OXT Antibody
-
中文名稱:OXT兔多克隆抗體
-
貨號:CSB-PA017315LA01HU
-
規格:¥440
-
圖片:
-
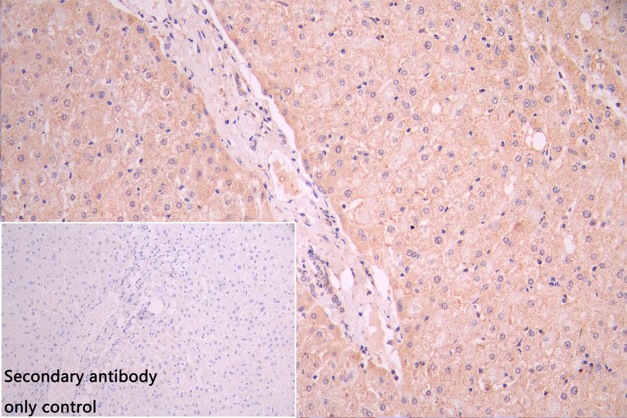
IHC image of CSB-PA017315LA01HU diluted at 1:50 and staining in paraffin-embedded human Liver tissue performed on a Leica BondTM system. After dewaxing and hydration, antigen retrieval was mediated by high pressure in a citrate buffer (pH 6.0). Section was blocked with 10% normal goat serum 30min at RT. Then primary antibody (1% BSA) was incubated at 4°C overnight. The primary is detected by a Goat anti-rabbit polymer IgG labeled by HRP and visualized using 0.05% DAB. Secondary antibody only control: uses 1% BSA instead of primary antibody
-
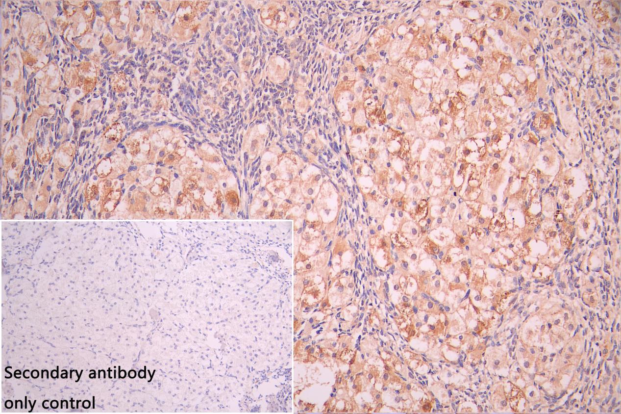
IHC image of CSB-PA017315LA01HU diluted at 1:50 and staining in paraffin-embedded human ovarian tissue performed on a Leica BondTM system. After dewaxing and hydration, antigen retrieval was mediated by high pressure in a citrate buffer (pH 6.0). Section was blocked with 10% normal goat serum 30min at RT. Then primary antibody (1% BSA) was incubated at 4°C overnight. The primary is detected by a Goat anti-rabbit polymer IgG labeled by HRP and visualized using 0.05% DAB. Secondary antibody only control: uses 1% BSA instead of primary antibody
-
-
其他:
產品詳情
-
產品描述:
The rabbit anti-human OXT polyclonal antibody is an IgG produced by immunizing rabbits with the recombinant human Oxytocin-neurophysin 1 protein (27-123aa). Oxytocin-neurophysin 1 protein is primarily responsible for the synthesis and transport of the hormone oxytocin, which is a peptide hormone that plays a crucial role in various physiological processes such as social bonding, childbirth, lactation, and sexual reproduction. This OXT polyclonal antibody underwent protein G affinity chromatography purification, getting a purity of up to 95%.
This OXT antibody is designed to specifically bind to human and mouse OXT proteins and is recommended for use in ELISA, WB, IHC, and IF applications to detect and measure the levels of OXT protein.
-
產品名稱:Rabbit anti-Homo sapiens (Human) OXT Polyclonal antibody
-
Uniprot No.:
-
基因名:
-
別名:OXT antibody; OT antibody; Oxytocin-neurophysin 1 antibody; OT-NPI) [Cleaved into: Oxytocin antibody; Ocytocin); Neurophysin 1] antibody
-
宿主:Rabbit
-
反應種屬:Human
-
免疫原:Recombinant Human Oxytocin-neurophysin 1 protein (27-123AA)
-
免疫原種屬:Homo sapiens (Human)
-
標記方式:Non-conjugated
本頁面中的產品,OXT Antibody (CSB-PA017315LA01HU),的標記方式是Non-conjugated。對于OXT Antibody,我們還提供其他標記。見下表:
-
克隆類型:Polyclonal
-
抗體亞型:IgG
-
純化方式:Antigen?affinity?purification
-
濃度:It differs from different batches. Please contact us to confirm it.
-
保存緩沖液:Preservative: 0.03% Proclin 300
Constituents: 50% Glycerol, 0.01M PBS, pH 7.4 -
產品提供形式:Liquid
-
應用范圍:ELISA, IHC
-
推薦稀釋比:
Application Recommended Dilution IHC 1:50-1:200 -
Protocols:
-
儲存條件:Upon receipt, store at -20°C or -80°C. Avoid repeated freeze.
-
貨期:Basically, we can dispatch the products out in 1-3 working days after receiving your orders. Delivery time maybe differs from different purchasing way or location, please kindly consult your local distributors for specific delivery time.
-
用途:For Research Use Only. Not for use in diagnostic or therapeutic procedures.
相關產品
靶點詳情
-
功能:Neurophysin 1 specifically binds oxytocin.; Oxytocin causes contraction of the smooth muscle of the uterus and of the mammary gland. Acts by binding to oxytocin receptor (OXTR).
-
基因功能參考文獻:
- The results suggest that there is an age-dependent association between visual attention for social cues and oxytocin (OT) levels in infants and children, and that the development of visual attention to the eyes as social cues is associated with both OXTR polymorphisms and OT levels. PMID: 28566712
- Although some SNPs were associated at an alpha level of .05 with breastfeeding, they did not survive multiple testing correction. Authors conclude that SNPs within or nearby OXT and OXTR are unlikely to have large effects on breastfeeding behavior. PMID: 29412506
- Oxytocin gene polymorphisms and parenting G x E interaction on social anxiety levels in adolescents. PMID: 28606214
- serum oxytocin levels were higher among women than men and were negatively associated with strength of belief in life after death PMID: 26898770
- A significant moderating effect of OXT genotype (rs2740210) on the relationship between social support and psychiatric distress was detected PMID: 29040351
- findings suggested more significant plasma oxytocin dysregulation in the patients in the bipolar II disorder group than in the major depressive disorder patients and controls, both before and after treatment PMID: 28865715
- Oxytocin level did not vary significantly between healthy controls, healthy controls with a history of sexual abuse, and psychogenic non-epileptic seizure patients with a history of sexual abuse. PMID: 28927333
- These results suggest that OXT and OXTR are controlled mainly by E2 in the placenta via ESR1 and thus may play physiological functions in the human placenta during the late stage of pregnancy. PMID: 28694300
- Study found a higher expression of paraventricular nucleus OXT in the mood disorder patients than in the control subjects, and observed a clear co-localization of androgen receptor in OXT-expressing neurons, both in the cytoplasm and in the nucleus. In addition, a significant decrease in OXT-mRNA levels was observed after pre-incubation of the SK-N-SH cells with testosterone. PMID: 28447621
- Serum and prostatic oxytocin levels are increased in the PCa subjects. Serum oxytocin level may be a biomarker for PCa in the future. Oxytocin increases PCa growth and APPL1 expression. PMID: 28415720
- Obese children had significantly higher irisin and lower oxytocin levels than the healthy controls. PMID: 28077341
- study found that rs6133010 in the OXT gene is associated with alcohol dependence in the northern Chinese Han population PMID: 27818356
- OXT levels were lowest in anorexia nervosa, higher in healthy controls, and highest in obesity. There were positive associations between OXT and body mass index, total, visceral, and subcutaneous fat, and bone mineral density. PMID: 28586943
- epigenetic modification of OXT is linked to several overt measures of sociability PMID: 27325757
- Hormonal changes in estradiol, progesterone, or oxytocin do not predict differences in the pain perception of women in the peripartum or postpartum period. PMID: 27028773
- Oxytocin prevents cartilage matrix destruction via regulating MMP1 and MMP13. PMID: 28238786
- Low oxytocin expression is associated with diabetic metabolic syndrome. PMID: 27578619
- Oxytocin levels were lower in autistic patients compared to controls. PMID: 26739971
- Children with Prader-Willi syndrome have elevated plasma oxytocin levels. PMID: 26615966
- This is the first known study to show a significant association between callous unemotional traits in children and adolescents with extreme, persistent pervasive aggression and a polymorphism on the oxytocin receptor. PMID: 22294460
- Oxytocin serum levels with Attention Deficit Hyperactivity Disorder were significantly decreased compared with controls. PMID: 26168929
- reviews the role of OT in the control mechanisms of sexual behavior. PMID: 25088178
- Oxytocin activates NF-kappaB-mediated inflammatory pathways in human gestational tissues in normal parturition. PMID: 25451977
- Report for the first time of a significant genetic association of OXT and AVP with schizophrenia PMID: 21899794
- nominal associations were found between autism spectrum disorder scores and single-nucleotide polymorphisms in OXT, ARNT2 and CD38 PMID: 24635660
- findings suggest that experiences of childhood emotional maltreatment may alter salivary oxytocin levels, which in turn are related to more positive perceptions of infant stimuli with positive emotion PMID: 24768649
- Patients with poor outcome after aneurysmal subarachnoid hemorrhage have lower AVP and OXT levels in cerebrospinal fluid. PMID: 24412107
- dysregulation of OXT, AVP and/or testosterone systems exist in mothers of autistic children. PMID: 24086383
- OXT rs2740210 interacted with early life adversity to predict variation in breastfeeding duration and postpartum depression. PMID: 23941164
- Women with low OT may not effectively interpret and utilize available support resources, which may be associated with sleep disturbances PMID: 23799864
- Oxytocin plays an important role in modulation of social bonding processes and stress regulation, and may be crucially involved in the promotion of mental health. Review. PMID: 23856187
- Data from women undergoing hysterectomy for uterine fibroids suggest that uterine isthmian-cervical myoma pseudocapsules exhibit substantial nerve fibers expressing OXT; uterine fundal myoma pseudocapsules exhibit few nerve fibers expressing OXT. PMID: 23937196
- Data suggest that that OXT enhances pro-social behavior by influencing complex brain networks involved in self-referential processing and affectionate touch, most prominently in individuals with supportive family experiences in childhood. PMID: 23453164
- findings suggest that oxytocin might not promote human bond formation in ways analogous to prairie voles - that is, by inducing a partner preference effect PMID: 22920910
- OT increases covert attention to happy faces, thereby supporting the hypothesis that OT modulates early attentional processes that might promote prosocial behavior in healthy men. PMID: 23146328
- In couples, relationship quality had a small, marginally significant inverse association with plasma oxytocin levels. PMID: 22543270
- polymorphisms in OXT associate with both infant-directed vocalizing and maternal instrumental care. PMID: 23637833
- Results indicate that oxytocin, beyond its role in social bonding, regulates non-homeostatic, reward-related energy intake, hypothalamic-pituitary-adrenal axis activity, and the glucoregulatory response to food intake in humans. PMID: 23835346
- OT inhibits neuroadaptation to and withdrawal from alcohol. PMID: 23025690
- OT is a regulator of the PI3K/Akt/mTORC1 pathway in Caco2BB cells and may modulate translation in gut cells. PMID: 23410756
- kisspeptin-10 transiently excites oxytocin neurons in late pregnancy and during lactation, suggesting that a central kisspeptin excitation of oxytocin neurons emerges at the end of pregnancy PMID: 23550008
- Women who perceived low cognitive social capital showed higher oxytocin levels, while structural social capital showed inverse-U shape association with oxytocin. No association between oxytocin and social capital was found among men. PMID: 23284856
- oxytocin and argipressin have been referred to as "social" neuropeptides as they have a highly conserved role as mediators of complex social cognition and interaction in both animals and humans PMID: 23589638
- The study links defense-motivated competition to oxytocin, a hypothalamic neuropeptide involved in reproduction and social bonding. PMID: 23144787
- Results show low plasma oxytocin levels in patients with generalized social anxiety disorder compared to controls during a prosocial laboratory task paradigm. PMID: 22807189
- Data suggest that nocturnal oxytocin secretion is low in amenorrheic athletes compared with nonathletes and is associated with site-dependent microarchitectural parameters of bone (tibia [weight-bearing]; radius [non-weight-bearing]). PMID: 23258269
- [review] The OT system functions as an important element within a complex, developmentally sensitive biobehavioral system. PMID: 21984889
- Data suggest that plasma oxytocin is lower in subjects with uncontrolled type 2 diabetes along with psychoticism, somatization, or obsessionality as compared with subjects with controlled type 2 diabetes. PMID: 22997507
- first evidence or relationship between plasma oxytocin level and expression of SERT (serotonin transporter) on platelet membranes PMID: 22297159
- Oxytocin may be involved in the pathophysiology of anorexia. PMID: 22872688
顯示更多
收起更多
-
亞細胞定位:Secreted.
-
蛋白家族:Vasopressin/oxytocin family
-
數據庫鏈接:
Most popular with customers
-
-
YWHAB Recombinant Monoclonal Antibody
Applications: ELISA, WB, IHC, IF, FC
Species Reactivity: Human, Mouse, Rat
-
Phospho-YAP1 (S127) Recombinant Monoclonal Antibody
Applications: ELISA, WB, IHC
Species Reactivity: Human
-
-
-
-
-















