-
中文名稱:SDC1兔多克隆抗體
-
貨號:CSB-PA020888HA01HU
-
規格:¥440
-
圖片:
-
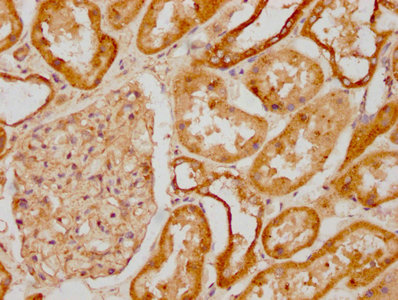
IHC image of CSB-PA020888HA01HU diluted at 1:1200 and staining in paraffin-embedded human kidney tissue performed on a Leica BondTM system. After dewaxing and hydration, antigen retrieval was mediated by high pressure in a citrate buffer (pH 6.0). Section was blocked with 10% normal goat serum 30min at RT. Then primary antibody (1% BSA) was incubated at 4°C overnight. The primary is detected by a biotinylated secondary antibody and visualized using an HRP conjugated SP system.
-
Immunofluorescence staining of HepG2 cells with CSB-PA020888HA01HU at 1:400, counter-stained with DAPI. The cells were fixed in 4% formaldehyde, permeabilized using 0.2% Triton X-100 and blocked in 10% normal Goat Serum. The cells were then incubated with the antibody overnight at 4°C. The secondary antibody was Alexa Fluor 488-congugated AffiniPure Goat Anti-Rabbit IgG(H+L).
-
IHC image of CSB-PA020888HA01HU diluted at 1:1200 and staining in paraffin-embedded human appendix tissue performed on a Leica BondTM system. After dewaxing and hydration, antigen retrieval was mediated by high pressure in a citrate buffer (pH 6.0). Section was blocked with 10% normal goat serum 30min at RT. Then primary antibody (1% BSA) was incubated at 4°C overnight. The primary is detected by a biotinylated secondary antibody and visualized using an HRP conjugated SP system.
-
-
其他:
產品詳情
-
產品名稱:Rabbit anti-Homo sapiens (Human) SDC1 Polyclonal antibody
-
Uniprot No.:
-
基因名:
-
別名:CD_antigen antibody; CD138 antibody; CD138 antigen antibody; heparan sulfate proteoglycan fibroblast growth factor receptor antibody; SDC antibody; Sdc1 antibody; SDC1_HUMAN antibody; SYND1 antibody; Syndecan 1 antibody; Syndecan antibody; syndecan proteoglycan 1 antibody; Syndecan-1 antibody
-
宿主:Rabbit
-
反應種屬:Human
-
免疫原:Recombinant Human Syndecan-1 protein (23-254AA)
-
免疫原種屬:Homo sapiens (Human)
-
標記方式:Non-conjugated
本頁面中的產品,SDC1 Antibody (CSB-PA020888HA01HU),的標記方式是Non-conjugated。對于SDC1 Antibody,我們還提供其他標記。見下表:
-
克隆類型:Polyclonal
-
抗體亞型:IgG
-
純化方式:>95%, Protein G purified
-
濃度:It differs from different batches. Please contact us to confirm it.
-
保存緩沖液:Preservative: 0.03% Proclin 300
Constituents: 50% Glycerol, 0.01M PBS, PH 7.4 -
產品提供形式:Liquid
-
應用范圍:ELISA, IHC, IF
-
推薦稀釋比:
Application Recommended Dilution IHC 1:1000-1:2000 IF 1:200-1:500 -
Protocols:
-
儲存條件:Upon receipt, store at -20°C or -80°C. Avoid repeated freeze.
-
貨期:Basically, we can dispatch the products out in 1-3 working days after receiving your orders. Delivery time maybe differs from different purchasing way or location, please kindly consult your local distributors for specific delivery time.
-
用途:For Research Use Only. Not for use in diagnostic or therapeutic procedures.
引用文獻
- Circ_RPPH1 regulates glioma cell malignancy by binding to miR-627-5p/miR-663a to induce SDC1 expression W Chen,Metabolic brain disease,2023
相關產品
靶點詳情
-
功能:Cell surface proteoglycan that bears both heparan sulfate and chondroitin sulfate and that links the cytoskeleton to the interstitial matrix. Regulates exosome biogenesis in concert with SDCBP and PDCD6IP.
-
基因功能參考文獻:
- The research revealed identical overall epithelial Sdc1 expression in both breast carcinomas with no statistically significant difference in its stromal expression and confirmed the role of Sdc1 in the progression of both tumor types and in the development of ductal carcinoma's metastatic potential. PMID: 30151336
- Study demonstrated that miR494 is able to downregulate SDC1 expression, thereby inhibiting the progression of pancreatic cancer. PMID: 29956739
- High serum SDC1 expression is associated with chemotherapy-resistance in castration-resistant prostate cancer. PMID: 29628317
- E-Cadherin and epithelial syndecan-1 were more highly expressed in intraluminal/luminal unicystic ameloblastoma than in mural unicystic ameloblastoma and solid/multicystic ameloblastoma, whereas the stromal expression of syndecan-1 was higher in mural unicystic ameloblastoma and solid/multicystic ameloblastoma. PMID: 29850393
- evamisole inhibited CD138 expression and affected the levels of IL-6 in a dose-dependent manner. The results of the present study add new dimension to levamisole's mode of action as inhibitor of CD138 and IL-6 and as an antiapoptotic agent. PMID: 29798960
- serum level higher in control group than in early-onset or late-onset pre-eclampsia PMID: 28574293
- syndecan-1 levels were associated with not only the severity of illness and mortality but also disseminated intravascular coagulation development in sepsis, suggesting that syndecan-1 could be a predictive marker of disseminated intravascular coagulation PMID: 28843664
- our findings revealed that SDC1 suppressed EMT via the modulation of the ERK signaling pathway that, in turn, negatively affected the invasiveness of human oral cancer cells. Our results provided useful evidence about the potential use of SDC1 as a molecular target for therapeutic interventions in human oral cancer. PMID: 29484435
- The positive correlation between soluble Syndecan-1 levels and breast cancer tumor size in the present study highlights the importance of this molecule in the breast tumor progression and their significance as tumor biomarkers. PMID: 28382590
- our results identify the CD63-syntenin-1-ALIX complex as a key regulatory component in post-endocytic HPV trafficking. PMID: 27578500
- abrogation of nuclear translocation of syndecan-1 resulted in a set of changes clustering in distinct patterns, which highlighted the functional importance of nuclear syndecan-1 in hampering cell proliferation and the cell cycle PMID: 29216821
- findings support a key role for Sdc1 in modulating pulmonary protection by FFP after hemorrhagic shock. PMID: 28107214
- S1P induces advanced tumor phenotypes of hepatocellular carcinoma via establishing an MMP-7/syndecan-1/TGF-beta1 autocrine loop PMID: 27556509
- There was a close correlation between the expression of IL-17 and syndecan-1 in nasal mucosa epithelial cells, glandular epithelial cells, and inflammatory cells, suggesting that IL-17 and syndecan-1 may play a role, and interact with each other, in the pathogenesis of non- eosinophilic chronic rhinosinusitis with nasal polyps. PMID: 28585128
- the present study showed that serum Syndecan-1 might be a reliable marker for monitoring disease activity and renal activity in children with JSLE and lupus nephritis. PMID: 27838471
- The above suggest that radiation-mediated premature senescence and invasive tumor cells, alone or in combination, enhance SDC1 expression in breast stromal fibroblasts, a poor prognostic factor for cancer growth, and that TGF-beta plays a crucial role in this process. PMID: 27434331
- A syndecan-1 level >/=40 ng/mL identified trauma patients with significantly worse outcomes, despite admission physiology similar to those without the condition. PMID: 28579548
- MiR-331-3p-mediated miRNA maturation and enhanced epithelial-to-mesenchymal transition via effects on TGF-beta/Smad 4 and Dicer are essential for the development of prostate cancer mediated by syndecan-1. PMID: 26259043
- The heparanase/syndecan1 axis in gallbladder carcinoma cells plays an important role in the invasion and metastasis, thus providing a new therapeutic target. PMID: 28351285
- Syndecan-1 acts as a novel tissue biomarker and a modulator of CSC phenotype of triple negative IBC via the IL-6/STAT3, Notch and EGFR signaling pathways, thus emerging as a promising therapeutic target for IBC. PMID: 28270211
- Hepatitis C virus infection downregulates Synd-1 and upregulates Xylt 2 expression, likely contributing to a major glycocalyx reshuffle within days of infection. PMID: 27930836
- Soluble Sdc1 is significantly lower before the clinical onset of preeclampsia, with reduced expression of Sdc1 in the delivered placenta, suggesting a role for glycocalyx disturbance in preeclampsia pathophysiology. PMID: 27299886
- Heparanase has emerged as a major regulator of cancer by degrading heparan sulfate thereby influencing multiple signaling pathways that control gene expression, syndecan shedding and cell behavior. (Review) PMID: 27758044
- Study provides robust evidence in favor of the additional baseline soluble CD138 prognostic value for OS, in mCRC patients. A simple biological scoring system is proposed including LDH and CD138 binary status values. PMID: 27472156
- it is not appropriate to assume that CD138 expression in urothelial carcinomas is specific for plasmacytoid variants PMID: 27305940
- epithelial cytoplasmic expression of maspin and CD138 may have a significant role in tumorigenesis in ovarian high-grade serous carcinomas and clear cell carcinomas; these markers may regulate tumor cell proliferation, and their significant correlation to each other may suggest that CD138 probably induces maspin expression to protect tumor growth factors from being lysed by proteolytic enzymes PMID: 26526579
- High syndecan level is associated with sepsis. PMID: 26953518
- Systemic sclerosis (SSc) patients with elevated serum syndecan-1 levels had higher prevalence of telangiectasia, elevated right ventricular systolic pressure and decreased diffuse capacity of the lung for carbon monoxide than those with normal levels. Therefore, soluble syndecan-1 may be related to the development of proliferative vasculopathy in SSc patients. PMID: 26076711
- in colorectal adenomas, the heparanase-1 does not participate in syndecan-1 degradation; the heparanase-2 does not stimulate syndecan-1 degradation by the action of heparanase-1, and the heparanase-2 may be involved in the modulation of the heparanase-1 activity. PMID: 26972718
- Targeting Syndecan-1, a molecule implicated in the process of vasculogenic mimicry, enhances the therapeutic efficacy of the L19-IL2 immunocytokine in human melanoma xenografts. PMID: 26460958
- The new markers were able to identify a clonal CD138-negative population as minimal residual disease in the bone marrow and peripheral blood of MM patients. PMID: 26729247
- miR-145 suppresses syndecan-1 and, by this mechanism, up-regulates stem cell factors and induces cell senescence and differentiation. PMID: 26514209
- The results suggest that Sdc1 may modulate fibronectin fibrillogenesis and/or alter cell morphology during ECM production through alphavbeta3 integrin, thereby mediating ECM fiber alignment. PMID: 26909794
- Syndecan-1 on epithelial tumor cells promotes MIF binding and MIF-mediated cell migration. This may represent a relevant mechanism through which MIF enhances tumor cell motility and metastasis. PMID: 26852939
- SULF1 levels are lower in pleural malignancies compared to benign conditions and inversely correlate with the amounts of syndecan-1, suggesting important roles for syndecan-1 and SULF1 in malignant mesothelioma. PMID: 26210886
- Our study indicates that SDC1 expressed by the bone marrow microenvironment is involved in angiogenesis in MM. PMID: 25353275
- miR-302a plays a key role in inhibition of ovarian cancer cell proliferation, and enhancing apoptosis by targeting SDC1. PMID: 26191180
- The concentration of syndecan-1, a marker of glycocalyx damage measured during ED admission, is valuable in assessing the risk of developing AKI and in-hospital mortality. PMID: 25891890
- Sdc-1 may act as a modulator of ESC apoptosis and probably invasion depth as a crucial factor for successful pregnancy. PMID: 25830352
- Elevated levels of soluble CD138/Sdc-1 in older bladder cancer patients and those with muscular invasion sheds some light on the mechanisms of the disease invasion. PMID: 25115297
- demonstrate that HER2 is captured via a site, comprised of amino acids 210-240, in the extracellular domain of human Sdc1, and EGFR is captured via an extracellular site comprised of amino acids 87-131 in human Sdc4 PMID: 26350464
- stromal changes in the expression of SDC-1 may originate from the stroma and contribute to the pathogenesis and metastatic potential of epithelial ovarian carcinoma PMID: 26513873
- syndecan-1 has a role in glycocalyx shedding and is increased in patients with end-stage liver disease; ischemia-reperfusion injury during OLT further exacerbates glycocalyx shedding PMID: 25757215
- Data indicate that the extracellular and cytoplasmic domains of syndecans 1/2/3/4 are intrinsically disordered regions. PMID: 24956062
- HPV16 particles binds to heparan sulfate and syndecan-1 molecules present in the extracellular matrix. PMID: 26289843
- syndecan-1 may have a role as a biological and prognostic marker in patients with triple-positive breast carcinomas PMID: 25273930
- our findings identify heparanase as a modulator of the syndecan-syntenin-ALIX pathway, fostering endosomal membrane budding and the biogenesis of exosomes by trimming the heparan sulfate chains on syndecans PMID: 25732677
- Serum SDC-1 levels are increased in systemic lupus erythematosus patients with nephritis, indicating that SDC-1 might be a useful serum biomarker for active LN. PMID: 25512478
- Syndecan-1 expression is associated with tumor size and EGFR expression in colorectal carcinoma PMID: 25589885
- syndecan-1 in pleural effusions predicted a survival difference for patients with pleural metastatic disease and malignant mesothelioma. PMID: 25147801
顯示更多
收起更多
-
亞細胞定位:Membrane; Single-pass type I membrane protein. Secreted. Secreted, extracellular exosome.
-
蛋白家族:Syndecan proteoglycan family
-
數據庫鏈接:
Most popular with customers
-
YWHAB Recombinant Monoclonal Antibody
Applications: ELISA, WB, IHC, IF, FC
Species Reactivity: Human, Mouse, Rat
-
Phospho-YAP1 (S127) Recombinant Monoclonal Antibody
Applications: ELISA, WB, IHC
Species Reactivity: Human
-
-
-
-
-
-















