ORM1 Antibody
-
中文名稱:ORM1兔多克隆抗體
-
貨號:CSB-PA017237LA01HU
-
規格:¥440
-
圖片:
-
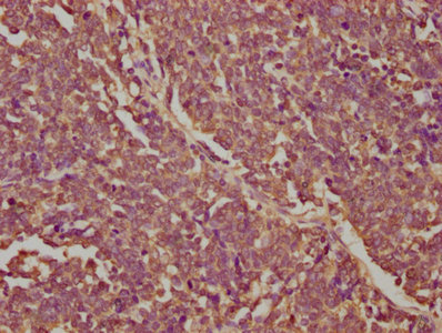
IHC image of CSB-PA017237LA01HU diluted at 1:320 and staining in paraffin-embedded human lung cancer performed on a Leica BondTM system. After dewaxing and hydration, antigen retrieval was mediated by high pressure in a citrate buffer (pH 6.0). Section was blocked with 10% normal goat serum 30min at RT. Then primary antibody (1% BSA) was incubated at 4°C overnight. The primary is detected by a biotinylated secondary antibody and visualized using an HRP conjugated SP system.
-
-
其他:
產品詳情
-
產品名稱:Rabbit anti-Homo sapiens (Human) ORM1 Polyclonal antibody
-
Uniprot No.:
-
基因名:ORM1
-
別名:A1AG1_HUMAN antibody; AGP 1 antibody; AGP A antibody; AGP antibody; AGP1 antibody; Alpha 1 acid glycoprotein antibody; Alpha-1-acid glycoprotein 1 antibody; alpha-1-AGP antibody; Epididymis secretory sperm binding protein Li 153w antibody; glycoprotein; alpha-1-acid; of serum antibody; HEL S 153w antibody; OMD 1 antibody; ORM antibody; ORM1 antibody; Orosomucoid 1 antibody; Orosomucoid-1 antibody
-
宿主:Rabbit
-
反應種屬:Human
-
免疫原:Recombinant Human Alpha-1-acid glycoprotein 1 protein (19-201AA)
-
免疫原種屬:Homo sapiens (Human)
-
標記方式:Non-conjugated
本頁面中的產品,ORM1 Antibody (CSB-PA017237LA01HU),的標記方式是Non-conjugated。對于ORM1 Antibody,我們還提供其他標記。見下表:
-
克隆類型:Polyclonal
-
抗體亞型:IgG
-
純化方式:>95%, Protein G purified
-
濃度:It differs from different batches. Please contact us to confirm it.
-
保存緩沖液:Preservative: 0.03% Proclin 300
Constituents: 50% Glycerol, 0.01M PBS, pH 7.4 -
產品提供形式:Liquid
-
應用范圍:ELISA, IHC
-
推薦稀釋比:
Application Recommended Dilution IHC 1:200-1:500 -
Protocols:
-
儲存條件:Upon receipt, store at -20°C or -80°C. Avoid repeated freeze.
-
貨期:Basically, we can dispatch the products out in 1-3 working days after receiving your orders. Delivery time maybe differs from different purchasing way or location, please kindly consult your local distributors for specific delivery time.
-
用途:For Research Use Only. Not for use in diagnostic or therapeutic procedures.
相關產品
靶點詳情
-
功能:Functions as transport protein in the blood stream. Binds various ligands in the interior of its beta-barrel domain. Also binds synthetic drugs and influences their distribution and availability in the body. Appears to function in modulating the activity of the immune system during the acute-phase reaction.
-
基因功能參考文獻:
- Studies suggest plasma alpha-1-acid glycoprotein (AAG) as a potential predictive biomarker of docetaxel non-haematological AEs namely oral mucositis and rash. PMID: 28554261
- Data provide evidence that Orm1 is induced in response to hepatic injury and executes liver regeneration by activating cell cycle progression in hepatocytes. PMID: 28927749
- Data suggest that serum haptoglobin, fetuin-A, platelet factor-4, hs-CRP (high sensitive-C-reactive protein), SAP (serum amyloid P), AGP (alpha1-acid glycoprotein) levels of adolescents with metabolic syndrome are significantly higher than those of controls subjects. PMID: 27754964
- Results indicate that advanced extranodal NK/T cell lymphoma (ENKL) patients with unfavourable treatment outcomes displayed higher levels of S100A9 and ORM1. PMID: 27021626
- Glycosylated Alpha-1-acid glycoprotein 1 is ostensibly expressed in lung cancer patients and is a potential lung cancer serum biomarker. PMID: 26563422
- Altogether, these results indicate that alpha1-3 fucosylated glycoforms of AGP are increased in PDAC and could be potentially regarded as a PDAC biomarker. PMID: 26563517
- The results of this study suggest that the expression of VEGF-A and ORM-1 may be associated with two mechanisms (angiogenesis and tumor structural viscosity) that may influence tumor growth in odontogenic myxoma. PMID: 26193215
- Data suggest that human serum albumin (HSA) might serve as a carrier in delivering chitooligomers to target tissues than alpha-1-glycoprotein (AGP) which has pharmacological importance PMID: 24359035
- ORM1 stimulates quiescent monocytes to polarize to M2b monocytes. PMID: 25689617
- Identify ORM genetic variations/haplotype structure associated with serum alpha-1-acid glycoprotein level and the pharmacokinetics of paclitaxel in Japanese cancer patients. PMID: 21638284
- Data indicate that the band intensity of sialic acid content in alpha-1 Acid glycoprotein (AGP) of alcoholic liver cirrhosis was found to be lower than that in pooled control group. PMID: 25408356
- These findings suggest that the ORM distal promoter region differentially regulates expression of ORM genes at basal level and in acute phase responses. PMID: 24389491
- Identified is the ORM1 gene, coding for orosomucoid, as a novel locus associated with lag time variability, reflecting the initiation process of thrombin generation. PMID: 24357727
- analysing the glycosylation of AGP in patients receiving methadone may aid in determining whether the therapy is likely to be effective. PMID: 23936770
- The ORM1 A113G polymorphism was associated with the PKs variability after taking telmsiartan, as well as ABCC2 C3972T. The heterozygotes of ORM1 113AG showed a larger AUC and a notable BP change(%) from the baseline compared with the wild-type. PMID: 23940561
- The ORM1 may be considered as a signaling molecule involved in the maintenance of tissue homeostasis and remodeling. PMID: 23973664
- A cross-sectional study was conducted to evaluate the relationship between periodontitis and the common systemic inflammatory markers in 32 morbidly obese patients. The severity of periodontitis was associated with the plasma level of orosomucoid. PMID: 23526947
- Drug-binding energetics of human alpha-1-acid glycoprotein. PMID: 23192962
- AGP has a direct effect in brain microvasculature and may play an important role in altering blood brain barrier integrity in inflammatory-related diseases. PMID: 22633841
- alpha(1)-Acid glycoprotein up-regulates CD163 via TLR4/CD14 protein pathway: possible protection against hemolysis-induced oxidative stress. PMID: 22807450
- change of the maintenance of three acute phase proteins: ceruloplasmin, alpha1-antitripsin and orosomucoid in an oral fluid and blood plasma at paradontitis and myocardial infarction PMID: 22708402
- Analyses of Nicaraguan population surveillance data suggest that preschool children with elevated AGP1 levels have higher prevalence of anemia than children with normal AGP1 levels. PMID: 22908695
- The binding properties of the polymyxin class of antibiotics for human alpha-1-acid glycoprotein (AGP) have been characterized. PMID: 22587817
- Urinary MCP1 and AGP are biomarkers of lupus nephritis in patients with juvenile-onset systemic lupus erythematosus, providing insight into its pathophysiology PMID: 22147846
- Characterization of 6-mercaptopurine binding site on human alpha1-acid glycoprotein (orosomucoid) using molecular docking. PMID: 22574522
- Leukocytospermia was associated with the alterations of terminal monosaccharide expression in human seminal fibronectin and alpha{1}-acid glycoprotein PMID: 22048274
- In this study, the potential of CZE-UV and CZE-ESI-MS analysis of intact AGP isoforms to study the correlation of this protein with bladder cancer is shown. PMID: 22216449
- Importance of pH and disulfide bridges on the structural and binding properties of human alpha-acid glycoprotein. PMID: 21621584
- Data suggest that GDC-0449 pharmacokinetics are mediated by AAG binding. PMID: 21300760
- The distribution of the AGP phenotypes did not differ significantly among the disease groups studied PMID: 21726491
- analysis of differences in drug-binding selectivity between two forms of human alpha1-acid glycoprotein genetic variants, the A and F1*S forms PMID: 21349832
- Characterized are more than 150 human Alpha-1-acid glycoprotein isoforms, differing both in the amino acid sequence and in the glycosylation. PMID: 20617306
- Almost all of the acute-phase proteins were closely related to rheumatoid arthritis activity (based on DAS28) and their places in the downgrade scale were as follows: CRP, Tf, AGP, Hp and AAT. PMID: 20371432
- ORM integrates inflammatory and metabolic signals to modulate immune responses to protect adipose tissue from excessive inflammation and thereby from metabolic dysfunction. PMID: 20442402
- ORM1*S/*S genotype predicted failure to complete a 6-week trial of antidepressants, whereas elevated plasma concentration of orosomucoid predicted failure to respond to antidepressant therapy at 6 weeks. PMID: 19395425
- The present study investigated enhanced fucosylation of AGP in the sera of chronic hepatitis B (HBV-CH) and hepatitis B cirrhosis (HBV-LC) patients. PMID: 19459043
- A site-directed mutagenesis study of drug-binding selectivity in genetic variants of AGP1 is reported. PMID: 19198000
- Different ORM1 phenotypes may affect the disposition of quinidine PMID: 11814462
- demonstrate that orosomucoid and/or its glycoforms affects thyroid cell function in vitro and that it does so by influencing the second messenger cAMP probably by interacting directly with the TSH receptor PMID: 11911961
- The effect of alpha2,6-linked sialic acid on anti-IgM antibody-induced apoptosis in Ramos cells. PMID: 11925509
- folds as a highly symmetrical all-beta protein dominated by a single eight-stranded antiparallel beta-sheet PMID: 12480518
- exerts significant effects on the pharmacokinetics, plasma concentrations, and intracellular distribution of imatinib in chronic myeloid leukemia patients PMID: 12576428
- tertiary structure analysis PMID: 15013397
- Urinary levels are increaed in normoalbuminuric type 2 diabetic patients. PMID: 15111541
- the N-linked glycosylation pattern of AGP was explored PMID: 16261636
- The binding of coumarin enantiomers to ORM1 is studied. PMID: 16290938
- The drug binding site of AGP was gained from circular dichroism and electronic absorption spectra. PMID: 17321687
- Alpha-1-acid glycoprotein 1 may be an endogenous ligand for Siglec-5 as a signaling molecule that participates directly in the regulation of neutrophil responses. PMID: 17675532
- Different ORM1 genotypes affect the protein binding percentage and the concentration of serum free nortriptyline. PMID: 17944232
- A different distribution of the area percentage of AGP forms is observed when comparing samples from diseased and healthy individuals, the most acidic AGP forms being present in a higher proportion in the samples from cancer patients. PMID: 17987628
顯示更多
收起更多
-
亞細胞定位:Secreted.
-
蛋白家族:Calycin superfamily, Lipocalin family
-
組織特異性:Expressed by the liver and secreted in plasma.
-
數據庫鏈接:
Most popular with customers
-
-
YWHAB Recombinant Monoclonal Antibody
Applications: ELISA, WB, IHC, IF, FC
Species Reactivity: Human, Mouse, Rat
-
Phospho-YAP1 (S127) Recombinant Monoclonal Antibody
Applications: ELISA, WB, IHC
Species Reactivity: Human
-
-
-
-
-















