PPP1CB Antibody
-
中文名稱:PPP1CB兔多克隆抗體
-
貨號:CSB-PA559752
-
規格:¥1100
-
圖片:
-
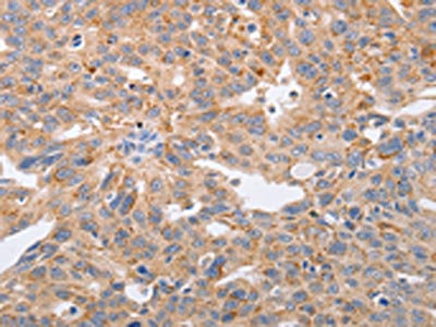
The image on the left is immunohistochemistry of paraffin-embedded Human ovarian cancer tissue using CSB-PA559752(PPP1CB Antibody) at dilution 1/40, on the right is treated with fusion protein. (Original magnification: ×200)
-
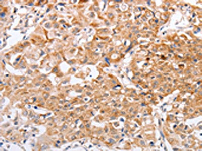
The image on the left is immunohistochemistry of paraffin-embedded Human lung cancer tissue using CSB-PA559752(PPP1CB Antibody) at dilution 1/40, on the right is treated with fusion protein. (Original magnification: ×200)
-
-
其他:
產品詳情
-
Uniprot No.:
-
基因名:
-
別名:MGC3672 antibody; PP 1B antibody; PP-1B antibody; PP1B antibody; PP1B_HUMAN antibody; PP1beta antibody; PPP1CB antibody; PPP1CD antibody; Protein phosphatase 1 beta antibody; Protein phosphatase 1 catalytic subunit beta isoform antibody; Protein phosphatase 1 delta antibody; Protein phosphatase 1, catalytic subunit, beta isozyme antibody; Protein phosphatase 1, catalytic subunit, delta isoform antibody; Serine threonine protein phosphatase PP1 beta catalytic subunit antibody; Serine/threonine-protein phosphatase PP1-beta catalytic subunit antibody
-
宿主:Rabbit
-
反應種屬:Human,Mouse,Rat
-
免疫原:Fusion protein of Human PPP1CB
-
免疫原種屬:Homo sapiens (Human)
-
標記方式:Non-conjugated
-
抗體亞型:IgG
-
純化方式:Antigen affinity purification
-
濃度:It differs from different batches. Please contact us to confirm it.
-
保存緩沖液:-20°C, pH7.4 PBS, 0.05% NaN3, 40% Glycerol
-
產品提供形式:Liquid
-
應用范圍:ELISA,IHC
-
推薦稀釋比:
Application Recommended Dilution ELISA 1:2000-1:5000 IHC 1:50-1:200 -
Protocols:
-
儲存條件:Upon receipt, store at -20°C or -80°C. Avoid repeated freeze.
-
貨期:Basically, we can dispatch the products out in 1-3 working days after receiving your orders. Delivery time maybe differs from different purchasing way or location, please kindly consult your local distributors for specific delivery time.
-
用途:For Research Use Only. Not for use in diagnostic or therapeutic procedures.
相關產品
靶點詳情
-
功能:Protein phosphatase that associates with over 200 regulatory proteins to form highly specific holoenzymes which dephosphorylate hundreds of biological targets. Protein phosphatase (PP1) is essential for cell division, it participates in the regulation of glycogen metabolism, muscle contractility and protein synthesis. Involved in regulation of ionic conductances and long-term synaptic plasticity. Component of the PTW/PP1 phosphatase complex, which plays a role in the control of chromatin structure and cell cycle progression during the transition from mitosis into interphase. In balance with CSNK1D and CSNK1E, determines the circadian period length, through the regulation of the speed and rhythmicity of PER1 and PER2 phosphorylation. May dephosphorylate CSNK1D and CSNK1E. Dephosphorylates the 'Ser-418' residue of FOXP3 in regulatory T-cells (Treg) from patients with rheumatoid arthritis, thereby inactivating FOXP3 and rendering Treg cells functionally defective.
-
基因功能參考文獻:
- This report gives further support that this novel RASopathy-PPP1CB-related Noonan syndrome with loose anagen hair-shares great similarity to Noonan syndrome-like disorder with loose anagen hair, and expands the phenotypic spectrum by adding the cranial vault abnormality. PMID: 28211982
- Missense mutations in PPP1CB are associated with a phenotype resembling NS-LAH. Based on this phenotype and PPP1CB's known role within the RAS/MAPK pathway, we think that this condition is a novel rasopathy, which may be provisionally termed "PPP1CB-related Noonan syndrome with loose anagen hair" (P-NS-LAH). PMID: 27264673
- Our data suggest that our heterozygous de novo PPP1CB pathogenic variants are associated with syndromic intellectual disability. PMID: 27681385
- These results suggest a unique functional role for the PP1beta isoform in affecting cardiac contractile function PMID: 26334248
- Findings show that PP1cbeta plays a role in endothelial cell migration through a mechanism involving the interplay of actin cytoskeleton proteins and focal adhesion molecules signaling. PMID: 25967976
- In the title. PMID: 25849655
- results indicate that SCN-iPS cells provide a useful disease model for SCN, and the activation of the Wnt3a/beta-catenin pathway may offer a novel therapy for SCN with ELANE mutation PMID: 23382248
- Interaction between protein phosphatase 1 beta and myosin phosphatase (MYPT)1 results in exclusion of Nkx2.5 from the cell nucleus. PMID: 23168335
- These findings provide evidence for the involvement of a particular PP1 complex, PPP1R12A/PP1cdelta, in insulin signaling. PMID: 22728334
- Protein phosphatase 1beta (PP1beta) is identified as a phosphatase for the cluster of phosphorylated threonines ((353)TTETQRT(359)) within the sst(2A) somatostatin receptor carboxyl terminus that mediates beta-arrestin binding using siRNA knock-down screening. PMID: 21795688
- PPP1CB is over expressed in malignant melanoma. PMID: 21566537
- Data suggest that double-thiophosphorylation of TIMAP has minor effect on its binding ability to PP1c, but considerably attenuates its inhibitory effect on the activity of PP1c. PMID: 21466834
- serine/threonine protein phosphatase PP1beta is a physiological Nucleophosmin (NPM) phosphatase under both the genotoxic stress and growth conditions. PMID: 20962268
- In this study, we show that protein phosphatase-1 (PP1) inhibitor-3 (Inh3) is localized to the nucleoli and centrosomes in interphase HEK 293 cells. PMID: 16256067
- R16A at the membrane may mediate the PB signal to initiate CAR nuclear translocation, through a mechanism including its dimerization and inhibition of PP1beta activity. PMID: 18202305
顯示更多
收起更多
-
相關疾病:Noonan syndrome-like disorder with loose anagen hair 2 (NSLH2)
-
亞細胞定位:Cytoplasm. Nucleus. Nucleus, nucleoplasm. Nucleus, nucleolus.
-
蛋白家族:PPP phosphatase family, PP-1 subfamily
-
數據庫鏈接:
Most popular with customers
-
-
YWHAB Recombinant Monoclonal Antibody
Applications: ELISA, WB, IHC, IF, FC
Species Reactivity: Human, Mouse, Rat
-
-
-
-
-
-















