RETNLB Antibody
-
中文名稱:RETNLB兔多克隆抗體
-
貨號:CSB-PA093393
-
規格:¥1100
-
圖片:
-
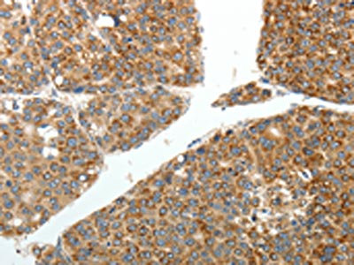
The image on the left is immunohistochemistry of paraffin-embedded Human liver cancer tissue using CSB-PA093393(RETNLB Antibody) at dilution 1/20, on the right is treated with fusion protein. (Original magnification: ×200)
-
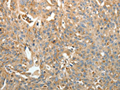
The image on the left is immunohistochemistry of paraffin-embedded Human ovarian cancer tissue using CSB-PA093393(RETNLB Antibody) at dilution 1/20, on the right is treated with fusion protein. (Original magnification: ×200)
-
-
其他:
產品詳情
-
Uniprot No.:
-
基因名:RETNLB
-
別名:C/EBP epsilon regulated myeloid specific secreted cysteine rich protein precursor 2 antibody; CCGR antibody; Colon and small intestine specific cysteine rich protein antibody; Colon and small intestine-specific cysteine-rich protein antibody; Colon carcinoma related gene protein antibody; Colon carcinoma-related gene protein antibody; Cysteine rich secreted A12 alpha like protein 1 antibody; Cysteine rich secreted protein A12 alpha like 1 antibody; Cysteine rich secreted protein FIZZ2 antibody; Cysteine-rich secreted protein A12-alpha-like 1 antibody; Cysteine-rich secreted protein FIZZ2 antibody; FIZZ1 antibody; FIZZ2 antibody; Found in inflammatory zone 1 antibody; HXCP2 antibody; RELM beta antibody; RELMb antibody; RELMbeta antibody; Resistin like beta antibody; Resistin like protein beta antibody; Resistin-like beta antibody; RETNB_HUMAN antibody; RETNL2 antibody; Retnlb antibody; XCP2 antibody
-
宿主:Rabbit
-
反應種屬:Human
-
免疫原:Fusion protein of Human RETNLB
-
免疫原種屬:Homo sapiens (Human)
-
標記方式:Non-conjugated
-
抗體亞型:IgG
-
純化方式:Antigen affinity purification
-
濃度:It differs from different batches. Please contact us to confirm it.
-
保存緩沖液:-20°C, pH7.4 PBS, 0.05% NaN3, 40% Glycerol
-
產品提供形式:Liquid
-
應用范圍:ELISA,IHC
-
推薦稀釋比:
Application Recommended Dilution ELISA 1:2000-1:5000 IHC 1:25-1:100 -
Protocols:
-
儲存條件:Upon receipt, store at -20°C or -80°C. Avoid repeated freeze.
-
貨期:Basically, we can dispatch the products out in 1-3 working days after receiving your orders. Delivery time maybe differs from different purchasing way or location, please kindly consult your local distributors for specific delivery time.
-
用途:For Research Use Only. Not for use in diagnostic or therapeutic procedures.
相關產品
靶點詳情
-
功能:Probable hormone.
-
基因功能參考文獻:
- The human mesangial cells with up-regulated and down-regulated expression of RELM-beta increased or decreased significantly at 2-3 days. PMID: 28801998
- RELMbeta-overexpression can facilitate invasion and migration of gastric carcinoma cells. PMID: 27001185
- RELMbeta levels were increased in Abdominal aortic aneurysm patients in the serum and in the aortic tissue. Increased RELMbeta levels may be involved in the pathogenesis of AAA formation and progress. PMID: 25479529
- The data demonstrated that RELM-a is a promising novel biomarker of angiogenesis in patients with gastric cancer. PMID: 25937206
- elevated RELM-beta expression in asthmatic airways contributes to airways remodelling at least partly by increasing fibroblast proliferation and differentiation with resulting deposition of extracellular matrix proteins. PMID: 25545115
- It is concluded that proper exercise training prevents up-regulation of FIZZ1/RELMalpha induced by cigarette smoking, which may be involved in the mechanism of proper exercise training modulating airway hyperresponsiveness. PMID: 23392702
- RELMbeta is abundantly expressed in foam cells within plaques and contributes to atherosclerosis development via lipid accumulation and inflammatory facilitation. PMID: 23702657
- Epithelial cell derived Fizz1 transgene is sufficient to increase bone-marrow derived dendritic cells in the lungs. PMID: 22726462
- RELM-beta may play an important role not only in animal models of airway remodelling, but also in human airway pathology. PMID: 22758223
- RELM-beta has the potential to contribute to airway remodelling in diseases such as asthma by acting on epithelial cells to increase proliferation, mucin and growth factor production, at least partly via ERK/MAPK-PI3K/Akt signalling pathways. PMID: 21828035
- Data show that over-expression of RELMbeta abolishes the invasion, metastasis and angiogenesis of gastric cancer cells in vitro. PMID: 22371635
- High RELMbeta is associated with colorectal cancer. PMID: 21094111
- FIZZ2 is highly induced in lungs of human patients with idiopathic pulmonary fibrosis. PMID: 21602491
- Gastric cncer patients showing positive RELMbeta expression had a significantly longer overall survival than those with negative expression (P = 0.001). PMID: 19967544
- High levels of RELMbeta can be detected in the stool of mice and humans, where it exists as a homodimer under nonreducing conditions. PMID: 14598255
- Of the 80 colon cancer patients studied, 65 (81.25%) tested positive for RELM beta, mainly in the cytoplasm of colon mucosa. PMID: 18594973
- Results suggest that RELM-beta may be involved in the development of scleroderma-associated pulmonary hypertension. PMID: 19251945
- Supernatant from COS cells transfected with the CCRG (RETNLB) expression vector stimulated proliferation of colon cancer cells, which supports the growth factor nature of the RETNLB gene. PMID: 12224133
顯示更多
收起更多
-
亞細胞定位:Secreted.
-
蛋白家族:Resistin/FIZZ family
-
組織特異性:Expressed only in the gastrointestinal tract, particularly the colon.
-
數據庫鏈接:
Most popular with customers
-
-
Phospho-YAP1 (S127) Recombinant Monoclonal Antibody
Applications: ELISA, WB, IHC
Species Reactivity: Human
-
-
-
-
-
-















