PHKG2 Antibody
-
中文名稱:PHKG2兔多克隆抗體
-
貨號:CSB-PA304185
-
規格:¥1100
-
圖片:
-
The image on the left is immunohistochemistry of paraffin-embedded Human brain tissue using CSB-PA304185(PHKG2 Antibody) at dilution 1/30, on the right is treated with synthetic peptide. (Original magnification: ×200)
-
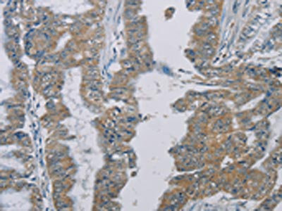
The image on the left is immunohistochemistry of paraffin-embedded Human esophagus cancer tissue using CSB-PA304185(PHKG2 Antibody) at dilution 1/30, on the right is treated with synthetic peptide. (Original magnification: ×200)
-
-
其他:
產品詳情
-
Uniprot No.:
-
基因名:
-
別名:PHKG2Phosphorylase b kinase gamma catalytic chain antibody; liver/testis isoform antibody; PHK-gamma-LT antibody; PHK-gamma-T antibody; EC 2.7.11.19 antibody; PSK-C3 antibody; Phosphorylase kinase subunit gamma-2 antibody
-
宿主:Rabbit
-
反應種屬:Human
-
免疫原:Synthetic peptide of Human PHKG2
-
免疫原種屬:Homo sapiens (Human)
-
標記方式:Non-conjugated
-
抗體亞型:IgG
-
純化方式:Antigen affinity purification
-
濃度:It differs from different batches. Please contact us to confirm it.
-
保存緩沖液:-20°C, pH7.4 PBS, 0.05% NaN3, 40% Glycerol
-
產品提供形式:Liquid
-
應用范圍:ELISA,IHC
-
推薦稀釋比:
Application Recommended Dilution ELISA 1:1000-1:2000 IHC 1:25-1:100 -
Protocols:
-
儲存條件:Upon receipt, store at -20°C or -80°C. Avoid repeated freeze.
-
貨期:Basically, we can dispatch the products out in 1-3 working days after receiving your orders. Delivery time maybe differs from different purchasing way or location, please kindly consult your local distributors for specific delivery time.
-
用途:For Research Use Only. Not for use in diagnostic or therapeutic procedures.
相關產品
靶點詳情
-
功能:Catalytic subunit of the phosphorylase b kinase (PHK), which mediates the neural and hormonal regulation of glycogen breakdown (glycogenolysis) by phosphorylating and thereby activating glycogen phosphorylase. May regulate glycogeneolysis in the testis. In vitro, phosphorylates PYGM.
-
基因功能參考文獻:
- These cases add to the current knowledge of clinical variability in patients with PHKG2 mutations. Long term studies, involving follow-up of these patients into adulthood, are needed PMID: 24389071
- Patients with PHKG2 mutations have a severe hepatic phenotype within the heterogeneous GSD IX disorder. A defect in PHKG2 should be considered in patients with suspected glycogenosis associated with significant liver fibrosis and cirrhosis. PMID: 24326380
- PHKG2 mutations are associated with Glycogen storage disease type IX PMID: 17689125
-
相關疾病:Glycogen storage disease 9C (GSD9C)
-
蛋白家族:Protein kinase superfamily, CAMK Ser/Thr protein kinase family
-
數據庫鏈接:
Most popular with customers
-
-
YWHAB Recombinant Monoclonal Antibody
Applications: ELISA, WB, IHC, IF, FC
Species Reactivity: Human, Mouse, Rat
-
Phospho-YAP1 (S127) Recombinant Monoclonal Antibody
Applications: ELISA, WB, IHC
Species Reactivity: Human
-
-
-
-
-















