PDGFB Antibody
-
中文名稱:PDGFB兔多克隆抗體
-
貨號:CSB-PA911363
-
規格:¥1100
-
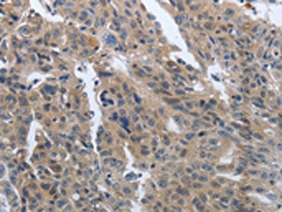
圖片:
-
The image on the left is immunohistochemistry of paraffin-embedded Human liver cancer tissue using CSB-PA911363(PDGFB Antibody) at dilution 1/40, on the right is treated with synthetic peptide. (Original magnification: ×200)
-
The image on the left is immunohistochemistry of paraffin-embedded Human ovarian cancer tissue using CSB-PA911363(PDGFB Antibody) at dilution 1/40, on the right is treated with synthetic peptide. (Original magnification: ×200)
-
-
其他:
產品詳情
-
Uniprot No.:
-
基因名:
-
別名:Becaplermin antibody; c sis antibody; FLJ12858 antibody; Oncogene SIS antibody; PDGF 2 antibody; PDGF B chain antibody; PDGF Beta antibody; PDGF subunit B antibody; PDGF-2 antibody; PDGF2 antibody; Pdgfb antibody; PDGFB_HUMAN antibody; Platelet derived growth factor 2 antibody; Platelet derived growth factor B chain antibody; Platelet derived growth factor beta antibody; Platelet derived growth factor beta polypeptide (oncogene SIS) antibody; Platelet derived growth factor beta polypeptide (simian sarcoma viral (v sis) oncogene homolog) antibody; Platelet derived growth factor beta polypeptide antibody; Platelet-derived growth factor B chain antibody; Platelet-derived growth factor beta polypeptide antibody; Platelet-derived growth factor subunit B antibody; Proto-oncogene c-Sis antibody; Simian sarcoma viral (v sis) oncogene homolog antibody; SIS antibody; SSV antibody; v sis platelet derived growth factor beta polypeptide antibody
-
宿主:Rabbit
-
反應種屬:Human,Mouse,Rat
-
免疫原:Synthetic peptide of Human PDGFB
-
免疫原種屬:Homo sapiens (Human)
-
標記方式:Non-conjugated
-
抗體亞型:IgG
-
純化方式:Antigen affinity purification
-
濃度:It differs from different batches. Please contact us to confirm it.
-
保存緩沖液:-20°C, pH7.4 PBS, 0.05% NaN3, 40% Glycerol
-
產品提供形式:Liquid
-
應用范圍:ELISA,IHC
-
推薦稀釋比:
Application Recommended Dilution ELISA 1:2000-1:10000 IHC 1:50-1:200 -
Protocols:
-
儲存條件:Upon receipt, store at -20°C or -80°C. Avoid repeated freeze.
-
貨期:Basically, we can dispatch the products out in 1-3 working days after receiving your orders. Delivery time maybe differs from different purchasing way or location, please kindly consult your local distributors for specific delivery time.
-
用途:For Research Use Only. Not for use in diagnostic or therapeutic procedures.
相關產品
靶點詳情
-
功能:Growth factor that plays an essential role in the regulation of embryonic development, cell proliferation, cell migration, survival and chemotaxis. Potent mitogen for cells of mesenchymal origin. Required for normal proliferation and recruitment of pericytes and vascular smooth muscle cells in the central nervous system, skin, lung, heart and placenta. Required for normal blood vessel development, and for normal development of kidney glomeruli. Plays an important role in wound healing. Signaling is modulated by the formation of heterodimers with PDGFA.
-
基因功能參考文獻:
- we identified two potential susceptibility loci for PC risk, which are located in PDGFB at 22q13.1 PMID: 29168174
- Treating HepG2 cells with hepatotoxicants resulted in a significant increase in mRNA expression of platelet-derived growth factor BB (PDGF-BB) and transforming growth factor beta (TGFbeta). PMID: 29558627
- The morphology and immunophenotype of all 6 cases was analogous to those with the canonical COL1A1-PDGFB fusion; none of the cases showed fibrosarcomatous transformation. This study illustrates that the COL6A3-PDGFD fusion product is rare in dermatofibrosarcoma protuberans, and associated with an apparent predilection for breast PMID: 30014607
- PDGF-B expression was found in ovarian tumor microvessels in 72% of cases. High expression of PDGF in pericapillary cells was strongly associated with high expression of this marker in cancer cells. Significant correlations between PDGF-B and nestin expression in malignant tumor microvessels were also found. PMID: 28397199
- SOX7 transcription factor mediates PDGF-BB-induced IL-33 expression. PMID: 27150562
- High expression of PDGF-BB may be involved in the pathogenesis of Graves' disease. CCR2-positive macrophages may induce the expression of PDGF-BB through HIF-1alpha signal. PMID: 29319128
- rhPDGF-BB promoted the proliferation of hADSCs via miR-363/PI3K/Akt pathway, indicating that rhPDGF-BB combined with ADSCs could treat Achilles tendinitis via miR-363/PI3K/Akt pathway. PMID: 28766166
- This study identifies the mbPDGF-BB in cell derived extracellular vesicles as a relevant mediator of diabetes-associated vascular smooth muscle cell resistance to apoptosis. PMID: 29386225
- This review showed that PDGFB was one of the common gene involved included with brain calcification. PMID: 28162874
- Rare Skin Tumor Dermatofibrosarcoma Protuberans (DFSP) is characterized by the translocation of the PDGFB gene to the collagen 1A1 gene. PMID: 28940884
- Transglutaminase type 2 affects cell migration through post-translational modification of PDGF-BB. PMID: 27633721
- PDGF-B rs1800818 polymorphism might play a role in mediating the susceptibility to severe fever with thrombocytopenia syndrome in Chinese individuals. PMID: 27147565
- PDAP-1 as an effecter of PDGF signaling in glioma cells PMID: 27448842
- High PDGFB expression is associated with gastric cancer. PMID: 28423550
- We observed that regenerating and necrotic muscle fibers in muscle biopsy samples from Duchenne muscular dystrophy patients expressed PDGF-BB. PMID: 28618254
- Elevated PDGFB expression was noted in 29% of patients with papillary renal cell carcinoma. PMID: 27989785
- high-throughput affinity plasma proteomic profiling is a valuable research strategy to identify potential candidate biomarkers for thrombosis-related disorders, and our study suggests a novel association of PDGFB plasma levels with venous thromboembolism. PMID: 27742707
- High PDGFB expression is associated with glioma. PMID: 26951930
- A cell-autonomous positive-signaling circuit is associated with the PDGF-NO-ID4-regulatory axis in glioblastoma cells. PMID: 28327358
- SphK1 is regulated by PDGF-BB in pulmonary artery smooth muscle cells via the transcription factor Egr-1, promoting cell proliferation. PMID: 27099350
- PDGF-BB regulates the proliferation and differentiation of human melanocytes in a differentiation-stage-specific manner. PMID: 27289338
- this study shows that the expression of PDGFB is significantly downregulated in keloid fibroblasts compared to normal human fibroblasts PMID: 27465069
- this study demonstrated that knockdown of SCARA5 inhibits PDGFBBinduced HASMC proliferation and migration through suppression of the PDGF signaling pathway. PMID: 27035566
- The simultaneous action of PDGF-B/PDGFRbeta and VEGF165b on the same type of receptor may explain the resistance to antiangiogenic therapy, which depends on the degree of modulation of PDGFRbeta phosphorylation. PMID: 27127135
- The expression of angiogenesis markers VEGF-A, VEGFR, PDGFbetabeta, PDGFR, CCND1 and CA9 was assessed by immunohistochemistry and correlated with overall survival and progression-free survival in patients with renal cell carcinoma undergoing therapy with Sunitinib, but no correlation was found between expression of angiogenesis markers and clinical outcome. PMID: 28011500
- ore than 65% of cases had PDGF-BB mRNA amplification, confirming immunohistochemical results. We herein validated PDGF-BB as a potential therapeutic and prognostic tool of ovarian cancer aggressiveness. PMID: 27807074
- Case Report: congenital atrophic dermatofibrosarcoma protuberans with COL1A1-PDGFB rearrangement. PMID: 26932148
- Placental endothelial cell-derived PDGF-BB recruits human placental multipotent mesenchymal stromal cells involved in vascular development via PDGFR-beta/STAT3 activation PMID: 26353894
- Suggest that PDGF-B signaling may play a role in endothelial and cardiomyocyte recovery from ischemia reperfusion injury after heart transplantation. PMID: 26371596
- Lessons from SLC20A2, PDGFB, and PDGFRB mutation carriers. Three causative genes have been identified: SLC20A2, PDGFRB and, recently, PDGFB, whose associated phenotype has not yet been extensively studied. PMID: 26129893
- loss-of-function mutations in PDGFB or PDGFRB cause Primary Familial Brain Calcification. PMID: 26599395
- Three factor model revealed significant gene-gene interaction for PDGFB +286A>G, PDGFB +1135A>C and HER2 Ile165Val SNPs with GBC. Protein-protein interaction showed significant association of PDGFB and HER2 with EGFR receptor signaling pathway. PMID: 26320430
- Regulation of Hyaluronan (HA) Metabolism Mediated by HYBID (Hyaluronan-binding Protein Involved in HA Depolymerization, KIAA1199) and HA Synthases in Growth Factor-stimulated Fibroblasts. PMID: 26518873
- Electron microscopy structure of PDGFRB [a full-length human platelet-derived growth factor receptor], in complex with its ligand PDGF-B. PMID: 26463591
- TM expression in corneal epithelium was modulated during the corneal wound healing process, and may be regulated by PDGF-BB. In addition, rTMD23 has therapeutic potential in corneal injury PMID: 25816372
- Our results demonstrated that PDGF-B tumor growth and progression in clear cell renal cell carcinoma PMID: 25766258
- PDGFB and IL18R1 represent plausible candidates for studying the pathophysiology of these disorders in the context of TLR4 activation PMID: 25327457
- TAZ promotes neuroblastoma cell proliferation and tumorigenicity through up-regulating the expression of PDGF-beta genes. PMID: 25940705
- Phloretin inhibits PDGF-BB-induced thoracic aorta smooth muscle cell proliferation and migration. PMID: 25945863
- COL1A1-PDGFbeta translocation is specific to dermatofibrosarcoma protuberans. Platelet-derived growth factor may have acted in an autocrine manner to cause cell division, which may have led to the development of dermatofibrosarcoma protuberans PMID: 25924890
- the present study, demonstrated for the first time, to the best of our knowledge, that ligustrazine downregulated PDGF-BB-induced VSMC proliferation and migration partly, at least, through inhibiting the activation of the ERK and P38 MAPK signaling. PMID: 25738255
- cytoplasmic expression of VEGF, VEGFR2, PDGF-B, and PDGFR-beta in RCC tumour cells is different in various pathologic stage and cell type. Notably, VEGF and PDGF-B expression are higher in papillary than in clear cell renal cell carcinoma. PMID: 25550804
- COL1A1-PDGFB is a useful and accurate tool in diagnosing DFSP[ Dermatofibrosarcoma protuberans ] in Koreans. PMID: 25683993
- Significant diurnal variations in platelet counts and TGF-b1 and PDGF-BB levels were not observed in platelet-rich plasma. PMID: 24878758
- Report lowered PDGF-BB levels in acute pancreatitis and increased PDGF-BB levels in chronic pancreatitis. PMID: 25278706
- rhPDGF-BB delivery on a collagen scaffold enhanced cellular proliferation and angiogenesis during the early phase of healing after rotator cuff repair. PMID: 25349036
- The mutation of PDGFB cause primary familial brain calcifications. PMID: 25212438
- Gain of PDGFB is associated with response to therapy in metastatic renal cell carcinoma. PMID: 24524969
- These results suggest that PDGF-BB promotes pulmonary artery smooth muscle cells proliferation and survival, which is likely to be mediated via the JNK pathway. PMID: 24804810
- PDGFB hypomethylation is a favourable prognostic biomarker in primary myelofibrosis. PMID: 25498506
顯示更多
收起更多
-
相關疾病:Basal ganglia calcification, idiopathic, 5 (IBGC5)
-
亞細胞定位:Secreted. Note=Released by platelets upon wounding.
-
蛋白家族:PDGF/VEGF growth factor family
-
組織特異性:Expressed at high levels in the heart, brain (sustantia nigra), placenta and fetal kidney. Expressed at moderate levels in the brain (hippocampus), skeletal muscle, kidney and lung.
-
數據庫鏈接:
Most popular with customers
-
-
YWHAB Recombinant Monoclonal Antibody
Applications: ELISA, WB, IHC, IF, FC
Species Reactivity: Human, Mouse, Rat
-
Phospho-YAP1 (S127) Recombinant Monoclonal Antibody
Applications: ELISA, WB, IHC
Species Reactivity: Human
-
-
-
-
-















