Phospho-PRKCD (Ser645) Antibody
-
中文名稱:磷酸化-PRKCD (Ser645)兔多克隆抗體
-
貨號:CSB-PA019964
-
規格:¥2454
-
圖片:
-
Western blot analysis of extracts from PC12 cells untreated or treated with PMA using PKCd(Phospho-Ser645) Antibody.
-
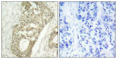
Immunohistochemical analysis of paraffin-embedded human breast carcinoma tissue using PKCd(Phospho-Ser645) Antibody(left) or the same antibody preincubated with blocking peptide(right).
-
-
其他:
產品詳情
-
產品名稱:Rabbit anti-Homo sapiens (Human) PRKCD Polyclonal antibody
-
Uniprot No.:
-
基因名:
-
宿主:Rabbit
-
反應種屬:Human,Mouse,Rat
-
免疫原:Peptide sequence around phosphorylation site of serine 645 (R-L-S(p)-Y-S) derived from Human PKCd.
-
免疫原種屬:Homo sapiens (Human)
-
克隆類型:Polyclonal
-
純化方式:Antibodies were produced by immunizing rabbits with synthetic phosphopeptide and KLH conjugates. Antibodies were purified by affinity-chromatography using epitope-specific phosphopeptide. Non-phospho specific antibodies were removed by chromatogramphy usi
-
濃度:It differs from different batches. Please contact us to confirm it.
-
產品提供形式:Liquid
-
應用范圍:ELISA,WB,IHC
-
推薦稀釋比:
Application Recommended Dilution WB 1:500-1:1000 IHC 1:50-1:100 -
Protocols:
-
儲存條件:Upon receipt, store at -20°C or -80°C. Avoid repeated freeze.
-
貨期:Basically, we can dispatch the products out in 1-3 working days after receiving your orders. Delivery time maybe differs from different purchasing way or location, please kindly consult your local distributors for specific delivery time.
-
用途:For Research Use Only. Not for use in diagnostic or therapeutic procedures.
相關產品
靶點詳情
-
功能:Calcium-independent, phospholipid- and diacylglycerol (DAG)-dependent serine/threonine-protein kinase that plays contrasting roles in cell death and cell survival by functioning as a pro-apoptotic protein during DNA damage-induced apoptosis, but acting as an anti-apoptotic protein during cytokine receptor-initiated cell death, is involved in tumor suppression as well as survival of several cancers, is required for oxygen radical production by NADPH oxidase and acts as positive or negative regulator in platelet functional responses. Negatively regulates B cell proliferation and also has an important function in self-antigen induced B cell tolerance induction. Upon DNA damage, activates the promoter of the death-promoting transcription factor BCLAF1/Btf to trigger BCLAF1-mediated p53/TP53 gene transcription and apoptosis. In response to oxidative stress, interact with and activate CHUK/IKKA in the nucleus, causing the phosphorylation of p53/TP53. In the case of ER stress or DNA damage-induced apoptosis, can form a complex with the tyrosine-protein kinase ABL1 which trigger apoptosis independently of p53/TP53. In cytosol can trigger apoptosis by activating MAPK11 or MAPK14, inhibiting AKT1 and decreasing the level of X-linked inhibitor of apoptosis protein (XIAP), whereas in nucleus induces apoptosis via the activation of MAPK8 or MAPK9. Upon ionizing radiation treatment, is required for the activation of the apoptosis regulators BAX and BAK, which trigger the mitochondrial cell death pathway. Can phosphorylate MCL1 and target it for degradation which is sufficient to trigger for BAX activation and apoptosis. Is required for the control of cell cycle progression both at G1/S and G2/M phases. Mediates phorbol 12-myristate 13-acetate (PMA)-induced inhibition of cell cycle progression at G1/S phase by up-regulating the CDK inhibitor CDKN1A/p21 and inhibiting the cyclin CCNA2 promoter activity. In response to UV irradiation can phosphorylate CDK1, which is important for the G2/M DNA damage checkpoint activation. Can protect glioma cells from the apoptosis induced by TNFSF10/TRAIL, probably by inducing increased phosphorylation and subsequent activation of AKT1. Is highly expressed in a number of cancer cells and promotes cell survival and resistance against chemotherapeutic drugs by inducing cyclin D1 (CCND1) and hyperphosphorylation of RB1, and via several pro-survival pathways, including NF-kappa-B, AKT1 and MAPK1/3 (ERK1/2). Involved in antifungal immunity by mediating phosphorylation and activation of CARD9 downstream of C-type lectin receptors activation, promoting interaction between CARD9 and BCL10, followed by activation of NF-kappa-B and MAP kinase p38 pathways. Can also act as tumor suppressor upon mitogenic stimulation with PMA or TPA. In N-formyl-methionyl-leucyl-phenylalanine (fMLP)-treated cells, is required for NCF1 (p47-phox) phosphorylation and activation of NADPH oxidase activity, and regulates TNF-elicited superoxide anion production in neutrophils, by direct phosphorylation and activation of NCF1 or indirectly through MAPK1/3 (ERK1/2) signaling pathways. May also play a role in the regulation of NADPH oxidase activity in eosinophil after stimulation with IL5, leukotriene B4 or PMA. In collagen-induced platelet aggregation, acts a negative regulator of filopodia formation and actin polymerization by interacting with and negatively regulating VASP phosphorylation. Downstream of PAR1, PAR4 and CD36/GP4 receptors, regulates differentially platelet dense granule secretion; acts as a positive regulator in PAR-mediated granule secretion, whereas it negatively regulates CD36/GP4-mediated granule release. Phosphorylates MUC1 in the C-terminal and regulates the interaction between MUC1 and beta-catenin. The catalytic subunit phosphorylates 14-3-3 proteins (YWHAB, YWHAZ and YWHAH) in a sphingosine-dependent fashion. Phosphorylates ELAVL1 in response to angiotensin-2 treatment. Phosphorylates mitochondrial phospolipid scramblase 3 (PLSCR3), resulting in increased cardiolipin expression on the mitochondrial outer membrane which facilitates apoptosis. Phosphorylates SMPD1 which induces SMPD1 secretion.
-
基因功能參考文獻:
- PKC-delta isoform plays a crucial role in Tat-TLR4 signaling pathway to activate NF-kappaB and CXCL8 production. PMID: 28539656
- Tumor suppressor activity of Protein kinase C-delta.[review] PMID: 28571764
- Data suggest a targeted therapy and early medical intervention for protein kinase C delta (PKCdelta) could be a useful option for breast cancer cases complicated with type 2 diabetes mellitus (T2DM) or hyperglycemia. PMID: 29036789
- NSC606985 produced a dose-dependent subcellular activation of PKCdelta. The dose-dependent dual action of NSC is mediated at least in part through the differential subcellular activation of castration-resistant prostate cancer (CRPC) LAPC4 cells. PMID: 29048618
- PKC-delta expression is associated with KIT expression and the prognosis of patients with adenoid cystic carcinomas (AdCCs), suggesting that PKC-delta may be a potential therapeutic target for AdCCs. PMID: 28561935
- Taken together, our findings suggest that TM-PKCdelta interaction may contribute to cardiovascular disorders by affecting monocye differentiation, which may develop future therapeutic applications. PMID: 27910925
- PKC-delta played as a protective role in squamous cell carcinomas partly by down-regulating p63, leading to the suppression of squamous cell carcinomas cell proliferation PMID: 28756980
- Activated PKCdelta interacts with the polymerase subunit PB2 and phospho-regulates NP oligomerization and RNP assembly during Influenza A virus infection. PMID: 28758638
- NRF2 Ser40 phosphorylation was inhibited in Crif1-deficient bone marrow multipotent mesenchymal stromal cells even in the presence of three kinds of PKC agonists, suggesting that CRIF1 might co-activate PKC-delta to phosphorylate NRF2 Ser40. PMID: 28819452
- PKCdelta has an overall negative influence on platelet function in response to collagen, while, following PAR stimulation, PKCdelta has a positive effect on platelet function. PKCdelta has different roles in platelet activation, aggregation and thrombus formation. Review. PMID: 27765273
- Findings unveil a negative role for PKC-delta in cell-cell adhesion through phosphorylation of E-cadherin. PMID: 27203386
- ADP inhibits mesothelioma cell proliferation via PKC-delta/JNK/p21/p27 signaling. PMID: 28777435
- PKCdelta, via MAPK pathway, is involved in the glycodelin-driven cell differentiation. PMID: 27373413
- PKCdelta is a critical regulator of signaling mechanisms of neutrophil-endothelium interaction in acute inflammation. Inhibition of PKCdelta in human endothelial cells and neutrophils reduced chemoattractant-induced neutrophil migration across TNF-alpha-activated endothelium, and reduced expression of E-selectin and ICAM-1. Shear rate and vascular geometry regulate the impact of PKCdelta inhibition of neutrophil-endot... PMID: 27190303
- Lysophosphatidylcholines prime polymorphonuclear neutrophil through Hck-dependent activation of PKCdelta, which stimulates PKCgamma, resulting in translocation of phosphorylated p47(phox). PMID: 27531930
- Amphiregulin enhances VEGF-A production in human chondrosarcoma cells and promotes angiogenesis by inhibiting miR-206 via FAK/c-Src/PKCdelta pathway. PMID: 27826039
- In the present investigation, we demonstrated that miR486 is negatively associated with the expression of PKC-delta and could regulate the development of osteosarcoma. miR-486 may be a potential target for the treatment of osteosarcoma PMID: 28339053
- PKCdelta and PKCepsilon work as a functional couple with opposite roles on thrombopoiesis, and the modulation of their balance strongly impacts platelet production. PMID: 27081176
- These findings suggest that targeting Wnt/beta-catenin or Akt pathways may increase the efficacy of taxane chemotherapy in advanced human prostate cancers that have lost PKCdelta expression. PMID: 27196755
- description of a rare monogenic form of juvenile systemic lupus erythematosus caused by a novel but damaging homozygous mutation affecting the active region of PRKCD. PMID: 28003329
- MALAT1 recruits splice factor serine-arginine-rich splice factor 2 (SRSF2) to promote alternative splicing of PKCdeltaII. PMID: 27841943
- mechanistic studies, inhibition of SRC and PKCdelta completely ablated the ability of MDA-7/IL-24 to reduce the Bcl-x(L)/(s) mRNA ratio and cell viability. These findings show that Bcl-x(s) expression is an important mediator of MDA-7/IL-24-induced cytotoxicity requiring the SRC/PKCdelta signaling axis in NSCLC cells. PMID: 27519412
- upregulation of miR-940 may function as a suppressor in the progression of ovarian cancer by inhibiting cell proliferation and inducing apoptosis by targeting PKC-delta. This study may provide a basis for the possible application of miR-940 in illustrating the molecular pathogenic mechanism of ovarian cancer. PMID: 28081739
- The results showed that a repressor complex composed of NFX1-91, mSin3A and histone deacetylase 1 was involved in the PKC-delta-induced repression of the hTERT promoter, which resulted in the repression of hTERT transcription. PMID: 27311997
- Knockdown of PKCdelta results in a reduction of HIF-1alpha mRNA levels. PMID: 26284819
- Study shows that PRKCD influences corticotroph cell viability, POMC and ACTH expression suggesting that PRKCD plays an important role in restraining corticotroph cell proliferation and function. PMID: 26522132
- PKCzeta Promotes Breast Cancer Invasion by Regulating Expression of E-cadherin and Zonula Occludens-1 (ZO-1) via NFkappaB-p65 PMID: 26218882
- Persistent PRKCD elevation in fibroblasts from diabetic patients inhibits insulin signaling and function to impair wound healing. PMID: 26808499
- Data suggest that cytokines (TNF-alpha, IL1-beta, IFN-gamma) disrupt gap junction coupling in pancreatic islets under conditions associated with prediabetes; the mechanism appears to involve nitric oxide-mediated activation of protein kinase C-delta. PMID: 26668311
- Phosphorylation site at Ser130 adjacent to the pseudosubstrate domain contributes to the activation of protein kinase. PMID: 26546672
- Docosahexaenoic acid increase the efficacy of docetaxel in mammary cancer cells by downregulating Akt and PKCepsilon/delta-induced ERK pathways. PMID: 26821209
- K-Ras stabilization by estrogen via PKCdelta has a role in endometrial tumorigenesis PMID: 26015399
- PKC-delta is a crucial factor in the heat sensitivity and thermal resistance of tongue squamous carcinoma cells. PMID: 26017369
- Study shows selective phosphorylation of PKCdelta in HTLV1infected T cells where Tax activates NFkappaB through PKCdelta activation. PMID: 25625567
- Results show that PKCdelta acts as a critical regulator for the maintenance of tumor initiating cells in glioblastoma through specific phosphorylation on Ser473 of AKT, therefore activating its signaling pathway. PMID: 25746003
- isotype delta-PKC is responsible for myristoylated alanine-rich C-kinase substrate (MARCKS) phosphorylation in human neutrophils following f-Met-Leu-Phe stimulation and MARCKS phosphorylation is essential for neutrophil migration and adhesion. PMID: 25515270
- this report suggests a novel finding that cellular signaling caspase 3/7-PKCdelta-Akt/p38 MAPK is crucial to the repopulation in Panc1 cells after radiotherapy. PMID: 25156550
- Results suggest that miR-224-5p may function as an oncogene and induce platinum resistance in ovarian papillary serous carcinoma at least in part by downregulating PRKCD. PMID: 25017423
- The Epstein-Barr virus LMP1-induced IL-32 traps protein kinase Cdelta in the cytoplasm and prevents it from binding to the Zta promoter, which is the key event for virus activation. PMID: 25810549
- Studies identify a C2 domain pTyr313 docking interaction that controls ATP-positioning loop phosphorylation as a novel, dynamically regulated, and physiologically relevant structural determinant of PKCdelta catalytic activity. PMID: 25755284
- IL-32theta;, through its interaction with PKCdelta, downregulates CCL5 expression by mediating the phosphorylation of STAT3 on Ser727 to render it transcriptionally inactive. PMID: 25280942
- PKC-mediated syndecan-1 downregulation causes loss of cell invasiveness in melanoma cells under anchorage independency PMID: 25236603
- Docking and physicochemical studies indicated that BTK was involved in close contact with Tyr86 and Tyr106 of MAL, whereas PKCdelta may phosphorylate Tyr106 only. PMID: 24840642
- Suggest distinct role of PKCdelta in controlling cell fate and immune response of monocyte subsets. PMID: 25322815
- our data demonstrate that FZD1 regulates PKCdelta, and the PKCdelta/AP-1 signalling transduction pathway plays an important role in drug resistance in MES-SA/Dx5 cells. PMID: 24814288
- There is a PRKCD-dependent proapoptotic mechanism controlling stability of HAX-1, a proto-oncogene in mantle cell lymphoma. PMID: 25419709
- histone acetylation regulates PKCdelta expression to augment nigrostriatal dopaminergic cell death, which could contribute to the progressive neuropathogenesis of Parkinson disease PMID: 25342743
- High glucose increased protein kinase C delta phosphorylation. PMID: 24289563
- Trp-252 of PRKCD contributes to diacylglycerol affinity. PMID: 25124034
- PKCdelta protein levels were decreased in the putamen of Huntington's disease patients. PMID: 23896721
顯示更多
收起更多
-
相關疾病:Autoimmune lymphoproliferative syndrome 3 (ALPS3)
-
亞細胞定位:Cytoplasm. Cytoplasm, perinuclear region. Nucleus. Cell membrane; Peripheral membrane protein. Mitochondrion. Endomembrane system.
-
蛋白家族:Protein kinase superfamily, AGC Ser/Thr protein kinase family, PKC subfamily
-
數據庫鏈接:
Most popular with customers
-
-
YWHAB Recombinant Monoclonal Antibody
Applications: ELISA, WB, IHC, IF, FC
Species Reactivity: Human, Mouse, Rat
-
-
-
-
-
-















