PTPRM Antibody
-
中文名稱:PTPRM兔多克隆抗體
-
貨號:CSB-PA364182
-
規格:¥1100
-
圖片:
-
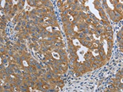
The image on the left is immunohistochemistry of paraffin-embedded Human esophagus cancer tissue using CSB-PA364182(PTPRM Antibody) at dilution 1/80, on the right is treated with synthetic peptide. (Original magnification: ×200)
-
The image on the left is immunohistochemistry of paraffin-embedded Human ovarian cancer tissue using CSB-PA364182(PTPRM Antibody) at dilution 1/80, on the right is treated with synthetic peptide. (Original magnification: ×200)
-
-
其他:
產品詳情
-
Uniprot No.:
-
基因名:
-
別名:tibody; hR PTPu antibody; Protein tyrosine phosphatase mu antibody; Protein tyrosine phosphatase mu precursor antibody; Protein tyrosine phosphatase receptor type M antibody; Protein tyrosine phosphatase receptor type mu polypeptide antibody; Protein-tyrosine phosphatase mu antibody; PTPRL1 antibody; Ptprm antibody; PTPRM protein antibody; PTPRM_HUMAN antibody; R PTP mu antibody; R-PTP-mu antibody; Receptor type tyrosine protein phosphatase mu antibody; Receptor-type tyrosine-protein phosphatase mu antibody; RPTP mu antibody; RPTPM antibody; RPTPU antibody
-
宿主:Rabbit
-
反應種屬:Human,Mouse
-
免疫原:Synthetic peptide of Human PTPRM
-
免疫原種屬:Homo sapiens (Human)
-
標記方式:Non-conjugated
-
抗體亞型:IgG
-
純化方式:Antigen affinity purification
-
濃度:It differs from different batches. Please contact us to confirm it.
-
保存緩沖液:-20°C, pH7.4 PBS, 0.05% NaN3, 40% Glycerol
-
產品提供形式:Liquid
-
應用范圍:ELISA,IHC
-
推薦稀釋比:
Application Recommended Dilution ELISA 1:2000-1:10000 IHC 1:100-1:300 -
Protocols:
-
儲存條件:Upon receipt, store at -20°C or -80°C. Avoid repeated freeze.
-
貨期:Basically, we can dispatch the products out in 1-3 working days after receiving your orders. Delivery time maybe differs from different purchasing way or location, please kindly consult your local distributors for specific delivery time.
-
用途:For Research Use Only. Not for use in diagnostic or therapeutic procedures.
相關產品
靶點詳情
-
功能:Involved in cell-cell adhesion through homophilic interactions. May play a key role in signal transduction and growth control.
-
基因功能參考文獻:
- Study determined that, in addition to the furin-processed form of PTPmicro, a pool of 200 kDa full-length PTPmicro exists at the plasma membrane that is cleaved directly by ADAM to generate a larger shed form of the PTPmicro extracellular segment. PMID: 24771611
- Decreased expression of PTPRM in breast cancer is correlated with poor prognosis and inversely correlated with disease-free survival. PMID: 23185569
- Loss of PTPmu by proteolysis causes glioblastoma. PMID: 22505657
- Results suggest that miR-221 and -222 regulate glioma tumorigenesis at least in part through the control of PTPmu protein expression. PMID: 21743492
- In A549 cells, diverse injurious stimuli dramatically reduced PTPmu protein expression. PMID: 21649524
- Loss of protein tyrosine phosphatase receptor type mu is associated with glioma cell migration and progression. PMID: 19304959
- RPTPmu may play a role in the regulation of cardiovascular functions PMID: 12895029
- PTPmu may regulate Rho-GTPase-dependent functions of IQGAP1 PMID: 16380380
- a 3.1 angstrom crystal structure of the RPTPmu ectodomain that forms a homophilic trans (antiparallel) dimer with an extended and rigid architecture, matching the dimensions of adherens junctions is described PMID: 17761881
- BCCIP is phosphorylated by the Src tyrosine kinase and dephosphorylated by the PTPmu tyrosine phosphatase; neurite outgrowth assays suggest that BCCIP and PTPmu are in a common signal transduction pathway. PMID: 18773424
- loss of cell surface PTPmu by proteolysis generates catalytically active PTPmu fragments that contribute to migration and survival of glioblastoma cells PMID: 19690139
顯示更多
收起更多
-
亞細胞定位:Membrane; Single-pass type I membrane protein.
-
蛋白家族:Protein-tyrosine phosphatase family, Receptor class 2B subfamily
-
數據庫鏈接:
Most popular with customers
-
-
YWHAB Recombinant Monoclonal Antibody
Applications: ELISA, WB, IHC, IF, FC
Species Reactivity: Human, Mouse, Rat
-
Phospho-YAP1 (S127) Recombinant Monoclonal Antibody
Applications: ELISA, WB, IHC
Species Reactivity: Human
-
-
-
-
-















