PPP3CA Antibody
-
中文名稱:PPP3CA兔多克隆抗體
-
貨號:CSB-PA943107
-
規格:¥1100
-
圖片:
-
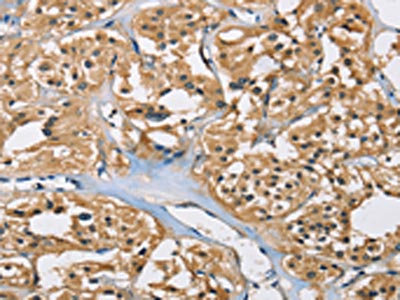
The image on the left is immunohistochemistry of paraffin-embedded Human thyroid cancer tissue using CSB-PA943107(PPP3CA Antibody) at dilution 1/40, on the right is treated with fusion protein. (Original magnification: ×200)
-
The image on the left is immunohistochemistry of paraffin-embedded Human brain tissue using CSB-PA943107(PPP3CA Antibody) at dilution 1/40, on the right is treated with fusion protein. (Original magnification: ×200)
-
Gel: 6%SDS-PAGE, Lysate: 40 μg, Lane: Mouse brain tissue, Primary antibody: CSB-PA943107(PPP3CA Antibody) at dilution 1/900, Secondary antibody: Goat anti rabbit IgG at 1/8000 dilution, Exposure time: 1 second
-
-
其他:
產品詳情
-
Uniprot No.:
-
基因名:
-
別名:Alpha isoform formerly PPP2B antibody; Calcineurin A alpha antibody; Calcineurin A1 antibody; CalcineurinA antibody; Calmodulin dependent calcineurin A subunit alpha isoform antibody; Calmodulin-dependent calcineurin A subunit alpha isoform antibody; CALN antibody; CALNA 1 antibody; CALNA antibody; CALNA1 antibody; CAM PRP catalytic subunit antibody; CAM-PRP catalytic subunit antibody; CCN 1 antibody; CCN1 antibody; CNA 1 antibody; CNA alpha antibody; CNA antibody; CNA1 antibody; PP2BA_HUMAN antibody; PPP2B antibody; Ppp3ca antibody; Protein phosphatase 2B catalytic subunit antibody; Protein phosphatase 3 (formerly 2B) catalytic subunit alpha isoform antibody; Protein phosphatase 3 catalytic subunit alpha isoform PPP3CA antibody; Protein phosphatase 3 catalytic subunit alpha isozyme antibody; Serine/threonine protein phosphatase 2B catalytic subunit alpha isoform antibody; Serine/threonine-protein phosphatase 2B catalytic subunit alpha isoform antibody
-
宿主:Rabbit
-
反應種屬:Human,Mouse,Rat
-
免疫原:Fusion protein of Human PPP3CA
-
免疫原種屬:Homo sapiens (Human)
-
標記方式:Non-conjugated
-
抗體亞型:IgG
-
純化方式:Antigen affinity purification
-
濃度:It differs from different batches. Please contact us to confirm it.
-
保存緩沖液:-20°C, pH7.4 PBS, 0.05% NaN3, 40% Glycerol
-
產品提供形式:Liquid
-
應用范圍:ELISA,WB,IHC
-
推薦稀釋比:
Application Recommended Dilution ELISA 1:2000-1:5000 WB 1:500-1:2000 IHC 1:25-1:100 -
Protocols:
-
儲存條件:Upon receipt, store at -20°C or -80°C. Avoid repeated freeze.
-
貨期:Basically, we can dispatch the products out in 1-3 working days after receiving your orders. Delivery time maybe differs from different purchasing way or location, please kindly consult your local distributors for specific delivery time.
-
用途:For Research Use Only. Not for use in diagnostic or therapeutic procedures.
相關產品
靶點詳情
-
功能:Calcium-dependent, calmodulin-stimulated protein phosphatase which plays an essential role in the transduction of intracellular Ca(2+)-mediated signals. Many of the substrates contain a PxIxIT motif and/or a LxVP motif. In response to increased Ca(2+) levels, dephosphorylates and activates phosphatase SSH1 which results in cofilin dephosphorylation. In response to increased Ca(2+) levels following mitochondrial depolarization, dephosphorylates DNM1L inducing DNM1L translocation to the mitochondrion. Dephosphorylates heat shock protein HSPB1. Dephosphorylates and activates transcription factor NFATC1. In response to increased Ca(2+) levels, regulates NFAT-mediated transcription probably by dephosphorylating NFAT and promoting its nuclear translocation. Dephosphorylates and inactivates transcription factor ELK1. Dephosphorylates DARPP32. May dephosphorylate CRTC2 at 'Ser-171' resulting in CRTC2 dissociation from 14-3-3 proteins. Dephosphorylates transcription factor TFEB at 'Ser-211' following Coxsackievirus B3 infection, promoting nuclear translocation.
-
基因功能參考文獻:
- A short-linear interaction motif between residues 337-343 of AKAP79 is the sole PP2B-anchoring determinant sustaining these diverse topologies. PMID: 28967377
- Mutation in PPP3CA gene is associated with Severe Neurodevelopmental Disease with Seizures. PMID: 28942967
- identify a distinct C-terminal autoinhibitory four-residue sequence in CNAbeta1, (462)LAVP(465), which competitively inhibits substrate dephosphorylation. In vitro and cell-based assays revealed that the CNAbeta1-containing holoenzyme, CNbeta1, is autoinhibited at a single site by either of two inhibitory regions, CBD and LAVP, which block substrate access to the substrate-binding groove. PMID: 28842480
- Studies indicate the importance of the AKAP79/PP2B/protein kinase A complex's role in synaptic long-term depression in the CA1 region of the hippocampus. PMID: 27911714
- Ca(2+)/calcineurin (CaN)/nuclear factor of activated T-cells (NFAT) c4 axis is required for neuritin-induced Kv4.2 transcriptional expression and potentiation of IA densities in cerebellum granule neurons. PMID: 27307045
- CN-A and nephrin were clearly reduced in the kidneys of a 10-year-old boy who had relapsing steroid-resistant nephrotic syndrome. PMID: 27009276
- that KIF1Bbeta affects mitochondrial dynamics through calcineurin-dependent dephosphorylation of Dynamin-related protein 1 (DRP1), causing mitochondrial fission and apoptosis PMID: 26812016
- for Aspergillus fumigatus, activation of macrophage calcineurin-NFAT occurs via a phagosomal TLR9-dependent and Bruton's tyrosine kinase-dependent signalling pathway that is independent of MyD88 PMID: 25637383
- Data indicate that both nuclear factors of activated T cells (NFATs) motifs partially compete for binding but do not fully displace each other on the calcineurin (Cn) epitope. PMID: 24954618
- Lysosomal calcium signaling regulates autophagy through calcineurin and TFEB. PMID: 25720963
- Human herpesvirus 6B U54 binds the calcineurin (CaN) phosphatase enzyme, causing improper dephosphorylation and nuclear translocation of NFAT (nuclear factor of activated T cells) proteins, resulting in suboptimal IL-2 gene transcription. PMID: 25122797
- KSR2 deficiency affects stromal interaction molecule 1 (STIM1)/ORAI1 puncta formation, which is correlated with cytoskeleton disorganization. PMID: 24672054
- These findings therefore provide initial support for the novel mechanistic hypothesis that oxidation-induced global and/or local conformational changes within calcineurin PMID: 25286016
- PKCepsilon may negatively regulate adverse myocardial remodeling by cooperating with calcineurin to downregulate fibrosis and induce transcription of cardioprotective wound healing genes, including COX-2 PMID: 24298017
- Mutations on the hydrophobic face of Calcineurin distal helix disrupt the structure gained upon CaM binding. PMID: 24191726
- Bile-induced NF-kappaB activation and acinar cell injury are mediated by calcineurin. PMID: 23744075
- Dephosphorylation of Aly1 by calcineurin serves as a regulatory switch to promote Aly1-mediated trafficking to the vacuole. PMID: 23824189
- lower expression of PPP3CA and PPP3CB genes in atrium myocardium can be related to expressed postinfarction LV remodeling. PMID: 23888774
- PPP3CA down-regulation is associated with hepatocellular carcinoma infected with hepatitis C virus. PMID: 23317196
- suggest that CaMKII and calcineurin provide a switch-like mechanism that controls Ca-dependent LIMK1, SSH1L and cofilin activation, and subsequently actin cytoskeletal reorganization PMID: 22270398
- Present findings indicate that downregulation of hemoxygenase-1 expression in neutrophils from hypertensive subjects is likely mediated by CN, which acts by hindering translocation to the nucleus of the transcription factor NRF2. PMID: 22739212
- Alterations in calcineurin signaling in the caudate nucleus contribute to the pathogenesis of schizophrenia. PMID: 22285318
- NHE1 directly binds to calcineurin A and activates downstream NFAT signaling, leading to cardiomyocyte hypertrophy PMID: 22688515
- calcineurin crystal of trypsin-resistant catalytic domain belonged to the orthorhombic space group P2(1)2(1)2, with unit-cell parameters a = 161.6, b = 87.4, c = 112.0 A PMID: 22691791
- Syndecan-4 is essential for development of concentric myocardial hypertrophy via stretch-induced activation of the calcineurin-NFAT pathway PMID: 22164265
- Even though an association of the polymorphisms rs2850328 and rs2395 and breast cancer was not detected in our case-control study population, other variants within the PPP3CA and MARK4 genes may still be associated with breast cancer. PMID: 22506312
- A protein encoded by this locus was found to be differentially expressed in postmortem brains from patients with atypical frontotemporal lobar degeneration. PMID: 22360420
- The authors demonstrate that the regulatory domain within calcineurin is unstructured and that it folds upon binding calmodulin, ousting the autoinhibitory domain from the catalytic site. PMID: 22100452
- High calcineurin A alpha protein is associated with bone metastasis in small-cell lung cancer. PMID: 21785830
- The C allele of protein phosphatase 3 subunit alpha rs3804358 polymorphism was overrepresented in athletes compared with controls, whereas the T allele of protein phosphatase 3 subunit beta rs3763679 polymorphism was underrepresented in athletes. PMID: 21233773
- Findings demonstrate that CaN functions as a critical signaling molecule during Th cell activation, regulating Bcl-10 phosphorylation and NF-kappaB activation. PMID: 21674474
- calcineurin has a role in the heart and in cardiac disease PMID: 19879877
- two new complementary roles for calcineurin in the regulation of the early UPR (Unfolded Protein Responses) PMID: 20700529
- data underscore the importance of calcineurin gene in the molecular mechanism of addiction and Alzheimer's diseases PMID: 20590401
- CN mediates the Ang II-induced aldosterone synthesis through up-regulation of the CYP11B2 transcription. PMID: 20413672
- Data show that in patients with CHF, calpain upregulation was associated with an increase in cleavage of cain/cabin1 and the activation of CaN. PMID: 20514436
- Data suggest an association between polymorphisms in PPP3CA, PPP3R1 and PPP3R2 and baseline levels or trainability of endurance phenotype traits. PMID: 20107831
- PP2B is an important target of the aberrant acinar cell Ca(2+) rise associated with pathological protease activation and pancreatitis. PMID: 20501444
- Observational study and genome-wide association study of gene-disease association and gene-environment interaction. (HuGE Navigator) PMID: 20379146
- CnAalpha, was significantly overexpressed in lung cancer tissues with bone metastasis as compared to tumors with non-bone metastases. PMID: 20422345
- The functional differences conferred upon CaN by the alpha or beta catalytic subunit isoforms suggest that the alpha:beta and CaN:substrate ratios may determine the levels of CaN phosphatase activity toward specific substrates. PMID: 12135494
- involvement of PKA and PPP2B in the regulation of NF-kappaB in human monocytes PMID: 12586544
- there is a 13-amino acid region within CN that is essential for the interaction with NFAT and with two other CN-binding proteins, AKAP79 and Cabin-1 PMID: 15671033
- The activation of calcineurin by calpain I in the brain of patients with Alzheimer's disease is reported. PMID: 16150694
- These results indicate that calcineurin mediates acetylcholinesterase expression during apoptosis. PMID: 17320203
- activation of calcineurin is required for lytic granule exocytosis but it is not the sole Ca2+-dependent step PMID: 17478429
- analysis of the secondary structure of calcineurin regulatory region and conformational change induced by calcium/calmodulin binding PMID: 18296442
- CHP2 has a role in tumorigenesis and as an activator of the calcineurin/NFAT signaling pathway PMID: 18815128
- Study demonstrates that all CaN isoforms display the same cytoplasmic subcellular distribution and are expressed in each tested cell line, differences in substrate specificities may determine specific physiological functions of the distinct isoforms. PMID: 19154138
- A conserved docking surface on calcineurin mediates interaction with substrates and immunosuppressants. PMID: 19285944
顯示更多
收起更多
-
亞細胞定位:Cytoplasm. Cell membrane; Peripheral membrane protein. Cell membrane, sarcolemma. Cytoplasm, myofibril, sarcomere, Z line. Cell projection, dendritic spine.
-
蛋白家族:PPP phosphatase family, PP-2B subfamily
-
組織特異性:Expressed in keratinocytes (at protein level).
-
數據庫鏈接:
Most popular with customers
-
-
YWHAB Recombinant Monoclonal Antibody
Applications: ELISA, WB, IHC, IF, FC
Species Reactivity: Human, Mouse, Rat
-
Phospho-YAP1 (S127) Recombinant Monoclonal Antibody
Applications: ELISA, WB, IHC
Species Reactivity: Human
-
-
-
-
-
VDAC1 Recombinant Monoclonal Antibody
Applications: ELISA, WB, IHC
Species Reactivity: Human, Mouse, Rat















