OSTN Antibody
-
中文名稱:OSTN兔多克隆抗體
-
貨號:CSB-PA017269LA01HU
-
規格:¥440
-
圖片:
-
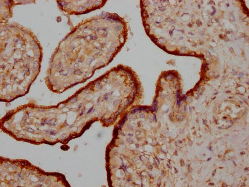
IHC image of CSB-PA017269LA01HU diluted at 1:200 and staining in paraffin-embedded human placenta tissue performed on a Leica BondTM system. After dewaxing and hydration, antigen retrieval was mediated by high pressure in a citrate buffer (pH 6.0). Section was blocked with 10% normal goat serum 30min at RT. Then primary antibody (1% BSA) was incubated at 4°C overnight. The primary is detected by a Goat anti-rabbit IgG labeled by HRP and visualized using 0.05% DAB.
-
-
其他:
產品詳情
-
產品名稱:Rabbit anti-Homo sapiens (Human) OSTN Polyclonal antibody
-
Uniprot No.:
-
基因名:OSTN
-
別名:Osteocrin (Musclin) [Cleaved into: Processed Osteocrin], OSTN
-
宿主:Rabbit
-
反應種屬:Human
-
免疫原:Recombinant Human Osteocrin protein (28-133aa)
-
免疫原種屬:Homo sapiens (Human)
-
標記方式:Non-conjugated
本頁面中的產品,OSTN Antibody (CSB-PA017269LA01HU),的標記方式是Non-conjugated。對于OSTN Antibody,我們還提供其他標記。見下表:
-
克隆類型:Polyclonal
-
抗體亞型:IgG
-
純化方式:>95%, Protein G purified
-
濃度:It differs from different batches. Please contact us to confirm it.
-
保存緩沖液:Preservative: 0.03% Proclin 300
Constituents: 50% Glycerol, 0.01M PBS, pH 7.4 -
產品提供形式:Liquid
-
應用范圍:ELISA, IHC
-
推薦稀釋比:
Application Recommended Dilution IHC 1:100-1:500 -
Protocols:
-
儲存條件:Upon receipt, store at -20°C or -80°C. Avoid repeated freeze.
-
貨期:Basically, we can dispatch the products out in 1-3 working days after receiving your orders. Delivery time maybe differs from different purchasing way or location, please kindly consult your local distributors for specific delivery time.
-
用途:For Research Use Only. Not for use in diagnostic or therapeutic procedures.
相關產品
靶點詳情
-
功能:Hormone that acts as a regulator of dendritic growth in the developing cerebral cortex in response to sensory experience. Induced in the brain following membrane depolarization and inhibits dendritic branching in neurons of the developing cortex. Probably acts by binding to natriuretic peptide receptor NPR3/NPR-C, thereby preventing binding between NPR3/NPR-C and natriuretic peptides, leading to increase cGMP production.
-
基因功能參考文獻:
- The circulating concentration of musclin was significantly increased in type 2 diabetes mellitus patients. Results suggest that musclin has a strong relationship with insulin resistance in type 2 diabetes mellitus. PMID: 28185530
- findings suggest that, in response to sensory input, OSTN regulates features of neuronal structure and function that are unique to primates PMID: 27830782
- osteocrin represents a novel, unique vitamin D-regulated bone-specific protein that appears to act as a soluble osteoblast regulator PMID: 14523025
- Foxo1 downregulates musclin mRNA expression both in vitro and in vivo, which should explain insulin-mediated upregulation of this gene in muscle cells. PMID: 17950246
- Ostn is a naturally occurring ligand of the NPR-C clearance receptor and may act to locally modulate the actions of the natriuretic system in bone by blocking the clearance action of NPR-C, thus locally elevating levels of C-type natriuretic peptide. PMID: 17951249
- Observational study of gene-disease association. (HuGE Navigator) PMID: 19453261
顯示更多
收起更多
-
亞細胞定位:Secreted.
-
蛋白家族:Osteocrin family
-
組織特異性:Enriched in neocortical regions of the developing cerebral cortex. Not expressed in other compartments of the neocortical wall or in brain regions such as the hippocampus, striatum, mediodorsal nucleus of the thalamus and cerebellum. Also expressed in bon
-
數據庫鏈接:
Most popular with customers
-
YWHAB Recombinant Monoclonal Antibody
Applications: ELISA, WB, IHC, IF, FC
Species Reactivity: Human, Mouse, Rat
-
Phospho-YAP1 (S127) Recombinant Monoclonal Antibody
Applications: ELISA, WB, IHC
Species Reactivity: Human
-
-
-
-
-
-















