PTPRB Antibody
-
中文名稱:PTPRB兔多克隆抗體
-
貨號:CSB-PA019048ESR2HU
-
規格:¥440
-
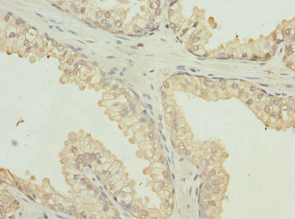
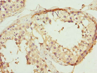
圖片:
-
其他:
產品詳情
-
產品名稱:Rabbit anti-Homo sapiens (Human) PTPRB Polyclonal antibody
-
Uniprot No.:
-
基因名:
-
別名:HPTP BETA antibody; HPTPB antibody; Phosphacan receptor type B antibody; Protein tyrosine phosphatase receptor type B antibody; Protein-tyrosine phosphatase beta antibody; PTPB antibody; Ptprb antibody; PTPRB_HUMAN antibody; R PTP BETA antibody; R-PTP-beta antibody; Receptor-type tyrosine-protein phosphatase beta antibody; RPTPB antibody; Vascular endothelial protein tyrosine phosphatase antibody; VE-PTP antibody
-
宿主:Rabbit
-
反應種屬:Human
-
免疫原:Recombinant Human Receptor-type tyrosine-protein phosphatase beta protein (1758-1997AA)
-
免疫原種屬:Homo sapiens (Human)
-
標記方式:Non-conjugated
-
克隆類型:Polyclonal
-
抗體亞型:IgG
-
純化方式:Antigen Affinity Purified
-
濃度:It differs from different batches. Please contact us to confirm it.
-
保存緩沖液:PBS with 0.02% sodium azide, 50% glycerol, pH7.3.
-
產品提供形式:Liquid
-
應用范圍:ELISA, IHC
-
推薦稀釋比:
Application Recommended Dilution IHC 1:20-1:200 -
Protocols:
-
儲存條件:Upon receipt, store at -20°C or -80°C. Avoid repeated freeze.
-
貨期:Basically, we can dispatch the products out in 1-3 working days after receiving your orders. Delivery time maybe differs from different purchasing way or location, please kindly consult your local distributors for specific delivery time.
-
用途:For Research Use Only. Not for use in diagnostic or therapeutic procedures.
相關產品
靶點詳情
-
功能:Plays an important role in blood vessel remodeling and angiogenesis. Not necessary for the initial formation of blood vessels, but is essential for their maintenance and remodeling. Can induce dephosphorylation of TEK/TIE2, CDH5/VE-cadherin and KDR/VEGFR-2. Regulates angiopoietin-TIE2 signaling in endothelial cells. Acts as a negative regulator of TIE2, and controls TIE2 driven endothelial cell proliferation, which in turn affects blood vessel remodeling during embryonic development and determines blood vessel size during perinatal growth. Essential for the maintenance of endothelial cell contact integrity and for the adhesive function of VE-cadherin in endothelial cells and this requires the presence of plakoglobin.
-
基因功能參考文獻:
- PTPRB was down-regulated in non-small-cell lung cancer patients and was associated with patient overall survival. PMID: 27314562
- STIM1-induced Ca(2+) signaling activates Pyk2 to inhibit the interaction of VE-PTP and VE-cadherin and hence increase endothelial permeability. PMID: 28385807
- Results provide evidence that PTPRB and PLCG1 mutations are driving events in a subset of secondary angiosarcomas. PMID: 24795022
- VE-PTP activates TIE2 and stabilizes retinal and choroidal blood vessels PMID: 25180601
- these results suggest that the polarized redistribution of VE-PTP in response to shear stress plays an important role in the regulation of endothelial cells function by blood flow. PMID: 24451369
- The endothelial phosphatase PTPRB, a negative regulator of vascular growth factor tyrosine kinases, harbored predominantly truncating mutations in 10 of 39 angiosarcoma tumors. PMID: 24633157
- zinc(II) ions regulate receptor protein-tyrosine phosphatase beta activity at picomolar concentrations. PMID: 22275360
- vascular endothelial protein tyrosine phosphatase contributes to endothelial morphogenesis. Silencing of VE-PTP expression was accompanied by increased VEGF receptor-2 tyrosine phosphorylation and activation of downstream signaling pathways. PMID: 19136612
- Suggest that VE-PTP, in cooperation with integrins, regulates the spreading and migration of endothelial cells during angiogenesis. PMID: 20301196
- The PTP1B has been observed over expressed in human breast cancer patients, suggesting its role in cell proliferation. PMID: 15638728
- the Ser127Gly polymorphism in PTPRB is associated with substance abuse vulnerability in three independent case-control samples, but was not associated with alcoholism in Japanese subjects PMID: 18361428
- These results reveal a novel role for HPTPbeta in modulating Ang-1-Tie2 signaling and endothelial cell survival. PMID: 19116766
顯示更多
收起更多
-
亞細胞定位:Membrane; Single-pass type I membrane protein.
-
蛋白家族:Protein-tyrosine phosphatase family, Receptor class 3 subfamily
-
數據庫鏈接:
Most popular with customers
-
-
YWHAB Recombinant Monoclonal Antibody
Applications: ELISA, WB, IHC, IF, FC
Species Reactivity: Human, Mouse, Rat
-
Phospho-YAP1 (S127) Recombinant Monoclonal Antibody
Applications: ELISA, WB, IHC
Species Reactivity: Human
-
-
-
-
-















