NFATC2 Antibody
-
中文名稱:NFATC2兔多克隆抗體
-
貨號:CSB-PA577841
-
規格:¥1100
-
圖片:
-
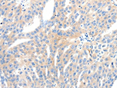
The image on the left is immunohistochemistry of paraffin-embedded Human thyroid cancer tissue using CSB-PA577841(NFATC2 Antibody) at dilution 1/30, on the right is treated with synthetic peptide. (Original magnification: ×200)
-
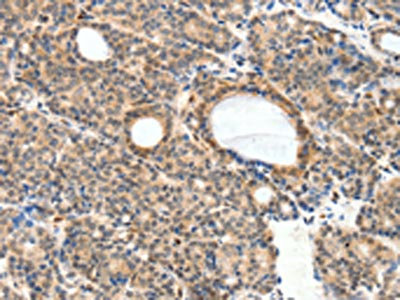
The image on the left is immunohistochemistry of paraffin-embedded Human ovarian cancer tissue using CSB-PA577841(NFATC2 Antibody) at dilution 1/30, on the right is treated with synthetic peptide. (Original magnification: ×200)
-
-
其他:
產品詳情
-
Uniprot No.:
-
基因名:
-
別名:AI607462 antibody; cytoplasmic 2 antibody; KIAA0611 antibody; NF ATc2 antibody; NF ATp antibody; NF-ATc2 antibody; NF-ATp antibody; NFAC2_HUMAN antibody; NFAT 1 antibody; NFAT pre existing subunit antibody; NFAT pre-existing subunit antibody; NFAT transcription complex, preexisting component antibody; NFAT1 antibody; NFAT1-D antibody; NFATc2 antibody; NFATp antibody; Nuclear factor of activated T cells cytoplasmic 2 antibody; Nuclear factor of activated T cells cytoplasmic calcineurin dependent 2 antibody; Nuclear factor of activated T cells pre-existing component antibody; Nuclear factor of activated T cells, preexisting component antibody; Nuclear factor of activated T-cells antibody; Preexisting nuclear factor of activated T cells 2 antibody; T cell transcription factor NFAT 1 antibody; T-cell transcription factor NFAT1 antibody
-
宿主:Rabbit
-
反應種屬:Human,Mouse
-
免疫原:Synthetic peptide of Human NFATC2
-
免疫原種屬:Homo sapiens (Human)
-
標記方式:Non-conjugated
-
抗體亞型:IgG
-
純化方式:Antigen affinity purification
-
濃度:It differs from different batches. Please contact us to confirm it.
-
保存緩沖液:-20°C, pH7.4 PBS, 0.05% NaN3, 40% Glycerol
-
產品提供形式:Liquid
-
應用范圍:ELISA,IHC
-
推薦稀釋比:
Application Recommended Dilution ELISA 1:1000-1:5000 IHC 1:25-1:100 -
Protocols:
-
儲存條件:Upon receipt, store at -20°C or -80°C. Avoid repeated freeze.
-
貨期:Basically, we can dispatch the products out in 1-3 working days after receiving your orders. Delivery time maybe differs from different purchasing way or location, please kindly consult your local distributors for specific delivery time.
-
用途:For Research Use Only. Not for use in diagnostic or therapeutic procedures.
相關產品
靶點詳情
-
功能:Plays a role in the inducible expression of cytokine genes in T-cells, especially in the induction of the IL-2, IL-3, IL-4, TNF-alpha or GM-CSF. Promotes invasive migration through the activation of GPC6 expression and WNT5A signaling pathway.
-
基因功能參考文獻:
- The data indicate that expression of CRTh2 is regulated through the competitive action of GATA3 and NFAT1. PMID: 29969451
- NFAT1-regulated IL6 signalling contributes to aggressive phenotypes of glioma PMID: 29258522
- Results show that NFAT1 expression is regulated by ASIC2 under acidosis and that NFAT1, binds to genes clustered in pathways involved in Rho GTPase signaling and calcium signaling. PMID: 28927426
- Our results indicate that NFATc2 may be used as an early diagnostic or predictive biomarker for colorectal carcinoma as well as a therapeutic target PMID: 28504924
- NFATc2 enhances tumor-initiating phenotypes through the NFATc2/SOX2/ ALDH1A1 axis in lung adenocarcinoma. PMID: 28737489
- NFATc2 and Sp1 are co-localized in cell nuclei and physically interact at the NFAT target sequence termed NFAT-responsive promotor construct. Sp1 increases the functional activity of its binding partner NFATc2. PMID: 28774282
- Our data have shown for the first time the regulation of CacyBP/SIP gene expression by NFAT1. Since NFAT transcription factors are involved in processes related to immune response, these results indicate potential involvement of CacyBP/SIP in the immune system. PMID: 28526484
- An interaction of NFAT1 and the beta-catenin pathway, validate lysophosphatidic acid as an in vivo activator of beta-catenin-dependent transcription during allograft fibrogenesis. PMID: 28240604
- the expression of NFATc2 promotes melanoma dedifferentiation and immune escape PMID: 26387540
- NFAT1 is stimulated by subplasmalemmal Ca2+ microdomains, whereas NFAT4 additionally requires Ca2+ mobilization from the inner nuclear envelope by nuclear InsP3 receptors. PMID: 27863227
- NFAT1 overexpression is associated with Melanoma Tumor Growth and Metastasis. PMID: 27013197
- These results demonstrate a repressor role for NFAT1 in cell cycle progression and Cyclin E expression in B lymphocytes, and suggest a potential function for NFAT1 protein in B cell malignancies. PMID: 27399331
- NFAT1 silencing could suppress cell migration and invasion through MMP-3. PMID: 28024290
- FOXP1 has protein-protein interaction with NFAT1 on DNA and enhances breast cancer cell migration by repressing NFAT1 transcriptional activity. PMID: 27859969
- we describe a novel mechanism by which GSK-3beta fine-tunes NFATc2 and STAT3 transcriptional networks to integrate upstream signaling events that govern pancreatic cancer progression and growth. PMID: 26823495
- Up-regulation of Store-operated Ca2+ Entry and Nuclear Factor of Activated T Cells Promote the Acinar Phenotype of the Primary Human Salivary Gland Cells. PMID: 26903518
- two NFAT isoforms (NFAT4 and NFAT1) have shifted band-pass windows for the same receptor in the GPCR signaling pathway PMID: 26374065
- These data suggest that NFATc2 expression is regulated by intracellular calcium and in vitro stretch, and that the stretch response in human myometrial cells is dependent upon intracellular calcium signalling pathways. PMID: 26238508
- inhibits CCR7 expression during the course of dendritic cell maturation PMID: 25797200
- NFAT1-mediated IL8 production promotes the migration of primary human neutrophils in vitro and also promotes neutrophil infiltration in tumor xenografts PMID: 25735562
- In multivariate logistic regression, the intronic rs6021191 variant in nuclear factor of activated T cells 2 (NFATC2) had the strongest association with hypersensitivity to asparaginase. PMID: 25987655
- Results show that two protein isoforms NFAT1 and NFAT4 are both cytosolic and stimulated by the same Ca2+ messenger but require distinct subcellular Ca2+ signals for activity. PMID: 25818645
- no significant correlation of genetic polymorphisms with disease activity in rheumatoid arthritis patients in Poland PMID: 25376468
- NFAT-1, STAT-1 and AP-1 might be the central transcription factors in the pathogenesis of pre-eclampsia. PMID: 24931237
- Data suggest involvement of SALL4 (sal-like 4) and NFATC2(nuclear factor of activated T-cells, cytoplasmic, calcineurin-dependent 2 ) genes disruption in cardiac and skeletal anomalies. PMID: 24486774
- NFATc2 exhibited a higher relative affinity for binding site DS3 as compared with members of the C/EBP family (C/EBP alpha and beta). PMID: 24551078
- NFAT1 is differentially expressed in stimulated CD4-positive vs CD8-positive T cells. PMID: 24173147
- Translocation of NFAT1 to the cell nucleus is a direct, sensitive, reproducible and quantitative pharmacodynamic readout for tacrolimus action. PMID: 24136923
- USP22 deubiquitinates and stabilizes NFATc2 protein levels thereby promoting IL2 expression. PMID: 24561192
- Using a human CTL system model based on a CD8(+)/CD103(-) T cell clone specific of a lung tumor-associated Ag, we demonstrated that the transcription factors Smad2/3 and NFAT-1 are two critical regulators of this process. PMID: 24477908
- in vivo biochemical or genetic inhibition of NFATc2 activity in megakaryocyte diminishes platelet CD40L implicates the NFATc2/EGR-1 axis as a key regulatory pathway of inflammatory and immunomodulatory activity in platelets PMID: 24106272
- Overexpressed NFAT1 in glioblastoma multiforme cells was mainly located in the nucleus, where it acted as a transcription factor. PMID: 23762456
- Both WNT5A and NFATc2 proteins are highly expressed in human pancreatic cancer tissues. PMID: 23359789
- Data suggest a model in which IL-2 transcriptional synergy is mediated by the unique recruitment of a cJun homodimer to the -45 NFAT site by NFATc2, where it acts as a co-activator for IL-2 transcription. PMID: 23665382
- haplo-insufficiency of NFATC2 cooperates with activation of the JAK-STAT signaling pathway in the pathogenesis of JAK2V617F-positive ET with del(20q). PMID: 22911897
- Transfection with HCV C gene up-regulates NFAT1 expression and promotes the cell cycle progression and proliferation of intrahepatic cholangiocarcinoma cells. PMID: 22699055
- LCN2 and TWEAKR-TWEAK as crucial downstream effectors of NFAT1 that regulate breast cancer cell motility and invasive capacity. PMID: 22767506
- Data elucidate a previously unidentified mechanism by which galectin-3 regulates autotaxin and assign a novel role for NFAT1 during melanoma progression. PMID: 22986745
- Endorepellin affects angiogenesis by antagonizing diverse VEGFR2-evoked signaling pathways: transcriptional repression of hypoxia-inducible factor 1alpha and VEGFA and concurrent inhibition of NFAT1 activation. PMID: 23060442
- NFAT1 directly binds to distal sites in the c-Myc promoter with different affinities. PMID: 22333584
- Here we show that the calcineurin/nuclear factor of activated T cells c2 (NFATc2) pathway has an antiapoptotic role in melanoma cells. PMID: 22718120
- Transcription factor NFAT1 activates the mdm2 oncogene independent of p53. PMID: 22787160
- The present study investigated the effect of heart failure aetiology on Ca(+2) handling proteins and NFAT1, MEF2C and GATA4 (transcription factors) in the same cardiac tissue. PMID: 22363514
- Inhibition of NFAT or targeting of NFATc3 with small interfering RNA (siRNA) lowers the AIF-1/IRT-1 ratio and favours an anti-proliferative outcome for atherosclerosis. PMID: 22116621
- calcium responsiveness of IL-31 promoter required NFAT binding sites that bind NFATc1 and NFATc2 in vitro and in vivo. PMID: 22045870
- a novel negative cross talk between the NFAT1- and Stat5-signaling cascades that may affect breast tumor formation, growth, and metastasis PMID: 21964595
- The binding of NFAT1 to the NKX2-3 promoter region with rs1190140 was confirmed by chromatin immunoprecipitation assay. PMID: 21803625
- the prolonged IL-4 expression in NFAT1 deficient Th2 cells is mediated by preferential binding of JUNB/SATB1 to the IL-4 promoter with permissive chromatin architecture PMID: 21799768
- a critical role of the GSK-3beta-HDM2 signaling loop in the regulation of NFATc2 protein stability and growth promotion PMID: 21628454
- Data demonstrate that IRF-2BP2 is a negative regulator of the NFAT1 transcription factor and suggest that NFAT1 repression occurs at the transcriptional level. PMID: 21576369
顯示更多
收起更多
-
亞細胞定位:Cytoplasm. Nucleus. Note=Cytoplasmic for the phosphorylated form and nuclear after activation that is controlled by calcineurin-mediated dephosphorylation. Rapid nuclear exit of NFATC is thought to be one mechanism by which cells distinguish between sustained and transient calcium signals. The subcellular localization of NFATC plays a key role in the regulation of gene transcription.
-
組織特異性:Expressed in thymus, spleen, heart, testis, brain, placenta, muscle and pancreas. Isoform 1 is highly expressed in the small intestine, heart, testis, prostate, thymus, placenta and thyroid. Isoform 3 is highly expressed in stomach, uterus, placenta, trac
-
數據庫鏈接:
Most popular with customers
-
-
YWHAB Recombinant Monoclonal Antibody
Applications: ELISA, WB, IHC, IF, FC
Species Reactivity: Human, Mouse, Rat
-
Phospho-YAP1 (S127) Recombinant Monoclonal Antibody
Applications: ELISA, WB, IHC
Species Reactivity: Human
-
-
-
-
-















