PDGFC Antibody
-
中文名稱:PDGFC兔多克隆抗體
-
貨號:CSB-PA243546
-
規格:¥1090
-
圖片:
-
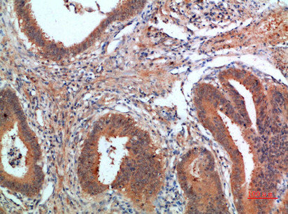
Immunohistochemical analysis of paraffin-embedded human-colon-cancer, antibody was diluted at 1:200
-
Immunohistochemical analysis of paraffin-embedded human-colon-cancer, antibody was diluted at 1:200
-
Immunohistochemical analysis of paraffin-embedded human-brain, antibody was diluted at 1:200
-
Immunohistochemical analysis of paraffin-embedded human-brain, antibody was diluted at 1:200
-
-
其他:
產品詳情
-
Uniprot No.:
-
基因名:
-
別名:Fallotein antibody; hSCDGF antibody; PDGF-C antibody; PDGFC antibody; PDGFC latent form antibody; PDGFC receptor-binding form antibody; PDGFC_HUMAN antibody; Platelet derived growth factor C antibody; Platelet-derived growth factor C; receptor-binding form antibody; SCDGF antibody; Secretory growth factor like protein antibody; Secretory growth factor like protein fallotein antibody; Spinal cord derived growth factor antibody; Spinal cord-derived growth factor antibody; VEGF E antibody; VEGF-E antibody
-
宿主:Rabbit
-
反應種屬:Human,Mouse,Rat
-
免疫原:Synthetic peptide from Human protein at AA range: 61-110
-
免疫原種屬:Homo sapiens (Human)
-
標記方式:Non-conjugated
-
純化方式:The antibody was affinity-purified from rabbit serum by affinity-chromatography using specific immunogen.
-
濃度:It differs from different batches. Please contact us to confirm it.
-
保存緩沖液:Liquid in PBS containing 50% glycerol, 0.5% BSA and 0.02% sodium azide.
-
產品提供形式:Liquid
-
應用范圍:IHC,ELISA
-
推薦稀釋比:
Application Recommended Dilution IHC IHC-p:1:50-300 ELISA 1:10000-20000 -
Protocols:
-
儲存條件:Upon receipt, store at -20°C or -80°C. Avoid repeated freeze.
-
貨期:Basically, we can dispatch the products out in 1-3 working days after receiving your orders. Delivery time maybe differs from different purchasing way or location, please kindly consult your local distributors for specific delivery time.
-
用途:For Research Use Only. Not for use in diagnostic or therapeutic procedures.
相關產品
靶點詳情
-
功能:Growth factor that plays an essential role in the regulation of embryonic development, cell proliferation, cell migration, survival and chemotaxis. Potent mitogen and chemoattractant for cells of mesenchymal origin. Required for normal skeleton formation during embryonic development, especially for normal development of the craniofacial skeleton and for normal development of the palate. Required for normal skin morphogenesis during embryonic development. Plays an important role in wound healing, where it appears to be involved in three stages: inflammation, proliferation and remodeling. Plays an important role in angiogenesis and blood vessel development. Involved in fibrotic processes, in which transformation of interstitial fibroblasts into myofibroblasts plus collagen deposition occurs. The CUB domain has mitogenic activity in coronary artery smooth muscle cells, suggesting a role beyond the maintenance of the latency of the PDGF domain. In the nucleus, PDGFC seems to have additional function.
-
基因功能參考文獻:
- There are four platelet-derived growth factor (PDGF) genes (PDGFA, PDGFB, PDGFC and PDGFD) that reside on chromosomes 7, 22, 4 and 11. PMID: 28267575
- We conclude that PDGF-CC-induced blood-spinal cord barrier dysfunction can contribute to timing of amyotrophic lateral sclerosis onset PMID: 26687981
- High glucose-mediated induction of PDGF-C via ChREBP in mesangial cells contributes to the development of glomerular mesangial expansion in diabetes. PMID: 27033449
- PDGF-C up-regulation was mediated by the human embryonic lethal abnormal vision-like protein HuR, which stabilizes the PDGF-C transcript by binding to two predicted AU-rich elements (AREs) in the 3'-untranslated region (3'-UTR). PMID: 25383675
- Concomitant upregulation of PDGF-C with VEGF in Glioblastoma tumor cells. PMID: 24612214
- The results indicate that PDGF-C upregulation and calpain-3 downregulation are involved in the aggressiveness of malignant melanoma and suggest that modulators of these proteins PMID: 24126726
- Platelet-derived growth factor-C (PDGF-C) induces anti-apoptotic effects on macrophages through Akt and Bad phosphorylation. PMID: 24421315
- Data indicate uPA (plau) and PAI1 (Serpine1) were up-regulated in human PDGF-C Tg mice, suggesting that uPA could be compensating for the loss of tissue-type plasminogen activator (tPA) activity in PDGF-C Tg; tpa KO mice. PMID: 24269585
- High PDGF-C expression induces progressive fibrosis, chronic inflammation, neoangiogenesis and sinusoidal congestion resulting in hepatocellular carcinoma. PMID: 23929039
- PDGF-C is both angiogenic and a neuronal survival factor, and it is an important component of neurovascular crosstalk. [Review] PMID: 23714575
- Results indicate that the alpha-SMA inducing effect of M2 macrophages is in part mediated by secretion of PGDF-CC. PMID: 23182716
- Single nucleotide polymorphisms in the PDGF-C gene are linked to the development of oral clefts. PMID: 23029525
- Platelet-derived growth factor-C (PDGF-C) activation by serine proteases. PMID: 22035541
- Melanoma cell-derived platelet-derived growth factor (PDGF)-AA and PDGF-CC were identified as major mediators that signal through PDGFR-alpha and thus induce HAS2-mediated HA synthesis in fibroblasts PMID: 21993555
- Data suggest that the variant rs1425486 genotype could differentially affect targeting by miR-425 in ovarian cancer cells leading to higher PDGFC expression. PMID: 21118967
- PDGFC mRNA expression were down-regulated in biopsies containing infiltrated lymphocytes or thyroiditis. PMID: 19968886
- Upregulation of PDGFC expression may contribute to the clonal expansion of fibroid-derived smooth muscle cells in the development of uterine fibroids. PMID: 19553600
- Data suggest that five novel genes, LUM, PDE3B, PDGF-C, NRG1 and PKD2, have great potential for predicting the efficacy of cisplatin-based chemotherapy against OSCC. PMID: 19569180
- Dominant negative PDGF-C inhibits growth of Ewing family tumor cell lines. PMID: 12032822
- determination of PDGFC expression levels in medulloblastoma tumor cell lines PMID: 12176024
- PDGF-C has a higher structural homology to the vascular endothelial growth factor than to PDGF-B PMID: 12598536
- PDGF-C is constitutively expressed in the human kidney and is upregulated in podocytes and interstitial cells after injury/activation of these cells. PMID: 12707385
- In adult human tissues, PDGF-C was largely in smooth muscle. It binds & activate alpha PDGFR, & activates beta PDGFR when it is co-expressed with alpha PDGFR through heterodimer formation. PDGF C is likely to play a role in platelet biology. PMID: 15061151
- Plays a role in tissue remodeling. PMID: 15389578
- PDGF-C transgenic mice represent a unique model for the study of hepatic fibrosis progressing to tumorigenesis PMID: 15728360
- determine the molecular mechanism of tPA-mediated activation of PDGF-C dimer PMID: 15911618
- Expression of PDGF-C in leiomyomata was significantly higher (approximately 2.4-fold) than in the adjacent normal myometrium. PMID: 17482170
- PDGF-C and PDGF-D, like PDGF-A and PDGF-B, play important roles in atherosclerosis by stimulating MMP activity and influencing monocyte migration PMID: 18573494
- A novel splice variant of human PDGF-C (PDGF-Cb), which encodes an N-terminally truncated protein, lacking the signal peptide and CUB domain, is reported. PMID: 18588873
- The PDGF-C regulatory region SNP rs28999109 decreases promoter transcriptional activity and is associated with cleft lip with or without cleft palate (CL/P) PMID: 19092777
- some tumors may overcome inhibition of VEGF-mediated angiogenesis through upregulation of PDGF-C PMID: 19111878
- PDGFC was identified as target of EWS/ETS transcriptionalderegulation specific to EWS/FLI-1 chimeras in the Ewing Family Tumors suggesting that it may be a significant mediator of EWS/FLI driven oncogenesis. PMID: 11313995
顯示更多
收起更多
-
亞細胞定位:Cytoplasm, cytosol. Secreted. Nucleus. Cytoplasmic granule. Cell membrane.
-
蛋白家族:PDGF/VEGF growth factor family
-
組織特異性:Expressed in the fallopian tube, vascular smooth muscle cells in kidney, breast and colon and in visceral smooth muscle of the gastrointestinal tract. Highly expressed in retinal pigment epithelia. Expressed in medulloblastoma. In the kidney, constitutive
-
數據庫鏈接:
Most popular with customers
-
-
YWHAB Recombinant Monoclonal Antibody
Applications: ELISA, WB, IHC, IF, FC
Species Reactivity: Human, Mouse, Rat
-
Phospho-YAP1 (S127) Recombinant Monoclonal Antibody
Applications: ELISA, WB, IHC
Species Reactivity: Human
-
-
-
-
-















