatory sFRP5 are differentially regulated by nutritional factors in obese human subjects PMID: 22384249
- Promoter hypermethylation of SFRP5 is associated with Acute myeloid leukemia. PMID: 20795789
- data suggested that epigenetic silencing of SFRP5 leads to oncogenic activation of the Wnt pathway and contributes to ovarian cancer progression and chemoresistance through the TWIST-mediated EMT and AKT2 signaling PMID: 19957335
- The SFRP5 protein gene plays an important role in the pathogenesis of bladder tumor and can be detected using cellular DNA extracted from urine samples. PMID: 16609023
- In its role as tumor suppressor gene. SFRP5 methylation may be a novel DNA-based biomarker potentially useful in clinical breast cancer management. PMID: 18356147
- Loss of SFRP5 is associated with oral squamous cell carcinoma PMID: 18497987
- SFRP5 promoter hypermethylation was significantly more frequent in microsatellite unstable colorectal neoplasms. PMID: 18795670
- In multiple myeloma cell lines, hypermethylation of SFRP5 was associated with transcriptional silencing. SFRP5 methylation was restricted to advanced MM stages & plasma-cell leukemia and may play a role in disease progression. PMID: 19299079
- SFRP5 is downregulated and inversely correlated with MMP-7 and MT1-MMP in gastric cancer PMID: 19586554
顯示更多
收起更多
-
亞細胞定位:Secreted.
-
蛋白家族:Secreted frizzled-related protein (sFRP) family
-
組織特異性:Highly expressed in the retinal pigment epithelium (RPE) and pancreas. Weak expression in heart, liver and muscle.
-
數據庫鏈接:
Most popular with customers
-
-
YWHAB Recombinant Monoclonal Antibody
Applications: ELISA, WB, IHC, IF, FC
Species Reactivity: Human, Mouse, Rat
-
Phospho-YAP1 (S127) Recombinant Monoclonal Antibody
Applications: ELISA, WB, IHC
Species Reactivity: Human
-
-
-
-
-















