RASGRF1 Antibody
-
中文名稱:RASGRF1兔多克隆抗體
-
貨號:CSB-PA618811ESR1HU
-
規格:¥440
-
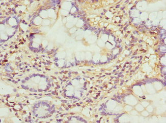
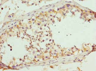
圖片:
-
其他:
產品詳情
-
產品名稱:Rabbit anti-Homo sapiens (Human) RASGRF1 Polyclonal antibody
-
Uniprot No.:
-
基因名:
-
別名:CDC25 antibody; CDC25L antibody; GNRP antibody; GRF1 antibody; GRF55 antibody; Guanine nucleotide exchange factor antibody; Guanine nucleotide releasing factor 55 kD antibody; Guanine nucleotide releasing protein antibody; guanine nucleotide-releasing factor 1 antibody; Guanine nucleotide-releasing protein antibody; H GRF55 antibody; HGRF55 antibody; PP13187 antibody; Ras protein specific guanine nucleotide releasing factor 1 antibody; Ras specific guanine nucleotide releasing factor antibody; Ras specific guanine nucleotide releasing factor CDC25 homolog antibody; Ras specific nucleotide exchange factor CDC25 antibody; Ras-GRF1 antibody; Ras-specific guanine nucleotide-releasing factor 1 antibody; Ras-specific nucleotide exchange factor CDC25 antibody; RASGRF1 antibody; RGRF1_HUMAN antibody
-
宿主:Rabbit
-
反應種屬:Human
-
免疫原:Recombinant Human Ras-specific guanine nucleotide-releasing factor 1 protein (1-190AA)
-
免疫原種屬:Homo sapiens (Human)
-
標記方式:Non-conjugated
-
克隆類型:Polyclonal
-
抗體亞型:IgG
-
純化方式:Antigen Affinity Purified
-
濃度:It differs from different batches. Please contact us to confirm it.
-
保存緩沖液:PBS with 0.02% sodium azide, 50% glycerol, pH7.3.
-
產品提供形式:Liquid
-
應用范圍:ELISA, IHC
-
推薦稀釋比:
Application Recommended Dilution IHC 1:20-1:200 -
Protocols:
-
儲存條件:Upon receipt, store at -20°C or -80°C. Avoid repeated freeze.
-
貨期:Basically, we can dispatch the products out in 1-3 working days after receiving your orders. Delivery time maybe differs from different purchasing way or location, please kindly consult your local distributors for specific delivery time.
-
用途:For Research Use Only. Not for use in diagnostic or therapeutic procedures.
相關產品
靶點詳情
-
功能:Promotes the exchange of Ras-bound GDP by GTP.
-
基因功能參考文獻:
- Low RASGRF1 expression due to hypermethylation is associated with Colorectal Cancer. PMID: 29530990
- Our studies have shown that the heritability of myopia makes 66.4% in Lithuania. We detected significant associations between the combinations of GJD2 CC and RASGRF1 GT and odds ratio of developing myopia. PMID: 29793445
- genetic variants in BICC1 and RASGRF1 are closely associated with high myopia, which appears to be a potential candidate for high myopia in Chinese Han population. PMID: 29044055
- Endoplasmic reticulum stress triggers a localized signaling module on the ER surface involving Nox4-dependent calcium mobilization, which directs local Ras activation through ER-associated, calcium-responsive RasGRF. PMID: 27856453
- Data show that microRNA miR-137 directly recognized the 3'-UTR (3'-untranslated region) of the RASGRF1 (Ras protein-specific guanine nucleotide-releasing factor 1) transcript and regulated RASGRF1 expression. PMID: 26440052
- Impaired RASGRF1/ERK-mediated GM-CSF response characterizes CARD9 deficiency in French-Canadians. PMID: 26521038
- Carriers of the rs8027411 G allele in the RASGRF1 gene may be at a lower risk of high myopia in Chinese and Japanese populations. (Meta-analysis) PMID: 26644762
- Rasgrf-1 is a novel GEF protein that has a role in BCR signaling and its overexpression further activates the Ras/Erk/MAPK pathway in CLL specimens. PMID: 24597981
- In this study, there was no association of the analyzed SNPs located in RASGRF1. GJD2, and ACTC1 with pathological myopia. PMID: 23834555
- CARD9 regulates H-Ras activation by linking Ras-GRF1 to H-Ras, which mediates Dectin-1-induced extracellular signal-regulated protein kinase (ERK) activation and proinflammatory responses when stimulated by their ligands. PMID: 25267792
- ZIC2 and RASGRF1 are susceptibility genes, not only for common myopia, but also for high myopia. PMID: 24150758
- Decreased expression of Ras-GRF1 could be involved in the pathogenesis of human temporal lobe epilepsy. PMID: 23200899
- Aberrant methylation of RASGRF1 is associated with an epigenetic field defect and increased risk of gastric cancer. PMID: 22961779
- RasGRF1 plays an important role in alveolar rhabdomyosarcoma pathogenesis PMID: 22752028
- Demonstrate a role for RasGRF1/2 as negative regulators of Cdc42 activation, suppressing tumor cell movement, cytoskeletal dynamics and cell transformation. PMID: 21685891
- Single Nucleotide Polymorphisms in RASGRF1 is associated with refractive errors and myopia. PMID: 20835236
- Farnesylated or geranylgeranylated TC21 can be activated by RasGRF1 due to its pleckstrin homology 1 domain, by a mechanism independent of localization & of its ability to associate to membranes. PMID: 19692568
- RasGRF family exchange factors, both endogenous and ectopically expressed, are present in the endoplasmic reticulum but not in the Golgi complex PMID: 14749369
- Taken together our results demonstrate that U2AF35a is essential for HeLa cell division and suggest a novel role for both U2AF35 protein isoforms as regulators of alternative splicing of a specific subset of genes. PMID: 16855028
- Vitamin K3 inhibitor H32 differentially inhibited growth of normal and liver tumor cells by preferentially inhibiting the actions of Cdc25 phosphatases PMID: 16969075
- Rasgrf1 transgenic repeats serve at least two functions: first, to establish Rasgrf1 DNA methylation in the male germ line, and second, to resist global demethylation in the preimplantation embryo. PMID: 17030618
- zoledronate induces DNA damage and S phase arrest, accompanied by activation of the ATM/Chk1/cdc25 pathway in a human osteosarcoma cell line PMID: 17611684
- Enhanced expression and post-translational modification of RasGRF1 contributes to MMP-3 production in RA PMID: 19678938
顯示更多
收起更多
-
數據庫鏈接:
Most popular with customers
-
-
YWHAB Recombinant Monoclonal Antibody
Applications: ELISA, WB, IHC, IF, FC
Species Reactivity: Human, Mouse, Rat
-
Phospho-YAP1 (S127) Recombinant Monoclonal Antibody
Applications: ELISA, WB, IHC
Species Reactivity: Human
-
-
-
-
-















