PAEP Antibody
-
中文名稱:PAEP兔多克隆抗體
-
貨號:CSB-PA017381LA01HU
-
規格:¥440
-
圖片:
-
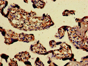
Immunohistochemistry of paraffin-embedded human placenta tissue using CSB-PA017381LA01HU at dilution of 1:100
-
Immunoprecipitating PAEP in 293T whole cell lysate
Lane 1: Rabbit control IgG instead of CSB-PA017381LA01HU in 293T whole cell lysate. For western blotting, a HRP-conjugated Protein G antibody was used as the secondary antibody (1/2000)
Lane 2: CSB-PA017381LA01HU (8μg) + 293T whole cell lysate (500μg)
Lane 3: 293T whole cell lysate (10μg)
-
-
其他:
產品詳情
-
產品名稱:Rabbit anti-Homo sapiens (Human) PAEP Polyclonal antibody
-
Uniprot No.:
-
基因名:PAEP
-
別名:Alpha uterine protein antibody; gD antibody; GdA antibody; GdF antibody; GdS antibody; Glycodelin A antibody; Glycodelin antibody; Glycodelin F antibody; Glycodelin S antibody; MGC138509 antibody; MGC142288 antibody; PAEG antibody; PAEP antibody; PAEP_HUMAN antibody; PEG antibody; PEP antibody; Placental Protein 14 / Glycodelin A antibody; Placental protein 14 antibody; PP14 antibody; Pregnancy-associated endometrial alpha-2 globulin antibody; Progestagen-associated endometrial protein antibody; Progesterone-associated endometrial protein antibody
-
宿主:Rabbit
-
反應種屬:Human
-
免疫原:Recombinant Human Glycodelin protein (19-180AA)
-
免疫原種屬:Homo sapiens (Human)
-
標記方式:Non-conjugated
本頁面中的產品,PAEP Antibody (CSB-PA017381LA01HU),的標記方式是Non-conjugated。對于PAEP Antibody,我們還提供其他標記。見下表:
-
克隆類型:Polyclonal
-
抗體亞型:IgG
-
純化方式:>95%, Protein G purified
-
濃度:It differs from different batches. Please contact us to confirm it.
-
保存緩沖液:Preservative: 0.03% Proclin 300
Constituents: 50% Glycerol, 0.01M PBS, pH 7.4 -
產品提供形式:Liquid
-
應用范圍:ELISA, IHC, IP
-
推薦稀釋比:
Application Recommended Dilution IHC 1:20-1:200 IP 1:200-1:2000 -
Protocols:
-
儲存條件:Upon receipt, store at -20°C or -80°C. Avoid repeated freeze.
-
貨期:Basically, we can dispatch the products out in 1-3 working days after receiving your orders. Delivery time maybe differs from different purchasing way or location, please kindly consult your local distributors for specific delivery time.
-
用途:For Research Use Only. Not for use in diagnostic or therapeutic procedures.
相關產品
靶點詳情
-
功能:Glycoprotein that regulates critical steps during fertilization and also has immunomonomodulatory effects. Four glycoforms, namely glycodelin-S, -A, -F and -C have been identified in reproductive tissues that differ in glycosylation and biological activity. Glycodelin-A has contraceptive and immunosuppressive activities. Glycodelin-C stimulates binding of spermatozoa to the zona pellucida. Glycodelin-F inhibits spermatozoa-zona pellucida binding and significantly suppresses progesterone-induced acrosome reaction of spermatozoa. Glycodelin-S in seminal plasma maintains the uncapacitated state of human spermatozoa.
-
基因功能參考文獻:
- serum levels higher in preeclamptic group as compared to controls and higher in severe than in mild preeclampsia PMID: 28738719
- This study indicate that GdA is a complex glycoprotein including up to 6 different glycoforms specifically expressed during the different phase of the menstrual cycle; in pathologic conditions such as endometriosis, the expression profile is altered possibly related to the impaired endometrial receptivity. PMID: 28683601
- The results from the present study suggested that PP14 may be a novel potential biomarker for PPROM, and may be developed into a lateral flow assay for bedside application to rapidly diagnose PPROM. PMID: 29749501
- PKCdelta, via MAPK pathway, is involved in the glycodelin-driven cell differentiation. PMID: 27373413
- inverse relationship between glycodelin immunostaining and cervical intraephitelial neoplasia grade in pregnant patients PMID: 26631447
- the role of glycodelin-A in placental development and fetomaternal tolerance in early pregnancy. PMID: 26757357
- Altogether, the comprehensive characterization of glycodelin in non-small cell lung cancer provides strong support for its use as a biomarker with immune modulatory function. PMID: 25901080
- The current study investigates the role of melanoma cell-secreted PAEP protein in regulating T cell function. PMID: 25785839
- The dimeric crystal structure of the human fertility lipocalin glycodelin reveals a protein scaffold for the presentation of complex glycans. PMID: 25422905
- Glycodelin-A treatment reduces the adverse effect of macrophage co-culture on human sperm motility. PMID: 24733737
- Three months after myomectomy, endometrial glycodelin levels are significantly increased in infertile women with myoma. PMID: 24518545
- Glycodelin-A binds to KLF11 and is differentially activated and repressed by KLF11 in ovarian endometrium. PMID: 24060634
- Gd and GdA are commonly expressed in endometrial cancer tissue and seem to be of relevance in tumourigenesis. PMID: 24377825
- Results suggest that PP-14 may play an important role in the pathogenesis of endometriosis. PMID: 23670949
- Serum glycodelin levels did not predict endometrial receptivity in patients undergoing in vitro fertilization. PMID: 23585335
- Glycodelin-A is a potentially useful biomarker for ovarian endometriosis PMID: 23461865
- The glycodelin A sequence from Met24 to Leu105 is necessary and sufficient to inhibit proliferation of T cells and induce apoptosis in them. PMID: 23392770
- Glycodelin A was found to be an independent prognostic marker for poor prognosis in advanced ovarian cancer patients. PMID: 23036050
- Data suggest that, in post-menarche girls (13-19 years) with endometriosis, peritoneal fluid levels of glycodelin A, IL-6 (interleukin-6), and TNF-alpha (tumor necrosis factor-alpha) are significantly higher than in control subjects. PMID: 22563871
- GdA reduces the surface expression of the high-affinity IL-2R complex by down-regulating the synthesis of IL-2Ralpha (CD25). PMID: 22313865
- GdA induces translocation of beta-catenin molecules promoting cell-to-cell adhesion and formation of adherents junctions through cytoskeletal reorganization and promoting angiogenesis. PMID: 21999200
- Native glycodelin-A binds to peripheral blood monocytes inducing interleukin-6 secretion through L-selectin. PMID: 22977256
- data suggest a possible function of glycodelin-A in mediating cytotrophoblast differentiation PMID: 22748851
- A significant association between tumoral levels of glycodelin and AhR (p=0.002) in breast cancers. PMID: 22296396
- Preoperative glycodelin is lower in patients with uterine polyps than in menorrhagia, but increase postoperatively. This could explain the pathophysiological mechanisms for impaired endometrial receptivity in the presence of endometrial polyps. PMID: 22239027
- glycodelin plays an important role in the pathogenesis of lung cancer and lung metastases PMID: 21168900
- GdA interacts with Siglec-6 to suppress trophoblast invasiveness by down-regulating the ERK/c-Jun signaling pathway. PMID: 21880722
- Gene expression analysis revealed a correlation between progestagen-associated endometrial protein expression in sporadic and familial non-BRCA1/2 breast cancers PMID: 20676758
- At ovulation (day LH + 1), glycodelin concentration is increased in endometrium (and thus in endometrial flushing fluid) of infertile women with abnormal fallopian tubes compared to fertile controls. PMID: 21292383
- GdA (not GdC, GdS, or deglycosylated GdA) up-regulates expression of Fas, suppresses MAPK signaling, and enhances cell death in isolated Th-1 cells (but not Th-2 cells). These data suggest GdA may contribute to Th-2/Th-1 shift as seen in pregnancy. PMID: 21227941
- significant differences in glycodelin and IL-10 between the fibroid and the control group suggesting that submucous fibroids may have an adverse effect on endometrial receptivity. PMID: 20880745
- PP14 arrests T cells in a unique activated state that is not accompanied with the acquisition of effector function. PMID: 20886106
- we propose that GdA in the oviductal fluid binds to spermatozoa, potentiating them for zona pellucida-induced acrosome reaction via the cAMP/PKA/ERK/IP3R1 pathway PMID: 20843776
- These data strongly implicate the PAEP gene as a tumour growth promoter with oncogenic properties and a potential therapeutic target for patients with advanced melanoma. PMID: 19799645
- GdA plays a protective role during pregnancy by regulating the cytolytic activity of CD8(+) T cells. PMID: 20638131
- glycodelin-A contributes to the cytokine shift in early pregnancy PMID: 19945098
- analysis of glycodelin expression in correlation to grading, nodal involvement and steroid receptor expression in human breast cancer patients PMID: 20592348
- glycodelin-A expression is correlated to grading and staging in ovarian carcinoma tissue PMID: 20592354
- enables the spermatozoa to become more competent in fertilization; review PMID: 19857900
- In the endometrium, both Glycodelin and Plexin-B1 are exhibiting a cyclic pattern suggesting a possible steroid regulation and a role in endometrial receptivity PMID: 20040080
- Patients with severe dysmenorrhoea had increased peritoneal fluid TNF-alpha and glycodelin. TNF-alpha and glycodelin may play role in endometriosis and severity of menstrual pain. PMID: 19903048
- Synthesized in the granulosa cells at late secondary follicle stage; function in the ovarian follicle PMID: 11818517
- PP14 is a soluble regulatory protein that dampens T cell responses by its physical presence in the contact site at the time of T cell receptor triggering. PMID: 11884441
- uterine glycodelin flushings are elevated in patients with both polyps and leiomyomas; elevated glycodelin levels in the follicular and peri-ovulatory period may impair fertilization and implantation PMID: 12351556
- new immunoregulatory model for PP14: one of its surface molecular targets, CD45, mediates its T cell inhibitory activity, accounting for the intriguing capacity of PP14 to elevate TCR activation thresholds and thereby down-regulate T cell activation PMID: 12556471
- Oxidants and antioxidants affect the expression of glycodelin PMID: 12654469
- ZIF-1 is a differentially glycosylated isoform of glycodelin that potently inhibits human sperm-egg interaction. PMID: 12672671
- PP14 as a soluble regulatory factor capable of interacting with both T and B cells in a carbohydrate-dependent manner and as a result it can affect both cellular and humoral immune responses. PMID: 12826085
- protein is apoptotically inactive in the non-sialylated form: differential glycosylation modulates the function of the different glycodelin isoforms. PMID: 14679205
- During first trimester, serum glycodelin and IGFBP-1 are markedly decreased in polycystic ovary syndrome(PCOS), implicating endometrial epithelial and stromal dysfunction during periimplantation and early pregnancy in early pregnancy loss. PMID: 14764802
顯示更多
收起更多
-
亞細胞定位:Secreted.
-
蛋白家族:Calycin superfamily, Lipocalin family
-
組織特異性:This protein is, the main protein synthesized and secreted in the endometrium from mid-luteal phase of the menstrual cycle and during the first semester of pregnancy. Glycodelin-A is expressed in amniotic fluid, endometrium/decidua and maternal serum (at
-
數據庫鏈接:
Most popular with customers
-
-
YWHAB Recombinant Monoclonal Antibody
Applications: ELISA, WB, IHC, IF, FC
Species Reactivity: Human, Mouse, Rat
-
-
-
-
-
-















