SCG2 Antibody
-
中文名稱:SCG2兔多克隆抗體
-
貨號:CSB-PA020808LA01HU
-
規格:¥440
-
圖片:
-
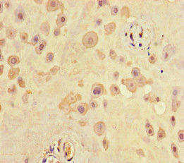
Immunohistochemistry of paraffin-embedded human placenta tissue using CSB-PA020808LA01HU at dilution of 1:100
-
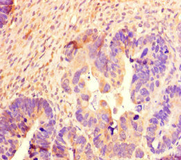
Immunohistochemistry of paraffin-embedded human ovarian cancer using CSB-PA020808LA01HU at dilution of 1:100
-
Immunofluorescent analysis of HepG2 cells using CSB-PA020808LA01HU at dilution of 1:100 and Alexa Fluor 488-congugated AffiniPure Goat Anti-Rabbit IgG(H+L)
-
-
其他:
產品詳情
-
產品名稱:Rabbit anti-Homo sapiens (Human) SCG2 Polyclonal antibody
-
Uniprot No.:
-
基因名:SCG2
-
別名:CHGC antibody; Chromogranin C antibody; Chromogranin-C antibody; EM66 antibody; SCG2 antibody; SCG2_HUMAN antibody; Secretogranin II antibody; Secretogranin-2 antibody; Secretoneurin antibody; SGII antibody; SN antibody
-
宿主:Rabbit
-
反應種屬:Human
-
免疫原:Recombinant Human Secretogranin-2 protein (31-617AA)
-
免疫原種屬:Homo sapiens (Human)
-
標記方式:Non-conjugated
本頁面中的產品,SCG2 Antibody (CSB-PA020808LA01HU),的標記方式是Non-conjugated。對于SCG2 Antibody,我們還提供其他標記。見下表:
-
克隆類型:Polyclonal
-
抗體亞型:IgG
-
純化方式:>95%, Protein G purified
-
濃度:It differs from different batches. Please contact us to confirm it.
-
保存緩沖液:Preservative: 0.03% Proclin 300
Constituents: 50% Glycerol, 0.01M PBS, PH 7.4 -
產品提供形式:Liquid
-
應用范圍:ELISA, IHC, IF
-
推薦稀釋比:
Application Recommended Dilution IHC 1:20-1:200 IF 1:50-1:200 -
Protocols:
-
儲存條件:Upon receipt, store at -20°C or -80°C. Avoid repeated freeze.
-
貨期:Basically, we can dispatch the products out in 1-3 working days after receiving your orders. Delivery time maybe differs from different purchasing way or location, please kindly consult your local distributors for specific delivery time.
-
用途:For Research Use Only. Not for use in diagnostic or therapeutic procedures.
相關產品
靶點詳情
-
功能:Neuroendocrine protein of the granin family that regulates the biogenesis of secretory granules.
-
基因功能參考文獻:
- Differential Reovirus-Specific and Herpesvirus-Specific Activator Protein 1 Activation of Secretogranin II Leads to Altered Virus Secretion. PMID: 26378181
- present data show that SgII is highly expressed in advanced prostate cancer and may contribute to the neuroendocrine differentiation by promoting the formation of secretory granules and the proliferation of PCa cells. PMID: 25307750
- SN induces MUC5AC hypersecretion in a dose- and time-dependent manner; moreover, the MUC5AC over synthesis induced by SN is strongly associated with the enhanced binding of EGF to NRP1 PMID: 24556756
- Topical secretoneurin gene therapy accelerates diabetic wound healing by interaction between heparan-sulfate proteoglycans and basic FGF. PMID: 23918206
- Manserin may serve as a marker of prostate cancer progression. PMID: 21803620
- CgA, CgB, and secretoneurin are detectable in feces, and collagenous colitis patients express higher values than patients with inflammatory bowel disease and controls. In treatment, fecal secretoneurin decreased to control levels in collagenous colitis. PMID: 23423580
- In vivo secretoneurin improves left ventricular function, inhibits remodeling, and reduces scar formation; in the infarct border zone, secretoneurin induces coronary angiogenesis. PMID: 23081990
- Circulating Levels of SgII are Increased in Patients with chronic, stable heart failure. PMID: 22655045
- Data describe the gene expression and protein production of SgII in normal adrenal glands and pheochromocytomas with the goal to examine the molecular mechanisms leading to the marked variations in the expression of EM66 in tumoral chromaffin tissue. PMID: 22217803
- This short review deals with investigations in neuroendocrine tumors (NETs) with antibodies against defined epitopes of chromogranins (Cgs) A and B and secretogranins (Sgs) II and III. PMID: 21046454
- More SgII immunoreactive cells were observed in phaeochromocytomas. PMID: 20550951
- Transendothelial migration of leukocytes and signalling mechanisms in response to the neuropeptide secretoneurin. PMID: 11853870
- secretogranin II-derived peptide EM66 generated in human tumoral chromaffin tissue; significant difference in EM66 concentrations between benign and malignant pheochromocytomas PMID: 12788858
- the high concentration of secretoneurin in the aqueous humor indicates a significant role of this peptide PMID: 15572199
- a variant of Secretogranin II has a role in regulation by PHOX2 transcription factors and in hypertension PMID: 17584765
- Results suggest that secretogranin II represents a key AP-1-regulated protein that counteracts nitric oxide toxicity and mediates neuronal differentiation of neuroblastoma cells. PMID: 18239671
- Increased concentrations of SgII, especially the N-terminal part of secretoneurin could be measured in plasma from patients with endocrine pancreatic tumours. PMID: 18448176
- Suppression of Pdcd4 resulted in an increased release of CgA and Sg II and was accompanied by an up-regulation of intracellular PC1. PMID: 18549351
- semiquantitative immunocytochemistry for secretogranin II in amyotrophic lateral sclerosis. PMID: 18721831
顯示更多
收起更多
-
亞細胞定位:Secreted. Note=Neuroendocrine and endocrine secretory granules.
-
蛋白家族:Chromogranin/secretogranin protein family
-
數據庫鏈接:
Most popular with customers
-
-
Phospho-YAP1 (S127) Recombinant Monoclonal Antibody
Applications: ELISA, WB, IHC
Species Reactivity: Human
-
-
-
-
-
-















