PTPRA Antibody
-
中文名稱:PTPRA兔多克隆抗體
-
貨號:CSB-PA019047DSR1HU
-
規格:¥440
-
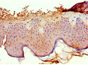
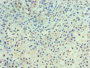
圖片:
-
其他:
產品詳情
-
產品名稱:Rabbit anti-Homo sapiens (Human) PTPRA Polyclonal antibody
-
Uniprot No.:
-
基因名:PTPRA
-
別名:PTPRA; PTPA; PTPRL2; Receptor-type tyrosine-protein phosphatase alpha; Protein-tyrosine phosphatase alpha; R-PTP-alpha
-
宿主:Rabbit
-
反應種屬:Human
-
免疫原:Recombinant Human Receptor-type tyrosine-protein phosphatase alpha protein (20-142AA)
-
免疫原種屬:Homo sapiens (Human)
-
標記方式:Non-conjugated
-
克隆類型:Polyclonal
-
抗體亞型:IgG
-
純化方式:Antigen Affinity Purified
-
濃度:It differs from different batches. Please contact us to confirm it.
-
保存緩沖液:PBS with 0.02% sodium azide, 50% glycerol, pH7.3.
-
產品提供形式:Liquid
-
應用范圍:ELISA, IHC
-
推薦稀釋比:
Application Recommended Dilution IHC 1:20-1:200 -
Protocols:
-
儲存條件:Upon receipt, store at -20°C or -80°C. Avoid repeated freeze.
-
貨期:Basically, we can dispatch the products out in 1-3 working days after receiving your orders. Delivery time maybe differs from different purchasing way or location, please kindly consult your local distributors for specific delivery time.
-
用途:For Research Use Only. Not for use in diagnostic or therapeutic procedures.
相關產品
靶點詳情
-
功能:Tyrosine protein phosphatase which is involved in integrin-mediated focal adhesion formation. Following integrin engagement, specifically recruits BCAR3, BCAR1 and CRK to focal adhesions thereby promoting SRC-mediated phosphorylation of BRAC1 and the subsequent activation of PAK and small GTPase RAC1 and CDC42.
-
基因功能參考文獻:
- Multivariate Cox regression analysis suggested that PTPRA expression was an independent prognostic factor in SCC patients. In the cellular models, PTPRA promotes SCC cell proliferation through modulating Src activation as well as cell cycle progression. In conclusion, higher PTPRA level was associated with worse prognosis of SCC patients and PTPRA could promote the cell cycle progression PMID: 28656243
- VacA mediates CagA phosphorylation through RPTPalpha in AZ-521 cells. PMID: 27935824
- A receptor type-protein tyrosine phosphatase alpha-Src family kinase-Rap1 pathway was identified as responsible for recruiting myosin IIB to the zonula adherens in epithelial cells and supporting contractile tension. PMID: 25631816
- no evidence was seen for the association of rare, missense mutations in the PTPRA gene with schizophrenia or autism spectrum disorders PMID: 25393624
- Data indicate that scaffold protein RACK1 plays a role in IGF-1-mediated protein-tyrosine phosphatase alpha (PTPalpha) tyrosine phosphorylation in MCF-7 Cells. PMID: 25694432
- recruited to epithelial adherens junctions for cadherin-dependent cell adhesion and tissue architecture formation PMID: 24652832
- Results suggest that inhibition of PTPalpha can have a beneficial effect on HER2-positive breast cancers, but that inhibition of additional targets is needed to block breast tumorigenesis. PMID: 23318421
- results suggest that PTPalpha links activation of epidermal growth factor receptor (EGFR) signaling with Src activation and may provide a novel therapeutic target for treatment of breast cancer. PMID: 23532252
- A single-nucleotide polymorphism (rs6138953) on the PTPRA gene in the 20p13 region was found to be associated with elevated fasting glucose level. PMID: 23487342
- The extracellular proteolytic processing is a novel mechanism for PTPalpha regulation. PMID: 22647903
- our results suggest that plasma PTPalpha and fibronectin may be associated with opisthorchiasis. PMID: 23029023
- convergent evidence reported here links RPTP to schizophrenia. PMID: 21831360
- The transformed cells were tumourigenic in nude mice, suggesting that RPTPalpha245-induced activation of Src in the human tumours may have contributed to carcinogenesis. PMID: 21725282
- the PTPalpha-mediated increase of NB-3 level at the cell surface represents a novel function of PTPalpha in NB-3 signaling in neural development PMID: 21622556
- a novel role for E-loop residue Lys182 in enhancing HePTP catalytic activity through its interaction with Asp236 of the WPD loop was revealed. PMID: 21094165
- force-responsive proteins such as RPTPalpha can influence cancer-cell behavior and identify potential targets for cancer therapy. PMID: 20208566
- In entering mitosis the cell cycle-specific regulation of c-Src by RPTPalpha can occur by dephosphorylation of phospho-Tyr527 that activates c-Src in a reaction catalyzed by the transmembrane receptor-like protein tyrosine phosphatase RPTPalpha. PMID: 11796915
- interactions between RPTP-domain1s and RPTP-domain 2s are a common but specific mechanism that is likely to be regulated- domain2s and the wedge structures are crucial determinants of binding specificity, thus regulating cross-talk between RPTPs PMID: 12376545
- RPTPs have the capacity for inside-out signaling PMID: 12582170
- This protein regulates nuclear translocation of ERK2 and can modulate megakaryocytic differentiation of K562 cells. PMID: 12592337
- data suggest that receptor-like protein tyrosine phosphatase alpha acts as a receptor for Helicobacter pylori VacA toxin in G401 cells PMID: 12626515
- Receptor protein tyrosine phosphatase alpha signaling has a role in androgen depletion-induced neuroendocrine differentiation of prostate tumor cells PMID: 14555984
- These data reveal a functional relevance of PTP alpha for insulin secretion. PMID: 14592422
- PTPRA and PTPRZ may have roles in gastric cancer progression including lymphovascular invasion and liver/peritoneal dissemination PMID: 16338072
- the two splice variants of PTPalpha are expressed differentially and regulate c-Src activity in different ways. PMID: 17212655
- siRNA-mediated suppression of protein tyrosine phosphatase alpha (PTP alpha) reduces Src activity 2 to 4-fold in breast, colon and other human cancer cell lines. PMID: 18183590
- CD63 plays a role in the regulation of ROMK channels through its association with RPTPalpha, which in turn interacts with and activates Src family PTK, thus reducing ROMK activity. PMID: 18211905
- This study showed that PTPalpha is required for remodeling of focal adhesion during cell spreading via a pathway involving Rac1. PMID: 18216165
- report a statistically significant lower expression intensity of PTEN and HePTP PMID: 18728972
- RPTPalpha plays a critical role in HCN channel function via tyrosine dephosphorylation PMID: 18768480
- PTPalpha acts as an adaptor to mediate functional links between focal adhesions and the endoplasmic reticulum that enable IL-1-induced Ca2+ signaling. PMID: 19497848
顯示更多
收起更多
-
亞細胞定位:Cell membrane; Single-pass type I membrane protein. Cell junction, focal adhesion.
-
蛋白家族:Protein-tyrosine phosphatase family, Receptor class 4 subfamily
-
數據庫鏈接:
Most popular with customers
-
-
YWHAB Recombinant Monoclonal Antibody
Applications: ELISA, WB, IHC, IF, FC
Species Reactivity: Human, Mouse, Rat
-
Phospho-YAP1 (S127) Recombinant Monoclonal Antibody
Applications: ELISA, WB, IHC
Species Reactivity: Human
-
-
-
-
-















