PTMA Antibody
-
中文名稱:PTMA兔多克隆抗體
-
貨號:CSB-PA799716
-
規格:¥1100
-
圖片:
-
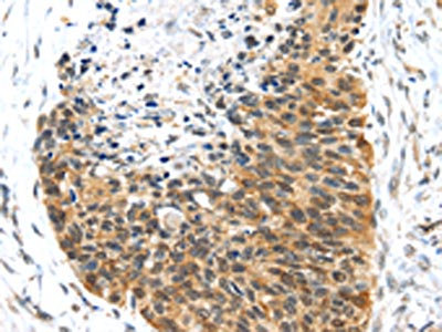
The image on the left is immunohistochemistry of paraffin-embedded Human liver cancer tissue using CSB-PA799716(PTMA Antibody) at dilution 1/30, on the right is treated with fusion protein. (Original magnification: ×200)
-
The image on the left is immunohistochemistry of paraffin-embedded Human esophagus cancer tissue using CSB-PA799716(PTMA Antibody) at dilution 1/30, on the right is treated with fusion protein. (Original magnification: ×200)
-
-
其他:
產品詳情
-
Uniprot No.:
-
基因名:PTMA
-
別名:Prothymosin alpha (gene sequence 28) antibody; Prothymosin alpha antibody; Prothymosin alpha like 1 protein antibody; PTMA antibody; PTMA_HUMAN antibody; Thymalfasin antibody; Thymosin alpha 1 acetate antibody; Thymosin alpha 1 antibody; Thymosin alpha antibody; Thymosin alpha-1 antibody; TMSA antibody
-
宿主:Rabbit
-
反應種屬:Human,Mouse,Rat
-
免疫原:Full length fusion protein
-
免疫原種屬:Homo sapiens (Human)
-
標記方式:Non-conjugated
-
抗體亞型:IgG
-
純化方式:Antigen affinity purification
-
濃度:It differs from different batches. Please contact us to confirm it.
-
保存緩沖液:-20°C, pH7.4 PBS, 0.05% NaN3, 40% Glycerol
-
產品提供形式:Liquid
-
應用范圍:ELISA,IHC
-
推薦稀釋比:
Application Recommended Dilution ELISA 1:2000-1:5000 IHC 1:25-1:100 -
Protocols:
-
儲存條件:Upon receipt, store at -20°C or -80°C. Avoid repeated freeze.
-
貨期:Basically, we can dispatch the products out in 1-3 working days after receiving your orders. Delivery time maybe differs from different purchasing way or location, please kindly consult your local distributors for specific delivery time.
-
用途:For Research Use Only. Not for use in diagnostic or therapeutic procedures.
相關產品
靶點詳情
-
功能:Prothymosin alpha may mediate immune function by conferring resistance to certain opportunistic infections.
-
基因功能參考文獻:
- According to the cellular function of the characterized targets of ProTalpha, and the evolution in the composition of the diverse ProTalpha-complexes when proliferation activity was reduced or apoptosis induced, leads to hypothesized that ProTalpha interactions might be related to the proliferation activity and control of the cell survival. PMID: 29106904
- Prothymosin-alpha variants elicit anti-HIV-1 response via TLR4 dependent and independent pathways. PMID: 27310139
- PTMA is a potential novel therapeutic target for type 2 diabetes PMID: 26348351
- disease-free survival and overall survival rates were significantly lower among colorectal cancer patients with PTMA- and TP53-positive tumors PMID: 25197357
- Data suggest that KEAP1 (kelch-like ECH-associated protein 1) mutations (as those observed in lung cancer patients) affect conformation/folding/stability of KEAP1 and binding affinity for ligands PTMA and NRF2 (nuclear factor erythroid 2-like 2). PMID: 25582950
- Data suggest that plasma thymosin-alpha1 (TA1) and prothymosin-alpha (PTMA) level may be a biomarker for differentiating between renal cell carcinoma (RCC) and urothelial carcinoma. PMID: 22609059
- prothymosin-alpha expression is a determinant of disease progression in superficial bladder cancer PMID: 24733561
- PTalpha offers cardioprotection against ischemic injury by an Akt-dependent mechanism. PMID: 23857453
- phosphorylation of ProTalpha is required for its antiapoptotic activity, but it does not affect its nuclear import PMID: 23859021
- These results demonstrate the clinical relevance of prothymosin alpha in regulating acetylation events during the pathogenesis of emphysema. PMID: 23695700
- Western blot analysis of protein extracts from sperm head fractions confirms that the peptide is specifically associated with the inner acrosomal membrane fraction. PMID: 23359453
- ProTalpha is crucial for the interaction with the Kelch domain, while the flanking residues play relatively minor roles in the affinity of binding. PMID: 23318954
- The decrease of ProTalpha mRNA during differentiation was not accompanied by changes in the methylation status PMID: 22463375
- The prothymosin alpha is one of miR-1 target genes which involve in miR-1 inducing apoptosis PMID: 22059741
- Findings suggest that the binding of prothymosin alpha (ProTalpha) and Neh2 to Keap1 occurs synergistically via preformed structural elements. PMID: 22125611
- The PTMA is one of miR-1 target genes which involve in miR-1 inducing apoptosis. PMID: 22059741
- when added to cultured cells expressing mHtt, the purified recombinant ProTalpha protein not only entered the cells but it also significantly suppressed the mHtt-caused cytotoxicity. PMID: 22110140
- Nuclear PTMA may serve as prognostic marker in head and neck squamous cell carcinoma to determine the subset of patients that are likely to show recurrence of the disease. PMID: 21573209
- These results are consistent with the model that ProTa may enhance p53 transcription activity by displacement of histone H1 from p53-H1 repressive complex. PMID: 21954601
- A study on the relationship between prothymosin alpha kinase(ProTalphaK) activity and pyruvate kinase isoforms confirmed that the M2 isoform is the enzyme responsible for ProTalphaK activity in proliferating cells. PMID: 20977946
- Data suggest that prothymosin alpha immunostaining may be helpful in predicting pituitary tumor recurrence. PMID: 20430720
- Prothymosin alpha amino acid residues 4-14, 31-43, 84-87, and 106-110 strongly and specifically bind to apoptotic protease activating factor 1 (Apaf-1) in the regulation of the mitochondrial cell death pathway. PMID: 20121050
- we demonstrate the existence of three binding partners (31, 29, and 19 kDa) for ProTalpha in the membrane of PHA-activated lymphoblasts. These surface molecules possess the expected affinity and specificity for a ProTalpha receptor PMID: 11727831
- prothymosin alpha is capable of forming regular elongated fibrils PMID: 12062405
- regulatory roles of oncoprotein ProT and tumor suppressor PHAP in apoptosis PMID: 12522243
- study suggests involvement of prothymosin a, in the formation, maintenance, or functioning of the mitotic spindle PMID: 15325071
- PTMA associates with SET and is involved in chromatin decondensation. PMID: 15556635
- Prothymosin alpha functions as intranuclear dissociator of the Nrf2-Keap1 complex. PMID: 15657435
- PTMA expression is intimately involved in the differentiation and progression of human prostate cancers, and could be a target for therapy and diagnostic purposes. PMID: 16353248
- Antiapoptotic response of cells requires expression of both p8 and ProTalpha. PMID: 16478804
- the anti-apoptotic effect previously attributed separately to p8 and prothymosin alpha is in fact borne by the p8/ProTalpha complex, the two proteins being individually inactive PMID: 16628001
- Marked differences in the expression of PTMA and Tim10 were observed during the differentiation of human primary skeletal muscle cells. PMID: 16669873
- suppression of viral replication by ProTalpha is not HIV LTR specific PMID: 16940531
- interaction of ProTalpha with core histones in the nucleus may be related to structural modification of histones H3 & H4, & hence to chromatin activity, raising the possibility that other proteins in the nuclear complex may play a role in this process. PMID: 17012289
- Decreased ERbeta and increased ProTalpha expression in advanced gastric adenocarcinoma indicated that ERbeta may play an anti-proliferation role which is opposed to the role of ProTalpha in gastric epithelium. PMID: 17046193
- although prothymosin-alpha is overexpressed in gastric adenocarcinoma, it is not associated with alterations in survival PMID: 17188166
- PTMA may be a novel marker for predicting the effectiveness of radiotherapy in clinical cases. PMID: 17876542
- Basis on site-specific information obtained here, as well as results from previous studies, we propose that the conformational and dynamic changes upon zinc binding may act as an entropic switch that greatly facilitates the binding to other proteins PMID: 17929838
- ProTalpha and Nrf2 compete for interaction with Keap1, therefore ProTalpha is able to liberate Nrf2 from complex with Keap1 and hence contribute to Nrf2-dependent transcription. PMID: 18240569
- Influence of prothymosin alpha and its mutants on activity of the p53 tumor suppressor PMID: 18856068
- immune response stimulation by ProTalpha is in principle exerted via its bioactive C-terminal decapaptide, which can acquire a sequence-specific beta-sheet conformation and induce DC maturation. PMID: 18976813
- induces unravelling of metaphase chromosomes in vitro PMID: 11528108
顯示更多
收起更多
-
亞細胞定位:Nucleus.
-
蛋白家族:Pro/parathymosin family
-
數據庫鏈接:
Most popular with customers
-
YWHAB Recombinant Monoclonal Antibody
Applications: ELISA, WB, IHC, IF, FC
Species Reactivity: Human, Mouse, Rat
-
Phospho-YAP1 (S127) Recombinant Monoclonal Antibody
Applications: ELISA, WB, IHC
Species Reactivity: Human
-
-
-
-
-
-















