PRG4 Antibody
-
中文名稱:PRG4兔多克隆抗體
-
貨號:CSB-PA018672LA01HU
-
規格:¥440
-
圖片:
-
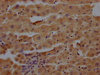
IHC image of CSB-PA018672LA01HU diluted at 1:200 and staining in paraffin-embedded human liver tissue performed on a Leica BondTM system. After dewaxing and hydration, antigen retrieval was mediated by high pressure in a citrate buffer (pH 6.0). Section was blocked with 10% normal goat serum 30min at RT. Then primary antibody (1% BSA) was incubated at 4°C overnight. The primary is detected by a Goat anti-rabbit polymer IgG labeled by HRP and visualized using 0.05% DAB.
-
-
其他:
產品詳情
-
產品名稱:Rabbit anti-Homo sapiens (Human) PRG4 Polyclonal antibody
-
Uniprot No.:
-
基因名:PRG4
-
別名:PRG4 antibody; MSF antibody; SZP antibody; Proteoglycan 4 antibody; Lubricin antibody; Megakaryocyte-stimulating factor antibody; Superficial zone proteoglycan) [Cleaved into: Proteoglycan 4 C-terminal part] antibody
-
宿主:Rabbit
-
反應種屬:Human
-
免疫原:Recombinant Human Proteoglycan 4 protein (25-156AA)
-
免疫原種屬:Homo sapiens (Human)
-
標記方式:Non-conjugated
本頁面中的產品,PRG4 Antibody (CSB-PA018672LA01HU),的標記方式是Non-conjugated。對于PRG4 Antibody,我們還提供其他標記。見下表:
-
克隆類型:Polyclonal
-
抗體亞型:IgG
-
純化方式:>95%, Protein G purified
-
濃度:It differs from different batches. Please contact us to confirm it.
-
保存緩沖液:Preservative: 0.03% Proclin 300
Constituents: 50% Glycerol, 0.01M PBS, PH 7.4 -
產品提供形式:Liquid
-
應用范圍:ELISA, IHC
-
推薦稀釋比:
Application Recommended Dilution IHC 1:200-1:500 -
Protocols:
-
儲存條件:Upon receipt, store at -20°C or -80°C. Avoid repeated freeze.
-
貨期:Basically, we can dispatch the products out in 1-3 working days after receiving your orders. Delivery time maybe differs from different purchasing way or location, please kindly consult your local distributors for specific delivery time.
-
用途:For Research Use Only. Not for use in diagnostic or therapeutic procedures.
相關產品
靶點詳情
-
功能:Plays a role in boundary lubrication within articulating joints. Prevents protein deposition onto cartilage from synovial fluid by controlling adhesion-dependent synovial growth and inhibiting the adhesion of synovial cells to the cartilage surface.; Isoform F plays a role as a growth factor acting on the primitive cells of both hematopoietic and endothelial cell lineages.
-
基因功能參考文獻:
- Inflammatory Biomarker Profiling in Total Joint Arthroplasty and Its Relevance to Circulating Levels of Lubricin, a Novel Proteoglycan. PMID: 29683034
- Intra-articular injection of human PRG4 in vivo in Prg4-/- mice prevented caspase-3 activation in superficial zone chondrocytes and was associated with a modest decrease in whole joint friction. PMID: 28604608
- PRG4 plays an important anti-inflammatory role in regulating osteoarthritis synoviocyte proliferation. PMID: 28482921
- IL6 and PRG4 represent potential novel tissue biomarkers of disease severity and prognosis in conjunctival fibrosis after glaucoma surgery. PMID: 28975281
- adult talar cartilage increases both PRG4 release and biosynthetic activity as immediate cellular response to injury PMID: 27551813
- Double knockdown of PRG4 and IL-24 did not inhibit myxoid liposarcoma (MLS)- cell growth, and single knockdown of PRG4 remarkably increased IL-24 expression. These results suggest that the growth inhibitory effect of PRG4 knockdown is caused by induction of IL-24 expression, and PRG4 may contribute to maintain MLS cell growth through repression of IL-24 expression. PMID: 28192118
- lubricin expression may typify adaptive and neoplastic changes along a pathway toward fibroblast-like synoviocytes PMID: 26924731
- PRG4 binds to TLR2 and TLR4 and this binding mediates a novel anti-inflammatory role for PRG4. PMID: 26643105
- Cartilage derived from MSCs expressed lubricin protein both in vitro and in vivo PMID: 26867127
- no synovial fluid level differences detected between healthy knees and injured knees PMID: 26037740
- The finding that rhPRG4 can increase the viscosity of low concentration HA solutions suggests that supplementation with rhPRG4 may help mitigate the loss in synovial fluid viscosity experienced with decreased HA concentration in osteoarthritis. PMID: 25818000
- PRG4 is a novel putative ligand for CD44 and may control synoviocyte overgrowth in inflammatory arthropathies via a CD44-mediated mechanism. PMID: 25708025
- The O-glycomap of lubricin, a novel mucin responsible for joint lubrication, has been identified by site-specific glycopeptide analysis. PMID: 25187573
- Lubricin (Prg4) plays a role in preventing damage to the superficial zone and preservation of chondrocytes. [Review] PMID: 25172828
- 5 novel PRG4 mutations and the first case of CACP syndrome resulting from uniparental disomy of chromosome 1. PMID: 23756439
- We speculate that an important role of lubricin in mediating interactions at the cartilage surface is to attach to the cartilage surface and provide a protective coating that maintains the contacting surfaces in a sterically repulsive state. PMID: 24406099
- Lubricin is transcribed, translated, and expressed by ocular surface epithelia. Lubricin presence significantly reduces friction between the cornea and conjunctiva. PMID: 23599181
- The objective was to evaluate the presence and distribution of the lubricating and anti-adhesion glycoprotein lubricin and cells containing the contractile isoform smooth muscle alpha-actin (SMA) in pseudomembranes around loose hip prostheses. PMID: 23174700
- the identification of a novel null mutation in PRG4 confirming the genetic homogeneity of Camptodactyly-arthropathy-coxa vara-pericarditis syndrome . PMID: 22678705
- Production and accumulation of the superficial zone protein (SZP), also known as lubricin, by the surface zone is a characteristic feature of articular cartilage. PMID: 22490392
- Lubricin in human breast tissue expander capsules PMID: 22865664
- lubricin is able to bind to PMN via an L-selectin-dependent and -independent manner and may play a role in PMN-mediated inflammation. PMID: 22930755
- lubricin is expressed in the TMJ disc bilaminar zone; lubricin may have a role in normal disc posterior attachment physiology through the prevention of cellular adhesion as well as providing lubrication during normal bilaminar zone function PMID: 21955422
- Lubricin is expressed in chondrocytes derived from osteoarthritic cartilage encapsulated in poly (ethylene glycol) diacrylate scaffold. PMID: 22073377
- The surface layer of lubricin coating torn edges of anterior cruciate ligaments and menisci may interfere with the integrative healing process needed for repair. PMID: 21647956
- We described a 2-bp novel deletion mutation in PRG4 gene in a Pakistani family with camptodactyly-arthropathy-coxa-vara-pericarditis syndrome PMID: 21565623
- O-linked oligosaccharides NeuAc alpha2-3Gal beta1-3GalNAc and NeuAc alpha2-3Gal beta1-3(NeuAc alpha2-6)GalNAc were the dominating structures on lubricin. The latter was more prevalent in rheumatoid arthritis, indicating that sialylation is up-regulated. PMID: 20443780
- HAPO enhanced total adherence of HUVEC in a concentration-dependent manner. PMID: 19900364
- Mrna present in tendons from tennis elbow. PRG4 may also be expressed as alternatively spliced form lacking exons which encode part of the N-terminal matrix-binding and cell-proliferative domain. PMID: 12475643
- Megakaryocyte stimulating factor (msf) is linked to prosthetic loosening. PMID: 12783322
- data suggest that HAPO is a novel growth factor acting on the primitive cells of both hematopoietic and endothelial cell lineages [HAPO] PMID: 14976050
- hemangiopoietin is encoded by HAPO, also known as CACP, MSF, SZP, and PRG4 [editorial] PMID: 15710563
- Results describe the production of antibodies against human lubricin to determine the consequence of disease-causing mutations at the protein level and to study the protein's normal post-translational processing. PMID: 16000300
- PRG4 mutations may have a role camptodactyly-arthropathy-coxa vara-pericarditis in Saudi families PMID: 16429407
- In the human knee, cartilaginous deposits and osteoarthritic cartilage contained PRG4 in patients with advanced knee osteoarthritis. PMID: 17343281
- Lubricin provides synovial fluid with an ability to dissipate strain energy induced by mammalian locomotion, which is a chondroprotective feature that is distinct from boundary lubrication. PMID: 17404241
- synovial fluid lubricin concentrations were significantly reduced at an early stage following anterior cruciate ligament injury when compared with those in the contralateral joint. PMID: 18512776
- These findings demonstrate that HAPO induces endothelial cell proliferation through the PI-3K/Akt pathway. PMID: 18769058
- findings point to two distinct mechanisms by which rh-lubricin lubricates, one mechanism involving lubricin bound to the tissue surface and the other involving lubricin in solution PMID: 19058183
顯示更多
收起更多
-
相關疾病:Camptodactyly-arthropathy-coxa vara-pericarditis syndrome (CACP)
-
亞細胞定位:Secreted.
-
組織特異性:Highly expressed in synovial tissue, cartilage and liver and weakly in heart and lung. Isoform B is expressed in kidney, lung, liver, heart and brain. Isoform C and isoform D are widely expressed.
-
數據庫鏈接:
Most popular with customers
-
-
YWHAB Recombinant Monoclonal Antibody
Applications: ELISA, WB, IHC, IF, FC
Species Reactivity: Human, Mouse, Rat
-
Phospho-YAP1 (S127) Recombinant Monoclonal Antibody
Applications: ELISA, WB, IHC
Species Reactivity: Human
-
-
-
-
-















