NOX5 Antibody
-
中文名稱:NOX5兔多克隆抗體
-
貨號:CSB-PA138304ESR2HU
-
規格:¥440
-
圖片:
-
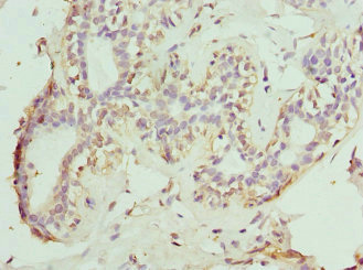
Immunohistochemistry of paraffin-embedded human prostate cancer using CSB-PA138304ESR2HU at dilution of 1:100
-
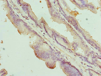
Immunohistochemistry of paraffin-embedded human breast cancer using CSB-PA138304ESR2HU at dilution of 1:100
-
Immunofluorescent analysis of MCF-7 cells using CSB-PA138304ESR2HU at dilution of 1:100 and Alexa Fluor 488-congugated AffiniPure Goat Anti-Rabbit IgG(H+L)
-
-
其他:
產品詳情
-
產品名稱:Rabbit anti-Homo sapiens (Human) NOX5 Polyclonal antibody
-
Uniprot No.:
-
基因名:NOX5
-
別名:NOX5; NADPH oxidase 5
-
宿主:Rabbit
-
反應種屬:Human
-
免疫原:Recombinant Human NADPH oxidase 5 protein (661-765AA)
-
免疫原種屬:Homo sapiens (Human)
-
標記方式:Non-conjugated
-
克隆類型:Polyclonal
-
抗體亞型:IgG
-
純化方式:Antigen Affinity Purified
-
濃度:It differs from different batches. Please contact us to confirm it.
-
保存緩沖液:PBS with 0.02% sodium azide, 50% glycerol, pH7.3.
-
產品提供形式:Liquid
-
應用范圍:ELISA, IHC, IF
-
推薦稀釋比:
Application Recommended Dilution IHC 1:20-1:200 IF 1:50-1:200 -
Protocols:
-
儲存條件:Upon receipt, store at -20°C or -80°C. Avoid repeated freeze.
-
貨期:Basically, we can dispatch the products out in 1-3 working days after receiving your orders. Delivery time maybe differs from different purchasing way or location, please kindly consult your local distributors for specific delivery time.
-
用途:For Research Use Only. Not for use in diagnostic or therapeutic procedures.
相關產品
靶點詳情
-
功能:Calcium-dependent NADPH oxidase that generates superoxide. Also functions as a calcium-dependent proton channel and may regulate redox-dependent processes in lymphocytes and spermatozoa. May play a role in cell growth and apoptosis. Isoform v2 and isoform v5 are involved in endothelial generation of reactive oxygen species (ROS), proliferation and angiogenesis and contribute to endothelial response to thrombin.
-
基因功能參考文獻:
- The key antioxidant enzymes and transcription factor Nrf2 are up-regulated, and the NOX5 expression is reduced during development of drug resistance of tumor cells to cisplatin. PMID: 30225719
- Neoplastic cells appeared unable to downregulate NOX5 mRNA expression under leptin. Leptin emerged as a potential activator of ROS production in human epithelial mammary cells, where the ROS production was apparently linked to NOX5 activation. This novel finding could shed light on the potential role of obesity-associated hyperleptinemia in mammary cells via the activation of NOX enzymes PMID: 29048637
- The authors conclude that taurodeoxycholic acid-induced DNA damage may depend on the activation of TGR5, CREB and NOX5-S. It is possible that in Barrett's patients bile acids may activate NOX5-S and increase reactive oxygen species (ROS) production via activation of TGR5 and CREB. NOX5-S-derived ROS may cause DNA damage, thereby contributing to the progression from Barrett's esophagus to esophageal adenocarcinoma. PMID: 27511066
- western blot analysis of platelets from X-linked chronic granulomatous disease patients showed Nox5 expression with a quantity comparable to that of normal platelets PMID: 26963053
- Data suggest that NOX5 expression in melanoma cells could contribute to cell proliferation due, in part, to the generation of high local concentrations of extracellular ROS that modulate multiple pathways that regulate HIF-1alpha and networks that signal through Akt/GSK3beta/p27(Kip1) . PMID: 28762556
- We demonstrated that rapid deletion of p22phox is possible and that the activity of Nox1 and Nox4 but not Nox5 exclusively depends on p22phox. PMID: 27614387
- NOX5-p22phox complex drives monocytic differentiation into dendritic cells, and thus could be critical for immunity and inflammation. PMID: 28830888
- Data strongly suggest that oxidation of calcium-binding domain of NOX5 could be implicated in its inactivation, serving as a possible defense mechanism against oxidative stress. PMID: 27391469
- NOX5 activation played a pathophysiological role in vascular disease. [review] PMID: 28473473
- NOX5-L depletion consistently suppressed breast cancer cell proliferation, invasion, and migration in vitro. NOX5-L expression is regulated by STAT5A in breast cancer cells. PMID: 28034671
- REVIEW: recent knowledge of the genetic and enzymatic regulation of NOX5 and the importance of NOX5 in human physiology and pathophysiology. PMID: 26510438
- Rho Kinase ROCK2 Mediates Acid-Induced NADPH Oxidase NOX5-S Expression in Human Esophageal Adenocarcinoma Cells PMID: 26901778
- Nox5-derived ROS and subsequent depletion of PKCzeta and JNK inactivation play a critical role in modulating intracellular signaling cascades involved in the proliferation and survival of PCa cells. PMID: 25559363
- High glucose generated an increase in NADPH oxidase activity and expression in human vascular smooth muscle cells. Sequence analysis of human Nox1, Nox4, and Nox5 gene promoters PMID: 25722086
- These results provide new insight into the redox-dependent mechanism of HTLV-1 transformation and raises an intriguing possibility that Nox5alpha serves as a potential molecular target to treat HTLV-1-related leukemia. PMID: 26109726
- NOX5-derived reactive oxygen species contribute to apoptosis blockage in ALK-positive anaplastic large-cell lymphoma cell lines. PMID: 25797883
- Tissue microarray analysis revealed, for the first time, substantial Nox5 overexpression in several human cancers PMID: 23851018
- Initial findings suggest that glomerular and tubular expression of Nox5 is induced during diabetes and hypertension, respectively. Furthermore, identification of SNPs in distinct human populations suggests a role for either good or ill for this enzyme. PMID: 25415612
- Induction of Nox5 expression in IFNgamma- and oxidized LDL-exposed Mac and the presence of Nox5 in Mac-rich atheroma are indicative of the implication of Nox5 in atherogenesis. PMID: 25871798
- Results show that NOX5 is expressed in human renal proximal tubule cells and to greater extent than the other NOX isoforms in hypertensive than normotensive subjects. PMID: 24688893
- we show here for the first time that two members of the ROS-generating NADPH oxidase family (NOXs), NOX4 and NOX5, are involved in radiation-induced DNA damage. PMID: 25706776
- The study reveals that PKC-alpha is the primary isoform mediating the activation of Nox5. PMID: 24505490
- podocyte Nox5 has an important role in impaired renal function and hypertension. PMID: 24262797
- this study demonstrates the presence of NOX5 in acrosomal, equatorial, post-acrosomal regions, the body and the tail of ejaculated human teratozoospermia. PMID: 23030296
- Overexpression of NOX5-S significantly increased the luciferase activity. PMID: 23439561
- results suggest that endogenously produced NO can directly S-nitrosylate and inhibit the activity of Nox5 PMID: 22387196
- we demonstrate NOX5 expression in human intramyocardial blood vessels and cardiomyocytes, with significant increases in the affected myocardium after acute myocardial infarction. PMID: 22503554
- Nox5-alpha and -beta splice variants are the major isoforms that are expressed blood vessels and the only variants capable of ROS production. PMID: 22427510
- Inhibition of NOX5 activity reduces spermatozoa motility. PMID: 22291013
- There has been a rapid increase in our understanding of the NOX5 gene, the structural and biochemical aspects of the NOX5 enzyme, the role NOX5 plays in health and disease, and the development of novel NOX inhibitors. [Review] PMID: 22182486
- Reduced matrigel invasion was mediated by reduced ROS levels coinciding with decreased expression of NADPH oxidase 2, 3, 4 and 5 involved in ROS production. PMID: 21901141
- Rac1 may be important in activation of NOX5-S in Barrett's esphageal adenocarcinoma cells. PMID: 21525435
- The current work is the first to demonstrate that MAPK signaling can directly influence the phosphorylation state of transmembrane NOX5 enzyme, contributing to NOX5's activation in response to phorbol 12-myristate acetate and at resting calcium levels. PMID: 21297032
- Nox5 forms a catalytically active oligomer in the membrane that is mediated by its dehydrogenase domain PMID: 21319793
- The effect of pH on the expression of p16 and NOX5-S on Barrett's esophagus cells and their progression to esophageal adenocarcinoma are reported. PMID: 20576920
- Shingosylphosphorylcholine down-regulates FLG gene transcription through NOX5-based NADPH oxidase and COX-2 in human keratinocytes. PMID: 20230798
- Endothelial cells possess functionally active Nox5 that is regulated at the transcriptional/translational levels by Ang II and ET-1 through calcium/calmodulin-sensitive processes. PMID: 20339118
- Data show that bile acid reflux present in patients with BE may increase reactive oxygen species production and cell proliferation via activation of PI-PLCgamma2, ERK2 MAP kinase, and NADPH oxidase NOX5-S, thereby contributing to the development of EA. PMID: 20086178
- Reactive oxygen species producing activity of NOX5 in sperm and NADPH-oxidase of white blood cells; role of protein kinase C in NOX5 activation PMID: 12121572
- we propose that the GTP-bound active form of Rac is required for sustained enzyme activity and that membrane-localized GAPs have a role in the deactivation of NADPH oxidase PMID: 12186557
- the regulatory N terminus and the catalytic C terminus of NOX5 interact in a Ca(2+)-dependent way; enzyme activation occurs through an intra-molecular interaction PMID: 14982937
- Appreciable bacterial phospholipid degradation occurs only in the presence of catalytically active group IIA-phospholipase A2 and a functional respiratory burst NADPH oxidase in neutrophils. PMID: 16177112
- Hairy cells(but not circulating normal B cells or some other lymphoid cell types) express NOX5; the inactivation of SHP-1 by NOX5-generated ROS contributes to the maintenance of the constitutive activation of HCs. PMID: 16339585
- Knockdown of NOX5 also significantly decreased retinoblastoma protein phosphorylation and increased cell apoptosis and caspase-9 expression. PMID: 16707484
- NO-mediated down-regulation by shear stress preferentially affects the gp91(phox)/p47(phox)-containing NAD(P)H oxidase complex. PMID: 16873416
- Chronic granulomatous disease (CGD) is a rare primary immunodeficiency caused by mutations of one of the subunits of phagocyte reduced nicotinamide adenine dinucleotide phosphate (NADPH) oxidase leading to decreased of neutrophil oxidative burst. PMID: 17089090
- NADPH oxidase is involved in the superoxide release by RA synovial cells, constitutively and after cytokine up-regulation. PMID: 17122966
- phosphorylation of Nox5 at key residues facilitates enzyme activation at lower levels of intracellular calcium and may provide an avenue for enzyme activation in response to a greater variety of extracellular stimuli PMID: 17164239
- NAD(P)H oxidase polymorphism (C242T) associates with recurrent coronary events in postinfarction patients PMID: 17214994
- calmodulin binds to the NOX5 C terminus consensus calmodulin-binding domain in a Ca(2+)-dependent manner, changes its conformation and increases the Ca(2+) sensitivity of the N terminus-regulated enzymatic activity. PMID: 17346712
顯示更多
收起更多
-
亞細胞定位:Membrane; Multi-pass membrane protein.; [Isoform v2]: Endoplasmic reticulum.; [Isoform v5]: Endoplasmic reticulum.
-
組織特異性:Mainly expressed in pachytene spermatocytes of testis and in lymphocyte-rich areas of spleen and lymph nodes. Isoform v1 is expressed in spleen. Isoform v2 is expressed in testis. Also detected in ovary, placenta, pancreas, cardiac fibroblasts. Expressed
-
數據庫鏈接:
Most popular with customers
-
-
YWHAB Recombinant Monoclonal Antibody
Applications: ELISA, WB, IHC, IF, FC
Species Reactivity: Human, Mouse, Rat
-
-
-
-
-
VDAC1 Recombinant Monoclonal Antibody
Applications: ELISA, WB, IHC
Species Reactivity: Human, Mouse, Rat
-
VCP Recombinant Monoclonal Antibody
Applications: ELISA, WB, IHC, IF, IP
Species Reactivity: Human, Rat















