PCIF1 Antibody
-
中文名稱:PCIF1兔多克隆抗體
-
貨號:CSB-PA884471LA01HU
-
規格:¥440
-
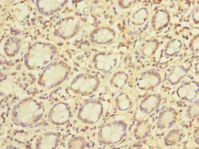
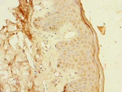
圖片:
-
其他:
產品詳情
-
產品名稱:Rabbit anti-Homo sapiens (Human) PCIF1 Polyclonal antibody
-
Uniprot No.:
-
基因名:
-
別名:bA465L10.1 antibody; C20orf67 antibody; Pcif1 antibody; PCIF1_HUMAN antibody; PDX1 C terminal inhibiting factor 1 antibody; Phosphorylated CTD interacting factor 1 antibody; Phosphorylated CTD-interacting factor 1 antibody
-
宿主:Rabbit
-
反應種屬:Human
-
免疫原:Recombinant Human Phosphorylated CTD-interacting factor 1 protein (201-500AA)
-
免疫原種屬:Homo sapiens (Human)
-
標記方式:Non-conjugated
本頁面中的產品,PCIF1 Antibody (CSB-PA884471LA01HU),的標記方式是Non-conjugated。對于PCIF1 Antibody,我們還提供其他標記。見下表:
-
克隆類型:Polyclonal
-
抗體亞型:IgG
-
純化方式:>95%, Protein G purified
-
濃度:It differs from different batches. Please contact us to confirm it.
-
保存緩沖液:Preservative: 0.03% Proclin 300
Constituents: 50% Glycerol, 0.01M PBS, PH 7.4 -
產品提供形式:Liquid
-
應用范圍:ELISA, IHC
-
推薦稀釋比:
Application Recommended Dilution IHC 1:20-1:200 -
Protocols:
-
儲存條件:Upon receipt, store at -20°C or -80°C. Avoid repeated freeze.
-
貨期:Basically, we can dispatch the products out in 1-3 working days after receiving your orders. Delivery time maybe differs from different purchasing way or location, please kindly consult your local distributors for specific delivery time.
-
用途:For Research Use Only. Not for use in diagnostic or therapeutic procedures.
相關產品
靶點詳情
-
功能:Cap-specific adenosine methyltransferase that catalyzes formation of N(6),2'-O-dimethyladenosine cap (m6A(m)) by methylating the adenosine at the second transcribed position of capped mRNAs. Recruited to the early elongation complex of RNA polymerase II (RNAPII) via interaction with POLR2A and mediates formation of m6A(m) co-transcriptionally.
-
基因功能參考文獻:
- Data suggest that phosphorylated CTD interacting factor 1 (PCIF1) may play a role in mRNA synthesis by modulating RNA polymerase II activity. PMID: 12565871
- These data suggest that icariin exerts its potent osteogenic effect through induction of Runx2 expression, production of BMP-4 and activation of BMP signaling. PMID: 18294453
- These results suggest that Pin1 may have overlapping cellular function with PCIF1. PMID: 19682092
-
亞細胞定位:Nucleus.
-
組織特異性:Ubiquitous.
-
數據庫鏈接:
Most popular with customers
-
-
YWHAB Recombinant Monoclonal Antibody
Applications: ELISA, WB, IHC, IF, FC
Species Reactivity: Human, Mouse, Rat
-
Phospho-YAP1 (S127) Recombinant Monoclonal Antibody
Applications: ELISA, WB, IHC
Species Reactivity: Human
-
-
-
-
-















