PKMYT1 Antibody
-
中文名稱:PKMYT1兔多克隆抗體
-
貨號:CSB-PA16029A0Rb
-
規格:¥440
-
圖片:
-
其他:
產品詳情
-
產品名稱:Rabbit anti-Homo sapiens (Human) PKMYT1 Polyclonal antibody
-
Uniprot No.:
-
基因名:
-
別名:cdc2 inhibitory kinase antibody; DKFZp547K1610 antibody; FLJ20093 antibody; Membrane associated tyrosine and threonine specific cdc2 inhibitory kinase antibody; Membrane-associated tyrosine- and threonine-specific cdc2-inhibitory kinase antibody; MYT1 antibody; Myt1 kinase antibody; PKMYT 1 antibody; Pkmyt1 antibody; PMYT1_HUMAN antibody; PPP1R126 antibody; Protein kinase membrane associated tyrosine/threonine 1 antibody; Protein kinase Myt1 antibody; Protein phosphatase 1 regulatory subunit 126 antibody
-
宿主:Rabbit
-
反應種屬:Human
-
免疫原:Recombinant Human Membrane-associated tyrosine- and threonine-specific cdc2-inhibitory kinase protein (900-1101AA)
-
免疫原種屬:Homo sapiens (Human)
-
標記方式:Non-conjugated
本頁面中的產品,PKMYT1 Antibody (CSB-PA16029A0Rb),的標記方式是Non-conjugated。對于PKMYT1 Antibody,我們還提供其他標記。見下表:
-
克隆類型:Polyclonal
-
抗體亞型:IgG
-
純化方式:>95%, Protein G purified
-
濃度:It differs from different batches. Please contact us to confirm it.
-
保存緩沖液:Preservative: 0.03% Proclin 300
Constituents: 50% Glycerol, 0.01M PBS, PH 7.4 -
產品提供形式:Liquid
-
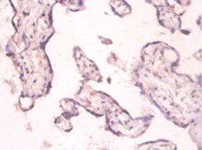
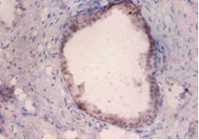
應用范圍:ELISA, IHC
-
推薦稀釋比:
Application Recommended Dilution IHC 1:20-1:200 -
Protocols:
-
儲存條件:Upon receipt, store at -20°C or -80°C. Avoid repeated freeze.
-
貨期:Basically, we can dispatch the products out in 1-3 working days after receiving your orders. Delivery time maybe differs from different purchasing way or location, please kindly consult your local distributors for specific delivery time.
-
用途:For Research Use Only. Not for use in diagnostic or therapeutic procedures.
相關產品
靶點詳情
-
功能:Acts as a negative regulator of entry into mitosis (G2 to M transition) by phosphorylation of the CDK1 kinase specifically when CDK1 is complexed to cyclins. Mediates phosphorylation of CDK1 predominantly on 'Thr-14'. Also involved in Golgi fragmentation. May be involved in phosphorylation of CDK1 on 'Tyr-15' to a lesser degree, however tyrosine kinase activity is unclear and may be indirect. May be a downstream target of Notch signaling pathway during eye development.
-
基因功能參考文獻:
- Study found that PKMYT1 was essential for the proliferation and mobility of CRC cells in vitro. Also, results demonstrated that patients expressing high level of PKMYT1 displayed a worse overall survival rate than those with a low level of PKMYT1. These data indicated that PKMYT1 was a biomarker for the prediction of the prognosis of the disease. PMID: 29658598
- PKMYT1 positively regulated the growth, migration, colony formation, metastasis and epithelia mesenchymal transition of hepatocellular carcinoma cells PMID: 28648520
- Myt1 is inactivated by MEK1 mediated phosphorylation to fragment the Golgi complex in G2 and for the entry of cells into mitosis. PMID: 23241949
- MYT1 binds to TSAP6 in tumor cells and has a role in cell cycle regulation PMID: 12606722
- Myt1 is phosphorylated by polo-like kinase 1 PMID: 12738781
- overexpressed during the S phase of the cell cycle compared with the G0/1 phase PMID: 16476973
- The results show that Myt1-mediated suppression of Cdc2 activity is not indispensable for the regulation of a broad range of mitotic events but is specifically required for the control of intracellular membrane dynamics during mitosis in Hela cells. PMID: 18378775
顯示更多
收起更多
-
亞細胞定位:Endoplasmic reticulum membrane; Peripheral membrane protein. Golgi apparatus membrane; Peripheral membrane protein.
-
蛋白家族:Protein kinase superfamily, Ser/Thr protein kinase family, WEE1 subfamily
-
數據庫鏈接:
Most popular with customers
-
-
YWHAB Recombinant Monoclonal Antibody
Applications: ELISA, WB, IHC, IF, FC
Species Reactivity: Human, Mouse, Rat
-
-
-
-
-
-















